Loading...

Skip to main content
Call us at +1-800-604-9114 for more information about our products or contact us online Need help? +1-800-604-9114 or contact us

Filters


Clonality

Type

Reactivity

Gene Name

Isotype

Host

Application

Clone

Viewing 4400-4450 of 265194 product results


product-image-AAA26494_IHC6.jpg IHC (Immunohistchemistry) (Immunoperoxidase of monoclonal antibody to USF2 on formalin-fixed paraffin-embedded human esophagus. [antibody concentration 1 ug/ml])

USF2, Monoclonal Antibody (Cat# AAA26494)

No reviews yet
Full Name
USF2 (Upstream Transcription Factor 2, c-fos Interacting, FIP, bHLHb12) (HRP)
Gene Names
USF2; FIP; bHLHb12
Applications
Immunofluorescence, Immunohistochemistry, Western Blot
Purity
Purified
Pricing
product-image-AAA26696_WB6.jpg WB (Western Blot) (Western Blot analysis of DHFR expression in HeLa.)

DHFR, Monoclonal Antibody (Cat# AAA26696)

No reviews yet
Full Name
DHFR (Dihydrofolate reductase) (MaxLight 650)
Gene Names
DHFR; DYR; DHFRP1
Reactivity
Human, Rat
Applications
Immunofluorescence, Western Blot
Purity
Purified by Protein A Affinity Chromatography.
Pricing
product-image-AAA29188_IHC6.jpg IHC (Immunohistchemistry) (Dilution: Western Blot: 1/500 - 1/2000. IHC-p: 1:100-300 ELISA: 1/20000. Not yet tested in other applications.)

SPTLC1, Polyclonal Antibody (Cat# AAA29188)

No reviews yet
Full Name
SPTLC1 Polyclonal Antibody
Gene Names
SPTLC1; HSN1; LBC1; LCB1; SPT1; SPTI; HSAN1
Reactivity
Human, Mouse, Rat
Applications
Western Blot, Immunohistochemistry
Pricing
product-image-AAA29277_IHC7.jpg IHC (Immunohistochemistry) (Dilution: IF: 1:50-200 Western Blot: 1/500 - 1/2000. IHC-p: 1/100-1/300. ELISA: 1/20000. Not yet tested in other applications.)

HMG-1, Polyclonal Antibody (Cat# AAA29277)

No reviews yet
Full Name
HMG-1 Polyclonal Antibody
Gene Names
HMGB1; HMG1; HMG3; SBP-1
Reactivity
Human, Mouse, Rat
Applications
Western Blot, Immunohistochemistry, Immunofluorescence
Pricing
product-image-AAA29882_FCM7.jpg FCM (Flow Cytometry) (Flow cytometric analysis of Hela cells with GM130 antibody at 1/100 dilution (red) compared with an unlabelled control (cells without incubation with primary antibody; black).)

GM130, Polyclonal Antibody (Cat# AAA29882)

No reviews yet
Full Name
GM130 (cis-Golgi Marker) Antibody
Gene Names
GOLGA2; GM130
Reactivity
Human, Mouse, Rat
Applications
Western Blot, Immunocytochemistry, Immunohistochemistry, Flow Cytometry
Purity
ProA affinity purified
Pricing
product-image-AAA11017_ELISA7.jpg ELISA (A sandwich ELISA was performed using the anti-LAG3 mAbs as the capture antibodies for the LAG3 extracellular domain antigen with biotin-labeled Risk-Free anti-LAG3 mAbs as the detection antibodies.)

LAG3, Monoclonal Antibody (Cat# AAA11017)

No reviews yet
Full Name
LAG3 Antibody [9F9]
Gene Names
LAG3; CD223
Reactivity
Human
Applications
Immunohistochemistry, Immunocytochemistry, Immunofluorescence, Flow Cytometry
Purity
Protein A purified
Pricing
product-image-AAA10778_IHC6.jpg IHC (Immunohistchemistry) (Immunohistochemistry of paraffin-embedded mouse lung using KIF1B Antibody at dilution of 1:100 (40x lens).)

