Loading...

Skip to main content
Call us at +1-800-604-9114 for more information about our products or contact us online Need help? +1-800-604-9114 or contact us

Filters


Clonality

Type

Reactivity

Gene Name

Isotype

Host

Application

Clone

Viewing 5100-5150 of 265194 product results


product-image-AAA16813_SC.jpg Standard Curve (Sample)

RegeneRating Islet Derived Protein 1 Alpha, ELISA Kit (Cat# AAA16813)

No reviews yet
Full Name
Porcine RegeneRating Islet Derived Protein 1 Alpha ELISA Kit
Reactivity
Porcine
Pricing
product-image-AAA20405_SC.jpg Standard Curve (Sample)

Kynureninase (KYNU), ELISA Kit (Cat# AAA20405)

No reviews yet
Full Name
Human Kynureninase (KYNU) ELISA Kit
Reactivity
Human
Pricing
product-image-AAA24553_WB7.jpg WB (Western Blot) (LETM1 monoclonal antibody Western Blot analysis of LETM1 expression in HeLa.)

LETM1 and EF-hand Domain Containing Protein 1, Monoclonal Antibody (Cat# AAA24553)

No reviews yet
Full Name
LETM1 and EF-hand Domain Containing Protein 1, Mitochondrial (LETM1, Leucine Zipper-EF-hand-containing Transmembrane Protein 1) APC
Reactivity
Human
Applications
EIA, IF, IHC, IP, WB
Purity
Purified by Protein A Affinity Chromatography.
Pricing
product-image-AAA27625_SC.jpg Standard Curve (Sample)

GPX1 (Glutathione peroxidase 1), ELISA Kit (Cat# AAA27625)

No reviews yet
Full Name
Porcine GPX1 (Glutathione peroxidase 1) ELISA Kit
Reactivity
Porcine
Pricing
product-image-AAA30187_IC16.jpg IF (Immunofluorescence) (Immunofluorescent analysis of HeLa cells, using S100A4 Antibody.)

S100A4, Monoclonal Antibody (Cat# AAA30187)

No reviews yet
Full Name
S100A4 Antibody
Gene Names
S100A4; 42A; 18A2; CAPL; FSP1; MTS1; P9KA; PEL98
Reactivity
Human, Mouse, Rat
Applications
WB, ICC, IF, IHC, IP, FC/FACS
Purity
Affinity-chromatography
Pricing
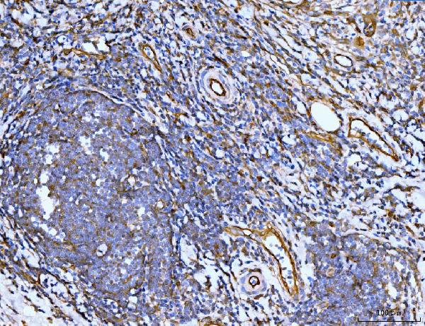
product-image-AAA19180_IHC6.jpg IHC (Immunohistchemistry) (Figure 6. IHC analysis of MED9 using anti-MED9 antibody (AAA19180).MED9 was detected in paraffin-embedded section of human mammary cancer tissue. Heat mediated antigen retrieval was performed in citrate buffer (pH6, epitope retrieval solution) for 20 mins. The tissue section was blocked with 10% goat serum. The tissue section was then incubated with 1ug/ml rabbit anti-MED9 Antibody (AAA19180) overnight at 4 degree C. Biotinylated goat anti-rabbit IgG was used as secondary antibody and incubated for 30 minutes at 37 degree C. The tissue section was developed using Strepavidin-Biotin-Complex (SABC) with DAB as the chromogen.)

MED9, Polyclonal Antibody (Cat# AAA19180)

No reviews yet
Full Name
Anti-MED9 Picoband Antibody
Gene Names
MED9; MED25
Reactivity
Human, Mouse, Rat
No cross reactivity with other proteins.
Applications
EIA, IHC, WB
Purity
Immunogen affinity purified
Pricing
product-image-AAA28399_IF6.jpg IF (Immunofluorescence) (Immunofluorescence analysis of U-2 OS cells using Tubulin alpha-1B/K-alpha-1 Rabbit mAb at dilution of 1:100 (40x lens). Blue: DAPI for nuclear staining.)

