Rabbit anti-Human MALT1 (MALT-Lymphoma Marker) Antibody | anti-MALT1 antibody
MALT1 (MALT-Lymphoma Marker)
Gene Names
MALT1; MLT; MLT1; IMD12; PCASP1
Reactivity
Human
Applications
Immunohistochemistry
Purity
Purified Ab with BSA and Azide at 200ug/ml OR Purified Ab WITHOUT BSA and Azide at 1.0mg/ml
Synonyms
MALT1 (MALT-Lymphoma Marker); N/A; Caspase-like protein; MALT lymphoma-associated translocation; MLT1; Mucosa-associated lymphoid tissue lymphoma translocation protein 1; Paracaspase; anti-MALT1 antibody
Host
Rabbit
Reactivity
Human
Isotype
IgG
Clone Number
MT1/3159R
Specificity
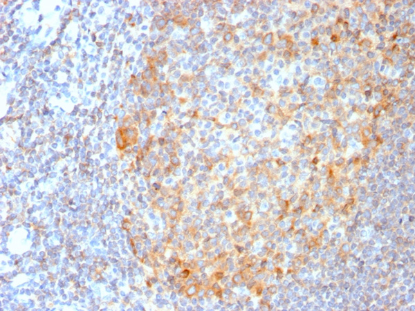
Mucosa associated lymphoid tissue lymphoma translocation gene 1 (MALT1) is found in extranodal low-grade B cell lymphomas. MALT1 encodes two Ig-like C2-type domains and fuses with an API2 gene, which is highly expressed in adult lymphoid tissue. The translocation of this MALT1 gene, which maps to human chromosome 18q21, and the apoptosis-inhibiting API2 gene results in an increased development of MALT lymphomas and apoptosis inhibition. Sites at which this API2-MALT1 (11;18)(q21;q21) translocation commonly occurs are within human lung and kidney tissue. MALT lymphoma expresses nuclear Bcl10, which mediates the oligomerization and activation of a MALT1 caspase-like domain. MALT1 mRNA is found in pre-B cells, mature B cells and plasma cells.
Purity/Purification
Purified Ab with BSA and Azide at 200ug/ml OR Purified Ab WITHOUT BSA and Azide at 1.0mg/ml
Form/Format
200ug/ml of Ab Purified from Bioreactor Concentrate by Protein A/G. Prepared in 10mM PBS with 0.05% BSA & 0.05% azide. Also available WITHOUT BSA & azide at 1.0mg/ml.
Sequence Length
824
Applicable Applications for anti-MALT1 antibody
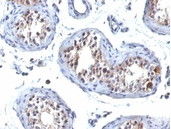
IHC (Immunohistochemistry)
Positive Control
Jurkat, Daudi or HeLa cells. Tonsil or lymphoma.
Immunogen
Human MALT1 recombinant fragment (aa701-808)
Cellular Localization
Cytoplasmic
Hu-chromosome Location
18q21.32
Antibody Type
Recombinant Rabbit Monoclonal Antibody
Preparation and Storage
Antibody with azide: store at 2 to 8 degree C.
Antibody without azide: store at -20 to -80 degree C.
Antibody is stable for 24 months. Non-hazardous. No MSDS required.
Antibody without azide: store at -20 to -80 degree C.
Antibody is stable for 24 months. Non-hazardous. No MSDS required.
References
Ye H., et. al. J Pathol 2005; 205: 293-301.
NCBI and Uniprot Product Information
NCBI GI #
NCBI GeneID
NCBI Accession #
NCBI GenBank Nucleotide #
UniProt Accession #
Molecular Weight
93kDa
NCBI Official Full Name
mucosa-associated lymphoid tissue lymphoma translocation protein 1 isoform a
NCBI Official Synonym Full Names
MALT1 paracaspase
NCBI Official Symbol
MALT1
NCBI Official Synonym Symbols
MLT; MLT1; IMD12; PCASP1
NCBI Protein Information
mucosa-associated lymphoid tissue lymphoma translocation protein 1
UniProt Protein Name
Mucosa-associated lymphoid tissue lymphoma translocation protein 1
UniProt Gene Name
MALT1
UniProt Synonym Gene Names
MLT
UniProt Entry Name
MALT1_HUMAN
Customer Reviews
Loading reviews...
Share Your Experience
Similar Products
Product Notes
The MALT1 malt1 (Catalog #AAA214886) is an Antibody produced from Rabbit and is intended for research purposes only. The product is available for immediate purchase. The MALT1 (MALT-Lymphoma Marker) reacts with Human and may cross-react with other species as described in the data sheet. AAA Biotech's MALT1 (MALT-Lymphoma Marker) can be used in a range of immunoassay formats including, but not limited to, IHC (Immunohistochemistry). Researchers should empirically determine the suitability of the MALT1 malt1 for an application not listed in the data sheet. Researchers commonly develop new applications and it is an integral, important part of the investigative research process. It is sometimes possible for the material contained within the vial of "MALT1 (MALT-Lymphoma Marker), Antibody" to become dispersed throughout the inside of the vial, particularly around the seal of said vial, during shipment and storage. We always suggest centrifuging these vials to consolidate all of the liquid away from the lid and to the bottom of the vial prior to opening. Please be advised that certain products may require dry ice for shipping and that, if this is the case, an additional dry ice fee may also be required.Precautions
All products in the AAA Biotech catalog are strictly for research-use only, and are absolutely not suitable for use in any sort of medical, therapeutic, prophylactic, in-vivo, or diagnostic capacity. By purchasing a product from AAA Biotech, you are explicitly certifying that said products will be properly tested and used in line with industry standard. AAA Biotech and its authorized distribution partners reserve the right to refuse to fulfill any order if we have any indication that a purchaser may be intending to use a product outside of our accepted criteria.Disclaimer
Though we do strive to guarantee the information represented in this datasheet, AAA Biotech cannot be held responsible for any oversights or imprecisions. AAA Biotech reserves the right to adjust any aspect of this datasheet at any time and without notice. It is the responsibility of the customer to inform AAA Biotech of any product performance issues observed or experienced within 30 days of receipt of said product. To see additional details on this or any of our other policies, please see our Terms & Conditions page.Item has been added to Shopping Cart
If you are ready to order, navigate to Shopping Cart and get ready to checkout.
