Loading...

Skip to main content
Call us at +1-800-604-9114 for more information about our products or contact us online Need help? +1-800-604-9114 or contact us

Filters


Clonality

Type

Reactivity

Gene Name

Isotype

Host

Application

Clone

Viewing 4350-4400 of 10000 product results


product-image-AAA11230_SC.jpg Standard Curve (Sample)

Anti-deoxyribonuclease B, Anti-DNase B, ELISA Kit (Cat# AAA11230)

Full Name
Human Anti-deoxyribonuclease B, Anti-DNase B ELISA Kit
Reactivity
Human
Pricing
product-image-AAA11806_SDS_PAGE.jpg SDS-PAGE

S100A8, Recombinant Protein (Cat# AAA11806)

Full Name
S100A8, 1-89aa, Mouse,His tag, E Coli
Gene Names
S100a8; p8; B8Ag; CFAg; Caga; MRP8; CP-10; 60B8Ag; AI323541
Applications
SDS-PAGE
Purity
> 95% by SDS-PAGE
Pricing
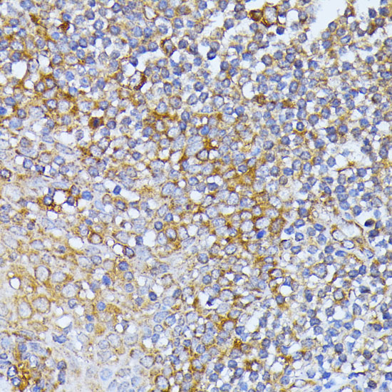
product-image-AAA11893_APP7.jpg Application Data (Formalin fixed, paraffin embedded human breast cancer biopsy stained with Mouse anti Human CD44 antibody followed by HRP-polymer detection and DAB substrate development (high power) following antigen retrieval using citrate buffer at pH6.2)

CD44, Monoclonal Antibody (Cat# AAA11893)

Full Name
MOUSE ANTI HUMAN CD44:FITC
Gene Names
CD44; IN; LHR; MC56; MDU2; MDU3; MIC4; Pgp1; CDW44; CSPG8; HCELL; HUTCH-I; ECMR-III
Applications
Flow Cytometry, Immunohistochemistry, Immunofluorescence
Purity
Purified
Pricing
product-image-AAA11978_APP6.gif Application Data (Staining of rat thymus cells with Mouse anti Rat CD90 (THY1.1):Alexa Fluor 488)

CD90, Monoclonal Antibody (Cat# AAA11978)

Full Name
MOUSE ANTI RAT CD90
Gene Names
Thy1; CD7
Applications
Immunohistochemistry, Flow Cytometry, Immunofluorescence, Immunoprecipitation, Western Blot
Pricing
product-image-AAA12280_APP10.jpg Application Data (Published customer image:Phycoerythrin conjugated Mouse anti Human CD83 antibody, clone HB15e used for the evaluation of CD83 expression on monocyte derived dendritic cells by flow cytometry.Phenotypic characterization of immunogenic and tolerogenic moDC populations by flow cytometry. Monocytes were negatively selected from PBMC using magnetic beads. Immature moDC were generated with IL-4 and GM-CSF for 6 days. 15d-PGJ2 (PGJ2 DC) and dexamethasone plus 1alpha,25-dihydroxyvitamin were added to generate tolerogenic moDC, respectively (PGJ2 DC and Dex/VD3 DC). To generate immunogenic moDC, immature moDC were stimulated for 24 h with LPS, polyI:C and a cytokine cocktail containing TNF-alpha, IL-1beta, IL-6 and PGE2, respectively. The phenotypes of the cells were analyzed by flow cytometry. Live cells were gated according to FSC/SSC. One representative experiment out of three is shown.From: Sprater F, Hovden A-O, Appel S (2012)Expression of ESE-3 Isoforms in Immunogenic and Tolerogenic Human Monocyte-Derived Dendritic Cells.PLoS ONE 7(11): e49577.)