Tubulin alpha-1B/K-alpha-1, Monoclonal Antibody (Cat# AAA28399)

No reviews yet
Full Name
Tubulin alpha-1B/K-alpha-1 Rabbit mAb
Gene Names
TUBA1B; K-ALPHA-1
Reactivity
Human, Mouse, Rat
Applications
WB, IHC, IF
Purity
Affinity purification
Pricing
product-image-AAA25746_APP7.jpg Application Data (Proximity Ligation Analysis of protein-protein interactions between CDC6 and MCM7. Huh7 cells were stained with anti-CDC6 rabbit purified polyclonal 1:600 and anti-MCM7 mouse monoclonal antibody 1:100. Each red dot represents the detection of protein-protein interaction complex, and nuclei were counterstained with DAPI (blue).)

MCM7, Monoclonal Antibody (Cat# AAA25746)

No reviews yet
Full Name
MCM7 (DNA Replication Licensing Factor MCM7, CDC47 Homolog, P1.1-MCM3, CDC47, MCM2) (PE)
Gene Names
MCM7; MCM2; CDC47; P85MCM; P1CDC47; PNAS146; PPP1R104; P1.1-MCM3
Reactivity
Human
Applications
Immunofluorescence, Immunohistochemistry, Western Blot
Purity
Purified by Protein A Affinity Chromatography.
Pricing
product-image-AAA28097_IHC6.jpg IHC (Immunohistchemistry) (Immunohistochemistry of paraffin-embedded mouse kidney using TAPBP Antibody at dilution of 1:200 (40x lens).)

TAPBP, Polyclonal Antibody (Cat# AAA28097)

No reviews yet
Full Name
TAPBP Polyclonal Antibody
Gene Names
TAPBP; TPN; TAPA; TPSN; NGS17
Reactivity
Human, Mouse
Applications
Western Blot, Immunohistochemistry, Immunofluorescence
Purity
Affinity Purification
Pricing
product-image-AAA28320_IF6.jpg IF (Immunofluorescence) (Immunofluorescence analysis of PC12 cells using VDAC1 / Porin antibody at dilution of 1:100. Blue: DAPI for nuclear staining.)

VDAC1/Porin, Polyclonal Antibody (Cat# AAA28320)

No reviews yet
Full Name
VDAC1/Porin Rabbit pAb
Gene Names
VDAC1; PORIN; VDAC-1
Reactivity
Human, Mouse, Rat
Applications
Western Blot, Immunohistochemistry, Immunofluorescence
Purity
Affinity purification
Pricing
product-image-AAA29130_IHC7.jpg IHC (Immunohistochemistry) (Dilution: Western Blot: 1/500 - 1/2000. Immunohistochemistry: 1/100 - 1/300. ELISA: 1/20000. Not yet tested in other applications.)

TGase2, Polyclonal Antibody (Cat# AAA29130)

No reviews yet
Full Name
TGase2 Polyclonal Antibody
Gene Names
TGM2; TG2; TGC; GNAH; G-ALPHA-h
Reactivity
Human, Mouse
Applications
Western Blot, Immunohistochemistry
Pricing
product-image-AAA18595_SDS_PAGE.jpg SDS-PAGE

Fusion glycoprotein F0 (F), Recombinant Protein (Cat# AAA18595)

