Loading...

Skip to main content
Call us at +1-800-604-9114 for more information about our products or contact us online Need help? +1-800-604-9114 or contact us

Filters


Clonality

Type

Reactivity

Gene Name

Isotype

Host

Application

Clone

Viewing 4950-5000 of 265194 product results


product-image-AAA28344_IF7.jpg IF (Immunofluorescence) (Immunofluorescence analysis of U2OS cells using p70 S6 Kinase 1 1 antibody at dilution of 1:100. Blue: DAPI for nuclear staining.)

p70 S6 Kinase 1, Polyclonal Antibody (Cat# AAA28344)

No reviews yet
Full Name
p70 S6 Kinase 1 Rabbit pAb
Gene Names
RPS6KB1; S6K; PS6K; S6K1; STK14A; p70-S6K; p70 S6KA; p70-alpha; S6K-beta-1; p70(S6K)-alpha
Reactivity
Human, Mouse, Rat
Applications
Western Blot, Immunohistochemistry, Immunofluorescence
Purity
Affinity purification
Pricing
product-image-AAA30052_ICC8.jpg ICC (Immunocytochemistry) (ICC staining Apaf-1 in Ags cells (green). The nuclear counter stain is DAPI (blue). Cells were fixed in paraformaldehyde, permeabilised with 0.25% Triton X100/PBS.)

Apaf-1, Monoclonal Antibody (Cat# AAA30052)

No reviews yet
Full Name
Apaf-1 Antibody
Gene Names
APAF1; CED4; APAF-1
Reactivity
Human, Mouse
Applications
Western Blot, Immunocytochemistry, Immunofluorescence, Immunohistochemistry
Purity
ProA affinity purified
Pricing
product-image-AAA29238_IHC7.jpg IHC (Immunohistochemistry) (Dilution: Western Blot: 1/500 - 1/2000. IHC-p: 1/100-1/300. ELISA: 1/20000. Not yet tested in other applications.)

gp91-phox, Polyclonal Antibody (Cat# AAA29238)

No reviews yet
Full Name
gp91-phox Polyclonal Antibody
Gene Names
CYBB; CGD; NOX2; AMCBX2; GP91-1; GP91PHOX; p91-PHOX; GP91-PHOX
Reactivity
Human
Applications
Western Blot, Immunohistochemistry
Pricing
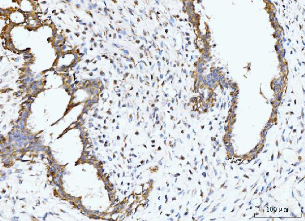
product-image-AAA10665_IHC9.jpg IHC (Immunohistchemistry) (Immunohistochemistry of paraffin-embedded mouse kidney using DiMethyl-Histone H3-K9 antibody at dilution of 1:200 (40x lens).)

H3K9me2, Antibody (Cat# AAA10665)

No reviews yet
Full Name
Histone H3K9me2 Polyclonal Antibody
Gene Names
HIST3H3; H3t; H3.4; H3/g; H3FT
Reactivity
Human, Mouse, Rat, Other (Wide Range)
Applications
Western Blot, Immunohistochemistry, Immunofluorescence, Immunoprecipitation, Chromatin Immunoprecipitation, Chromatin Immunoprecipitation
Purity
Affinity Purification
Pricing
product-image-AAA12102_APP10.jpg Application Data (Published customer image: Leukocyte infiltration in COX-2-M/-M and COX-2+/+ mice. MPO enzymatic activity (panel A) was statistically similar in COX-2-M/-M and COX-2+/+ livers at 6 h and 24 h post-IRI. Ly-6G+ neutrophil (panel B) and granulocyte (panel C) infiltration were also comparable in COX-2-M/-M and COX-2+/+ livers after IRI. Mac-1+ (panel D) and CD68 (panel E) infiltrating macrophages were significantly reduced in COX-2-M/-M livers at 24 h post-reperfusion, but were statistically indistinguishable in COX-2-M/-M and COX-2+/+ livers at 6 h after IRI. No statistical differences in MMP-9 expression (panel F) could be demonstrated in livers of COX-2-M/-M and COX-2+/+ mice post-IRI. Representative immunostaining (panel G) of infiltrating Ly-6G+ (a,b,e,f) and Mac-1+ (c,d,g,h) leukocytes in livers of COX-2+/+ (a,c,e,g) and COX-2-M/-M (b,d,f,h) mice at 6 h (a to d) and 24 h (e to h) post IRI; (n = 5 -6/group; * indicates p)