CD83, Monoclonal Antibody (Cat# AAA12280)

Full Name
MOUSE ANTI HUMAN CD83
Reactivity
Human
Applications
Flow Cytometry, Immunohistochemistry, Immunohistochemistry, Immunoprecipitation, Immunofluorescence
Pricing
product-image-AAA14103_IHC6.jpg IHC (Immunohistchemistry) (Immunohistochemical analysis of paraffin-embedded human prostate tissues using GSTP1 mouse mAb with DAB staining.)

GSTP1, Monoclonal Antibody (Cat# AAA14103)

Full Name
Anti-GSTP1 Mouse mAb
Gene Names
GSTP1; PI; DFN7; GST3; GSTP; FAEES3; HEL-S-22
Reactivity
Human
Applications
Western Blot, Immunohistochemistry, Immunocytochemistry, Flow Cytometry
Pricing
product-image-AAA19981_FCM7.jpg FCM (Flow Cytometry) (Figure 7. Flow Cytometry analysis of 293T cells using anti-STON1 antibody (AAA19981).Overlay histogram showing 293T cells stained with AAA19981 (Blue line). To facilitate intracellular staining, cells were fixed with 4% paraformaldehyde and permeabilized with permeabilization buffer. The cells were blocked with 10% normal goat serum. And then incubated with rabbit anti-STON1 Antibody (AAA19981, 1ug/1x106 cells) for 30 min at 20 degree C. DyLight488 conjugated goat anti-rabbit IgG was used as secondary antibody for 30 minutes at 20 degree C. Isotype control antibody (Green line) was rabbit IgG (1ug/1x106) used under the same conditions. Unlabelled sample without incubation with primary antibody and secondary antibody (Red line) was used as a blank control.)

STON1, Polyclonal Antibody (Cat# AAA19981)

Full Name
Anti-STON1 Antibody Picoband
Gene Names
STON1-GTF2A1L; SALF
Reactivity
Human
Applications
Flow Cytometry, Immunofluorescence, Immunohistochemistry, Western Blot
Purity
Immunogen affinity purified.
Pricing
product-image-AAA25140_WB6.jpg WB (Western Blot) (KHDRBS1 monoclonal antibody Western Blot analysis of KHDRBS1 expression in A-431)

KHDRBS1, Monoclonal Antibody (Cat# AAA25140)

Full Name
KHDRBS1 (KH Domain-containing, RNA-binding, Signal Transduction-associated Protein 1, FLJ34027, GAP-associated Tyrosine Phosphoprotein p62, p21 Ras GTPase-activating Protein-associated p62, p62, p68, Src-associated in Mitosis 68kD Protein, Sam68) (FITC)
Gene Names
KHDRBS1; p62; p68; Sam68
Reactivity
Human
Applications
Immunofluorescence, Immunohistochemistry, Western Blot
Purity
Purified by Protein A Affinity Chromatography.
Pricing
product-image-AAA25399_WB6.jpg WB (Western Blot) (FUSIP1 monoclonal antibody Western Blot analysis of FUSIP1 expression in Hela NE.)

FUSIP1, Monoclonal Antibody (Cat# AAA25399)

Full Name
FUSIP1 (SRSF10, FUSIP1, FUSIP2, SFRS13A, TASR, Serine/Arginine-rich Splicing Factor 10, 40kD SR-repressor Protein, FUS-interacting Serine-arginine-rich Protein 1, Splicing Factor SRp38, Splicing Factor, Arginine/Serine-rich 13A, TLS-associated Protein wit
Gene Names
SRSF10; NSSR; TASR; SRp38; TASR1; TASR2; FUSIP1; FUSIP2; SFRS13; SRrp40; SFRS13A; PPP1R149
Reactivity
Human
Applications
Immunohistochemistry, Western Blot
Purity
Purified by Protein A Affinity Chromatography.
Pricing
product-image-AAA25996_WB6.jpg WB (Western Blot) (RNF2 monoclonal antibody (M06), clone 4A9. Western Blot analysis of RNF2 expression in Raw 264.7.)

RNF2, Monoclonal Antibody (Cat# AAA25996)

Full Name
RNF2 (RING Finger Protein 2, BAP-1, BAP1, DING, HIPI3, Ring1B, Ring2) (AP)
Gene Names
RNF2; BAP1; DING; BAP-1; HIPI3; RING2; RING1B
Applications
Western Blot
Purity
Purified
Pricing
product-image-AAA25957_WB6.jpg WB (Western Blot) (FOXA1 monoclonal antibody (M03), clone 4F6 Western Blot analysis of FOXA1 expression in A-431.)