No reviews yet
Full Name
Recombinant Human respiratory syncytial virus A Fusion glycoprotein F0 (F), partial
Purity
Greater or equal to 85% purity as determined by SDS-PAGE.
Pricing
product-image-AAA12186_APP9.jpg Application Data (Published customer image Infiltration of GFP+ BM-cells in infarct and peri-infarct regions. (A-B) Dot plots of viable macrophages/granulocytes (CD11b+CD45high, top right quadrants) and microglia (CD11b+CD45dim, bottom right quadrants) in cortex from BM-chimeric unmanipulated mice and mice exposed to pMCAO. (C) Bar graph showing mean numbers of CD11b+CD45dim microglia and CD11b+CD45high macrophages/granulocytes in BM-chimeric mice 24 hours after pMCAO, subdivided based on expression of GFP (n = 5). Approximately 92% of of the CD45high population were GFP+. (D) Estimation and comparison of mean numbers of CD11b+CD45dim microglia in non-chimeric (n = 10) versus BM-chimeric mice (n = 5) 24 hours after of pMCAO shows significantly fewer CD11b+CD45dim microglial cells in irradiated mice. (E) Overview, showing distribution of infiltrating GFP+ BM-derived cells into infarct (IF) and peri-infarct (P-IF) regions 24 hours after pMCAO. (E-G) By 24 hours, GFP+ single cells (F) and vessel-associated aggregates of GFP+ cells (arrows in G) were observed in infarct and peri-infarct regions. Some of the vessel-associated cells were round, leukocyte-like cells (arrows) while others were elongated cells lining the vasculature (arrow heads in G and in insert). (H) Bar graph showing mean numbers of single GFP+ cells and vessel-associated aggregates of GFP+ cells in ipsi- and contralateral cortex 24 hours after surgery (n = 10). (I-P) Immunohistochemical staining of CD45.1 (I, K), CD45.2 (J, L), IgG2a (M, O) and CD45 (N, P) in ischemic tissue in BM-chimeric (I, J, M, N) and non-chimeric mice (K, L, O, P) 24 hours after pMCAO. N.D, none detected. Scale bars: 200 um (A), 10 um (B, C). 50 um (I-P) *P < 0.05, **P < 0.01, and ***P < 0.001.From: Clausen BH, Lambertsen KL, Babcock AA, Holm TH, Dagnaes-Hansen F, Finsen B. Interleukin-1beta and tumor necrosis factor-alpha are expressed by different subsets of microglia and macrophages after ischemic stroke in mice. J Neuroinflammation. 2008 Oct 23;5:46.)

CD11b, Monoclonal Antibody (Cat# AAA12186)

No reviews yet
Full Name
RAT ANTI MOUSE CD11b:RPE
Gene Names
Itgam; CR3; CR3A; MAC1; Cd11b; Ly-40; Mac-1; Mac-1a; CD11b/CD18; F730045J24Rik
Applications
Flow Cytometry
Pricing
product-image-AAA10999_FCM7.gif FCM (Flow Cytometry) (Flow cytometry analysis of CD80 overexpressing HEK293 cells using CD80 antibody and control mouse IgG antibody at 10 μg/ml. Blue: Untransfected HEK293 cells. Yellow: CD80 overexpressing HEK293 cells.)

CD80, Monoclonal Antibody (Cat# AAA10999)

No reviews yet
Full Name
CD80 Antibody [11D1]
Gene Names
CD80; B7; BB1; B7-1; B7.1; LAB7; CD28LG; CD28LG1
Reactivity
Human
Applications
Immunohistochemistry, Immunocytochemistry, Immunofluorescence, Flow Cytometry
Purity
Protein A purified
Pricing
product-image-AAA19264_FCM6.jpg FCM (Flow Cytometry) (Figure 6. Flow Cytometry analysis of HL-60 cells using anti-MCM6 antibody (AAA19264).Overlay histogram showing HL-60 cells stained with AAA19264 (Blue line). The cells were blocked with 10% normal goat serum. And then incubated with rabbit anti-MCM6 Antibody (AAA19264,1μg/1x106 cells) for 30 min at 20 degree C. DyLight®488 conjugated goat anti-rabbit IgG (5-10μg/1x106 cells) was used as secondary antibody for 30 minutes at 20 degree C. Isotype control antibody (Green line) was rabbit IgG (1μg/1x106) used under the same conditions. Unlabelled sample (Red line) was also used as a control.)

MCM6, Polyclonal Antibody (Cat# AAA19264)

No reviews yet
Full Name
Anti-MCM6 Antibody
Gene Names
MCM6; Mis5; P105MCM; MCG40308
Reactivity
Human, Mouse, Rat, Monkey
Applications
Western Blot, Immunohistochemistry, Immunocytochemistry, Immunofluorescence, Flow Cytometry, Direct ELISA
Purity
Immunogen affinity purified.
Pricing
product-image-AAA19719_FCM7.jpg FCM (Flow Cytometry) (Figure 7. Flow Cytometry analysis of JK cells using anti-NDFIP2 antibody (AAA19719).Overlay histogram showing JK cells stained with AAA19719 (Blue line). The cells were blocked with 10% normal goat serum. And then incubated with mouse anti-NDFIP2 Antibody (AAA19719, 1 ug/1x10^6 cells) for 30 min at 20 degree C. DyLight488 conjugated goat anti-mouse IgG was used as secondary antibody for 30 minutes at 20 degree C. Isotype control antibody (Green line) was mouse IgG (1 ug/1x10^6) used under the same conditions. Unlabelled sample (Red line) was also used as a control.)