CD68, Monoclonal Antibody (Cat# AAA12102)

No reviews yet
Full Name
RAT ANTI MOUSE CD68
Gene Names
Cd68; Lamp4; gp110; Scard1
Applications
Immunohistochemistry, Flow Cytometry, Immunofluorescence, Immunoprecipitation, Immunohistochemistry, Western Blot
Pricing
product-image-AAA12151_APP10.jpg Application Data (Published customer image: Histological staining of control and HBOT wounds at post-wounding days 7 and 29. A -D) H&E staining. E -H) CD34 immunohistochemistry. I+J) CD68 immunohistochemistry.From: uk B, Tong M, Fijneman EMG, van Neck JW (2014) Hyperbaric Oxygen Therapy to Treat Diabetes Impaired Wound Healing in Rats. PLoS ONE 9(10): e108533.)

CD68, Monoclonal Antibody (Cat# AAA12151)

No reviews yet
Full Name
MOUSE ANTI RAT CD68
Applications
Immunohistochemistry, Flow Cytometry, Immunofluorescence, Immunoprecipitation, Immunohistochemistry, Radioimmunoassay, Western Blot
Pricing
product-image-AAA11580_ICC7.jpg ICC (Immunocytochemistry) (Anti-SHC antibody, AAA11580, ICCICC: A549 Cell)

SHC, Polyclonal Antibody (Cat# AAA11580)

No reviews yet
Full Name
Anti-SHC antibody
Gene Names
SHC1; SHC; SHCA
Reactivity
Human, Mouse, Rat
Applications
Western Blot, Immunohistochemistry, Immunohistochemistry, Immunocytochemistry
Purity
Immunogen affinity purified.
Pricing
product-image-AAA11932_APP10.jpg Application Data (Immunofluorescence staining of a mouse lymph node cryosection with Rat anti MouseCD19 antibody, clone 6D5 , green in A and Rat anti Mlouse CD8 antibody, clone YTS105.18 , red in B. Merged image in C with nuclei counterstained blue using DAPI. Low power)

CD19, Monoclonal Antibody (Cat# AAA11932)

No reviews yet
Full Name
RAT ANTI MOUSE CD19
Gene Names
Cd19; AW495831
Applications
Immunohistochemistry, Flow Cytometry, Immunoprecipitation
Pricing
product-image-AAA20270_SDS_PAGE2.jpg SDS-PAGE

Hemoglobin Beta (HBb), Recombinant Protein (Cat# AAA20270)

No reviews yet
Full Name
Recombinant Hemoglobin Beta (HBb)
Applications
Western Blot
Purity
> 90%
Pricing
product-image-AAA21359_IHC6.jpg IHC (Immunohistchemistry) (ATG16L1/ATG16L Antibody-Human Colon, Smooth Muscle: Formalin-Fixed, Paraffin-Embedded (FFPE))

ATG16L1/ATG16L, Polyclonal Antibody (Cat# AAA21359)

No reviews yet
Full Name
ATG16L1/ATG16L Rabbit anti-Human Polyclonal Antibody
Gene Names
ATG16L1; IBD10; WDR30; APG16L; ATG16A; ATG16L
Reactivity
Human
Applications
Immunohistochemistry, Western Blot
Purity
Immunoaffinity purified
Pricing
product-image-AAA24641_APP7.jpg Application Data (Detection limit for recombinant GST tagged RPS7 is ~1ng/ml as a capture antibody.)

RPS7, Monoclonal Antibody (Cat# AAA24641)

No reviews yet
Full Name
RPS7 (40S Ribosomal Protein S7) APC
Gene Names
RPS7; S7; DBA8
Reactivity
Human, Mouse, Rat
Applications
Immunofluorescence, Immunohistochemistry, Western Blot
Purity
Purified by Protein A Affinity Chromatography.
Pricing
product-image-AAA24835_APP6.jpg Application Data (Detection limit for recombinant GST tagged IFI16 is ~0.3ng/ml as a capture antibody.)

