Shipping Temp: Dry Ice
WB (Western Blot)
(Western Blot analysis for Mononucleosomes H3K9me3 (EPL) Unmodified mononucleosomes (Lane 1) and Mononucleosomes H3K9me3 (Lane 2) were detected with H3K9me3 antibody and H4 antibody, respectively. H4 was detected as loading control. Only Mononucleosomes H3K9me3 can be detected by H3K9me3 antibody. Nucleosomes = Mononucleosomes)
Application Data
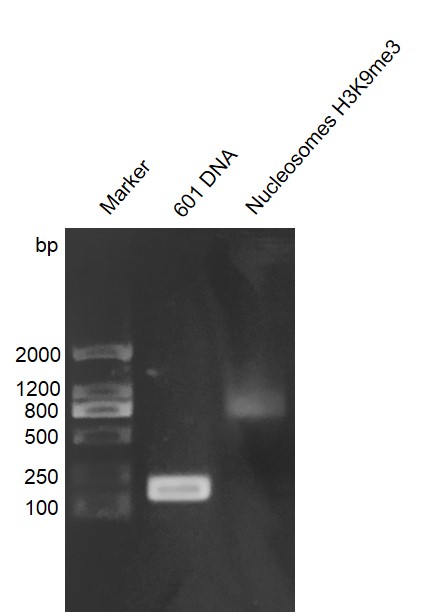
(Recombinant Mononucleosomes H3K9me3 (EPL) - DNA gel. Mononucleosomes H3K9me3 (EPL) were run on a 2% agarose gel and stained with ethidium bromide. Lane 1: DNA marker. Lane 2: 601 DNA. Lane 3: Intact mononucleosomes. Intact mononucleosomes migrate much higher than free 601 DNA. The agarose gel result shows almost all of 601 DNA wraps histone octamers to form mononucleosomes. Nucleosomes = Mononucleosomes)
SDS-PAGE
(Recombinant Mononucleosomes H3K9me3 (EPL) protein gel. Recombinant Mononucleomes were run on a 12.5% SDS-PAGE gel and stained with Coomassie Blue. Purity: ? 95%)
Background: In vivo, histones are wrapped around by DNA in chromatin. Therefore, nucleosomes are more physiologically relevant substrates than histones and histone-derived peptides for in vitro studies. More importantly, some histone methyltransferases are significantly more active, as well as specific, when using nucleosomal substrates in HMT assays, such as DOT1L and NSD family enzymes. Nucleosomes are also widely used in histone methyltransferase screening assays to identify small molecular inhibitors for drug discovery.
NCBI and Uniprot Product Information
Customer Reviews
Loading reviews...
Share Your Experience
Similar Products
Product Notes
The H3K9me3 hist1h2ac (Catalog #AAA59765) is a Recombinant Protein produced from E Coli and is intended for research purposes only. The product is available for immediate purchase. It is sometimes possible for the material contained within the vial of "Mononucleosomes H3K9me3, Recombinant Protein" to become dispersed throughout the inside of the vial, particularly around the seal of said vial, during shipment and storage. We always suggest centrifuging these vials to consolidate all of the liquid away from the lid and to the bottom of the vial prior to opening. Please be advised that certain products may require dry ice for shipping and that, if this is the case, an additional dry ice fee may also be required.Precautions
All products in the AAA Biotech catalog are strictly for research-use only, and are absolutely not suitable for use in any sort of medical, therapeutic, prophylactic, in-vivo, or diagnostic capacity. By purchasing a product from AAA Biotech, you are explicitly certifying that said products will be properly tested and used in line with industry standard. AAA Biotech and its authorized distribution partners reserve the right to refuse to fulfill any order if we have any indication that a purchaser may be intending to use a product outside of our accepted criteria.Disclaimer
Though we do strive to guarantee the information represented in this datasheet, AAA Biotech cannot be held responsible for any oversights or imprecisions. AAA Biotech reserves the right to adjust any aspect of this datasheet at any time and without notice. It is the responsibility of the customer to inform AAA Biotech of any product performance issues observed or experienced within 30 days of receipt of said product. To see additional details on this or any of our other policies, please see our Terms & Conditions page.Item has been added to Shopping Cart
If you are ready to order, navigate to Shopping Cart and get ready to checkout.