NDFIP2, Monoclonal Antibody (Cat# AAA19719)

No reviews yet
Full Name
Anti-NDFIP2 Antibody Picoband (monoclonal, 10D6D7)
Gene Names
NDFIP2; N4WBP5A
Reactivity
Human
Applications
Western Blot, Immunohistochemistry, Immunocytochemistry, Immunofluorescence, Flow Cytometry
Purity
Immunogen affinity purified.
Pricing
product-image-AAA23814_WB7.jpg WB (Western Blot) (Detection of human CD40 by western blot. Samples: Whole cell lysate (50 ug) from Raji, HEK293T, U2OS, GaMG, Daudi, A-549, Ramos, HDLM-2, RKO, Jurkat, and MJ cells prepared using NETN lysis buffer. Antibody: Rabbit anti-CD40 recombinant monoclonal antibody (AAA23814 lot 1) used at 1:1000. Secondary: HRP-conjugated goat anti-rabbit IgG . Detection: Chemiluminescence with an exposure time of 10 seconds. Lower Panel: Rabbit anti-RPS3 .)

CD40, Monoclonal Recombinant Antibody (Cat# AAA23814)

No reviews yet
Full Name
Rabbit anti-CD40 Recombinant Monoclonal Antibody [BLR056F]
Gene Names
CD40; p50; Bp50; CDW40; TNFRSF5
Reactivity
Human
Applications
Western Blot, Immunoprecipitation, Immunohistochemistry, Immunocytochemistry, Immunohistochemistry, Flow Cytometry
Purity
Purified
Pricing
product-image-AAA23825_WB6.jpg WB (Western Blot) (Detection of human and mouse MED12 by western blot. Samples: Whole cell lysate (50 ug) from HeLa, A-549, MCF-7, Hep-G2, K-562, RKO, TCMK-1, and NIH 3T3 cells prepared using NETN lysis buffer. Antibody: Rabbit anti-MED12 recombinant monoclonal antibody (AAA23825 lot 1) used at 1:1000. Secondary: HRP-conjugated goat anti-rabbit IgG . Detection: Chemiluminescence with an exposure time of 75 seconds. Lower Panel: Rabbit anti-eEF2 .)

MED12, Monoclonal Recombinant Antibody (Cat# AAA23825)

No reviews yet
Full Name
Rabbit anti-MED12 Recombinant Monoclonal Antibody [BLR084G]
Gene Names
MED12; OKS; FGS1; HOPA; OPA1; OHDOX; ARC240; CAGH45; MED12S; TNRC11; TRAP230
Reactivity
Human, Mouse
Applications
Western Blot, Immunoprecipitation, Immunohistochemistry, Immunocytochemistry, Flow Cytometry
Purity
Purified
Pricing
product-image-AAA24849_WB6.jpg WB (Western Blot) (LHX5 monoclonal antibody (M05). Western Blot analysis of LHX5 expression in 293.)

LHX5, Monoclonal Antibody (Cat# AAA24849)

No reviews yet
Full Name
LHX5 (LIM/Homeobox Protein Lhx5, LIM Homeobox Protein 5, MGC129689) (Biotin)
Reactivity
Human
Applications
Immunofluorescence, Western Blot
Purity
Purified by Protein A Affinity Chromatography.
Pricing
product-image-AAA25143_WB6.jpg WB (Western Blot) (LDB3 monoclonal antibody Western Blot analysis of LDB3 expression in A-431.)

LDB3, Monoclonal Antibody (Cat# AAA25143)

No reviews yet
Full Name
LDB3 (LIM Domain-binding Protein 3, Protein Cypher, Z-band Alternatively Spliced PDZ-motif Protein, KIAA0613, ZASP) (FITC)
Gene Names
LDB3; MFM4; ZASP; CMD1C; CMH24; CMPD3; LVNC3; CYPHER; LDB3Z1; LDB3Z4; ORACLE; PDLIM6
Reactivity
Human
Applications
Immunofluorescence, Western Blot
Purity
Purified by Protein A Affinity Chromatography.
Pricing
product-image-AAA25436_WB6.jpg WB (Western Blot) (Western Blot detection against Immunogen (84.7kD).)

