Loading...

Skip to main content
Call us at +1-800-604-9114 for more information about our products or contact us online Need help? +1-800-604-9114 or contact us

Filters


Clonality

Type

Reactivity

Gene Name

Isotype

Host

Application

Clone

Viewing 5850-5900 of 265407 product results


product-image-AAA110919_WB13.jpg WB (Western Blot) (Western blot analysis of extracts from HeLa cells using c-Jun (Ab-91) antibody.)

c-Jun, Antibody (Cat# AAA110919)

No reviews yet
Full Name
c-Jun (Ab-91) Antibody
Gene Names
JUN; AP1; p39; AP-1; c-Jun
Reactivity
Human, Mouse, Rat
Applications
Immunofluorescence, Immunohistochemistry, Western Blot
Purity
Affinity-purified from rabbit antiserum by affinity-chromatography using epitope-specific immunogen.
Pricing
product-image-AAA110920_AD13.jpg Application Data (ICC/IF image of c-myc antibody stained human A549 cells. The secondary antibody (green) was goat anti-rabbit IgG (H+L) FITC conjugated.)

C-myc, Polyclonal Antibody (Cat# AAA110920)

No reviews yet
Full Name
C-myc Antibody
Gene Names
MYC; MRTL; MYCC; c-Myc; bHLHe39
Reactivity
Human
Applications
Western Blot
Purity
Affinity Purified
Pricing
product-image-AAA110921_WB13.jpg WB (Western Blot) (Western blot analysis of extracts from NIH/3T3 cells using MEF2A (Ab-312) antibody.)

MEF2A, Antibody (Cat# AAA110921)

No reviews yet
Full Name
MEF2A (Ab-312) Antibody
Gene Names
MEF2A; mef2; ADCAD1; RSRFC4; RSRFC9
Reactivity
Human, Mouse, Rat
Applications
Immunohistochemistry, Western Blot
Purity
Affinity-purified from rabbit antiserum by affinity-chromatography using epitope-specific immunogen.
Pricing
product-image-AAA110923_WB15.png WB (Western Blot) (Western blot analysis of extract from rat brain tissue using Tau (phospho- Ser356) antibody (AAA110923, Lane 1 and 2).)

Tau, Antibody (Cat# AAA110923)

No reviews yet
Full Name
Tau (Phospho-Ser356) Antibody
Gene Names
MAPT; TAU; MSTD; PPND; DDPAC; MAPTL; MTBT1; MTBT2; FTDP-17; PPP1R103
Reactivity
Human, Mouse, Rat
Applications
Western Blot
Purity
Affinity-purified from rabbit antiserum by affinity-chromatography using epitope-specific phosphopeptide. The antibody against non-phosphopeptide was removed by chromatogramphy using non-phosphopeptide corresponding to the phosphorylation site.
Pricing
product-image-AAA110924_WB13.jpg WB (Western Blot) (Western blot analysis of extracts from 293 cells using G3BP-1 (Ab-232) antibody and G3BP-1 (phospho-Ser232) antibody.)

G3BP-1, Antibody (Cat# AAA110924)

No reviews yet
Full Name
G3BP-1 (Ab-232) Antibody
Gene Names
G3BP1; G3BP; HDH-VIII
Reactivity
Human
Applications
Immunohistochemistry, Western Blot
Purity
Affinity-purified from rabbit antiserum by affinity-chromatography using epitope-specific immunogen.
Pricing
product-image-AAA110927_WB15.gif WB (Western Blot) (Western blot analysis on human heart (A) and mouse heart (B) cell lysates using anti- DOPEY2 polyclonal antibody.)

DOPEY2, Polyclonal Antibody (Cat# AAA110927)

No reviews yet
Full Name
DOPEY2 Antibody
Gene Names
DOPEY2; 21orf5; C21orf5
Applications
Western Blot
Purity
Immunogen affinity purified
Pricing
product-image-AAA110930_WB13.jpg WB (Western Blot) (Western blot analysis of extracts from A431 cells, untreated or treated with EGF (200ng/ml 10min), using RelB (Ab-552) antibody and RelB (phospho-Ser552) antibody.)