KIF1B, Polyclonal Antibody (Cat# AAA10778)

No reviews yet
Full Name
KIF1B Polyclonal Antibody
Gene Names
KIF1B; KLP; CMT2; CMT2A; CMT2A1; HMSNII; NBLST1
Reactivity
Human, Mouse, Rat
Applications
Western Blot, Immunohistochemistry
Purity
Affinity Purification
Pricing
product-image-AAA25188_APP6.jpg Application Data (Detection limit for recombinant GST tagged PAFAH1B3 is ~0.1ng/ml as a capture antibody.)

PAFAH1B3, Monoclonal Antibody (Cat# AAA25188)

No reviews yet
Full Name
PAFAH1B3 (Platelet-activating Factor Acetylhydrolase IB subunit gamma, PAF Acetylhydrolase 29kD Subunit, PAF-AH 29kD Subunit, PAF-AH Subunit gamma, PAFAH Subunit gamma, PAFAHG) (FITC)
Gene Names
PAFAH1B3; PAFAHG
Reactivity
Human, Rat
Applications
Immunofluorescence, Western Blot
Purity
Purified by Protein A Affinity Chromatography.
Pricing
product-image-AAA25459_APP6.jpg Application Data (Proximity Ligation Analysis of protein-protein interactions between MSH2 and MLH1 HeLa cells were stained with anti-MSH2 rabbit purified polyclonal 1:1200 and anti-MLH1 mouse monoclonal antibody 1:50. Each red dot represents the detection of protein-protein interaction complex, and nuclei were counterstained with DAPI (blue).)

MLH1, Monoclonal Antibody (Cat# AAA25459)

No reviews yet
Full Name
MLH1 (MutL Homolog 1, MutL Protein Homolog 1, COCA2, DNA Mismatch Repair Protein Mlh1, FCC2, hMLH1, HNPCC, HNPCC2, MGC5172, MutL Homolog 1 Colon Cancer Nonpolyposis Type 2) (HRP)
Gene Names
MLH1; FCC2; COCA2; HNPCC; hMLH1; HNPCC2
Reactivity
Human
Applications
Immunohistochemistry, Western Blot
Purity
Purified by Protein A Affinity Chromatography.
Pricing
product-image-AAA25376_WB6.jpg WB (Western Blot) (Western blot analysis of DUSP6 over-expressed 293 cell line, cotransfected with DUSP6 Validated Chimera RNAi (Lane 2) or non-transfected control (Lane 1). Blot probed with DUSP6 monoclonal antibody. GAPDH (36.1kD) used as specificity and loading control.)

DUSP6, Monoclonal Antibody (Cat# AAA25376)

No reviews yet
Full Name
DUSP6 (Dual Specificity Protein Phosphatase 6, Dual Specificity Protein Phosphatase PYST1, Mitogen-activated Protein Kinase Phosphatase 3, MAP Kinase Phosphatase 3, MKP3, MKP-3, PYST1) (HRP)
Gene Names
DUSP6; HH19; MKP3; PYST1
Reactivity
Human
Applications
Immunohistochemistry, Western Blot
Purity
Purified by Protein A Affinity Chromatography.
Pricing
product-image-AAA30294_ICC6.jpg ICC (Immunocytochemistry) (ICC staining FOXA1 in MCF-7 cells (red). The nuclear counter stain is DAPI (blue). Cells were fixed in paraformaldehyde, permeabilised with 0.25% Triton X100/PBS.)

FOXA1, Monoclonal Antibody (Cat# AAA30294)

No reviews yet
Full Name
FOXA1 Antibody
Gene Names
FOXA1; HNF3A; TCF3A
Reactivity
Human, Mouse, Rat
Applications
Western Blot, Immunocytochemistry, Immunofluorescence, Immunohistochemistry
Purity
ProA affinity purified
Pricing
product-image-AAA30364_FCM7.jpg FCM (Flow Cytometry) (Flow cytometric analysis of MCF-7 cells with IDH2 antibody at 1/100 dilution (red) compared with an unlabelled control (cells without incubation with primary antibody; black).)

