Rabbit VIP Polyclonal Antibody | anti-VIP antibody
Anti-VIP Antibody
No cross reactivity with other proteins.
No cross reactivity with other proteins.
IHC (Immunohistochemisry)
(VIP was detected in paraffin-embedded sections of human pancreatic cancer tissues using rabbit anti- VIP Antigen Affinity purified polyclonal antibody at 1 ug/mL. The immunohistochemical section was developed using SABC method.)
IHC (Immunohiostchemistry)
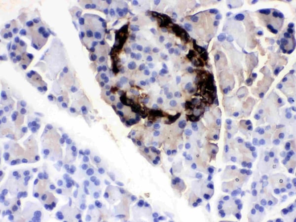
(VIP was detected in paraffin-embedded sections of rat pancreas tissues using rabbit anti- VIP Antigen Affinity purified polyclonal antibody at 1 ug/mL. The immunohistochemical section was developed using SABC method.)
IHC (Immunohistochemistry)
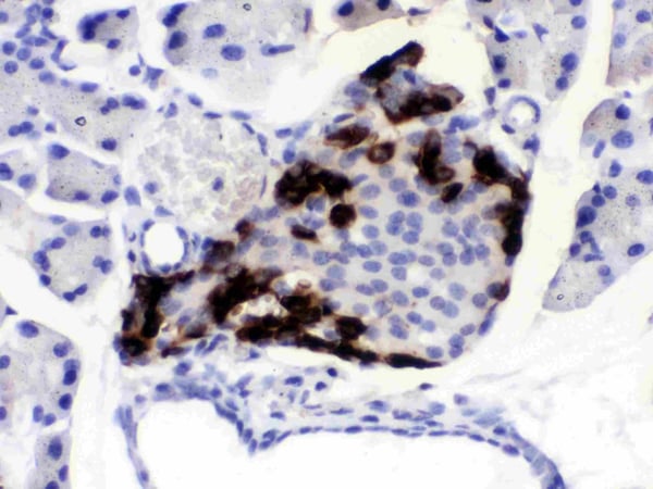
(VIP was detected in paraffin-embedded sections of mouse pancreas tissues using rabbit anti- VIP Antigen Affinity purified polyclonal antibody at 1 ug/mL. The immunohistochemical section was developed using SABC method.)
Background: Vasoactive intestinal peptide, also known as PHM27 or VIP, is a peptide hormone containing 28 amino acid residues. This gene is mapped to 6q25. The protein encoded by this gene belongs to the glucagon family. It stimulates myocardial contractility, causes vasodilation, increases glycogenolysis, lowers arterial blood pressure and relaxes the smooth muscle of trachea, stomach and gall bladder. The protein also acts as an antimicrobial peptide with antibacterial and antifungal activity. Alternative splicing occurs at this locus and two transcript variants encoding distinct isoforms have been identified.
2. Linder S, Barkhem T, Norberg A, Persson H, Schalling M, Hökfelt T, Magnusson G (Jan 1987). "Structure and expression of the gene encoding the vasoactive intestinal peptide precursor". Proceedings of the National Academy of Sciences of the United States of America 84 (2): 605-9.
3. Said SI (Apr 1986). "Vasoactive intestinal peptide". Journal of Endocrinological Investigation 9 (2): 191-200.
NCBI and Uniprot Product Information
Customer Reviews
Loading reviews...
Share Your Experience
Similar Products
Product Notes
The VIP vip (Catalog #AAA46592) is an Antibody produced from Rabbit and is intended for research purposes only. The product is available for immediate purchase. The Anti-VIP Antibody reacts with Human, Mouse, Rat No cross reactivity with other proteins. and may cross-react with other species as described in the data sheet. AAA Biotech's VIP can be used in a range of immunoassay formats including, but not limited to, IHC (Immunohistochemistry). Researchers should empirically determine the suitability of the VIP vip for an application not listed in the data sheet. Researchers commonly develop new applications and it is an integral, important part of the investigative research process. It is sometimes possible for the material contained within the vial of "VIP, Polyclonal Antibody" to become dispersed throughout the inside of the vial, particularly around the seal of said vial, during shipment and storage. We always suggest centrifuging these vials to consolidate all of the liquid away from the lid and to the bottom of the vial prior to opening. Please be advised that certain products may require dry ice for shipping and that, if this is the case, an additional dry ice fee may also be required.Precautions
All products in the AAA Biotech catalog are strictly for research-use only, and are absolutely not suitable for use in any sort of medical, therapeutic, prophylactic, in-vivo, or diagnostic capacity. By purchasing a product from AAA Biotech, you are explicitly certifying that said products will be properly tested and used in line with industry standard. AAA Biotech and its authorized distribution partners reserve the right to refuse to fulfill any order if we have any indication that a purchaser may be intending to use a product outside of our accepted criteria.Disclaimer
Though we do strive to guarantee the information represented in this datasheet, AAA Biotech cannot be held responsible for any oversights or imprecisions. AAA Biotech reserves the right to adjust any aspect of this datasheet at any time and without notice. It is the responsibility of the customer to inform AAA Biotech of any product performance issues observed or experienced within 30 days of receipt of said product. To see additional details on this or any of our other policies, please see our Terms & Conditions page.Item has been added to Shopping Cart
If you are ready to order, navigate to Shopping Cart and get ready to checkout.