RelB, Antibody (Cat# AAA110930)

No reviews yet
Full Name
RelB (Phospho-Ser552) Antibody
Gene Names
RELB; IREL; I-REL; IMD53; REL-B
Reactivity
Human, Mouse, Rat
Applications
Immunohistochemistry, Western Blot
Purity
Affinity-purified from rabbit antiserum by affinity-chromatography using epitope-specific phosphopeptide. The antibody against non-phosphopeptide was removed by chromatography using non-phosphopeptide corresponding to the phosphorylation site.
Pricing
product-image-AAA110933_WB13.jpg WB (Western Blot) (Western blot analysis of extracts from MCF7 cells using IkappaB-alpha (Ab-32/36) antibody.)

IkappaB-alpha, Antibody (Cat# AAA110933)

No reviews yet
Full Name
IkappaB-alpha (Ab-32/36) Antibody
Gene Names
NFKBIA; IKBA; MAD-3; NFKBI
Reactivity
Human, Mouse, Rat
Applications
Immunofluorescence, Immunohistochemistry, Western Blot
Purity
Affinity-purified from rabbit antiserum by affinity-chromatography using epitope-specific immunogen.
Pricing
product-image-AAA110938_WB13.jpg WB (Western Blot) (Western blot analysis of extracts from Jurkat cells, using p62Dok (Ab-362) antibody and p62Dok (phospho-Tyr362) antibody.)

p62Dok, Antibody (Cat# AAA110938)

No reviews yet
Full Name
p62Dok (phospho-Tyr362) Antibody
Gene Names
DOK1; pp62; P62DOK
Reactivity
Human, Mouse, Rat
Applications
Immunohistochemistry, Western Blot
Purity
Affinity-purified from rabbit antiserum by affinity-chromatography using epitope-specific phosphopeptide. The antibody against non-phosphopeptide was removed by chromatography using non-phosphopeptide corresponding to the phosphorylation site.
Pricing
product-image-AAA110948_WB13.jpg WB (Western Blot) (Western blot analysis of extracts from 293 cells using G3BP-1 (Ab-232) antibody and G3BP-1 (phospho-Ser232) antibody.)

G3BP-1, Antibody (Cat# AAA110948)

No reviews yet
Full Name
G3BP-1 (Phospho-Ser232) Antibody
Gene Names
G3BP1; G3BP; HDH-VIII
Reactivity
Human
Applications
Immunofluorescence, Immunohistochemistry, Western Blot
Purity
Affinity-purified from rabbit antiserum by affinity-chromatography using epitope-specific phosphopeptide. The antibody against non-phosphopeptide was removed by chromatography using non-phosphopeptide corresponding to the phosphorylation site.
Pricing
product-image-AAA111038_WB13.jpg WB (Western Blot) (Western blot analysis of extracts from 293 cells, untreated or treated with insulin (10mu/ml, 15min), using p70 S6 Kinase (Ab-411) antibody and p70 S6 Kinase (phospho-Ser411) antibody.)

p70 S6 Kinase, Antibody (Cat# AAA111038)

No reviews yet
Full Name
p70 S6 Kinase (Ab-411) Antibody
Gene Names
RPS6KB1; S6K; PS6K; S6K1; STK14A; p70-S6K; p70 S6KA; p70-alpha; S6K-beta-1; p70(S6K)-alpha
Reactivity
Human, Mouse, Rat
Applications
Immunohistochemistry, Western Blot
Purity
Affinity-purified from rabbit antiserum by affinity-chromatography using epitope-specific immunogen.
Pricing
product-image-AAA111041_WB13.jpg WB (Western Blot) (Western blot analysis of extracts from MDA435 cells untreated or treated with EGF (200nm, 5min), using 4E-BP1 (Ab-45) antibody and 4E-BP1 (phospho-Thr45) antibody.)