IDH2, Monoclonal Antibody (Cat# AAA30364)

No reviews yet
Full Name
IDH2 Antibody
Gene Names
IDH2; IDH; IDP; IDHM; IDPM; ICD-M; D2HGA2; mNADP-IDH
Reactivity
Human, Mouse, Rat
Applications
Western Blot, Immunohistochemistry, Flow Cytometry
Purity
ProA affinity purified
Pricing
product-image-AAA30218_ICC7.jpg ICC (Immunocytochemistry) (ICC staining HSPA14 in 293T cells (green). The nuclear counter stain is DAPI (blue). Cells were fixed in paraformaldehyde, permeabilised with 0.25% Triton X100/PBS.)

HSPA14, Monoclonal Antibody (Cat# AAA30218)

No reviews yet
Full Name
HSPA14 Antibody
Gene Names
HSPA14; HSP70-4; HSP70L1
Reactivity
Human, Mouse, Rat
Applications
Western Blot, Immunocytochemistry, Immunofluorescence, Immunohistochemistry, Immunoprecipitation
Purity
ProA affinity purified
Pricing
product-image-AAA30389_FCM8.jpg FCM (Flow Cytometry) (Flow cytometric analysis of Jurkat cells with Rad51 antibody at 1/100 dilution (red) compared with an unlabelled control (cells without incubation with primary antibody; black).)

RAD51, Monoclonal Antibody (Cat# AAA30389)

No reviews yet
Full Name
RAD51 Antibody
Gene Names
RAD51; RECA; BRCC5; MRMV2; HRAD51; RAD51A; HsRad51; HsT16930
Reactivity
Human, Mouse, Rat
Applications
Western Blot, Immunocytochemistry, Immunofluorescence, Immunohistochemistry, Immunoprecipitation, Flow Cytometry
Purity
ProA affinity purified
Pricing
product-image-AAA30652_IF6.jpg IF (Immunofluorescence) (Immunofluorescence analysis of Raw264.7 cells using CD44 at dilution of 1:100. Blue: DAPI for nuclear staining.)

CD44, Polyclonal Antibody (Cat# AAA30652)

No reviews yet
Full Name
CD44 Rabbit Polyclonal Antibody
Gene Names
CD44; IN; LHR; MC56; MDU2; MDU3; MIC4; Pgp1; CDW44; CSPG8; HCELL; HUTCH-I; ECMR-III
Reactivity
Human, Mouse, Rat
Applications
Western Blot, Immunohistochemistry, Immunofluorescence
Purity
Affinity purification
Pricing
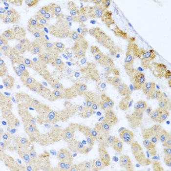
product-image-AAA30554_IHC6.jpg IHC (Immunohistchemistry) (Immunohistochemistry of paraffin-embedded mouse liver using SPTA1 antibody at dilution of 1:100 .)

SPTA1, Polyclonal Antibody (Cat# AAA30554)

No reviews yet
Full Name
SPTA1 Rabbit Polyclonal Antibody
Gene Names
SPTA1; EL2; HPP; HS3; SPH3; SPTA
Reactivity
Human, Mouse, Rat
Applications
Western Blot, Immunohistochemistry, Immunofluorescence
Purity
Affinity purification
Pricing
product-image-AAA17433_SC.jpg Standard Curve (Sample)

Proto-oncogene tyrosine-protein kinase receptor Ret, ELISA Kit (Cat# AAA17433)

No reviews yet
Full Name
Human Proto-oncogene tyrosine-protein kinase receptor Ret ELISA Kit
Gene Names
RET; PTC; MTC1; HSCR1; MEN2A; MEN2B; RET51; CDHF12; CDHR16; RET-ELE1
Reactivity
Human
Pricing
product-image-AAA17209_SC.jpg Standard Curve (Sample)

b Endorphin, ELISA Kit (Cat# AAA17209)