LCK, Monoclonal Antibody (Cat# AAA25436)

No reviews yet
Full Name
LCK (Tyrosine-protein Kinase Lck, Leukocyte C-terminal Src Kinase, LSK, Lymphocyte Cell-specific Protein-tyrosine Kinase, Protein YT16, Proto-oncogene Lck, T Cell-specific Protein-tyrosine Kinase, p56-LCK) (HRP)
Gene Names
LCK; LSK; YT16; IMD22; p56lck; pp58lck
Reactivity
Human
Applications
Immunoprecipitation, Western Blot
Purity
Purified by Protein A Affinity Chromatography.
Pricing
product-image-AAA30090_ICC10.jpg ICC (Immunocytochemistry) (ICC staining Hexokinase 1 in MCF-7 cells (green). The nuclear counter stain is DAPI (blue). Cells were fixed in paraformaldehyde, permeabilised with 0.25% Triton X100/PBS.)

Hexokinase 1, Monoclonal Antibody (Cat# AAA30090)

No reviews yet
Full Name
Hexokinase 1 Antibody
Gene Names
HK1; HKI; HXK1; HK1-ta; HK1-tb; HK1-tc
Reactivity
Human, Mouse, Rat
Applications
Western Blot, Immunocytochemistry, Immunofluorescence, Immunohistochemistry, Immunoprecipitation, Flow Cytometry
Purity
ProA affinity purified
Pricing
product-image-AAA30490_FCM10.jpg FCM (Flow Cytometry) (Flow cytometric analysis of A549 cells with UQCRFS1 antibody at 1/100 dilution (yellow) compared with an unlabelled control (cells without incubation with primary antibody; purple).Alexa Fluor 488-conjugated goat anti-rabbit IgG was used as the secondary antibody.)

UQCRFS1, Monoclonal Antibody (Cat# AAA30490)

No reviews yet
Full Name
UQCRFS1 Antibody
Gene Names
UQCRFS1; RIP1; RIS1; RISP; UQCR5
Reactivity
Human, Mouse, Rat
Applications
Western Blot, Immunocytochemistry, Immunofluorescence, Immunohistochemistry, Flow Cytometry, Immunoprecipitation
Purity
ProA affinity purified
Pricing
product-image-AAA27142_SC.jpg Standard Curve (Sample)

Retinoid isomerohydrolase (RPE65), ELISA Kit (Cat# AAA27142)

No reviews yet
Full Name
Mouse Retinoid isomerohydrolase (RPE65) ELISA Kit
Reactivity
Mouse
Pricing
product-image-AAA18951_SC.jpg Standard Curve (Sample)

Estrogen Receptor beta, ER-beta, ELISA Kit (Cat# AAA18951)

No reviews yet
Full Name
Mouse Estrogen Receptor beta, ER-beta ELISA Kit
Gene Names
ESR2; ERB
Reactivity
Mouse
Pricing
product-image-AAA17470_SC.jpg Standard Curve (Sample)

Plasmin-Antiplasmin Complex, ELISA Kit (Cat# AAA17470)

No reviews yet
Full Name
Mouse Plasmin-Antiplasmin Complex ELISA Kit
Reactivity
Mouse
Pricing
product-image-AAA13897_SC.jpg Standard Curve (Sample)

Activating Transcription Factor 3 (ATF3), ELISA Kit (Cat# AAA13897)

No reviews yet
Full Name
Mouse Activating Transcription Factor 3 (ATF3) ELISA Kit
Gene Names
Atf3; LRG-21
Reactivity
Mouse
Pricing
product-image-AAA13142_SC.jpg Standard Curve (Sample)

Surfactant Associated Protein A (SP-A), ELISA Kit (Cat# AAA13142)

No reviews yet
Full Name
Human Surfactant Associated Protein A (SP-A) ELISA Kit
Gene Names
SFTA2; SP-G; SFTPG; UNQ541; GSGL541
Reactivity
Human
Pricing
product-image-AAA16475_SC.jpg Standard Curve (Sample)

Lipoprotein associated Phospholipase A2, ELISA Kit (Cat# AAA16475)