4E-BP1, Antibody (Cat# AAA111041)

No reviews yet
Full Name
4E-BP1 (Phospho-Thr45) Antibody
Gene Names
EIF4EBP1; BP-1; 4EBP1; 4E-BP1; PHAS-I
Reactivity
Human, Mouse, Rat
Applications
Immunohistochemistry, Western Blot
Purity
Affinity-purified from rabbit antiserum by affinity-chromatography using epitope-specific phosphopeptide. The antibody against non-phosphopeptide was removed by chromatography using non-phosphopeptide corresponding to the phosphorylation site.
Pricing
product-image-AAA111043_WB15.gif WB (Western Blot) (Western blot analysis on human heart 1 and human serum 2 using anti-albumin polyclonal antibody.)

Albumin, Polyclonal Antibody (Cat# AAA111043)

No reviews yet
Full Name
Albumin
Gene Names
ALB; HSA; PRO0883; PRO0903; PRO1341
Reactivity
Human, Mouse
Applications
Flow Cytometry, Immunohistochemistry, Immunocytochemistry, Western Blot
Pricing
product-image-AAA111045_WB13.jpg WB (Western Blot) (Western blot analysis using Raf-1 (Ab-259) antibody and Raf-1 (phospho-Ser259) antibody.)

Raf1, Antibody (Cat# AAA111045)

No reviews yet
Full Name
Raf1 (Phospho-Ser259) Antibody
Gene Names
RAF1; NS5; CRAF; Raf-1; c-Raf; CMD1NN
Reactivity
Human, Mouse, Rat
Applications
Immunohistochemistry, Western Blot
Purity
Affinity-purified from rabbit antiserum by affinity-chromatography using epitope-specific phosphopeptide. The antibody against non-phosphopeptide was removed by chromatogramphy using non-phosphopeptide corresponding to the phosphorylation site.
Pricing
product-image-AAA111046_WB13.jpg WB (Western Blot) (Western blot analysis of extract from mouse brain tissue, using GAP43 (Ab-41) antibody.)

GAP43, Antibody (Cat# AAA111046)

No reviews yet
Full Name
GAP43 (Ab-41) Antibody
Gene Names
GAP43; B-50; PP46
Reactivity
Human, Mouse, Rat
Applications
Immunohistochemistry, Western Blot
Purity
Affinity-purified from rabbit antiserum by affinity-chromatography using epitope-specific immunogen.
Pricing

HNF4alpha, Antibody (Cat# AAA111051)

No reviews yet
Full Name
HNF4alpha (Ab-304) Antibody
Gene Names
HNF4A; TCF; HNF4; MODY; FRTS4; MODY1; NR2A1; TCF14; HNF4a7; HNF4a8; HNF4a9; NR2A21; HNF4alpha
Reactivity
Human, Mouse, Rat
Applications
Immunohistochemistry
Purity
Affinity-purified from rabbit antiserum by affinity-chromatography using epitope-specific immunogen.
Pricing
product-image-AAA111054_WB13.jpg WB (Western Blot) (Western blot analysis of extracts from NIH/3T3 cells untreated or treated with forskolin (40uM, 30min), using VASP (Ab-157) antibody and VASP (phospho-Ser157) antibody (AAA111054, Lane 3 and 4).)

VASP, Antibody (Cat# AAA111054)

No reviews yet
Full Name
VASP (Phospho-Ser157) Antibody
Reactivity
Human, Mouse, Rat
Applications
Immunohistochemistry, Western Blot
Purity
Affinity-purified from rabbit antiserum by affinity-chromatography using epitope-specific phosphopeptide.
The antibody against non-phosphopeptide was removed by chromatogramphy using non-phosphopeptide corresponding to the phosphorylation site.
Pricing
product-image-AAA111055_WB13.jpg WB (Western Blot) (Western blot analysis of extracts from ovary cancer cells using GSK3alpha (Ab-21) antibody)

GSK3alpha, Antibody (Cat# AAA111055)

No reviews yet
Full Name
GSK3alpha (Ab-21) Antibody
Reactivity
Human, Mouse, Rat
Applications
Immunofluorescence, Immunohistochemistry, Western Blot
Purity
Affinity-purified from rabbit antiserum by affinity-chromatography using epitope-specific immunogen.
Pricing
product-image-AAA111057_WB13.jpg WB (Western Blot) (Western blot analysis of extracts from K562 cells, using p56Dok-2 (Ab-299) antibody and p56Dok-2 (phospho-Tyr299) antibody.)

