Host
Rabbit
Reactivity
Human, Mouse, Rat
Clonality
Polyclonal
Isotype
IgG
Purity/Purification
Affinity purification
Form/Format
PBS with 0.02% sodium azide, 50% glycerol, pH7.3.
Applicable Applications for anti-WNT3A antibody
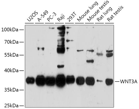
IF (Immunofluorescence), WB (Western Blot)
Immunogen
Recombinant fusion protein of human WNT3A (NP_149122.1).
Preparation and Storage
Store at -20 degree C. Avoid freeze/thaw cycles.
Related Product Information for anti-WNT3A antibody
The WNT gene family consists of structurally related genes which encode secreted signaling proteins. These proteins have been implicated in oncogenesis and in several developmental processes, including regulation of cell fate and patterning during embryogenesis. This gene is a member of the WNT gene family. It encodes a protein which shows 96% amino acid identity to mouse Wnt3A protein, and 84% to human WNT3 protein, another WNT gene product. This gene is clustered with WNT14 gene, another family member, in chromosome 1q42 region.
Product Categories/Family for anti-WNT3A antibody
NCBI and Uniprot Product Information
NCBI GI #
NCBI GeneID
Molecular Weight
39kDa
NCBI Official Full Name
Protein Wnt-3a
NCBI Official Synonym Full Names
wingless-type MMTV integration site family, member 3A
NCBI Official Symbol
WNT3A
NCBI Protein Information
protein Wnt-3a
UniProt Protein Name
Protein Wnt-3a
UniProt Gene Name
WNT3A
UniProt Entry Name
WNT3A_HUMAN
Customer Reviews
Loading reviews...
Share Your Experience
Similar Products
Product Notes
The WNT3A wnt3a (Catalog #AAA312955) is an Antibody produced from Rabbit and is intended for research purposes only. The product is available for immediate purchase. The WNT3A Rabbit Polyclonal Antibody reacts with Human, Mouse, Rat and may cross-react with other species as described in the data sheet. AAA Biotech's WNT3A can be used in a range of immunoassay formats including, but not limited to, IF (Immunofluorescence), WB (Western Blot). Researchers should empirically determine the suitability of the WNT3A wnt3a for an application not listed in the data sheet. Researchers commonly develop new applications and it is an integral, important part of the investigative research process. It is sometimes possible for the material contained within the vial of "WNT3A, Polyclonal Antibody" to become dispersed throughout the inside of the vial, particularly around the seal of said vial, during shipment and storage. We always suggest centrifuging these vials to consolidate all of the liquid away from the lid and to the bottom of the vial prior to opening. Please be advised that certain products may require dry ice for shipping and that, if this is the case, an additional dry ice fee may also be required.Precautions
All products in the AAA Biotech catalog are strictly for research-use only, and are absolutely not suitable for use in any sort of medical, therapeutic, prophylactic, in-vivo, or diagnostic capacity. By purchasing a product from AAA Biotech, you are explicitly certifying that said products will be properly tested and used in line with industry standard. AAA Biotech and its authorized distribution partners reserve the right to refuse to fulfill any order if we have any indication that a purchaser may be intending to use a product outside of our accepted criteria.Disclaimer
Though we do strive to guarantee the information represented in this datasheet, AAA Biotech cannot be held responsible for any oversights or imprecisions. AAA Biotech reserves the right to adjust any aspect of this datasheet at any time and without notice. It is the responsibility of the customer to inform AAA Biotech of any product performance issues observed or experienced within 30 days of receipt of said product. To see additional details on this or any of our other policies, please see our Terms & Conditions page.Item has been added to Shopping Cart
If you are ready to order, navigate to Shopping Cart and get ready to checkout.
