Rat Mannose Receptor C Type 1 (MRC1) Assay Kit | MRC1 assay kit
Mannose Receptor C Type 1 (MRC1) Magnetic Fluorescence Assay Kit
Reactivity
Rat
Synonyms
Mannose Receptor C Type 1 (MRC1); N/A; Mannose Receptor C Type 1 (MRC1) Magnetic Fluorescence Assay Kit; CD206; CLEC13D, CLEC13DL, MRC1L1; C-type lectin domain family 13 member D-like; Macrophage mannose receptor 1-like protein 1; Mannose Receptor C Type 1; MRC1 assay kit
Reactivity
Rat
Specificity
This assay has high sensitivity and excellent specificity for detection of Mannose Receptor C Type 1 (MRC1), etc.
No significant cross-reactivity or interference between Mannose Receptor C Type 1 (MRC1), etc. and analogues was observed.
No significant cross-reactivity or interference between Mannose Receptor C Type 1 (MRC1), etc. and analogues was observed.
Assay Type
Double-antibody Sandwich
Samples
serum, plasma, tissue homogenates, cell lysates, cell culture supernates and other biological fluids
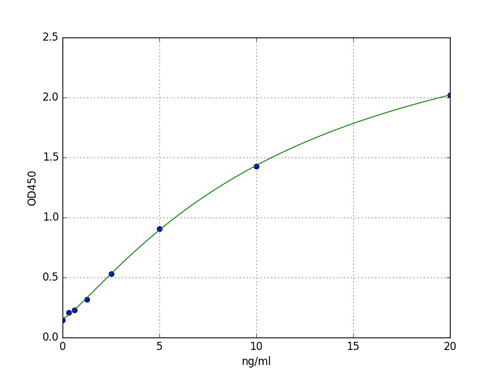
Detection Range
0.01-10ng/mL
Sensitivity
The minimum detectable dose of this kit is typically less than 0.003 ng/mL
Precision
Intra-assay Precision (Precision within an assay): 3 samples with low, middle and high level Mannose Receptor C Type 1 (MRC1), etc. were tested 20 times on one plate, respectively.
Inter-assay Precision (Precision between assays): 3 samples with low, middle and high level Mannose Receptor C Type 1 (MRC1), etc. were tested on 3 different plates, 8 replicates in each plate.
CV(%) = SD/meanX100
Intra-Assay: CV<10%
Inter-Assay: CV<12%
Inter-assay Precision (Precision between assays): 3 samples with low, middle and high level Mannose Receptor C Type 1 (MRC1), etc. were tested on 3 different plates, 8 replicates in each plate.
CV(%) = SD/meanX100
Intra-Assay: CV<10%
Inter-Assay: CV<12%
Research Area
Signal transduction, Infection immunity
Assay Procedure Summary
1. Preparation of standards, reagents and samples before the experiment
2. Add 100uL standard or sample to each well,
add 10uL magnetic beads, and incubate 90min at 37 degree C on shaker
3. Remove liquid on magnetic frame, add 100uL prepared Detection Reagent A. Incubate 60min at 37 degree C on shaker
4. Wash plate on magnetic frame for three times
5. Add 100uL prepared Detection Reagent B, and incubate 30 min at 37 degree C on shaker
6. Wash plate on magnetic frame for three times
7. Add 100uL sheath solution, swirl for 2 minutes, read on the machine.
2. Add 100uL standard or sample to each well,
add 10uL magnetic beads, and incubate 90min at 37 degree C on shaker
3. Remove liquid on magnetic frame, add 100uL prepared Detection Reagent A. Incubate 60min at 37 degree C on shaker
4. Wash plate on magnetic frame for three times
5. Add 100uL prepared Detection Reagent B, and incubate 30 min at 37 degree C on shaker
6. Wash plate on magnetic frame for three times
7. Add 100uL sheath solution, swirl for 2 minutes, read on the machine.
Test Principle
Analyte-specific antibodies are pre-coated onto color-coded microparticles. Microparticles, standards, and samples are pipetted into wells and the immobilized antibodies bind the analytes of interest. After washing away any unbound substances, a biotinylated antibody cocktail specific to the analytes of interest is added to each well. Following a wash to remove any unbound biotinylated antibody, Streptavidin-Phycoerythrin conjugate (Streptavidin-PE), which binds to the biotinylated detection antibodies, is added to each well. A final wash removes unbound Streptavidin-PE and the microparticles are resuspended in buffer and read using fluorescent spectrum analyzer.The MFI developed isproportional to the concentration of analytes of interest in the sample.
Preparation and Storage
The stability of kit is determined by the loss rate of activity. The loss rate of this kit is less than 5% within the expiration date under appropriate storage condition.
To minimize extra influence on the performance, operation procedures and lab conditions, especially room temperature, air humidity, incubator temperature should be strictly controlled. It is also strongly suggested that the whole assay is performed by the same operator from the beginning to the end.
To minimize extra influence on the performance, operation procedures and lab conditions, especially room temperature, air humidity, incubator temperature should be strictly controlled. It is also strongly suggested that the whole assay is performed by the same operator from the beginning to the end.
Customer Reviews
Loading reviews...
Share Your Experience
Similar Products
Product Notes
The Rat MRC1 (Catalog #AAA157004) is an Assay Kit and is intended for research purposes only. The product is available for immediate purchase. The AAA157004 Assay Kit recognizes Rat MRC1. It is sometimes possible for the material contained within the vial of "Mannose Receptor C Type 1 (MRC1), Assay Kit" to become dispersed throughout the inside of the vial, particularly around the seal of said vial, during shipment and storage. We always suggest centrifuging these vials to consolidate all of the liquid away from the lid and to the bottom of the vial prior to opening. Please be advised that certain products may require dry ice for shipping and that, if this is the case, an additional dry ice fee may also be required.Precautions
All products in the AAA Biotech catalog are strictly for research-use only, and are absolutely not suitable for use in any sort of medical, therapeutic, prophylactic, in-vivo, or diagnostic capacity. By purchasing a product from AAA Biotech, you are explicitly certifying that said products will be properly tested and used in line with industry standard. AAA Biotech and its authorized distribution partners reserve the right to refuse to fulfill any order if we have any indication that a purchaser may be intending to use a product outside of our accepted criteria.Disclaimer
Though we do strive to guarantee the information represented in this datasheet, AAA Biotech cannot be held responsible for any oversights or imprecisions. AAA Biotech reserves the right to adjust any aspect of this datasheet at any time and without notice. It is the responsibility of the customer to inform AAA Biotech of any product performance issues observed or experienced within 30 days of receipt of said product. To see additional details on this or any of our other policies, please see our Terms & Conditions page.Item has been added to Shopping Cart
If you are ready to order, navigate to Shopping Cart and get ready to checkout.