p56Dok-2, Antibody (Cat# AAA111057)

No reviews yet
Full Name
p56Dok-2 (Ab-299) Antibody
Gene Names
DOK2; p56DOK; p56dok-2
Reactivity
Human
Applications
Immunohistochemistry, Western Blot
Purity
Affinity-purified from rabbit antiserum by affinity-chromatography using epitope-specific immunogen.
Pricing
product-image-AAA111058_WB13.jpg WB (Western Blot) (Western blot analysis of extracts from HeLa cells using STAT3 (Ab-727) antibody.)

STAT3, Antibody (Cat# AAA111058)

No reviews yet
Full Name
STAT3 (Ab-727) Antibody
Gene Names
STAT3; APRF; HIES; ADMIO; ADMIO1
Reactivity
Human, Mouse, Rat
Applications
Immunohistochemistry, Western Blot
Purity
Affinity-purified from rabbit antiserum by affinity-chromatography using epitope-specific immunogen.
Pricing
product-image-AAA111059_WB13.jpg WB (Western Blot) (Western blot analysis of extracts from HeLa cells using STAT5A (phospho-Tyr694) antibody.)

STAT5A, Antibody (Cat# AAA111059)

No reviews yet
Full Name
STAT5A (Phospho-Tyr694) Antibody
Gene Names
STAT5A; MGF; STAT5
Reactivity
Human, Mouse, Rat
Applications
Immunohistochemistry, Western Blot
Purity
Affinity-purified from rabbit antiserum by affinity-chromatography using epitope-specific phosphopeptide. The antibody against non-phosphopeptide was removed by chromatography using non-phosphopeptide corresponding to the phosphorylation site.
Pricing
product-image-AAA111061_WB15.jpg WB (Western Blot) (Western blot analysis of extract from A431 cells, untreated or treated with EGF (200ng/ml, 10min), using PLC gamma 1 (Ab-783) antibody and PLC gamma 1 (phospho-Tyr783) antibody.)

PLC gamma 1, Antibody (Cat# AAA111061)

No reviews yet
Full Name
PLC gamma 1 (Phospho-Tyr783) Antibody
Gene Names
PLCG1; PLC1; NCKAP3; PLC-II; PLC148; PLCgamma1
Reactivity
Human, Mouse, Rat
Applications
Western Blot
Purity
Affinity-purified from rabbit antiserum by affinity-chromatography using epitope-specific phosphopeptide. The antibody against non-phosphopeptide was removed by chromatography using non-phosphopeptide corresponding to the phosphorylation site.
Pricing
product-image-AAA111062_IF13.gif IF (Immunofluorescence) (Immunofluorescence staining of methanol-fixed HeLa cells using LC3A /Apg-8 antibody (Red).)

LC3A, Antibody (Cat# AAA111062)

No reviews yet
Full Name
LC3A antibody
Gene Names
MAP1LC3A; LC3; LC3A; ATG8E; MAP1ALC3; MAP1BLC3
Pricing
product-image-AAA111063_WB13.jpg WB (Western Blot) (Western blot analysis of extract from thyroid cancer cell line Bph cells, using JAK1 (phospho-Tyr1022) antibody.)

JAK1, Antibody (Cat# AAA111063)

No reviews yet
Full Name
JAK1 (Phospho-Tyr1022) Antibody
Gene Names
JAK1; JTK3; JAK1A; JAK1B
Reactivity
Human, Mouse, Rat
Applications
Immunohistochemistry, Western Blot
Purity
Affinity-purified from rabbit antiserum by affinity-chromatography using epitope-specific phosphopeptide. The antibody against non-phosphopeptide was removed by chromatogramphy using non-phosphopeptide corresponding to the phosphorylation site.
Pricing
product-image-AAA111065_WB13.jpg WB (Western Blot) (Western blot analysis of extract from NIH/3T3 cells untreated or treated with 10% serum (15min), using elF4E (Ab-209) antibody and elF4E (phospho-Ser209) antibody.)