FOXA1, Monoclonal Antibody (Cat# AAA25957)

Full Name
FOXA1 (Forkhead Box A1, HNF3A, MGC33105, TCF3A) (AP)
Gene Names
FOXA1; HNF3A; TCF3A
Applications
Immunohistochemistry, Western Blot
Purity
Purified
Pricing
product-image-AAA29128_IHC7.jpg IHC (Immunohistochemistry) (Dilution: IF: 1:50-200 Western Blot: 1/500 - 1/2000. Immunohistochemistry: 1/100 - 1/300. ELISA: 1/40000. Not yet tested in other applications.)

Tak1, Polyclonal Antibody (Cat# AAA29128)

Full Name
Tak1 Polyclonal Antibody
Gene Names
MAP3K7; TAK1; MEKK7; TGF1a
Reactivity
Human, Mouse, Rat
Applications
Western Blot, Immunohistochemistry, Immunofluorescence
Pricing
product-image-AAA29021_WB7.jpg WB (Western Blot) (Dilution: IF: 1:50-200 Western Blot: 1/500 - 1/2000. Immunohistochemistry: 1/100 - 1/300. ELISA: 1/40000. Not yet tested in other applications.)

FAK, Polyclonal Antibody (Cat# AAA29021)

Full Name
FAK Polyclonal Antibody
Gene Names
PTK2; FAK; FADK; FAK1; FRNK; PPP1R71; p125FAK; pp125FAK
Reactivity
Human, Mouse, Rat
Applications
Western Blot, Immunohistochemistry, Immunofluorescence
Pricing
product-image-AAA30450_FCM8.jpg FCM (Flow Cytometry) (Flow cytometric analysis of Daudi cells with Proteasome 20S LMP7 antibody at 1/100 dilution (red) compared with an unlabelled control (cells without incubation with primary antibody; black). Alexa Fluor 488-conjugated goat anti-rabbit IgG was used as the secondary antibody.)

Proteasome 20S LMP7, Monoclonal Antibody (Cat# AAA30450)

Full Name
Proteasome 20S LMP7 Antibody
Gene Names
PSMB8; JMP; ALDD; LMP7; NKJO; D6S216; PSMB5i; RING10; D6S216E
Reactivity
Human, Mouse, Rat
Applications
Western Blot, Immunocytochemistry, Immunofluorescence, Immunohistochemistry, Flow Cytometry
Purity
ProA affinity purified
Pricing
product-image-AAA30468_FCM8.jpg FCM (Flow Cytometry) (Flow cytometric analysis of SH-SY-5Y cells with MBD3 antibody at 1/100 dilution (red) compared with an unlabelled control (cells without incubation with primary antibody; black). Alexa Fluor 488-conjugated goat anti-rabbit IgG was used as the secondary antibody.)

MBD3, Monoclonal Antibody (Cat# AAA30468)

Full Name
MBD3 Antibody
Reactivity
Human, Mouse, Rat
Applications
Western Blot, Immunocytochemistry, Immunofluorescence, Immunohistochemistry, Flow Cytometry, Immunoprecipitation
Purity
ProA affinity purified
Pricing
product-image-AAA30630_IHC6.jpg IHC (Immunohistchemistry) (Immunohistochemistry of paraffin-embedded mouse spinal cord using CTNNA2 antibody.)

CTNNA2, Polyclonal Antibody (Cat# AAA30630)

Full Name
CTNNA2 Rabbit Polyclonal Antibody
Gene Names
CTNNA2; CAPR; CTNR; CAP-R; CT114
Reactivity
Human, Mouse, Rat
Applications
Western Blot, Immunohistochemistry, Immunofluorescence
Purity
Affinity purification
Pricing
product-image-AAA30014_IHC9.png IHC (Immunohistchemistry) (Immunohistochemical analysis of paraffin-embedded mouse brain tissue using anti-Smad4 antibody. Counter stained with hematoxylin.)