No reviews yet
Full Name
Rat b Endorphin ELISA Kit
Reactivity
Rat
Pricing
product-image-AAA11084_SC.jpg Standard Curve (Sample)

Macrophage Inflammatory Protein 1alpha, MIP-1alpha, ELISA Kit (Cat# AAA11084)

No reviews yet
Full Name
Mouse Macrophage Inflammatory Protein 1alpha, MIP-1alpha ELISA Kit
Gene Names
Ccl3; Scya3; MIP-1a
Reactivity
Mouse
Pricing
product-image-AAA15691_SC.png Standard Curve (Sample)

malonyl coenzyme A, ELISA Kit (Cat# AAA15691)

No reviews yet
Full Name
Human malonyl coenzyme A ELISA Kit
Gene Names
MLYCD; MCD
Reactivity
Human
Pricing
product-image-AAA15955_SC.jpg Standard Curve (Sample)

Thrombin-antithrombin complex, ELISA Kit (Cat# AAA15955)

No reviews yet
Full Name
Rabbit Thrombin-antithrombin complex ELISA Kit
Reactivity
Rabbit
Pricing
product-image-AAA11389_SC.jpg Standard Curve (Sample)

DEL-1 (Developmental endothelial locus 1), ELISA Kit (Cat# AAA11389)

No reviews yet
Full Name
Human DEL-1 (Developmental endothelial locus 1) ELISA Kit
Reactivity
Human
Pricing
product-image-AAA13956_SC.jpg Standard Curve (Sample)

Apolipoprotein A1 (APOA1), ELISA Kit (Cat# AAA13956)

No reviews yet
Full Name
Mouse Apolipoprotein A1 (APOA1) ELISA Kit
Gene Names
Apoa1; Sep2; Alp-1; Ltw-1; Sep-1; Sep-2; Apoa-1; Brp-14; Lvtw-1; apo-AI; apoA-I
Reactivity
Mouse
Pricing
product-image-AAA18087_SC.png Standard Curve (Sample)

chemokine (C-C motif) ligand 17, ELISA Kit (Cat# AAA18087)

No reviews yet
Full Name
Monkey C-C motif chemokine 17, CCL17 ELISA Kit
Reactivity
Monkey
Pricing
product-image-AAA18680_SDS_PAGE.png SDS-PAGE

Nicotinamidase (PNC1), Recombinant Protein (Cat# AAA18680)

No reviews yet
Full Name
Recombinant Saccharomyces cerevisiae Nicotinamidase (PNC1)
Purity
Greater or equal to 85% purity as determined by SDS-PAGE.
Pricing
product-image-AAA10997_FCM7.gif FCM (Flow Cytometry) (Flow cytometry analysis of CD80 overexpressing HEK293 cells using CD80 antibody and control mouse IgG antibody at 10 μg/ml. Blue: Untransfected HEK293 cells. Yellow: CD80 overexpressing HEK293 cells.)

CD80, Monoclonal Antibody (Cat# AAA10997)

No reviews yet
Full Name
CD80 Antibody [10A1]
Gene Names
CD80; B7; BB1; B7-1; B7.1; LAB7; CD28LG; CD28LG1
Reactivity
Human
Applications
Immunohistochemistry, Immunocytochemistry, Immunofluorescence, Flow Cytometry
Purity
Protein A purified
Pricing
product-image-AAA11013_ELISA7.gif ELISA (Titration curve analysis of VISTA antibody to detect recombinant VISTA in ELISA at decreasing concentrations.)