eIF4E, Antibody (Cat# AAA111065)

No reviews yet
Full Name
eIF4E (Phospho-Ser209) Antibody
Gene Names
EIF4E; CBP; EIF4F; AUTS19; EIF4E1; eIF-4E; EIF4EL1
Reactivity
Human, Mouse, Rat
Applications
Immunohistochemistry, Western Blot
Purity
Affinity-purified from rabbit antiserum by affinity-chromatography using epitope-specific phosphopeptide. The antibody against non-phosphopeptide was removed by chromatography using non-phosphopeptide corresponding to the phosphorylation site.
Pricing
product-image-AAA111067_WB13.jpg WB (Western Blot) (Western blot analysis of extracts from ovary cancer cells using p53 (phosphor-Ser315) antibody.)

p53, Antibody (Cat# AAA111067)

No reviews yet
Full Name
p53 (Phospho-Ser315) Antibody
Gene Names
TP53; P53; BCC7; LFS1; TRP53
Reactivity
Human
Applications
Immunohistochemistry, Western Blot
Purity
Affinity-purified from rabbit antiserum by affinity-chromatography using epitope-specific phosphopeptide. The antibody against non-phosphopeptide was removed by chromatogramphy using non-phosphopeptide corresponding to the phosphorylation site.
Pricing
product-image-AAA111068_WB15.jpg WB (Western Blot) (Western blot analysis of extracts of mouse livercell line, using SHH antibody.)

NGF, Antibody (Cat# AAA111068)

No reviews yet
Full Name
NGF Antibody
Gene Names
SHH; TPT; HHG1; HLP3; HPE3; SMMCI; ShhNC; TPTPS; MCOPCB5
Reactivity
Human, Mouse, Rat
Applications
Immunofluorescence, Western Blot
Purity
Affinity purification
Pricing
product-image-AAA111079_WB13.jpg WB (Western Blot) (Western blot analysis of extracts from NIH/3T3 cells treated with insulin (100nM, 15min), using SHP-2 (Ab-542) antibody.)

SHP-2, Antibody (Cat# AAA111079)

No reviews yet
Full Name
SHP-2 (Ab-542) Antibody
Gene Names
PTPN11; CFC; NS1; JMML; SHP2; BPTP3; PTP2C; METCDS; PTP-1D; SH-PTP2; SH-PTP3
Reactivity
Human, Mouse, Rat
Applications
Immunohistochemistry, Western Blot
Purity
Affinity-purified from rabbit antiserum by affinity-chromatography using epitope-specific immunogen.
Pricing
product-image-AAA111083_WB13.jpg WB (Western Blot) (Western blot analysis of extract from A431 cell untreated or treated with EGF (200ng/ml, 5min), using EGFR (Ab-1172) antibody and EGFR (phospho-Tyr1172) antibody.)

EGFR, Antibody (Cat# AAA111083)

No reviews yet
Full Name
EGFR (Phospho-Tyr1172) Antibody
Gene Names
EGFR; ERBB; HER1; mENA; ERBB1; PIG61; NISBD2
Reactivity
Human, Mouse, Rat
Applications
Immunohistochemistry, Western Blot
Purity
Affinity-purified from rabbit antiserum by affinity-chromatography using epitope-specific phosphopeptide. The antibody against non-phosphopeptide was removed by chromatogramphy using non-phosphopeptide corresponding to the phosphorylation site.
Pricing
product-image-AAA111086_WB13.gif WB (Western Blot) (Western blot analysis of extract from HT-29 cells using NF-kappaB p105/p50 (Ab-337) antibody (Lane 1 and 2).)

NFkappaB-p105/p50, Antibody (Cat# AAA111086)

No reviews yet
Full Name
NFkappaB-p105/p50 (Ab-337) Antibody
Gene Names
NFKB1; p50; KBF1; p105; EBP-1; CVID12; NF-kB1; NFKB-p50; NFkappaB; NF-kappaB; NFKB-p105; NF-kappa-B
Reactivity
Human, Mouse, Rat
Applications
Immunohistochemistry, Western Blot
Purity
Affinity-purified from rabbit antiserum by affinity-chromatography using epitope-specific immunogen.
Pricing
product-image-AAA111091_IHC15.gif IHC (Immunohistochemistry) (Immunohistochemical analysis of paraffin-embedded human breast carcinoma tissue, using BIM (phospho-Ser65) antibody.)