IFI16, Monoclonal Antibody (Cat# AAA24835)

No reviews yet
Full Name
IFI16 (Interferon gamma-inducible Protein 16, Gamma-interferon-inducible Protein 16, Ifi-16, IFNGIP1, Interferon-inducible Myeloid Differentiation Transcriptional Activator, MGC9466, PYHIN2) (Biotin)
Gene Names
IFI16; PYHIN2; IFNGIP1
Reactivity
Human
Applications
Immunofluorescence, Immunohistochemistry, Western Blot
Purity
Purified by Protein A Affinity Chromatography.
Pricing
product-image-AAA25152_APP6.jpg Application Data (Detection limit for recombinant GST tagged MAPK3 is ~0.1ng/ml as a capture antibody.)

MAPK3, Monoclonal Antibody (Cat# AAA25152)

No reviews yet
Full Name
MAPK3 (Mitogen-activated Protein Kinase 3, MAPK 3, MAP Kinase 3, ERT2, Extracellular Signal-regulated Kinase 1, ERK1, ERK-1, Insulin-stimulated MAP2 Kinase, MAP Kinase Isoform p44, Microtubule-associated Protein 2 Kinase, Mitogen-activated Protein Kinase
Gene Names
MAPK3; ERK1; ERT2; ERK-1; PRKM3; P44ERK1; P44MAPK; HS44KDAP; HUMKER1A; p44-ERK1; p44-MAPK
Reactivity
Human
Applications
Immunofluorescence, Immunohistochemistry, Western Blot
Purity
Purified by Protein A Affinity Chromatography.
Pricing
product-image-AAA30467_FCM10.jpg FCM (Flow Cytometry) (Flow cytometric analysis of THP-1 cells with eEF1A1 antibody at 1/100 dilution (red) compared with an unlabelled control (cells without incubation with primary antibody; black). Alexa Fluor 488-conjugated goat anti-rabbit IgG was used as the secondary antibody.)

EEF1A1, Monoclonal Antibody (Cat# AAA30467)

No reviews yet
Full Name
EEF1A1 Antibody
Gene Names
EEF1A1; CCS3; EF1A; PTI1; CCS-3; EE1A1; EEF-1; EEF1A; EF-Tu; LENG7; eEF1A-1; GRAF-1EF; HNGC:16303
Reactivity
Human, Mouse, Rat
Applications
Western Blot, Immunocytochemistry, Immunofluorescence, Immunohistochemistry, Flow Cytometry, Immunoprecipitation
Purity
ProA affinity purified
Pricing
product-image-AAA30277_FCM8.jpg FCM (Flow Cytometry) (Flow cytometric analysis of Hela cells with Argonaute 2 antibody at 1/50 dilution (red) compared with an unlabelled control (cells without incubation with primary antibody; black). Alexa Fluor 488-conjugated goat anti rabbit IgG was used as the secondary antibody.)

Argonaute 2, Monoclonal Antibody (Cat# AAA30277)

No reviews yet
Full Name
Argonaute 2 Antibody
Gene Names
AGO2; Q10; EIF2C2
Reactivity
Human, Mouse, Rat
Applications
Western Blot, Immunocytochemistry, Immunofluorescence, Immunohistochemistry, Immunoprecipitation, Flow Cytometry
Purity
ProA affinity purified
Pricing
product-image-AAA30580_IHC9.jpg IHC (Immunohistchemistry) (Immunohistochemistry of paraffin-embedded mouse spleen using ELP3 antibody.)

ELP3, Polyclonal Antibody (Cat# AAA30580)

No reviews yet
Full Name
ELP3 Polyclonal Antibody
Gene Names
ELP3; KAT9
Reactivity
Human, Mouse, Rat
Applications
Western Blot, Immunohistochemistry
Purity
Affinity purification
Pricing
product-image-AAA30887_APP7.png Application Data

Cytokeratin 8, Monoclonal Antibody (Cat# AAA30887)

No reviews yet
Full Name
Cytokeratin 8 (ABT537) Antibody
Gene Names
KRT8; K8; KO; CK8; CK-8; CYK8; K2C8; CARD2
Reactivity
Human, Mouse, Rat
Applications
Immunohistochemistry, Western Blot, Immunofluorescence
Purity
Protein G
Pricing
product-image-AAA30918_APP6.png Application Data

TCL1, Monoclonal Antibody (Cat# AAA30918)

No reviews yet
Full Name
TCL1 (ABT234) Antibody
Gene Names
TCL1A; TCL1
Reactivity
Human
Applications
Immunohistochemistry, Western Blot, Immunofluorescence
Purity
Protein G
Pricing
product-image-AAA23308_SC.jpg Standard Curve (Sample)

