Rabbit WNT3A Polyclonal Antibody | anti-WNT3A antibody
WNT3A Antibody
Phosphate buffered saline, pH 7.4, 150mM NaCl, 0.02% sodium azide and 50% glycerol.
WB (Western Blot)
(Western blot analysis of NCI-H292 lysate using WNT3A antibody. The lane on the left is treated with the antigen-specific peptide.)
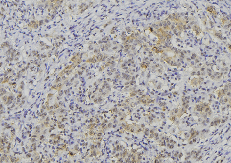
IHC (Immunohiostchemistry)
(AAA325900 at 1/100 staining Human lung cancer tissue by IHC-P. The sample was formaldehyde fixed and a heat mediated antigen retrieval step in citrate buffer was performed. The sample was then blocked and incubated with the antibody for 1.5 hours at 22 degree C. An HRP conjugated goat anti-rabbit antibody was used as the secondary.)
IF (Immunofluorescence)
(AAA325900 staining HEPG2 cells by ICC/IF. Cells were fixed with PFA and permeabilized in 0.1% saponin prior to blocking in 10% serum for 45 minutes at 37 degree C. The primary antibody was diluted 1/200 and incubated with the sample for 1 hour at 37 degree C. A Alexa Fluor 594 conjugated goat polyclonal to rabbit IgG (H+L), diluted 1/600 was used as secondary antibody.)
Function: Ligand for members of the frizzled family of seven transmembrane receptors (Probable). Functions in the canonical Wnt signaling pathway that results in activation of transcription factors of the TCF/LEF family (PubMed:20093360, PubMed:21244856, PubMed:24841207, PubMed:26902720). Required for normal embryonic mesoderm development and formation of caudal somites. Required for normal morphogenesis of the developing neural tube (By similarity). Mediates self-renewal of the stem cells at the bottom on intestinal crypts (in vitro) (PubMed:26902720).
Subunit Structure: Forms a soluble 1:1 complex with AFM; this prevents oligomerization and is required for prolonged biological activity (PubMed:26902720). The complex with AFM may represent the physiological form in body fluids (PubMed:26902720). Homooligomer; disulfide-linked, leading to inactivation (By similarity). Interacts with PORCN (PubMed:20826466). Interacts with APCDD1 and WLS (PubMed:16678095, PubMed:20393562). Component of the Wnt-Fzd-LRP5-LRP6 signaling complex that contains a WNT protein, a FZD protein and LRP5 or LRP6. Interacts directly in the complex with LRP6 (PubMed:20093360).
Post-translational Modifications: Palmitoleoylation by PORCN is required for efficient binding to frizzled receptors. Palmitoleoylation is required for proper trafficking to cell surface, vacuolar acidification is critical to release palmitoleoylated WNT3A from WLS in secretory vesicles (PubMed:20826466, PubMed:21244856, PubMed:24292069). Depalmitoleoylated by NOTUM, leading to inhibit Wnt signaling pathway, possibly by promoting disulfide bond formation and oligomerization (PubMed:25731175). Proteolytic processing by TIKI1 and TIKI2 promotes oxidation and formation of large disulfide-bond oligomers, leading to inactivation of WNT3A.Disulfide bonds have critical and distinct roles in secretion and activity. Loss of each conserved cysteine in WNT3A results in high molecular weight oxidized Wnt oligomers, which are formed through inter-Wnt disulfide bonding.
Similarity: Belongs to the Wnt family.
NCBI and Uniprot Product Information
Predicted: 40 kDa
Customer Reviews
Loading reviews...
Share Your Experience
Similar Products
Product Notes
The WNT3A wnt3a (Catalog #AAA325900) is an Antibody produced from Rabbit and is intended for research purposes only. The product is available for immediate purchase. The WNT3A Antibody reacts with Human, Mouse, Rat and may cross-react with other species as described in the data sheet. AAA Biotech's WNT3A can be used in a range of immunoassay formats including, but not limited to, ELISA, ICC (Immunocytochemistry), IF (Immunofluorescence), IHC (Immunohistochemistry), WB (Western Blot). Researchers should empirically determine the suitability of the WNT3A wnt3a for an application not listed in the data sheet. Researchers commonly develop new applications and it is an integral, important part of the investigative research process. It is sometimes possible for the material contained within the vial of "WNT3A, Polyclonal Antibody" to become dispersed throughout the inside of the vial, particularly around the seal of said vial, during shipment and storage. We always suggest centrifuging these vials to consolidate all of the liquid away from the lid and to the bottom of the vial prior to opening. Please be advised that certain products may require dry ice for shipping and that, if this is the case, an additional dry ice fee may also be required.Precautions
All products in the AAA Biotech catalog are strictly for research-use only, and are absolutely not suitable for use in any sort of medical, therapeutic, prophylactic, in-vivo, or diagnostic capacity. By purchasing a product from AAA Biotech, you are explicitly certifying that said products will be properly tested and used in line with industry standard. AAA Biotech and its authorized distribution partners reserve the right to refuse to fulfill any order if we have any indication that a purchaser may be intending to use a product outside of our accepted criteria.Disclaimer
Though we do strive to guarantee the information represented in this datasheet, AAA Biotech cannot be held responsible for any oversights or imprecisions. AAA Biotech reserves the right to adjust any aspect of this datasheet at any time and without notice. It is the responsibility of the customer to inform AAA Biotech of any product performance issues observed or experienced within 30 days of receipt of said product. To see additional details on this or any of our other policies, please see our Terms & Conditions page.Item has been added to Shopping Cart
If you are ready to order, navigate to Shopping Cart and get ready to checkout.