No reviews yet
Full Name
Human Lipoprotein associated Phospholipase A2 ELISA Kit
Gene Names
PLA2G7; PAFAD; PAFAH; LP-PLA2; LDL-PLA2
Reactivity
Human
Pricing
product-image-AAA21106_WB6.jpg WB (Western Blot) (Sample: Recombinant TRAIL, Human;Antibody: Rabbit Anti-Human TRAIL Ab)

Tumor Necrosis Factor Related Apoptosis Inducing Ligand (TRAIL), Active Protein (Cat# AAA21106)

No reviews yet
Full Name
Active Tumor Necrosis Factor Related Apoptosis Inducing Ligand (TRAIL)
Gene Names
TNFSF10; TL2; APO2L; CD253; TRAIL; Apo-2L; TNLG6A
Reactivity
Homo sapiens (Human)
Applications
Cell culture; Activity Assays; In vivo assays
Purity
>95%
Pricing
product-image-AAA24717_WB7.jpg WB (Western Blot) (Western blot analysis of ORM1 over-expressed 293 cell line, cotransfected with ORM1 Validated Chimera RNAi (Lane 2) or non-transfected control (Lane 1). Blot probed with ORM1 monoclonal antibody GAPDH (36.1kD) used as specificity and loading control.)

AGP1, Monoclonal Antibody (Cat# AAA24717)

No reviews yet
Full Name
AGP1 (Alpha-1-acid Glycoprotein 1, AGP 1, Orosomucoid-1, OMD 1, ORM1) (Biotin)
Gene Names
ORM1; ORM; AGP1; AGP-A; HEL-S-153w
Reactivity
Human
Applications
EIA, IHC, IP, WB
Purity
Purified by Protein A Affinity Chromatography.
Pricing
product-image-AAA12686_SC.jpg Standard Curve (Sample)

Collagen Type II (COL2), ELISA Kit (Cat# AAA12686)

No reviews yet
Full Name
Chicken Collagen Type II (COL2) ELISA Kit
Gene Names
COL2A1; AOM; ANFH; SEDC; STL1; COL11A3
Reactivity
Chicken
Pricing
product-image-AAA15555_SC.png Standard Curve (Sample)

Matrix metalloproteinase 13, MMP-13, ELISA Kit (Cat# AAA15555)

No reviews yet
Full Name
Canine Matrix metalloproteinase 13, MMP-13 ELISA Kit
Reactivity
Dog
Pricing
product-image-AAA27323_SC.jpg Standard Curve (Sample)

14 3 3 protein eta (YWHAH), ELISA Kit (Cat# AAA27323)

No reviews yet
Full Name
Human 14 3 3 protein eta (YWHAH) ELISA Kit
Gene Names
YWHAH; YWHA1
Reactivity
Human
Pricing
product-image-AAA16313_SC.jpg Standard Curve (Sample)

w 3 unsaturated fatty acids, ELISA Kit (Cat# AAA16313)

No reviews yet
Full Name
Human w 3 unsaturated fatty acids ELISA Kit
Reactivity
Human
Pricing
product-image-AAA28926_IHC7.jpg IHC (Immunohistochemistry) (Dilution: Western Blot: 1/500 - 1/2000. Immunohistochemistry: 1/100 - 1/300. Immunofluorescence: 1/200 - 1/1000. ELISA: 1/10000. Not yet tested in other applications.)

ERK 1/2, Polyclonal Antibody (Cat# AAA28926)

No reviews yet
Full Name
ERK 1/2 (phospho Tyr204) Polyclonal Antibody
Gene Names
MAPK3; ERK1; ERT2; ERK-1; PRKM3; P44ERK1; P44MAPK; HS44KDAP; HUMKER1A; p44-ERK1; p44-MAPK
Reactivity
Human, Mouse, Rat
Applications
WB, IHC-P, IF
Pricing
product-image-AAA11257_SC.jpg Standard Curve (Sample)

placenta lactogen, HPL, ELISA Kit (Cat# AAA11257)

No reviews yet
Full Name
Human placenta lactogen, HPL ELISA Kit
Reactivity
Human
Pricing
product-image-AAA12044_APP10.jpg Application Data (Immunoperoxidase staining of rat lymph node cryosection with Mouse anti Rat CD25 followed by horseradish peroxidase conjugated Goat anti Mouse IgG1 as a detection reagent. High power)

