anti-Human FHIT Antibody | anti-FHIT antibody
FHIT Antibody
Gene Names
FHIT; FRA3B; AP3Aase
Reactivity
Human
Applications
ELISA, Immunofluorescence, Immunohistochemistry, Western Blot
Purity
Affinity-purified from rabbit antiserum by affinity-chromatography using epitope-specific immunogen.
Synonyms
FHIT; N/A; FHIT Antibody; AP3Aase; FRA3B; bis(5'-adenosyl)-triphosphatase; inucleosidetriphosphatase; AP3A HYDROLASE FRAGILE SITE 3p14.2; diadenosine 5'; 5'''-P1; P3-triphosphate hydrolase; anti-FHIT antibody
Reactivity
Human
Specificity
FHIT antibody detects endogenous levels of total FHIT protein.
Purity/Purification
Affinity-purified from rabbit antiserum by affinity-chromatography using epitope-specific immunogen.
Form/Format
In phosphate buffered saline (without Mg2+ and Ca2+), pH 7.4, 150mM NaCl, 0.02% sodium azide and 50% glycerol.
Sequence Length
147
Applicable Applications for anti-FHIT antibody
ELISA, IF (Immunofluorescence), IHC (Immunohistochemistry), WB (Western Blot)
Immunogen
The antiserum was produced against synthesized peptide derived from human FHIT.
Preparation and Storage
Store at-20 degree C for 1 year
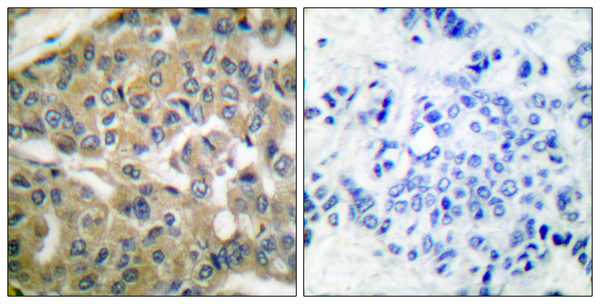
IHC (Immunohistochemistry)
(Peptide-+ Immunohistochemical analysis of paraffin-embedded human breast carcinoma tissue using FHIT antibody.)
References
Hideshi Ishii, Cancer Res., Dec 2006; 66: 11287-11292. Francesca Bianchi, PNAS, Dec 2006; 103: 18981-18986. Koshi Mimori, Cancer Res., Mar 2006; 66: 2683-2690. Tamotsu Kuroki, Cancer Res., Jul 2003; 63: 3724-3728.
NCBI and Uniprot Product Information
NCBI GI #
NCBI GeneID
NCBI Accession #
NCBI GenBank Nucleotide #
Molecular Weight
16,858 Da
NCBI Official Full Name
bis(5'-adenosyl)-triphosphatase isoform 1
NCBI Official Synonym Full Names
fragile histidine triad
NCBI Official Symbol
FHIT
NCBI Official Synonym Symbols
FRA3B; AP3Aase
NCBI Protein Information
bis(5'-adenosyl)-triphosphatase
UniProt Protein Name
Bis(5'-adenosyl)-triphosphatase
UniProt Gene Name
FHIT
UniProt Synonym Gene Names
AP3Aase
Similar Products
Product Notes
The FHIT fhit (Catalog #AAA110194) is an Antibody and is intended for research purposes only. The product is available for immediate purchase. The FHIT Antibody reacts with Human and may cross-react with other species as described in the data sheet. AAA Biotech's FHIT can be used in a range of immunoassay formats including, but not limited to, ELISA, IF (Immunofluorescence), IHC (Immunohistochemistry), WB (Western Blot). Researchers should empirically determine the suitability of the FHIT fhit for an application not listed in the data sheet. Researchers commonly develop new applications and it is an integral, important part of the investigative research process. It is sometimes possible for the material contained within the vial of "FHIT, Antibody" to become dispersed throughout the inside of the vial, particularly around the seal of said vial, during shipment and storage. We always suggest centrifuging these vials to consolidate all of the liquid away from the lid and to the bottom of the vial prior to opening. Please be advised that certain products may require dry ice for shipping and that, if this is the case, an additional dry ice fee may also be required.Precautions
All products in the AAA Biotech catalog are strictly for research-use only, and are absolutely not suitable for use in any sort of medical, therapeutic, prophylactic, in-vivo, or diagnostic capacity. By purchasing a product from AAA Biotech, you are explicitly certifying that said products will be properly tested and used in line with industry standard. AAA Biotech and its authorized distribution partners reserve the right to refuse to fulfill any order if we have any indication that a purchaser may be intending to use a product outside of our accepted criteria.Disclaimer
Though we do strive to guarantee the information represented in this datasheet, AAA Biotech cannot be held responsible for any oversights or imprecisions. AAA Biotech reserves the right to adjust any aspect of this datasheet at any time and without notice. It is the responsibility of the customer to inform AAA Biotech of any product performance issues observed or experienced within 30 days of receipt of said product. To see additional details on this or any of our other policies, please see our Terms & Conditions page.Item has been added to Shopping Cart
If you are ready to order, navigate to Shopping Cart and get ready to checkout.