VISTA, Monoclonal Antibody (Cat# AAA11013)

No reviews yet
Full Name
VISTA Antibody [6D2]
Gene Names
VSIR; B7H5; GI24; B7-H5; PD-1H; SISP1; VISTA; PP2135; C10orf54; DD1alpha
Reactivity
Human
Applications
Immunohistochemistry, Immunocytochemistry, Immunofluorescence, Flow Cytometry
Purity
Protein A purified
Pricing
product-image-AAA12233_APP10.gif Application Data (Staining of mouse spleen with Rat anti Mouse CD4:RPE)

CD4, Monoclonal Antibody (Cat# AAA12233)

No reviews yet
Full Name
RAT ANTI MOUSE CD4
Gene Names
Cd4; L3T4; Ly-4
Applications
Immunohistochemistry, Flow Cytometry, Immunofluorescence, Immunoprecipitation, Western Blot
Pricing
product-image-AAA13510_SC.jpg Standard Curve (Sample)

CXCL10 / IP-10, ELISA Kit (Cat# AAA13510)

No reviews yet
Full Name
CXCL10 / IP-10 Mouse ELISA Kit
Reactivity
Mouse
Applications
ELISA
Pricing
product-image-AAA21305_IHC6.jpg IHC (Immunohistchemistry) (MAOA/Monoamine Oxidase Antibody-Immunohistochemistry of paraffin-embedded rat kidney using MAOA antibody at dilution of 1:100 (400x lens).)

MAOA/Monoamine Oxidase, Polyclonal Antibody (Cat# AAA21305)

No reviews yet
Full Name
MAOA/Monoamine Oxidase Rabbit anti-Human Polyclonal Antibody
Gene Names
MAOA; MAO-A
Reactivity
Mouse, Rat, Human
Applications
Immunohistochemistry, Immunohistochemistry, Western Blot
Purity
Affinity purified
Pricing
product-image-AAA22282_IHC7.jpg IHC (Immunohistochemistry) (Immunohistochemistry of paraffin-embedded rat intestine using [KO Validated] STAT5B Polyclonal Antibody at dilution of 1:100 (40x lens).Perform high pressure antigen retrieval with 10 mM citrate buffer pH 6.0 before commencing with IHC staining protocol.)

STAT5B, Polyclonal Antibody (Cat# AAA22282)

No reviews yet
Full Name
(KO Validated) STAT5B Polyclonal Antibody
Gene Names
STAT5B; STAT5
Reactivity
Human, Mouse, Rat
Applications
Western Blot, Immunohistochemistry, Immunofluorescence
Purity
Affinity purification
Pricing
product-image-AAA24097_APP6.jpg Application Data (Detection limit for recombinant GST tagged WWP1 is 0.03ng/ml as a capture antibody.)

WWP1, Monoclonal Antibody (Cat# AAA24097)

No reviews yet
Full Name
WWP1 (WW Domain-containing Protein 1, Atrophin-1-interacting Protein 5, AIP5, NEDD4-like E3 Ubiquitin-protein Ligase WWP1, TGIF-interacting Ubiquitin Ligase 1, Tiul1, hSDRP1)
Gene Names
WWP1; AIP5; Tiul1; hSDRP1
Reactivity
Human
Applications
Western Blot, Immunoprecipitation, Immunohistochemistry, Immunofluorescence
Purity
Affinity Purified
Purified by Protein A affinity chromatography.
Pricing
product-image-AAA24875_APP7.jpg Application Data (Detection limit for recombinant GST tagged NDUFA9 is ~0.1ng/ml as a capture antibody.)

NDUFA9, Monoclonal Antibody (Cat# AAA24875)

No reviews yet
Full Name
NDUFA9 (NADH Dehydrogenase [Ubiquinone] 1 alpha Subcomplex Subunit 9, Mitochondrial, NADH-Ubiquinone Oxidoreductase 39kD Subunit, Complex I-39kD, CI-39kD, NDUFS2L, MGC111043) (Biotin)
Gene Names
NDUFA9; CC6; CI39k; CI-39k; MC1DN26; NDUFS2L; SDR22E1
Reactivity
Human, Mouse, Rat
Applications
Immunofluorescence, Immunohistochemistry, Western Blot
Purity
Purified by Protein A Affinity Chromatography.
Pricing
product-image-AAA24622_APP6.jpg Application Data (Proximity Ligation Analysis of protein-protein interactions between ARRB2 and PPM1B HeLa cells were stained with anti-ARRB2 rabbit purified polyclonal 1:1200 and anti-PPM1B mouse monoclonal antibody 1:50. Each red dot represents the detection of protein-protein interaction complex, and nuclei were counterstained with DAPI (blue).)