SMAD4, Monoclonal Antibody (Cat# AAA30014)

Full Name
SMAD4 Antibody
Gene Names
SMAD4; JIP; DPC4; MADH4; MYHRS
Reactivity
Human, Mouse, Rat
Applications
Western Blot, Immunocytochemistry, Immunofluorescence, Immunohistochemistry, Flow Cytometry
Purity
ProA affinity purified
Pricing
product-image-AAA29250_IHC6.jpg IHC (Immunohistchemistry) (Dilution: Western Blot: 1/500 - 1/2000. IHC-p: 1/100-1/300. ELISA: 1/20000. Not yet tested in other applications.)

PD-ECGF, Polyclonal Antibody (Cat# AAA29250)

Full Name
PD-ECGF Polyclonal Antibody
Gene Names
TYMP; TP; ECGF; ECGF1; MNGIE; MEDPS1; MTDPS1; PDECGF; hPD-ECGF
Reactivity
Human
Applications
Western Blot, Immunohistochemistry
Pricing
product-image-AAA30122_ICC7.jpg ICC (Immunocytochemistry) (ICC staining Cytokeratin 14 in HepG2 cells (green). The nuclear counter stain is DAPI (blue). Cells were fixed in paraformaldehyde, permeabilised with 0.25% Triton X100/PBS.)

Cytokeratin 14, Monoclonal Antibody (Cat# AAA30122)

Full Name
Cytokeratin 14 Antibody
Gene Names
KRT14; K14; NFJ; CK14; EBS3; EBS4
Reactivity
Human, Mouse, Rat
Applications
Western Blot, Immunocytochemistry, Immunofluorescence, Immunohistochemistry
Purity
ProA affinity purified
Pricing
product-image-AAA22649_SC.jpg Standard Curve (Sample)

keyhole limpet hemocyanin, KLH IgG antibody (KLH IgG Ab), ELISA Kit (Cat# AAA22649)

Full Name
Mouse keyhole limpet hemocyanin, KLH IgG antibody (KLH IgG Ab) ELISA Kit
Reactivity
Mouse
Pricing
product-image-AAA11790_SDS_PAGE.jpg SDS-PAGE (3 ug by SDS-PAGE under reducing condition and visualized by coomassie blue stain.)

Thymidylate synthase, Recombinant Protein (Cat# AAA11790)

Full Name
Thymidylate synthase, 1-313aa, Human, His tag, E Coli
Gene Names
TYMS; TS; TMS; HST422
Applications
SDS-PAGE
Purity
> 95% by SDS-PAGE
Pricing
product-image-AAA13883_APP4.jpg Application Data (Anti-mApple Ab at 1/2,500 dilution using HEK293 transfected cell lysates at 50 ug per lane; rabbit polyclonal to goat IgG (HRP) at 1/10,000 dilution;)

mApple, Polyclonal Antibody (Cat# AAA13883)

Full Name
anti-mApple
Reactivity
Reacts with transfected cells proteins
Applications
Western Blot, Immunofluorescence, Immunohistochemistry, Immunohistochemistry, Immunoelectron Microscopy
Purity
This antibody is epitope-affinity purified from goat antiserum.
Pricing
product-image-AAA13504_SC.jpg Standard Curve (Sample)

CXCL1 / GROalpha, ELISA Kit (Cat# AAA13504)

Full Name
CXCL1 / GROalpha Mouse ELISA Kit
Reactivity
Mouse
Applications
ELISA
Pricing
product-image-AAA23590_WB6.jpg WB (Western Blot) (Sample Type: Human COLO205CALB1 antibody - C-terminal region validated by WB using COLO205 cells lysate at 1ug/ml.)

CALB1, Polyclonal Antibody (Cat# AAA23590)

Full Name
CALB1 antibody - C-terminal region
Gene Names
CALB1; CALB; D-28K
Reactivity
Cow, Dog, Guinea Pig, Horse, Human, Mouse, Rabbit, Rat
Applications
Immunohistochemistry, Western Blot
Purity
Affinity Purified
Pricing
product-image-AAA23600_WB.jpg WB (Western Blot) (Host: RabbitTarget Name: FAN1Sample Tissue: Human Lung Tumor lysatesAntibody Dilution: 1ug/ml)

FAN1, Polyclonal Antibody (Cat# AAA23600)

Full Name
FAN1 Antibody - N-terminal region
Gene Names
FAN1; KMIN; hFAN1; MTMR15; KIAA1018
Reactivity
Human
Applications
Western Blot
Purity
Affinity purified
Pricing
product-image-AAA24322_APP7.jpg Application Data (Detection limit for recombinant GST tagged PLXNA2 is 0.1ng/ml as a capture antibody.)

