Rabbit ZFHX1B Polyclonal Antibody | anti-ZEB2 antibody
ZFHX1B antibody - N-terminal region
Gene Names
ZEB2; SIP1; SIP-1; ZFHX1B; HSPC082; SMADIP1
Reactivity
Cow, Dog, Guinea Pig, Horse, Human, Mouse, Rabbit, Rat, Yeast, Zebrafish
Applications
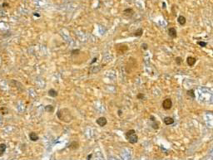
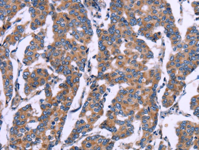
Western Blot, Immunohistochemistry
Purity
Affinity Purified
Synonyms
ZFHX1B, Antibody; ZFHX1B antibody - N-terminal region; anti-ZEB2 antibody
Host
Rabbit
Reactivity
Cow, Dog, Guinea Pig, Horse, Human, Mouse, Rabbit, Rat, Yeast, Zebrafish
Clonality
Polyclonal
Purity/Purification
Affinity Purified
Form/Format
Liquid. Purified antibody supplied in 1x PBS buffer with 0.09% (w/v) sodium azide and 2% sucrose.
Sequence
Synthetic peptide located within the following region: NVVDTGSETDEEDKLHIAEDDGIANPLDQETSPASVPNHESSPHVSQALL
Sequence Length
1214
Applicable Applications for anti-ZEB2 antibody
WB (Western Blot), IHC (Immunohistochemistry)
Homology
Cow: 86%; Dog: 93%; Guinea Pig: 100%; Horse: 93%; Human: 100%; Mouse: 93%; Rabbit: 100%; Rat: 100%; Yeast: 75%; Zebrafish: 75%
Immunogen
The immunogen is a synthetic peptide directed towards the N terminal region of human ZFHX1B
Preparation and Storage
For short term use, store at 2-8 degree C up to 1 week. For long term storage, store at -20 degree C in small aliquots to prevent freeze-thaw cycles.
Related Product Information for anti-ZEB2 antibody
This is a rabbit polyclonal antibody against ZEB2. It was validated on Western Blot using a cell lysate as a positive control.
Target Description: The ZFHX1B gene is a member of the delta-EF1/Zfh1 family of 2-handed zinc finger/homeodomain proteins. ZFHX1B is strongly transcribed at an early stage in the developing peripheral and central nervous systems of both mice and humans, in all neuronal regions of the brains of 25-week human fetuses and adult mice, and in numerous nonneural tissues.The SMADIP1 gene (also known as SIP1) is a member of the delta-EF1 (ZEB1; MIM 189909)/Zfh1 family of 2-handed zinc finger/homeodomain proteins. SMADIP1 interacts with receptor-mediated, activated full-length SMADs (see MIM 605568) (Verschueren et al., 1999 [PubMed 10400677]).[supplied by OMIM]. Publication Note: This RefSeq record includes a subset of the publications that are available for this gene. Please see the Entrez Gene record to access additional publications. PRIMARYREFSEQ_SPAN PRIMARY_IDENTIFIER PRIMARY_SPAN COMP 1-58 AB056507.1 1-58 59-553 AL118674.1 57-551 554-5558 AB056507.1 553-5557 5559-5583 AI858477.1 1-25 c
Target Description: The ZFHX1B gene is a member of the delta-EF1/Zfh1 family of 2-handed zinc finger/homeodomain proteins. ZFHX1B is strongly transcribed at an early stage in the developing peripheral and central nervous systems of both mice and humans, in all neuronal regions of the brains of 25-week human fetuses and adult mice, and in numerous nonneural tissues.The SMADIP1 gene (also known as SIP1) is a member of the delta-EF1 (ZEB1; MIM 189909)/Zfh1 family of 2-handed zinc finger/homeodomain proteins. SMADIP1 interacts with receptor-mediated, activated full-length SMADs (see MIM 605568) (Verschueren et al., 1999 [PubMed 10400677]).[supplied by OMIM]. Publication Note: This RefSeq record includes a subset of the publications that are available for this gene. Please see the Entrez Gene record to access additional publications. PRIMARYREFSEQ_SPAN PRIMARY_IDENTIFIER PRIMARY_SPAN COMP 1-58 AB056507.1 1-58 59-553 AL118674.1 57-551 554-5558 AB056507.1 553-5557 5559-5583 AI858477.1 1-25 c