BIM, Antibody (Cat# AAA111091)

No reviews yet
Full Name
BIM (Phospho-Ser69/65) Antibody
Gene Names
BCL2L11; BAM; BIM; BOD
Reactivity
Human, Mouse, Rat
Applications
Immunohistochemistry
Purity
Affinity-purified from rabbit antiserum by affinity-chromatography using epitope-specific phosphopeptide. The antibody against non-phosphopeptide was removed by chromatogramphy using non-phosphopeptide corresponding to the phosphorylation site.
Pricing
product-image-AAA111099_WB13.jpg WB (Western Blot) (Western blot analysis of extracts from NIH/3T3 cells treated with using Serum. Left: Using FOXO3A (Ab-253) antibody. Right: Using the same antibody preincubated with synthesized peptide.)

FOXO3A, Antibody (Cat# AAA111099)

No reviews yet
Full Name
FOXO3A (Ab-253) Antibody
Gene Names
FOXO3; FOXO2; AF6q21; FKHRL1; FOXO3A; FKHRL1P2
Reactivity
Human, Mouse, Rat
Applications
Immunohistochemistry, Western Blot
Purity
Affinity-purified from rabbit antiserum by affinity-chromatography using epitope-specific immunogen.
Pricing
product-image-AAA111100_AD15.png Application Data (Fig: Western blot analysis on human spleen using anti-CD24 polyclonal antibody)

CD24, Polyclonal Antibody (Cat# AAA111100)

No reviews yet
Full Name
CD24 Antibody
Gene Names
CD24; CD24A
Reactivity
Human
Applications
Immunohistochemistry, Immunocytochemistry, Western Blot
Pricing
product-image-AAA111101_AD13.png Application Data (Immunofluorescence staining of methanol-fixed HeLa cells using AKT1 (phospho-Thr450) Antibody (E011502, red).)

AKT1, Antibody (Cat# AAA111101)

No reviews yet
Full Name
AKT1 (phospho-Thr450) Antibody
Gene Names
AKT1; AKT; PKB; RAC; CWS6; PRKBA; PKB-ALPHA; RAC-ALPHA
Reactivity
Human, Mouse, Rat
Applications
Immunofluorescence, Immunohistochemistry
Purity
Affinity-purified from rabbit antiserum by affinity-chromatography using epitope-specific phosphopeptide. The antibody against non-phosphopeptide was removed by chromatography using non-phosphopeptide corresponding to the phosphorylation site.
Pricing
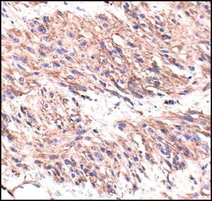
product-image-AAA111106_IHC15.jpg IHC (Immunohistochemistry) (P-Peptide-+ Immunohistochemical analysis of paraffin-embedded human breast carcinoma tissue using Chk1 (phospho-Ser345) antibody.)

Chk1, Antibody (Cat# AAA111106)

No reviews yet
Full Name
Chk1 (Phospho-Ser345) Antibody
Gene Names
CHEK1; CHK1
Reactivity
Human, Mouse, Rat
Applications
Immunohistochemistry
Purity
Affinity-purified from rabbit antiserum by affinity-chromatography using epitope-specific phosphopeptide. The antibody against non-phosphopeptide was removed by chromatogramphy using non-phosphopeptide corresponding to the phosphorylation site.
Pricing
product-image-AAA111107_WB13.jpg WB (Western Blot) (Western blot analysis of extracts from Jurkat cells untreated or treated with PMA (1ng/ml, 15min), using Stathmin 1 (Ab-24) antibody and Stathmin 1 (phospho-Ser24) antibody.)