D-amino-acid oxidase, ELISA Kit (Cat# AAA23308)

No reviews yet
Full Name
Human D-amino-acid oxidase ELISA Kit
Gene Names
DAO; DAAO; OXDA; DAMOX
Reactivity
Human
Pricing
product-image-AAA16413_SC.jpg Standard Curve (Sample)

Free Fatty Acid, ELISA Kit (Cat# AAA16413)

No reviews yet
Full Name
Human Free Fatty Acid ELISA Kit
Reactivity
Human
Pricing
product-image-AAA27176_SC.jpg Standard Curve (Sample)

Cross Linked C-Telopeptide Of Type II Collagen, ELISA Kit (Cat# AAA27176)

No reviews yet
Full Name
Bovine Cross Linked C-Telopeptide Of Type II Collagen ELISA Kit
Reactivity
Bovine
Pricing
product-image-AAA12815_SC.jpg Standard Curve (Sample)

Myeloperoxidase (MPO), ELISA Kit (Cat# AAA12815)

No reviews yet
Full Name
Rat Myeloperoxidase (MPO) ELISA Kit
Reactivity
Rat
Pricing
product-image-AAA23715_SC.jpg Standard Curve (Sample)

Neurofilament-Light Chain (NFL), ELISA Kit (Cat# AAA23715)

No reviews yet
Full Name
Human Neurofilament-Light Chain (NFL) ELISA Kit
Reactivity
Human
Pricing
product-image-AAA11202_SC.jpg Standard Curve (Sample)

orphanin FQ/nociceptin, OFQ/N, ELISA Kit (Cat# AAA11202)

No reviews yet
Full Name
Human orphanin FQ/nociceptin, OFQ/N ELISA Kit
Reactivity
Human
Pricing
product-image-AAA16004_SC.jpg Standard Curve (Sample)

Indoxyl Sulfate, ELISA Kit (Cat# AAA16004)

No reviews yet
Full Name
Mouse Indoxyl Sulfate ELISA Kit
Reactivity
Mouse
Pricing
product-image-AAA24937_APP7.jpg Application Data (Detection limit for recombinant GST tagged RPS7 is ~1ng/ml as a capture antibody.)

RPS7, Monoclonal Antibody (Cat# AAA24937)

No reviews yet
Full Name
RPS7 (40S Ribosomal Protein S7) (Biotin)
Gene Names
RPS7; S7; DBA8
Reactivity
Human, Mouse, Rat
Applications
Immunofluorescence, Immunohistochemistry, Western Blot
Purity
Purified by Protein A Affinity Chromatography.
Pricing
product-image-AAA24343_APP6.jpg Application Data (Detection limit for recombinant GST tagged RPS23 is ~0.3ng/ml as a capture antibody.)

RPS23, Monoclonal Antibody (Cat# AAA24343)

No reviews yet
Full Name
RPS23 (40S Ribosomal Protein S23, FLJ35016) (AP)
Gene Names
RPS23; S23; BTDD; uS12; MABAS; MCINS; PAMAS
Reactivity
Human, Mouse, Rat
Applications
Western Blot
Purity
Purified by Protein A Affinity Chromatography.
Pricing
product-image-AAA24618_APP7.jpg Application Data (Detection limit for recombinant GST tagged PLXNA2 is 0.1ng/ml as a capture antibody.)

PLXNA2, Monoclonal Antibody (Cat# AAA24618)

No reviews yet
Full Name
PLXNA2 (Plexin A2, KIAA0463, OCT, PLXN2, Plexin-A2, Semaphorin Receptor OCT, FLJ11751, FLJ30634) APC
Gene Names
PLXNA2; OCT; PLXN2
Reactivity
Human, Mouse, Rat
Applications
Western Blot
Purity
Purified by Protein A Affinity Chromatography.
Pricing
product-image-AAA25199_WB7.jpg WB (Western Blot) (Western blot analysis of PGM3 over-expressed 293 cell line, cotransfected with PGM3 Validated Chimera RNAi (Lane 2) or non-transfected control (Lane 1). Blot probed with PGM3 monoclonal antibody. GAPDH (36.1kD) used as specificity and loading control.)

