WB (Western Blot)
(WB Suggested Anti-ZNF180 Antibody Titration: 0.2-1 ug/mlELISA Titer: 1:1562500Positive Control: 293T cell lysateZNF180 is supported by BioGPS gene expression data to be expressed in HEK293T)
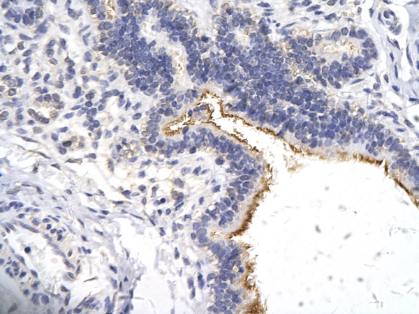
IHC (Immunohistochemistry)
(Rabbit Anti-ZNF180 antibodyParaffin Embedded Tissue: Human Lung cellCellular Data: Epithelial cells of renal tubuleAntibody Concentration: 4.0-8.0 ug/mlMagnification: 400X)
Target Description: ZNF180 belongs to the krueppel C2H2-type zinc-finger protein family. It contains 12 C2H2-type zinc fingers and 1 KRAB domain. ZNF180 may be involved in transcriptional regulation.Zinc finger proteins have been shown to interact with nucleic acids and to have diverse functions. The zinc finger domain is a conserved amino acid sequence motif containing 2 specifically positioned cysteines and 2 histidines that are involved in coordinating zinc. Kruppel-related proteins form 1 family of zinc finger proteins. See MIM 604749 for additional information on zinc finger proteins.[supplied by OMIM]. PRIMARYREFSEQ_SPAN PRIMARY_IDENTIFIER PRIMARY_SPAN COMP 1-2361 AK315193.1 1-2361 2362-2395 AF192913.1 2345-2378 2396-2832 DB496139.1 43-479 2833-3140 AI472318.1 1-308 c
NCBI and Uniprot Product Information
Customer Reviews
Loading reviews...
Share Your Experience
Similar Products
Product Notes
The ZNF180 znf180 (Catalog #AAA198037) is an Antibody produced from Rabbit and is intended for research purposes only. The product is available for immediate purchase. The ZNF180 antibody - middle region reacts with Dog, Horse, Human, Rat and may cross-react with other species as described in the data sheet. AAA Biotech's ZNF180 can be used in a range of immunoassay formats including, but not limited to, WB (Western Blot). Researchers should empirically determine the suitability of the ZNF180 znf180 for an application not listed in the data sheet. Researchers commonly develop new applications and it is an integral, important part of the investigative research process. The amino acid sequence is listed below: Synthetic peptide located within the following region: LHIHEKIHGG GKTFDFKECG QVLNPKISHN EQQRIPFEES QYKCSETSHS. It is sometimes possible for the material contained within the vial of "ZNF180, Polyclonal Antibody" to become dispersed throughout the inside of the vial, particularly around the seal of said vial, during shipment and storage. We always suggest centrifuging these vials to consolidate all of the liquid away from the lid and to the bottom of the vial prior to opening. Please be advised that certain products may require dry ice for shipping and that, if this is the case, an additional dry ice fee may also be required.Precautions
All products in the AAA Biotech catalog are strictly for research-use only, and are absolutely not suitable for use in any sort of medical, therapeutic, prophylactic, in-vivo, or diagnostic capacity. By purchasing a product from AAA Biotech, you are explicitly certifying that said products will be properly tested and used in line with industry standard. AAA Biotech and its authorized distribution partners reserve the right to refuse to fulfill any order if we have any indication that a purchaser may be intending to use a product outside of our accepted criteria.Disclaimer
Though we do strive to guarantee the information represented in this datasheet, AAA Biotech cannot be held responsible for any oversights or imprecisions. AAA Biotech reserves the right to adjust any aspect of this datasheet at any time and without notice. It is the responsibility of the customer to inform AAA Biotech of any product performance issues observed or experienced within 30 days of receipt of said product. To see additional details on this or any of our other policies, please see our Terms & Conditions page.Item has been added to Shopping Cart
If you are ready to order, navigate to Shopping Cart and get ready to checkout.