CD25, Monoclonal Antibody (Cat# AAA12044)

No reviews yet
Full Name
MOUSE ANTI RAT CD25:RPE
Gene Names
Il2ra; IL2RAC
Applications
Flow Cytometry
Pricing
product-image-AAA12078_APP10.gif Application Data (Staining of mouse peritoneal macrophages with Rat anti Mouse CD204: Alexa Fluor 488)

CD204, Monoclonal Antibody (Cat# AAA12078)

No reviews yet
Full Name
RAT ANTI MOUSE CD204
Gene Names
Msr1; MSR; Scvr; MRS-A; MSR-A; SR-AI; SR-AII; Scara1
Reactivity
Pig, Channel catfish
Applications
Immunohistochemistry, Flow Cytometry, Immunofluorescence, Immunoprecipitation, Western Blot
Pricing
product-image-AAA11586_IHC3.jpg IHC (Immunohistochemistry) (Anti-VE Cadherin antibody, AAA11586, IHC(P)IHC(P): Rat Brain Tissue)

VE Cadherin, Polyclonal Antibody (Cat# AAA11586)

No reviews yet
Full Name
Polyclonal Anti-CDH5 Antibody; Anti-VE Cadherin antibody
Gene Names
CDH5; 7B4; CD144
Reactivity
Human, Rat; Predicted: Mouse
Applications
Western Blot, Immunohistochemistry
Purity
Immunogen affinity purified.
Pricing
product-image-AAA11780_SDS_PAGE.jpg SDS-PAGE (3ug by SDS-PAGE under reducing condition and visualized by coomassie blue stain.)

Skp, Recombinant Protein (Cat# AAA11780)

No reviews yet
Full Name
Skp, 21-161aa, E Coli, His tag, E Coli
Gene Names
skp; ECK0177; hlpA; JW0173; ompH
Applications
SDS-PAGE
Purity
> 95% by SDS-PAGE
Pricing
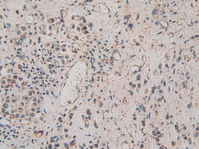
product-image-AAA14144_IHC6.jpg IHC (Immunohistchemistry) (Immunohistochemical analysis of paraffin-embedded esophageal cancer tissues using PON1 mouse mAb with DAB staining.)

PON1, Monoclonal Antibody (Cat# AAA14144)

No reviews yet
Full Name
Anti-PON1 Mouse mAb
Gene Names
PON1; ESA; PON; MVCD5
Reactivity
Human
Applications
Western Blot, Immunohistochemistry, Immunocytochemistry, Flow Cytometry
Pricing
product-image-AAA19756_FCM10.png FCM (Flow Cytometry) (Figure 10. Flow Cytometry analysis of Raw264.7 cells using anti-Lat antibody (AAA19756).Overlay histogram showing Raw264.7 cells stained with AAA19756 (Blue line). The cells were fixed with 4% paraformaldehyde and blocked with 10% normal goat serum. And then incubated with rabbit anti-Lat Antibody (AAA19756, 1ug/1x106 cells) for 30 min at 20 degree C. DyLight488 conjugated goat anti-rabbit IgG was used as secondary antibody for 30 minutes at 20 degree C. Isotype control antibody (Green line) was rabbit IgG (1ug/1x106) used under the same conditions. Unlabelled sample (Red line) was also used as a control.)

Lat, Polyclonal Antibody (Cat# AAA19756)

No reviews yet
Full Name
Anti-Lat Antibody Picoband
Gene Names
Lat; pp36; p36-38
Reactivity
Mouse, Rat
Applications
Western Blot, Immunohistochemistry, Flow Cytometry
Purity
Immunogen affinity purified.
Pricing
product-image-AAA10751_IF6.jpg IF (Immunofluorescence) (Immunofluorescence analysis of U2OS cells using ATF2 antibody. Blue: DAPI for nuclear staining.)