PGM3, Monoclonal Antibody (Cat# AAA25199)

No reviews yet
Full Name
PGM3 (Phosphoacetylglucosamine Mutase, PAGM, Acetylglucosamine Phosphomutase, N-acetylglucosamine-phosphate Mutasem Phosphoglucomutase-3, AGM1, DKFZp434B187) (FITC)
Gene Names
PGM3; AGM1; PAGM; IMD23; PGM 3
Reactivity
Human
Applications
Immunohistochemistry, Immunoprecipitation, Western Blot
Purity
Purified by Protein A Affinity Chromatography.
Pricing
product-image-AAA25913_WB6.jpg WB (Western Blot) (AKT3 monoclonal antibody (M03), clone 3F3. Western Blot analysis of AKT3 expression in PC-12.)

AKT3, Monoclonal Antibody (Cat# AAA25913)

No reviews yet
Full Name
AKT3 (v-akt murine Thymoma Viral Oncogene Homolog 3 (Protein Kinase B, gamma), DKFZp434N0250, PKB-GAMMA, PKBG, PRKBG, RAC-PK-gamma, RAC-gamma, STK-2) (AP)
Gene Names
AKT3; MPPH; PKBG; MPPH2; PRKBG; STK-2; PKB-GAMMA; RAC-gamma; RAC-PK-gamma
Applications
Western Blot
Purity
Purified
Pricing
product-image-AAA25938_APP6.jpg Application Data (Detection limit for recombinant GST tagged STAT5B is approximately 0.3ng/ml as a capture antibody.)

STAT5B, Monoclonal Antibody (Cat# AAA25938)

No reviews yet
Full Name
STAT5B (Signal Transducer and Activator of Transcription 5B, STAT5) (AP)
Gene Names
STAT5B; STAT5
Applications
Immunohistochemistry, Western Blot
Purity
Purified
Pricing
product-image-AAA26414_APP6.jpg Application Data (Detection limit for recombinant GST tagged STIP1 is 0.03 ng/ml as a capture antibody.)

STIP1, Monoclonal Antibody (Cat# AAA26414)

No reviews yet
Full Name
STIP1 (Stress-Induced-Phosphoprotein 1, HOP, IEF-SSP-3521, P60, STI1, STI1L) (FITC)
Gene Names
STIP1; HOP; P60; STI1; STI1L; HEL-S-94n; IEF-SSP-3521
Applications
Immunofluorescence, Western Blot
Purity
Purified
Pricing
product-image-AAA28429_IF7.jpg IF (Immunofluorescence) (Immunofluorescence analysis of U-2 OS cells using PSME3 Polyclonal Antibody at dilution of 1:100 (40x lens). Blue: DAPI for nuclear staining.)

PSME3, Antibody (Cat# AAA28429)

No reviews yet
Full Name
PSME3 Rabbit pAb
Gene Names
NF2; ACN; SCH; BANF
Reactivity
Human, Mouse, Rat
Applications
Western Blot, Immunohistochemistry, Immunofluorescence, Immunocytochemistry
Purity
Affinity purification
Pricing
product-image-AAA28434_IF7.jpg IF (Immunofluorescence) (Immunofluorescence analysis of U2OS cells using HSP90AB1 antibody. Blue: DAPI for nuclear staining.)

Hsp90beta, Polyclonal Antibody (Cat# AAA28434)

No reviews yet
Full Name
Hsp90beta Rabbit pAb
Reactivity
Human, Mouse, Rat
Applications
Western Blot, Immunofluorescence, Immunocytochemistry
Purity
Affinity purification
Pricing
product-image-AAA29328_WB7.jpg WB (Western Blot) (Dilution: IF: 1:50-200 IHC-p: 100-300.WB 1:500-2000, ELISA 1:10000-20000)

PTEN, Polyclonal Antibody (Cat# AAA29328)

No reviews yet
Full Name
PTEN Polyclonal Antibody
Gene Names
PTEN; BZS; DEC; CWS1; GLM2; MHAM; TEP1; MMAC1; PTEN1; 10q23del
Reactivity
Human, Mouse, Rat
Applications
Western Blot, Immunohistochemistry, Immunofluorescence
Pricing
product-image-AAA29227_IHC7.jpg IHC (Immunohistochemistry) (Dilution: Western Blot: 1/500 - 1/2000. IHC-p: 1/100-1/300. ELISA: 1/20000. Not yet tested in other applications.)

p73, Polyclonal Antibody (Cat# AAA29227)

No reviews yet
Full Name
p73 Polyclonal Antibody
Gene Names
TP73; P73
Reactivity
Human
Applications
Western Blot, Immunohistochemistry
Pricing
product-image-AAA29112_IHC7.jpg IHC (Immunohistochemistry) (Dilution: IF: 1:50-200 Western Blot: 1/500 - 1/2000. Immunohistochemistry: 1/100 - 1/300. Immunocytochemistry: 1/200 - 1/1000. ELISA: 1/20000. Not yet tested in other applications.)

