Rabbit WNT5A Polyclonal Antibody | anti-WNT5A antibody
WNT5A antibody - middle region
WB (Western Blot)
(WB Suggested Anti-WNT5A Antibody Titration: 1 ug/mlPositive Control: Hela cell lysateWNT5A is strongly supported by BioGPS gene expression data to be expressed in Human HeLa cells)
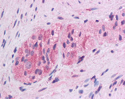
IHC (Immunohistochemistry)
(Rabbit Anti-WNT5A AntibodyFormalin Fixed Paraffin Embedded Tissue: Human Adult heartObserved Staining: Cytoplasmic,MembranePrimary Antibody Concentration: 1:600Secondary Antibody: Donkey anti-Rabbit-Cy2/3Secondary Antibody Concentration: 1:200Magnification: 20XExposure Time: 0.5 - 2.0 secProtocol located in Reviews and Data.)
Target Description: The WNT gene family consists of structurally related genes which encode secreted signaling proteins. These proteins have been implicated in oncogenesis and in several developmental processes, including regulation of cell fate and patterning during embryogenesis. WNT5A is a member of the WNT protein family. It shows 98%, 98% and 87% amino acid identity to the mouse, rat and the xenopus Wnt5A protein, respectively. The experiments performed in Xenopus laevis embryos identified that human frizzled-5 (hFz5) is the receptor for the Wnt5A ligand and the Wnt5A/hFz5 signaling mediates axis induction.The WNT gene family consists of structurally related genes which encode secreted signaling proteins. These proteins have been implicated in oncogenesis and in several developmental processes, including regulation of cell fate and patterning during embryogenesis. This gene is a member of the WNT gene family. It encodes a protein which shows 98%, 98% and 87% amino acid identity to the mouse, rat and the xenopus Wnt5A protein, respectively. The experiments performed in Xenopus laevis embryos identified that human frizzled-5 (hFz5) is the receptor for the Wnt5A ligand and the Wnt5A/hFz5 signaling mediates axis induction. Publication Note: This RefSeq record includes a subset of the publications that are available for this gene. Please see the Entrez Gene record to access additional publications.
NCBI and Uniprot Product Information
Similar Products
Product Notes
The WNT5A wnt5a (Catalog #AAA197291) is an Antibody produced from Rabbit and is intended for research purposes only. The product is available for immediate purchase. The WNT5A antibody - middle region reacts with Cow, Dog, Guinea Pig, Horse, Human, Mouse, Rabbit, Rat, Zebrafish and may cross-react with other species as described in the data sheet. AAA Biotech's WNT5A can be used in a range of immunoassay formats including, but not limited to, IHC (Immunohistochemistry), WB (Western Blot). Researchers should empirically determine the suitability of the WNT5A wnt5a for an application not listed in the data sheet. Researchers commonly develop new applications and it is an integral, important part of the investigative research process. The amino acid sequence is listed below: Synthetic peptide located within the following region: GGCGDNIDYG YRFAKEFVDA RERERIHAKG SYESARILMN LHNNEAGRRT. It is sometimes possible for the material contained within the vial of "WNT5A, Polyclonal Antibody" to become dispersed throughout the inside of the vial, particularly around the seal of said vial, during shipment and storage. We always suggest centrifuging these vials to consolidate all of the liquid away from the lid and to the bottom of the vial prior to opening. Please be advised that certain products may require dry ice for shipping and that, if this is the case, an additional dry ice fee may also be required.Precautions
All products in the AAA Biotech catalog are strictly for research-use only, and are absolutely not suitable for use in any sort of medical, therapeutic, prophylactic, in-vivo, or diagnostic capacity. By purchasing a product from AAA Biotech, you are explicitly certifying that said products will be properly tested and used in line with industry standard. AAA Biotech and its authorized distribution partners reserve the right to refuse to fulfill any order if we have any indication that a purchaser may be intending to use a product outside of our accepted criteria.Disclaimer
Though we do strive to guarantee the information represented in this datasheet, AAA Biotech cannot be held responsible for any oversights or imprecisions. AAA Biotech reserves the right to adjust any aspect of this datasheet at any time and without notice. It is the responsibility of the customer to inform AAA Biotech of any product performance issues observed or experienced within 30 days of receipt of said product. To see additional details on this or any of our other policies, please see our Terms & Conditions page.Item has been added to Shopping Cart
If you are ready to order, navigate to Shopping Cart and get ready to checkout.