ATF2, Polyclonal Antibody (Cat# AAA10751)

No reviews yet
Full Name
ATF2 Polyclonal Antibody
Gene Names
ATF2; HB16; CREB2; TREB7; CREB-2; CRE-BP1
Reactivity
Human, Mouse
Applications
Western Blot, Immunohistochemistry, Immunofluorescence
Purity
Affinity Purification
Pricing
product-image-AAA12372_ELISA7.jpg ELISA (Red: Control Antigen (100ng); Purple: Antigen (10ng); Green: Antigen (50ng); Blue: Antigen (100ng);)

IL3RA / CD123, Monoclonal Antibody (Cat# AAA12372)

No reviews yet
Full Name
Mouse Monoclonal [clone 10B8E7] (IgG1) to Human IL3RA / CD123
Gene Names
IL3RA; IL3R; CD123; IL3RX; IL3RY; IL3RAY; hIL-3Ra
Reactivity
Human
Applications
Immunohistochemistry, Immunocytochemistry, Western Blot, Flow Cytometry
Purity
Ascites
Pricing
product-image-AAA12377_FCM6.jpg FCM (Flow Cytometry) (Flow cytometry of Jurkat cells, using anti-STAT5A antibody (Red), compared to a nonspecific negative control antibody (Blue).)

STAT5A, Monoclonal Antibody (Cat# AAA12377)

No reviews yet
Full Name
Anti-STAT5A Antibody (clone 9F7) IHC-plus
Gene Names
STAT5A; MGF; STAT5
Reactivity
Dog, Rat, Human, Monkey
Applications
Immunohistochemistry, Immunofluorescence, Western Blot, Flow Cytometry
Purity
Protein A/G purified
Pricing
product-image-AAA17967_WB2.jpg WB (Western Blot) (Peptide-+ Western blot analysis of extracts from RAW264.7 cells, HT-29 cells and LOVO cells, using TNF Receptor II antibody. Immunofluorescence analysis of HeLa cells, using TNF Receptor II antibody.)

TNF Receptor II, Antibody (Cat# AAA17967)

No reviews yet
Full Name
TNF Receptor II Antibody
Gene Names
TNFRSF1B; p75; TBPII; TNFBR; TNFR2; CD120b; TNFR1B; TNFR80; TNF-R75; p75TNFR; TNF-R-II
Reactivity
Human, Mouse, Rat
Applications
Western Blot, Immunofluorescence
Purity
Affinity-purified from rabbit antiserum by affinity-chromatography using epitope-specific immunogen.
Pricing
product-image-AAA23606_WB7.jpg WB (Western Blot) (WB Suggested Anti-FOXM1 Antibody Titration: 1 ug/mlPositive Control: Jurkat cell lysate)

FOXM1, Polyclonal Antibody (Cat# AAA23606)

No reviews yet
Full Name
FOXM1 antibody - middle region
Gene Names
FOXM1; MPP2; HFH11; HNF-3; INS-1; MPP-2; PIG29; FKHL16; FOXM1A; FOXM1B; FOXM1C; HFH-11; TRIDENT; MPHOSPH2
Reactivity
Dog, Guinea Pig, Human, Mouse, Rabbit, Rat
Applications
Immunohistochemistry, Western Blot
Purity
Affinity Purified
Pricing
product-image-AAA24904_APP6.jpg Application Data (Detection limit for recombinant GST tagged PHB is ~0.03ng/ml as a capture antibody.)

PHB, Monoclonal Antibody (Cat# AAA24904)

No reviews yet
Full Name
PHB (Prohibitin) (Biotin)
Gene Names
PHB; PHB1; HEL-215; HEL-S-54e
Reactivity
Human
Applications
Immunofluorescence, Immunohistochemistry, Western Blot
Purity
Purified by Protein A Affinity Chromatography.
Pricing
product-image-AAA24378_WB6.jpg WB (Western Blot) (STK33 monoclonal antibody, Western Blot analysis of STK33 expression in HeLa.)

STK33, Monoclonal Antibody (Cat# AAA24378)

No reviews yet
Full Name
STK33 (Serine/Threonine Kinase 33) (AP)
Reactivity
Human
Applications
Immunoprecipitation, Western Blot
Purity
Purified by Protein A Affinity Chromatography.
Pricing

Submit a Question

Please complete the form below and a representative will contact you as soon as possible.

Request more Information

Please complete the form below and a representative will contact you as soon as possible.

Request a Manual

Please complete the form below and a representative will contact you as soon as possible.

Request a Quote

Please complete the form below and a representative will contact you as soon as possible.