Rock-1, Polyclonal Antibody (Cat# AAA29112)

No reviews yet
Full Name
Rock-1 Polyclonal Antibody
Gene Names
ROCK1; ROCK-I; P160ROCK
Reactivity
Human, Mouse, Rat, Monkey
Applications
Western Blot, Immunohistochemistry, Immunofluorescence
Pricing
product-image-AAA28851_WB7.jpg WB (Western Blot) (Dilution: Western Blot: 1/500 - 1/2000. IHC-p: 1:100-300 ELISA: 1/20000. Not yet tested in other applications.)

Ub, Polyclonal Antibody (Cat# AAA28851)

No reviews yet
Full Name
Ub (Acetyl Lys27) Polyclonal Antibody
Gene Names
UBA52; L40; CEP52; RPL40; HUBCEP52
Reactivity
Human, Mouse, Rat
Applications
Western Blot, Immunohistochemistry
Pricing
product-image-AAA30709_WB7.jpg WB (Western Blot) (Western blot analysis of extracts of mouse liver, using TRPA1 at 1:1000 dilution.)

TRPA1, Polyclonal Antibody (Cat# AAA30709)

No reviews yet
Full Name
TRPA1 Rabbit Polyclonal Antibody
Gene Names
TRPA1; FEPS; ANKTM1
Reactivity
Human, Mouse, Rat
Applications
Western Blot, Immunohistochemistry, Immunofluorescence
Purity
Affinity purification
Pricing
product-image-AAA30616_IF6.jpg IF (Immunofluorescence) (Immunofluorescence analysis of NIH-3T3 cells using CSNK2A2 Polyclonal at dilution of 1:100 (40x lens). Blue: DAPI for nuclear staining.)

CSNK2A2, Polyclonal Antibody (Cat# AAA30616)

No reviews yet
Full Name
CSNK2A2 Rabbit Polyclonal Antibody
Gene Names
CSNK2A2; CK2A2; CSNK2A1
Reactivity
Human, Mouse, Rat
Applications
Western Blot, Immunohistochemistry, Immunofluorescence
Purity
Affinity purification
Pricing
product-image-AAA18467_SDS_PAGE.jpg SDS-PAGE

Mannan-binding lectin serine protease 1 (MASP1), Recombinant Protein (Cat# AAA18467)

No reviews yet
Full Name
Recombinant Human Mannan-binding lectin serine protease 1 (MASP1)
Gene Names
MASP1; 3MC1; MAP1; MASP; RaRF; CRARF; MASP3; MAp44; PRSS5; CRARF1
Purity
Greater or equal to 85% purity as determined by SDS-PAGE.
Pricing
product-image-AAA27976_APP6.png Application Data

Quantitative, For Hepatitis B Virus Specific T Cells, Detection Kit (Cat# AAA27976)

No reviews yet
Full Name
Quantitative Detection Kit, For Hepatitis B Virus Specific T Cells
Pricing
product-image-AAA21107_WB5.jpg WB (Western Blot) (Western Blot (WB) Sample: Recombinant ADIPOR1, Human; Antibody: Rabbit Anti-Human ADIPOR1 Ab)

Adiponectin Receptor 1 (ADIPOR1), Active Protein (Cat# AAA21107)

No reviews yet
Full Name
Active Adiponectin Receptor 1 (ADIPOR1)
Gene Names
ADIPOR1; CGI45; PAQR1; ACDCR1; CGI-45; TESBP1A
Reactivity
Homo sapiens (Human)
Applications
Cell culture; Activity Assays.
Purity
>98%
Pricing
product-image-AAA26855_APP6.jpg Application Data (C:FGFR2/isolectinB4 (C) and FGFR1/isolectinB4 (D) staining of apparent mesenchymal cells and the subpopulation of endothelial cells. Virtually all other dispersed apparent mesenchymal cells express FGFR1 and FGFR2 (merged image in E). F: FGFR2 (F) and FGFR1 (G) staining in clustered cells of epithelial origin (inferred by morphology here) demonstrating that epithelial cells express both FGFR1 and FGFR2 (merged image with DAPI staining in H).)