PPM1B, Monoclonal Antibody (Cat# AAA24622)

No reviews yet
Full Name
PPM1B (Protein Phosphatase 1B, PP2C-beta, Protein Phosphatase 2C Isoform beta, PP2CB, MGC21657) APC
Gene Names
PPM1B; PP2CB; PP2CBETA; PP2C-beta; PPC2BETAX; PP2C-beta-X
Reactivity
Human
Applications
Immunofluorescence, Immunoprecipitation, Western Blot
Purity
Purified by Protein A Affinity Chromatography.
Pricing
product-image-AAA24628_WB6.jpg WB (Western Blot) (RAB33B monoclonal antibody. Western Blot analysis of RAB33B expression in NIH/3T3.)

RAB33B, Monoclonal Antibody (Cat# AAA24628)

No reviews yet
Full Name
RAB33B (Ras-related Protein Rab-33B, SMC2) APC
Gene Names
RAB33B; SMC2
Reactivity
Human, Mouse, Rat
Applications
Western Blot
Purity
Purified by Protein A Affinity Chromatography.
Pricing
product-image-AAA25451_APP6.jpg Application Data (Proximity Ligation Analysis of protein-protein interactions between TP53 and MDM2 HeLa cells were stained with anti-TP53 rabbit purified polyclonal 1:1200 and anti-MDM2 mouse monoclonal antibody 1:50. Each red dot represents the detection of protein-protein interaction complex, and nuclei were counterstained with DAPI (blue).)

MDM2, Monoclonal Antibody (Cat# AAA25451)

No reviews yet
Full Name
MDM2 (E3 Ubiquitin-protein Ligase Mdm2, Double Minute 2 Protein, Hdm2, Oncoprotein Mdm2, p53-binding Protein Mdm2) (HRP)
Gene Names
MDM2; HDMX; hdm2; ACTFS
Reactivity
Human
Applications
Immunohistochemistry, Western Blot
Purity
Purified by Protein A Affinity Chromatography.
Pricing
product-image-AAA25481_WB6.jpg WB (Western Blot) (P15RS monoclonal antibody. Western Blot analysis of P15RS expression in NIH/3T3.)

P15RS, Monoclonal Antibody (Cat# AAA25481)

No reviews yet
Full Name
P15RS (RPRD1A, Regulation of Nuclear Pre-mRNA Domain-containing Protein 1A, Cyclin-dependent Kinase Inhibitor 2B-related Protein, p15INK4B-related Protein, FLJ10656, HsT3101, MGC19513) (HRP)
Gene Names
RPRD1A; P15RS; HsT3101
Reactivity
Human, Mouse, Rat
Applications
Immunohistochemistry, Western Blot
Purity
Purified by Protein A Affinity Chromatography.
Pricing
product-image-AAA26247_IHC6.jpg IHC (Immunohistchemistry) (Immunoperoxidase of monoclonal antibody to FOXA2 on formalin-fixed paraffin-embedded human pancreas. [antibody concentration 0.5 ug/ml])

FOXA2, Monoclonal Antibody (Cat# AAA26247)

No reviews yet
Full Name
FOXA2 (Forkhead Box A2, HNF3B, MGC19807, TCF3B) (Biotin)
Gene Names
FOXA2; HNF3B; TCF3B
Applications
Immunofluorescence, Immunohistochemistry, Western Blot
Purity
Purified
Pricing
product-image-AAA26257_IF6.jpg IF (Immunofluorescence) (Immunofluorescence of monoclonal antibody to ACBD3 on HeLa cell. [antibody concentration 10 ug/ml])