Stathmin 1, Antibody (Cat# AAA111107)

No reviews yet
Full Name
Stathmin 1 (Ab-24) Antibody
Gene Names
STMN1; Lag; SMN; OP18; PP17; PP19; PR22; LAP18; C1orf215
Reactivity
Human, Mouse, Rat
Applications
Immunofluorescence, Immunohistochemistry, Western Blot
Purity
Affinity-purified from rabbit antiserum by affinity-chromatography using epitope-specific immunogen.
Pricing
product-image-AAA111111_IHC13.jpg IHC (Immunohiostchemistry) (Immunohistochemical analysis of paraffin embedded rat hippocampal region tissue from a model with Alzheimer’s Disease using Tau (Ab-231) Antibody (AAA111111).)

Tau, Antibody (Cat# AAA111111)

No reviews yet
Full Name
Tau (Ab-231) Antibody
Gene Names
MAPT; TAU; MSTD; PPND; DDPAC; MAPTL; MTBT1; MTBT2; FTDP-17; PPP1R103
Reactivity
Human, Mouse, Rat
Applications
Immunofluorescence, Immunohistochemistry, Western Blot
Purity
Affinity-purified from rabbit antiserum by affinity-chromatography using epitope-specific immunogen.
Pricing
product-image-AAA111367_IHC13.jpg IHC (Immunohiostchemistry) (Immunohistochemistry analysis of paraffin-embedded human brain tissue using ZNF596 antibody. Western blot analysis of extracts from Jurkat cells, using ZNF596 antibody.)

ZNF596, Antibody (Cat# AAA111367)

No reviews yet
Full Name
ZNF596 Antibody
Reactivity
Human
Applications
Immunohistochemistry, Western Blot
Purity
Affinity-purified from rabbit antiserum by affinity-chromatography using epitope-specific immunogen.
Pricing
product-image-AAA111368_IHC13.jpg IHC (Immunohiostchemistry) (Peptide-+ Immunohistochemistry analysis of paraffin-embedded human brain tissue, using IPPK antibody. Immunofluorescence analysis of HepG2 cells, using IPPK antibody.)

IPPK, Antibody (Cat# AAA111368)

No reviews yet
Full Name
IPPK Antibody
Gene Names
IPPK; IP5K; IPK1; C9orf12; INSP5K2; bA476B13.1
Reactivity
Human, Mouse, Rat
Applications
Immunofluorescence, Immunohistochemistry
Purity
Affinity-purified from rabbit antiserum by affinity-chromatography using epitope-specific immunogen.
Pricing
product-image-AAA111369_IF11.jpg IF (Immunofluorescence) (Peptide-+ Immunofluorescence analysis of HuvEc cells, using MRPL44 antibody.)

MRPL44, Antibody (Cat# AAA111369)

No reviews yet
Full Name
MRPL44 Antibody
Gene Names
MRPL44; L44MT; COXPD16; MRP-L44
Reactivity
Human, Mouse, Rat
Applications
Immunofluorescence, Immunohistochemistry, Western Blot
Purity
Affinity-purified from rabbit antiserum by affinity-chromatography using epitope-specific immunogen.
Pricing
product-image-AAA111375_WB13.jpg WB (Western Blot) (Peptide-+ Western blot analysis of extracts from 293 cells and A549 cells, using DAXX antibody. Immunofluorescence analysis of HeLa cells, using DAXX antibody.)

DAXX, Antibody (Cat# AAA111375)

No reviews yet
Full Name
DAXX Antibody
Gene Names
DAXX; DAP6; EAP1; BING2
Reactivity
Human, Mouse, Rat
Applications
Immunofluorescence, Western Blot
Purity
Affinity-purified from rabbit antiserum by affinity-chromatography using epitope-specific immunogen.
Pricing
product-image-AAA111376_WB15.jpg WB (Western Blot) (Western blot analysis of extracts from Jurkat cells, using HXA5 antibody.)

HOXA5, Antibody (Cat# AAA111376)

No reviews yet
Full Name
HOXA5 Antibody
Gene Names
HOXA5; HOX1; HOX1C; HOX1.3
Reactivity
Human, Mouse, Rat
Applications
Western Blot
Purity
The antibody was affinity-purified from rabbit antiserum by affinity-chromatography using epitope-specific immunogen.
Pricing
product-image-AAA111381_WB13.jpg WB (Western Blot) (Peptide-+ Western blot analysis of extracts from Jurkat cells and HUVEC cells, using ZNF187 antibody. Immunofluorescence analysis of A549 cells, using ZNF187 antibody.)