PLXNA2, Monoclonal Antibody (Cat# AAA24322)

Full Name
PLXNA2 (Plexin A2, KIAA0463, OCT, PLXN2, Plexin-A2, Semaphorin Receptor OCT, FLJ11751, FLJ30634) (AP)
Gene Names
PLXNA2; OCT; PLXN2
Reactivity
Human, Mouse, Rat
Applications
Western Blot
Purity
Purified by Protein A Affinity Chromatography.
Pricing
product-image-AAA25116_WB6.jpg WB (Western Blot) (LEPRE1 monoclonal antibody, Western Blot analysis of LEPRE1 expression in HeLa.)

GROS1, Monoclonal Antibody (Cat# AAA25116)

Full Name
GROS1 (Growth Suppressor 1, Leucine- and Proline-enriched Proteoglycan 1, LEPRE1, Leprecan-1, MGC117314, OI8, Prolyl 3-hydroxylase 1, P3H1, PSEC0109) (FITC)
Gene Names
P3H1; OI8; GROS1; LEPRE1
Reactivity
Human
Applications
Immunofluorescence, Immunohistochemistry, Western Blot
Purity
Purified by Protein A Affinity Chromatography.
Pricing
product-image-AAA25213_WB6.jpg WB (Western Blot) (Western blot analysis of POU4F3 over-expressed 293 cell line, cotransfected with POU4F3 Validated Chimera RNAi (Lane 2) or non-transfected control (Lane 1). Blot probed with POU4F3 monoclonal antibody. GAPDH (36.1kD) used as specificity and loading control.)

POU4F3, Monoclonal Antibody (Cat# AAA25213)

Full Name
POU4F3 (POU Domain, Class 4, Transcription Factor 3, Brain-specific Homeobox/POU Domain Protein 3C, Brain-3C, Brn-3C, BRN3C, MGC138412) (FITC)
Gene Names
POU4F3; BRN3C; DFNA15; DFNA42; DFNA52
Reactivity
Human
Applications
Immunofluorescence, Western Blot
Purity
Purified by Protein A Affinity Chromatography.
Pricing
product-image-AAA25642_WB7.jpg WB (Western Blot) (CDK6 monoclonal antibody, Western Blot analysis of CDK6 expression in Jurkat.)

CDK6, Monoclonal Antibody (Cat# AAA25642)

Full Name
CDK6 (Cell Division Protein Kinase 6, Serine/Threonine-protein Kinase PLSTIRE, Crk2, MGC59692) (PE)
Gene Names
CDK6; MCPH12; PLSTIRE
Reactivity
Human, Rat
Applications
Immunofluorescence, Immunohistochemistry, Western Blot
Purity
Purified by Protein A Affinity Chromatography.
Pricing
product-image-AAA25912_WB6.jpg WB (Western Blot) (MTA1 monoclonal antibody (M02), clone 4D11. Western Blot analysis of MTA1 expression in PC-12 (Cat # L012V1).)

MTA1, Monoclonal Antibody (Cat# AAA25912)

Full Name
MTA1 (Metastasis Associated 1) (AP)
Applications
Western Blot
Purity
Purified
Pricing
product-image-AAA28104_IHC9.jpg IHC (Immunohistchemistry) (Immunohistochemistry of paraffin-embedded rat lung using HNRNPD Antibody at dilution of 1:100 (40x lens).)