ACBD3, Monoclonal Antibody (Cat# AAA26257)

No reviews yet
Full Name
ACBD3 (Acyl-Coenzyme A Binding Domain Containing 3, GCP60, GOCAP1, GOLPH1, PAP7) (Biotin)
Gene Names
ACBD3; PAP7; GCP60; GOCAP1; GOLPH1
Applications
Immunofluorescence, Western Blot
Purity
Purified
Pricing
product-image-AAA25889_WB6.jpg WB (Western Blot) (CDK4 monoclonal antibody (M04), clone 2G7. Western Blot analysis of CDK4 expression in Raw 264.7 (Cat # L024V1).)

CDK4, Monoclonal Antibody (Cat# AAA25889)

No reviews yet
Full Name
CDK4 (Cyclin-Dependent Kinase 4, CMM3, MGC14458, PSK-J3) (AP)
Gene Names
CDK4; CMM3; PSK-J3
Applications
Western Blot
Purity
Purified
Pricing
product-image-AAA26503_APP6.jpg Application Data (Detection limit for recombinant GST tagged UBTF is approximately 1ng/ml as a capture antibody.)

UBTF, Monoclonal Antibody (Cat# AAA26503)

No reviews yet
Full Name
UBTF (Upstream Binding Transcription Factor, RNA Polymerase I, NOR-90, UBF) (HRP)
Gene Names
UBTF; UBF; UBF1; UBF2; UBF-1; CONDBA; NOR-90
Applications
Immunofluorescence, Immunohistochemistry, Western Blot
Purity
Purified
Pricing
product-image-AAA28216_IF9.jpg IF (Immunofluorescence) (Immunofluorescence analysis of PC-12 cells using METTL14 Rabbit pAb (AAA28216) at dilution of 1:25 (40x lens). Blue: DAPI for nuclear staining.)

METTL14, Polyclonal Antibody (Cat# AAA28216)

No reviews yet
Full Name
METTL14 Polyclonal Antibody
Reactivity
Human
Applications
Western Blot, Immunohistochemistry, Immunofluorescence, Immunoprecipitation
Purity
Affinity purification
Pricing
product-image-AAA29891_ICC8.jpg ICC (Immunocytochemistry) (ICC staining EpCAM in SW1990 cells (green). The nuclear counter stain is DAPI (blue). Cells were fixed in paraformaldehyde, permeabilised with 0.25% Triton X100/PBS.)

EP-CAM, Monoclonal Antibody (Cat# AAA29891)

No reviews yet
Full Name
EP-CAM Antibody
Gene Names
EPCAM; ESA; KSA; M4S1; MK-1; DIAR5; EGP-2; EGP40; KS1/4; MIC18; TROP1; EGP314; HNPCC8; TACSTD1
Reactivity
Human, Mouse
Applications
Western Blot, Immunocytochemistry, Immunohistochemistry, Flow Cytometry
Purity
ProL affinity purified
Pricing
product-image-AAA29954_FCM9.jpg FCM (Flow Cytometry) (Flow cytometric analysis of Hela cells with CDk1 antibody at 1/100 dilution (blue) compared with an unlabelled control (cells without incubation with primary antibody; red). Goat anti rabbit IgG (FITC) was used as the secondary antibody.)

CDk1, Polyclonal Antibody (Cat# AAA29954)

No reviews yet
Full Name
CDk1 Antibody
Gene Names
CDK1; CDC2; CDC28A; P34CDC2
Reactivity
Human, Mouse, Rat
Applications
Western Blot, Immunocytochemistry, Immunohistochemistry, Flow Cytometry
Purity
Peptide affinity purified
Pricing
product-image-AAA31404_APP6.jpg Application Data (At 25 degree C. The primary antibody was diluted at 1/200 and incubated with the sample for 1 hour at 37 degree C. An Alexa Fluor 594 conjugated goat anti-rabbit IgG (H+L) antibody(Red), diluted at 1/600, was used as secondary antibody.)