FGFR2, Polyclonal Antibody (Cat# AAA26855)

No reviews yet
Full Name
FGFR2, NT (FGFR2, BEK, KGFR, KSAM, Fibroblast growth factor receptor 2, K-sam, Keratinocyte growth factor receptor, CD332) (Azide free) (HRP)
Gene Names
FGFR2; BEK; JWS; BBDS; CEK3; CFD1; ECT1; KGFR; TK14; TK25; BFR-1; CD332; K-SAM
Reactivity
Human, Monkey, Mouse, Rat
Applications
IHC, EIA, WB
Purity
Purified by Protein G Affinity Chromatography.
Pricing
product-image-AAA20854_IHC6.jpg IHC (Immunohistchemistry) (DAB staining on IHC-P;Samples: Human Colorectal cancer Tissue;Primary Ab: 10ug/ml Rabbit Anti-Human FLNC AntibodySecond Ab: 2ug/mL HRP-Linked Caprine Anti-Rabbit IgG Polyclonal Antibody)

Filamin C Gamma, Polyclonal Antibody (Cat# AAA20854)

No reviews yet
Full Name
Polyclonal Antibody to Filamin C Gamma (FLNC)
Gene Names
FLNC; ABPA; ABPL; FLN2; MFM5; MPD4; RCM5; CMH26; ABP-280; ABP280A
Reactivity
Human
Applications
WB, IHC
Purity
Antigen-specific affinity chromatography followed by Protein A affinity chromatography
Pricing
product-image-AAA27381_SC.jpg Standard Curve (Sample)

Anti-carbamylated Protein Antibody, ELISA Kit (Cat# AAA27381)

No reviews yet
Full Name
Human Anti-carbamylated Protein Antibody ELISA Kit
Reactivity
Human
Pricing
product-image-AAA19500_FCM8.png FCM (Flow Cytometry) (Figure 8. Flow Cytometry analysis of THP-1 cells using anti-IMPDH1 antibody (AAA19500).Overlay histogram showing THP-1 cells stained with AAA19500 (Blue line). The cells were blocked with 10% normal goat serum. And then incubated with rabbit anti-IMPDH1 Antibody (AAA19500, 1 ug/1x10^6 cells) for 30 min at 20 degree C. DyLight488 conjugated goat anti-rabbit IgG was used as secondary antibody for 30 minutes at 20 degree C. Isotype control antibody (Green line) was rabbit IgG (1 ug/1x10^6) used under the same conditions. Unlabelled sample (Red line) was also used as a control.)

IMPDH1, Polyclonal Antibody (Cat# AAA19500)