HNRNPD, Polyclonal Antibody (Cat# AAA28104)

Full Name
HNRNPD Polyclonal Antibody
Gene Names
HNRNPD; P37; AUF1; AUF1A; HNRPD; hnRNPD0
Reactivity
Human, Mouse, Rat
Applications
Western Blot, Immunohistochemistry, Immunofluorescence
Purity
Affinity Purification
Pricing
product-image-AAA27203_SC.jpg Standard Curve (Sample)

plasma kallikrein (KLKB1), ELISA Kit (Cat# AAA27203)

Full Name
Human plasma kallikrein (KLKB1) ELISA Kit
Gene Names
Klkb1; APS; PSA; Kal3; Klk3; Kal-3
Reactivity
Human
Pricing
product-image-AAA21616_SC.jpg Standard Curve (Sample)

Fcgamma, ELISA Kit (Cat# AAA21616)

Full Name
Human Fcgamma (Fc Fragment of IgG) ELISA Kit
Gene Names
Fcgr4; Fcrl3; CD16-2; FcgRIV; Fcgr3a; FcgammaRIV; 4833442P21Rik
Reactivity
Human
Pricing
product-image-AAA12706_SC.jpg Standard Curve (Sample)

Matrix Metalloproteinase 13 (MMP-13), ELISA Kit (Cat# AAA12706)

Full Name
Mouse Matrix Metalloproteinase 13 (MMP-13) ELISA kit
Reactivity
Mouse
Pricing
product-image-AAA11216_SC.jpg Standard Curve (Sample)

matrix metalloproteinase 13, MMP-13, ELISA Kit (Cat# AAA11216)

Full Name
Rat matrix metalloproteinase 13, MMP-13 ELISA Kit
Gene Names
mmp13l.S; xCol; xcl3; mmp13; MMP-13; gene A; mmp13l
Reactivity
Rat
Pricing
product-image-AAA14054_SC.jpg Standard Curve (Sample)

N-myc Downstream Regulated Gene 2 (NDRG2), ELISA Kit (Cat# AAA14054)

Full Name
Human N-myc Downstream Regulated Gene 2 (NDRG2) ELISA Kit
Gene Names
NDRG2; SYLD
Reactivity
Human
Pricing
product-image-AAA15610_SC.png Standard Curve (Sample)

angiopoietin 1, ELISA Kit (Cat# AAA15610)

Full Name
Mouse Angiopoietin 1, ANG-1 ELISA Kit
Gene Names
Angpt1; Ang1; Ang-1; 1110046O21Rik
Reactivity
Mouse
Pricing
product-image-AAA10679_IHC9.jpg IHC (Immunohistchemistry) (Immunohistochemistry of paraffin-embedded mouse testis using GEMIN2 Antibody at dilution of 1:100 (40x lens).)

GEMIN2, Polyclonal Antibody (Cat# AAA10679)

Full Name
GEMIN2 Polyclonal Antibody
Gene Names
GEMIN2; SIP1; SIP1-delta
Reactivity
Human, Mouse, Rat
Applications
Western Blot, Immunohistochemistry, Immunofluorescence
Purity
Affinity Purification
Pricing
product-image-AAA20902_IHC6.jpg IHC (Immunohistchemistry) (DAB staining on IHC-P; Sample: Rat Kidney Tissue; Primary Ab: 20ug/ml Rabbit Anti-Rat C2 AntibodySecond Ab: 2?g/mL HRP-Linked Caprine Anti-Rabbit IgG Polyclonal Antibody)

Complement Component 2, Polyclonal Antibody (Cat# AAA20902)

Full Name
Polyclonal Antibody to Complement Component 2 (C2)
Reactivity
Mouse, Rat
Applications
WB, IHC, ICC, IP
Purity
Antigen-specific affinity chromatography followed by Protein A affinity chromatography
Pricing
product-image-AAA11658_FCM6.jpg FCM (Flow Cytometry) (Figure 6. Flow Cytometry analysis of PC-3 cells using anti-ATG14L antibody (AAA11658).Overlay histogram showing PC-3 cells stained with AAA11658 (Blue line).The cells were blocked with 10% normal goat serum. And then incubated with rabbit anti-ATG14L Antibody (AAA11658,1ug/1x10^6 cells) for 30 min at 20 degree C. DyLight®488 conjugated goat anti-rabbit IgG (5-10ug/1x10^6 cells) was used as secondary antibody for 30 minutes at 20 degree C. Isotype control antibody (Green line) was rabbit IgG (1ug/1x106) used under the same conditions. Unlabelled sample (Red line) was also used as a control.)