Product Categories/Family for anti-ZEB2 antibody
NCBI and Uniprot Product Information
NCBI GI #
NCBI GeneID
NCBI Accession #
NCBI GenBank Nucleotide #
UniProt Accession #
Molecular Weight
136kDa
NCBI Official Full Name
zinc finger E-box-binding homeobox 2 isoform 1
NCBI Official Synonym Full Names
zinc finger E-box binding homeobox 2
NCBI Official Symbol
ZEB2
NCBI Official Synonym Symbols
SIP1; SIP-1; ZFHX1B; HSPC082; SMADIP1
NCBI Protein Information
zinc finger E-box-binding homeobox 2
UniProt Protein Name
Zinc finger E-box-binding homeobox 2
UniProt Gene Name
ZEB2
UniProt Synonym Gene Names
KIAA0569; SIP1; ZFHX1B; ZFX1B; SMADIP1
UniProt Entry Name
ZEB2_HUMAN
Customer Reviews
Loading reviews...
Share Your Experience
Similar Products
Product Notes
The ZEB2 zeb2 (Catalog #AAA197640) is an Antibody produced from Rabbit and is intended for research purposes only. The product is available for immediate purchase. The ZFHX1B antibody - N-terminal region reacts with Cow, Dog, Guinea Pig, Horse, Human, Mouse, Rabbit, Rat, Yeast, Zebrafish and may cross-react with other species as described in the data sheet. AAA Biotech's ZFHX1B can be used in a range of immunoassay formats including, but not limited to, WB (Western Blot), IHC (Immunohistochemistry). Researchers should empirically determine the suitability of the ZEB2 zeb2 for an application not listed in the data sheet. Researchers commonly develop new applications and it is an integral, important part of the investigative research process. The amino acid sequence is listed below: Synthetic peptide located within the following region: NVVDTGSETD EEDKLHIAED DGIANPLDQE TSPASVPNHE SSPHVSQALL. It is sometimes possible for the material contained within the vial of "ZFHX1B, Polyclonal Antibody" to become dispersed throughout the inside of the vial, particularly around the seal of said vial, during shipment and storage. We always suggest centrifuging these vials to consolidate all of the liquid away from the lid and to the bottom of the vial prior to opening. Please be advised that certain products may require dry ice for shipping and that, if this is the case, an additional dry ice fee may also be required.Precautions
All products in the AAA Biotech catalog are strictly for research-use only, and are absolutely not suitable for use in any sort of medical, therapeutic, prophylactic, in-vivo, or diagnostic capacity. By purchasing a product from AAA Biotech, you are explicitly certifying that said products will be properly tested and used in line with industry standard. AAA Biotech and its authorized distribution partners reserve the right to refuse to fulfill any order if we have any indication that a purchaser may be intending to use a product outside of our accepted criteria.Disclaimer
Though we do strive to guarantee the information represented in this datasheet, AAA Biotech cannot be held responsible for any oversights or imprecisions. AAA Biotech reserves the right to adjust any aspect of this datasheet at any time and without notice. It is the responsibility of the customer to inform AAA Biotech of any product performance issues observed or experienced within 30 days of receipt of said product. To see additional details on this or any of our other policies, please see our Terms & Conditions page.Item has been added to Shopping Cart
If you are ready to order, navigate to Shopping Cart and get ready to checkout.