No reviews yet
Full Name
Anti-IMPDH1 Antibody Picoband
Gene Names
IMPDH1; IMPD; RP10; IMPD1; LCA11; IMPDH-I; sWSS2608
Reactivity
Human, Mouse
Applications
Western Blot, Immunohistochemistry, Immunocytochemistry, Immunofluorescence, Flow Cytometry
Purity
Immunogen affinity purified.
Pricing
product-image-AAA20009_IHC.jpg IHC (Immunohistchemistry) (Figure 9. IHC analysis of SMIM8 using anti-SMIM8 antibody (AAA20009).SMIM8 was detected in a paraffin-embedded section of human testicular seminoma tissue. Heat mediated antigen retrieval was performed in EDTA buffer (pH 8.0, epitope retrieval solution). The tissue section was blocked with 10% goat serum. The tissue section was then incubated with 2ug/ml rabbit anti-SMIM8 Antibody (AAA20009) overnight at 4 degree C. Peroxidase Conjugated Goat Anti-rabbit IgG was used as secondary antibody and incubated for 30 minutes at 37 degree C. The tissue section was developed using HRP Conjugated Rabbit IgG Super Vision Assay Kit ( epitope retrieval solution). The tissue section was blocked with 10% goat serum. The tissue section was then incubated with 2ug/ml rabbit anti-SMIM8 Antibody (AAA20009) overnight at 4 degree C. Peroxidase Conjugated Goat Anti-rabbit IgG was used as secondary antibody and incubated for 30 minutes at 37 degree C. The tissue section was developed using HRP Conjugated Rabbit IgG Super Vision Assay Kit ( epitope retrieval solution). The tissue section was blocked with 10% goat serum. The tissue section was then incubated with 2ug/ml rabbit anti-SMIM8 Antibody (AAA20009) overnight at 4 degree C. Peroxidase Conjugated Goat Anti-rabbit IgG was used as secondary antibody and incubated for 30 minutes at 37 degree C. The tissue section was developed using HRP Conjugated Rabbit IgG Super Vision Assay Kit ( epitope retrieval solution). The tissue section was blocked with 10% goat serum. The tissue section was then incubated with 2ug/ml rabbit anti-SMIM8 Antibody (AAA20009) overnight at 4 degree C. Peroxidase Conjugated Goat Anti-rabbit IgG was used as secondary antibody and incubated for 30 minutes at 37 degree C. The tissue section was developed using HRP Conjugated Rabbit IgG Super Vision Assay Kit ( epitope retrieval solution). The tissue section was blocked with 10% goat serum. The tissue section was then incubated with 2ug/ml rabbit anti-SMIM8 Antibody (AAA20009) overnight at 4 degree C. Peroxidase Conjugated Goat Anti-rabbit IgG was used as secondary antibody and incubated for 30 minutes at 37 degree C. The tissue section was developed using HRP Conjugated Rabbit IgG Super Vision Assay Kit ( epitope retrieval solution). The tissue section was blocked with 10% goat serum. The tissue section was then incubated with 2ug/ml rabbit anti-SMIM8 Antibody (AAA20009) overnight at 4 degree C. Peroxidase Conjugated Goat Anti-rabbit IgG was used as secondary antibody and incubated for 30 minutes at 37 degree C. The tissue section was developed using HRP Conjugated Rabbit IgG Super Vision Assay Kit ( epitope retrieval solution). The tissue section was blocked with 10% goat serum. The tissue section was then incubated with 2ug/ml rabbit anti-SMIM8 Antibody (AAA20009) overnight at 4 degree C. Peroxidase Conjugated Goat Anti-rabbit IgG was used as secondary antibody and incubated for 30 minutes at 37 degree C. The tissue section was developed using HRP Conjugated Rabbit IgG Super Vision Assay Kit ( epitope retrieval solution). The tissue section was blocked with 10% goat serum. The tissue section was then incubated with 2ug/ml rabbit anti-SMIM8 Antibody (AAA20009) overnight at 4 degree C. Peroxidase Conjugated Goat Anti-rabbit IgG was used as secondary antibody and incubated for 30 minutes at 37 degree C. The tissue section was developed using HRP Conjugated Rabbit IgG Super Vision Assay Kit ( epitope retrieval solution). The tissue section was blocked with 10% goat serum. The tissue section was then incubated with 2ug/ml rabbit anti-SMIM8 Antibody (AAA20009) overnight at 4 degree C. Peroxidase Conjugated Goat Anti-rabbit IgG was used as secondary antibody and incubated for 30 minutes at 37 degree C. The tissue section was developed using HRP Conjugated Rabbit IgG Super Vision Assay Kit with DAB as the chromogen.)

SMIM8, Polyclonal Antibody (Cat# AAA20009)

No reviews yet
Full Name
Anti-SMIM8 Antibody
Gene Names
SMIM8; C6orf162; dJ102H19.2
Reactivity
Human
Applications
Immunohistochemistry
Purity
Immunogen affinity purified.
Pricing
product-image-AAA21061_SDS_PAGE2.jpg SDS-PAGE

Reverse Triiodothyronine (rT3), Small Molecule (Cat# AAA21061)

No reviews yet
Full Name
OVA Conjugated Reverse Triiodothyronine (rT3)
Applications
Immunogen, SDS-PAGE
Purity
>90%
Pricing
product-image-AAA24680_WB7.jpg WB (Western Blot) (Western Blot detection against Immunogen (54.71kD).)

TARDBP, Monoclonal Antibody (Cat# AAA24680)

No reviews yet
Full Name
TARDBP (TAR DNA-binding Protein 43, TDP43, TDP-43, ALS10) APC
Gene Names
TARDBP; ALS10; TDP-43
Reactivity
Human
Applications
Immunofluorescence, Immunohistochemistry, Immunoprecipitation, Western Blot
Purity
Purified by Protein A Affinity Chromatography.
Pricing

Submit a Question

Please complete the form below and a representative will contact you as soon as possible.

Request more Information

Please complete the form below and a representative will contact you as soon as possible.

Request a Manual

Please complete the form below and a representative will contact you as soon as possible.

Request a Quote

Please complete the form below and a representative will contact you as soon as possible.