ATG14L, Polyclonal Antibody (Cat# AAA11658)

Full Name
Anti-ATG14L Antibody
Gene Names
ATG14; ATG14L; BARKOR; KIAA0831
Reactivity
Human, Rat
Applications
Western Blot, Immunohistochemistry
Purity
Immunogen Affinity Purified
Pricing
product-image-AAA24600_APP6.jpg Application Data (Detection limit for recombinant GST tagged PCMT1 is ~0.1ng/ml as a capture antibody.)

PCMT1, Monoclonal Antibody (Cat# AAA24600)

Full Name
PCMT1 (Protein-L-isoaspartate(D-aspartate) O-methyltransferase, PIMT, Protein-beta-Aspartate Methyltransferase, Protein L-isoaspartyl/D-aspartyl Methyltransferase, L-isoaspartyl Protein Carboxyl Methyltransferase) APC
Gene Names
PCMT1; PIMT
Reactivity
Human, Mouse, Rat
Applications
Western Blot
Purity
Purified by Protein A Affinity Chromatography.
Pricing
product-image-AAA24391_WB6.jpg WB (Western Blot) (TRAPPC4 monoclonal antibody. Western Blot analysis of TRAPPC4 expression in NIH/3T3.)

TRAPPC4, Monoclonal Antibody (Cat# AAA24391)

Full Name
TRAPPC4 (Trafficking Protein Particle Complex Subunit 4, Synbindin, TRS23 Homolog, Hematopoietic Stem/Progenitor Cell Protein 172, SBDN, CGI-104, HSPC172, PTD009) (AP)
Gene Names
TRAPPC4; SBDN; TRS23; PTD009; CGI-104; HSPC172; SYNBINDIN
Reactivity
Human, Mouse
Applications
Western Blot
Purity
Purified by Protein A Affinity Chromatography.
Pricing
product-image-AAA24403_WB7.jpg WB (Western Blot) (Western Blot analysis of USF2 expression in transfected 293T cell line by USF2 monoclonal antibody,. Lane 1: USF2 transfected lysate (37kD). Lane 2: Non-transfected lysate.)

USF2, Monoclonal Antibody (Cat# AAA24403)

Full Name
USF2 (Upstream Stimulatory Factor 2, Class B Basic Helix-loop-helix Protein 12, bHLHb12, FOS-interacting Protein, FIP, Major Late Transcription Factor 2, Upstream Transcription Factor 2) (AP)
Gene Names
USF2; FIP; bHLHb12
Reactivity
Human, Rat
Applications
Immunohistochemistry, Western Blot
Purity
Purified by Protein A Affinity Chromatography.
Pricing
product-image-AAA24948_WB6.jpg WB (Western Blot) (SF3B2 monoclonal antibody. Western Blot analysis of SF3B2 expression in PC-12.)

SF3B2, Monoclonal Antibody (Cat# AAA24948)

Full Name
SF3B2 (Splicing Factor 3B Subunit 2, Pre-mRNA-splicing Factor SF3b 145kD Subunit, SF3b145, SF3b150, Spliceosome-associated Protein 145, SAP 145, SAP145) (Biotin)
Gene Names
SF3B2; Cus1; SF3b1; SAP145; SF3B145; SF3b150
Reactivity
Human, Mouse, Rat
Applications
Immunofluorescence, Immunohistochemistry, Western Blot
Purity
Purified by Protein A Affinity Chromatography.
Pricing
product-image-AAA24852_WB6.jpg WB (Western Blot) (LZTFL1 monoclonal antibody, Western Blot analysis of LZTFL1 expression in HeLa.)

LZTFL1, Monoclonal Antibody (Cat# AAA24852)

Full Name
LZTFL1 (Leucine Zipper Transcription Factor-Like Protein 1, FLJ36386, 5530402H04Rik, 6130400H19Rik, MGC106871, MGC108960) (Biotin)
Gene Names
LZTFL1; BBS17
Reactivity
Human
Applications
Immunofluorescence, Immunohistochemistry, Western Blot
Purity
Purified by Protein A Affinity Chromatography.
Pricing
product-image-AAA24861_APP7.jpg Application Data (Detection limit for recombinant GST tagged MECP2 is ~1ng/ml as a capture antibody.)