JAK3, Polyclonal Antibody (Cat# AAA31404)

No reviews yet
Full Name
Phospho-JAK3 (Tyr904) Antibody
Gene Names
JAK3; JAKL; LJAK; JAK-3; L-JAK; JAK3_HUMAN
Reactivity
Human, Mouse, Rat
Predicted Reactivity: Bovine (100%), Sheep (100%), Dog (100%)
Applications
Western Blot, Immunohistochemistry, Immunofluorescence, Immunocytochemistry, Peptide ELISA
Purity
The antibody is from purified rabbit serum by affinity purification via sequential chromatography on phospho-peptide and non-phospho-peptide affinity columns.
Pricing
product-image-AAA30874_APP6.png Application Data

CD7, Monoclonal Antibody (Cat# AAA30874)

No reviews yet
Full Name
CD7 (ABT-CD7) Antibody
Gene Names
CD7; GP40; TP41; Tp40; LEU-9
Reactivity
Human
Applications
Immunohistochemistry, Western Blot, Immunofluorescence
Purity
Protein G
Pricing
product-image-AAA29077_IHC7.jpg IHC (Immunohistochemistry) (Dilution: IHC-p: 100-300.Western Blot: 1/500 - 1/2000. ELISA: 1/10000. Not yet tested in other applications.)

Myogenin, Polyclonal Antibody (Cat# AAA29077)

No reviews yet
Full Name
Myogenin Polyclonal Antibody
Gene Names
MYOG; MYF4; myf-4; bHLHc3
Reactivity
Human, Mouse, Rat
Applications
Western Blot, Immunohistochemistry
Pricing
product-image-AAA29086_IHC7.jpg IHC (Immunohistochemistry) (Dilution: Western Blot: 1/500 - 1/2000. Immunohistochemistry: 1/100 - 1/300. Immunofluorescence: 1/200 - 1/1000. ELISA: 1/40000. Not yet tested in other applications.)

p15, Polyclonal Antibody (Cat# AAA29086)

No reviews yet
Full Name
p15 Polyclonal Antibody
Gene Names
CDKN2B; P15; MTS2; TP15; CDK4I; INK4B; p15INK4b
Reactivity
Human, Mouse, Rat
Applications
Western Blot, Immunohistochemistry, Immunofluorescence
Pricing
product-image-AAA30439_FCM7.jpg FCM (Flow Cytometry) (Flow cytometric analysis of MCF-7 cells with GRASP65 antibody at 1/50 dilution (red) compared with an unlabelled control (cells without incubation with primary antibody; black). Alexa Fluor 488-conjugated goat anti-rabbit IgG was used as the secondary antibody.)

GRASP65, Monoclonal Antibody (Cat# AAA30439)

No reviews yet
Full Name
GRASP65 Antibody
Gene Names
GORASP1; P65; GOLPH5; GRASP65
Reactivity
Human
Applications
Western Blot, Immunocytochemistry, Immunofluorescence, Immunohistochemistry, Flow Cytometry, Immunoprecipitation
Purity
ProA affinity purified
Pricing
product-image-AAA30595_IF6.jpg IF (Immunofluorescence) (Immunofluorescence analysis of MCF-7 cells using CDKN1A.)

CDKN1A, Polyclonal Antibody (Cat# AAA30595)

No reviews yet
Full Name
CDKN1A Rabbit Polyclonal Antibody
Gene Names
CDKN1A; P21; CIP1; SDI1; WAF1; CAP20; CDKN1; MDA-6; p21CIP1
Reactivity
Human, Mouse, Rat
Applications
Western Blot, Immunohistochemistry, Immunofluorescence
Purity
Affinity purification
Pricing

Submit a Question

Please complete the form below and a representative will contact you as soon as possible.

Request more Information

Please complete the form below and a representative will contact you as soon as possible.

Request a Manual

Please complete the form below and a representative will contact you as soon as possible.

Request a Quote

Please complete the form below and a representative will contact you as soon as possible.