Rabbit anti-Human VPS11 Polyclonal Antibody | anti-VPS11 antibody
VPS11 Antibody
Gene Names
VPS11; END1; PEP5; HLD12; RNF108; hVPS11
Reactivity
Human
Applications
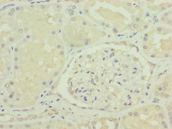
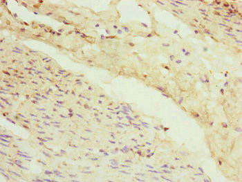
Immunohistochemistry, ELISA
Purity
Antigen Affinity Purified
Synonyms
VPS11, Antibody; VPS11 Antibody; Vacuolar protein sorting-associated protein 11 homolog; hVPS11; RING finger protein 108; VPS11; RNF108; PP3476; anti-VPS11 antibody
Host
Rabbit
Reactivity
Human
Clonality
Polyclonal
Isotype
IgG
Purity/Purification
Antigen Affinity Purified
Form/Format
Liquid
Sequence Length
931
Applicable Applications for anti-VPS11 antibody
IHC (Immunohistochemistry), ELISA
Species
Human
Immunogen
Recombinant human Vacuolar protein sorting-associated protein 11 homolog protein (C-250AA)
Conjugate
Non-conjugated
Buffer
PBS with 0.02% sodium azide, 50% glycerol, pH7.3.
Santa Cruz Alternative
Potential replacement for Santa Cruz Biotechnology antibody catalog# sc-79346 / sc-79347
Preparation and Storage
Shipped at 4 degree C. Upon delivery aliquot and store at -20 degree C or -80 degree C. Avoid repeated freeze.
Related Product Information for anti-VPS11 antibody
Plays a role in vesicle-mediated protein trafficking to lysosomal compartments including the endocytic membrane transport and autophagic pathways. Believed to act as a core component of the putative HOPS and CORVET endosomal tethering complexes which are proposed to be involved in the Rab5-to-Rab7 endosome conversion probably implicating MON1A/B, and via binding SNAREs and SNARE complexes to mediate tethering and docking events during SNARE-mediated membrane fusion. The HOPS complex is proposed to be recruited to Rab7 on the late endosomal membrane and to regulate late endocytic, phagocytic and autophagic traffic towards lysosomes. The CORVET complex is proposed to function as a Rab5 effector to mediate early endosome fusion probably in specific endosome subpopulations (PubMed:11382755, PubMed:23351085, PubMed:24554770, PubMed:25266290, PubMed:25783203). Required for fusion of endosomes and autophagosomes with lysosomes (PubMed:25783203). Involved in cargo transport from early to late endosomes and required for the transition from early to late endosomes (PubMed:21148287). Involved in the retrograde Shiga toxin transport (PubMed:23593995).
NCBI and Uniprot Product Information
NCBI GI #
NCBI GeneID
NCBI Accession #
NCBI GenBank Nucleotide #
Molecular Weight
107,837 Da
NCBI Official Full Name
vacuolar protein sorting-associated protein 11 homolog isoform 2
NCBI Official Synonym Full Names
VPS11, CORVET/HOPS core subunit
NCBI Official Symbol
VPS11
NCBI Official Synonym Symbols
END1; PEP5; HLD12; RNF108; hVPS11
NCBI Protein Information
vacuolar protein sorting-associated protein 11 homolog
UniProt Protein Name
Vacuolar protein sorting-associated protein 11 homolog
UniProt Gene Name
VPS11
UniProt Synonym Gene Names
RNF108; hVPS11
UniProt Entry Name
VPS11_HUMAN
Customer Reviews
Loading reviews...
Share Your Experience
Similar Products
Product Notes
The VPS11 vps11 (Catalog #AAA232060) is an Antibody produced from Rabbit and is intended for research purposes only. The product is available for immediate purchase. The VPS11 Antibody reacts with Human and may cross-react with other species as described in the data sheet. AAA Biotech's VPS11 can be used in a range of immunoassay formats including, but not limited to, IHC (Immunohistochemistry), ELISA. Researchers should empirically determine the suitability of the VPS11 vps11 for an application not listed in the data sheet. Researchers commonly develop new applications and it is an integral, important part of the investigative research process. It is sometimes possible for the material contained within the vial of "VPS11, Polyclonal Antibody" to become dispersed throughout the inside of the vial, particularly around the seal of said vial, during shipment and storage. We always suggest centrifuging these vials to consolidate all of the liquid away from the lid and to the bottom of the vial prior to opening. Please be advised that certain products may require dry ice for shipping and that, if this is the case, an additional dry ice fee may also be required.Precautions
All products in the AAA Biotech catalog are strictly for research-use only, and are absolutely not suitable for use in any sort of medical, therapeutic, prophylactic, in-vivo, or diagnostic capacity. By purchasing a product from AAA Biotech, you are explicitly certifying that said products will be properly tested and used in line with industry standard. AAA Biotech and its authorized distribution partners reserve the right to refuse to fulfill any order if we have any indication that a purchaser may be intending to use a product outside of our accepted criteria.Disclaimer
Though we do strive to guarantee the information represented in this datasheet, AAA Biotech cannot be held responsible for any oversights or imprecisions. AAA Biotech reserves the right to adjust any aspect of this datasheet at any time and without notice. It is the responsibility of the customer to inform AAA Biotech of any product performance issues observed or experienced within 30 days of receipt of said product. To see additional details on this or any of our other policies, please see our Terms & Conditions page.Item has been added to Shopping Cart
If you are ready to order, navigate to Shopping Cart and get ready to checkout.