MECP2, Monoclonal Antibody (Cat# AAA24861)

Full Name
MECP2 (Methyl-CpG-binding Protein 2, MeCp-2 Protein, MeCp2, DKFZp686A24160) (Biotin)
Gene Names
MECP2; RS; RTS; RTT; PPMX; MRX16; MRX79; MRXSL; AUTSX3; MRXS13
Reactivity
Human, Mouse, Rat
Applications
Immunohistochemistry, Western Blot
Purity
Purified by Protein A Affinity Chromatography.
Pricing
product-image-AAA24906_APP7.jpg Application Data (Proximity Ligation Analysis of protein-protein interactions between PDGFRB and PLCG1. Mahlavu cells were stained with anti-PDGFRB rabbit purified polyclonal 1:600 and anti-PLCG1 mouse monoclonal antibody 1:100. Each red dot represents the detection of protein-protein interaction complex, and nuclei were counterstained with DAPI (blue).)

Phospholipase C, gamma 1, Monoclonal Antibody (Cat# AAA24906)

Full Name
Phospholipase C, gamma 1 (Phospholipase C-gamma-1, PLCgamma1, PLC-gamma-1, PLCg1, NCKAP3, 1-Phosphatidylinositol-4,5-bisphosphate Phosphodiesterase gamma-1, Phospholipase C-II, PLC-II, Phosphoinositide Phospholipase C-gamma-1, PLC1, PLC148, PLC-148) (Biot
Gene Names
PLCG1; PLC1; NCKAP3; PLC-II; PLC148; PLCgamma1
Reactivity
Human
Applications
Immunofluorescence, Western Blot
Purity
Purified by Protein A Affinity Chromatography.
Pricing
product-image-AAA24912_APP7.jpg Application Data (Detection limit for recombinant GST tagged PLK1 is ~1ng/ml as a capture antibody.)

PLK1, Monoclonal Antibody (Cat# AAA24912)

Full Name
PLK1 (STPK13, Polo-like Kinase 1, Serine/Threonine-protein Kinase 13, Serine/Threonine-protein Kinase PLK1, PLK, PLK-1) (Biotin)
Gene Names
PLK1; PLK; STPK13
Reactivity
Human
Applications
Immunofluorescence, Immunoprecipitation, Western Blot
Purity
Purified by Protein A Affinity Chromatography.
Pricing
product-image-AAA25403_WB6.jpg WB (Western Blot) (Western blot analysis of GATA2 over-expressed 293 cell line, cotransfected with GATA2 Validated Chimera RNAi (Lane 2) or non-transfected control (Lane 1). Blot probed with GATA2 monoclonal antibody. GAPDH (36.1kD) used as specificity and loading control.)

GATA2, Monoclonal Antibody (Cat# AAA25403)

Full Name
GATA2 (Endothelial Transcription Factor GATA-2, GATA-binding Protein 2, MGC2306) (HRP)
Gene Names
GATA2; DCML; IMD21; NFE1B; MONOMAC
Reactivity
Human
Applications
Western Blot
Purity
Purified by Protein A Affinity Chromatography.
Pricing
product-image-AAA25697_IP6.jpg IP (Immunoprecipitation) (Immunoprecipitation of GART transfected lysate using GART monoclonal antibody and Protein A Magnetic Bead and immunoblotted with GART rabbit polyclonal antibody.)

GART, Monoclonal Antibody (Cat# AAA25697)

Full Name
GART (Trifunctional Purine Biosynthetic Protein Adenosine-3, PGFT, PRGS, MGC47764) (PE)
Gene Names
GART; AIRS; GARS; PAIS; PGFT; PRGS; GARTF
Reactivity
Human
Applications
Immunofluorescence, Immunohistochemistry, Immunoprecipitation, Western Blot
Purity
Purified by Protein A Affinity Chromatography.
Pricing

Submit a Question

Please complete the form below and a representative will contact you as soon as possible.

Request more Information

Please complete the form below and a representative will contact you as soon as possible.

Request a Manual

Please complete the form below and a representative will contact you as soon as possible.

Request a Quote

Please complete the form below and a representative will contact you as soon as possible.