ZNF187, Antibody (Cat# AAA111381)

No reviews yet
Full Name
ZNF187 Antibody
Gene Names
ZSCAN26; SREZBP; ZNF187; SRE-ZBP
Reactivity
Human
Applications
Immunofluorescence, Western Blot
Purity
Affinity-purified from rabbit antiserum by affinity-chromatography using epitope-specific immunogen.
Pricing
product-image-AAA111382_AD13.jpg Application Data

PLEKHA8, Polyclonal Antibody (Cat# AAA111382)

No reviews yet
Full Name
PLEKHA8 Antibody
Gene Names
PLEKHA8; FAPP2
Reactivity
Human
Predicted: Mouse, Rat
Applications
Immunohistochemistry, Western Blot
Pricing
product-image-AAA111383_IHC13.jpg IHC (Immunohiostchemistry) (Immunohistochemistry analysis of paraffin-embedded human breast carcinoma tissue using MSK1 (Phospho-Ser212) antibody. Western blot analysis of extracts from 3T3 cells, treated with EGF (200ng/ml, 5mins), using MSK1 (Phospho-Ser212) antibody.)

MSK1, Antibody (Cat# AAA111383)

No reviews yet
Full Name
MSK1 (Phospho-Ser212) Antibody
Gene Names
RPS6KA5; MSK1; RLPK; MSPK1
Reactivity
Human, Mouse
Applications
Immunohistochemistry, Western Blot
Purity
Affinity-purified from rabbit antiserum by affinity-chromatography using epitope-specific phosphopeptide. The antibody against non-phosphopeptide was removed by chromatography using non-phosphopeptide corresponding to the phosphorylation site.
Pricing
product-image-AAA111386_AD13.jpg Application Data

PELI1, Polyclonal Antibody (Cat# AAA111386)

No reviews yet
Full Name
PELI1 Antibody
Reactivity
Human
Predicted: Mouse, Rat
Applications
Immunohistochemistry, Western Blot
Pricing
product-image-AAA111390_WB13.jpg WB (Western Blot) (Western blot analysis of extracts from HepG2 cells, using PDGFRb (Phospho-Tyr771) antibody. ARFGAP3.)

ARFGAP3, Antibody (Cat# AAA111390)

No reviews yet
Full Name
ARFGAP3 Antibody
Gene Names
ARFGAP3; ARFGAP1
Reactivity
Human
Applications
Western Blot
Purity
Affinity-purified from rabbit antiserum by affinity-chromatography using epitope-specific immunogen.
Pricing
product-image-AAA111394_AD13.jpg Application Data

EFCAB7, Polyclonal Antibody (Cat# AAA111394)

No reviews yet
Full Name
EFCAB7 Antibody
Reactivity
Human
Predicted: Mouse, Rat
Applications
Immunohistochemistry, Western Blot
Pricing
product-image-AAA111395_AD13.jpg Application Data

IFIT5, Polyclonal Antibody (Cat# AAA111395)

No reviews yet
Full Name
IFIT5 Antibody
Gene Names
IFIT5; P58; RI58; ISG58
Reactivity
Human
Predicted: Mouse, Rat
Applications
Immunohistochemistry, Western Blot
Pricing
product-image-AAA111397_AD13.jpg Application Data

IFI44, Polyclonal Antibody (Cat# AAA111397)

No reviews yet
Full Name
IFI44 Antibody
Gene Names
IFI44; p44; TLDC5; MTAP44
Reactivity
Human
Predicted: Mouse, Rat
Applications
Immunohistochemistry, Western Blot
Pricing

Submit a Question

Please complete the form below and a representative will contact you as soon as possible.

Request more Information

Please complete the form below and a representative will contact you as soon as possible.

Request a Manual

Please complete the form below and a representative will contact you as soon as possible.

Request a Quote

Please complete the form below and a representative will contact you as soon as possible.