Rabbit CLEC4D Antibody | anti-CLEC4D antibody
CLEC4D Antibody
Gene Names
CLEC4D; MCL; MPCL; CD368; CLEC6; CLEC-6; CLECSF8; Dectin-3
Reactivity
Human, Mouse, Rat
Applications
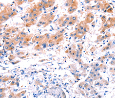
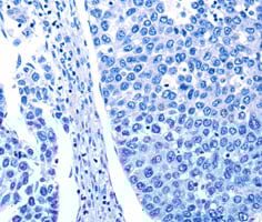
Immunohistochemistry, Western Blot
Purity
Affinity purification
Synonyms
CLEC4D; N/A; CLEC4D Antibody; MCL; MPCL; CLEC6; CLEC-6; CLECSF8; anti-CLEC4D antibody
Host
Rabbit
Reactivity
Human, Mouse, Rat
Isotype
IgG
Purity/Purification
Affinity purification
Sequence Length
215
Applicable Applications for anti-CLEC4D antibody
IHC (Immunohistochemistry), WB (Western Blot)
Immunogen
Recombinant protein of human CLEC4D
Storage Buffer
PBS with 0.02% sodium azide, 50% glycerol, pH7.3.
Preparation and Storage
Store at-20 degree C or-80 degree C. Avoid freeze/thaw cycles.
Related Product Information for anti-CLEC4D antibody
This gene encodes a member of the C-type lectin/C-type lectin-like domain (CTL/CTLD) superfamily. Members of this family share a common protein fold and have diverse functions, such as cell adhesion, cell-cell signalling, glycoprotein turnover, and roles in inflammation and immune response. This gene is closely linked to other CTL/CTLD superfamily members on chromosome 12p13 in the natural killer gene complex region. [provided by RefSeq, Jul 2008]
Product Categories/Family for anti-CLEC4D antibody
NCBI and Uniprot Product Information
NCBI GI #
NCBI GeneID
NCBI Accession #
NCBI GenBank Nucleotide #
Molecular Weight
25kDa
NCBI Official Full Name
C-type lectin domain family 4 member D
NCBI Official Synonym Full Names
C-type lectin domain family 4 member D
NCBI Official Symbol
CLEC4D
NCBI Official Synonym Symbols
MCL; MPCL; CD368; CLEC6; CLEC-6; CLECSF8; Dectin-3
NCBI Protein Information
C-type lectin domain family 4 member D
UniProt Protein Name
C-type lectin domain family 4 member D
UniProt Gene Name
CLEC4D
UniProt Synonym Gene Names
CLECSF8; MCL; CLEC-6
Customer Reviews
Loading reviews...
Share Your Experience
Similar Products
Product Notes
The CLEC4D clec4d (Catalog #AAA267181) is an Antibody produced from Rabbit and is intended for research purposes only. The product is available for immediate purchase. The CLEC4D Antibody reacts with Human, Mouse, Rat and may cross-react with other species as described in the data sheet. AAA Biotech's CLEC4D can be used in a range of immunoassay formats including, but not limited to, IHC (Immunohistochemistry), WB (Western Blot). Researchers should empirically determine the suitability of the CLEC4D clec4d for an application not listed in the data sheet. Researchers commonly develop new applications and it is an integral, important part of the investigative research process. It is sometimes possible for the material contained within the vial of "CLEC4D, Antibody" to become dispersed throughout the inside of the vial, particularly around the seal of said vial, during shipment and storage. We always suggest centrifuging these vials to consolidate all of the liquid away from the lid and to the bottom of the vial prior to opening. Please be advised that certain products may require dry ice for shipping and that, if this is the case, an additional dry ice fee may also be required.Precautions
All products in the AAA Biotech catalog are strictly for research-use only, and are absolutely not suitable for use in any sort of medical, therapeutic, prophylactic, in-vivo, or diagnostic capacity. By purchasing a product from AAA Biotech, you are explicitly certifying that said products will be properly tested and used in line with industry standard. AAA Biotech and its authorized distribution partners reserve the right to refuse to fulfill any order if we have any indication that a purchaser may be intending to use a product outside of our accepted criteria.Disclaimer
Though we do strive to guarantee the information represented in this datasheet, AAA Biotech cannot be held responsible for any oversights or imprecisions. AAA Biotech reserves the right to adjust any aspect of this datasheet at any time and without notice. It is the responsibility of the customer to inform AAA Biotech of any product performance issues observed or experienced within 30 days of receipt of said product. To see additional details on this or any of our other policies, please see our Terms & Conditions page.Item has been added to Shopping Cart
If you are ready to order, navigate to Shopping Cart and get ready to checkout.
