Human Neuroblastoma Suppressor Of Tumorigenicity 1, NBL1 ELISA Kit | NBL1 elisa kit
Human Neuroblastoma Suppressor Of Tumorigenicity 1, NBL1 Primacu ELISA Kit
Gene Names
NBL1; NB; DAN; NO3; DAND1; D1S1733E
Reactivity
Human
Synonyms
Neuroblastoma Suppressor Of Tumorigenicity 1, NBL1; N/A; Human Neuroblastoma Suppressor Of Tumorigenicity 1, NBL1 Primacu ELISA Kit; Neuroblastoma suppressor of tumorigenicity 1; NBL1; DAN; DAND1; NBL1 elisa kit
Reactivity
Human
Assay Type
Sandwich
Samples
Serum, plasma, cell culture supernates
Detection Range
46.88-3000pg/mL
Sensitivity
13.55pg/mL
Standard Solution
30ng/mL
Assay Time
3.5h
Preparation and Storage
Store at 2-8 degree C
Related Product Information for NBL1 elisa kit
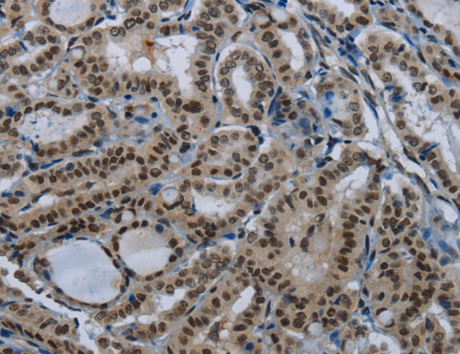
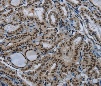
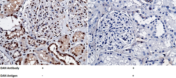
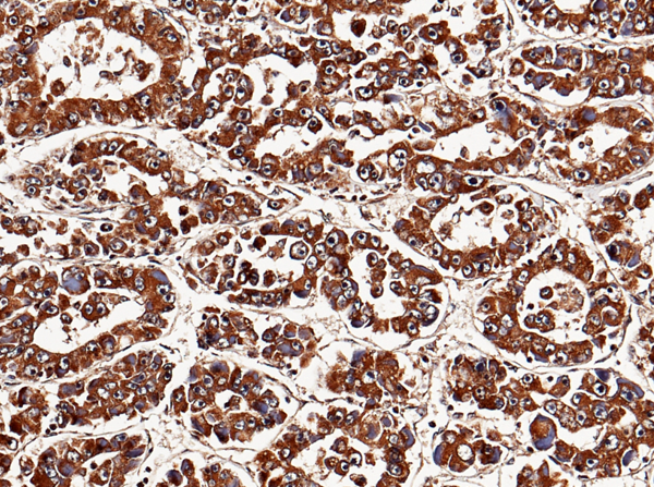
The Dan (Differential screening-selected gene aberrative in neuroblastoma, also known as N03) gene was first identified as the putative rat tumor suppressor gene and encodes a protein structurally related to Cerberus and Gremlin in the vertebrates. It is a founding member of the DAN family of secreted proteins, acts as an inhibitor of cell cycle progression, and is closely involved in retinoic acid-induced neuroblastoma differentiation. There are at least five mammalian protein members in the evolutionarily conserved Dan family including DAN, Gremlin/DRM, Cer1 (Cerberus-related), Dante, and PRDC (protein related to DAN and Cerberus), and share the C-terminal cystine-knot motif. As a secreted glycoprotein, DAN is a member of a class of glycoproteins shown to be secreted inhibitors of the transforming growth factor-beta (TGF-beta) and bone morphogenic protein pathways. It binds to BMPs and preventing their interactions with signaling receptor complexes, and accordingly regulates the processes of embryonic development and tissue differentiation. DAN gene product may have an important role in the regulation of the entry of cells into the S phase. Besides, the DAN gene product possesses an ability to revert phenotypes of transformed rat fibroblasts and represents a candidate tumor suppressor gene for neuroblastoma.
Product Categories/Family for NBL1 elisa kit
NCBI and Uniprot Product Information
NCBI GI #
NCBI GeneID
NCBI Accession #
NCBI GenBank Nucleotide #
Molecular Weight
19,277 Da
NCBI Official Full Name
neuroblastoma suppressor of tumorigenicity 1 isoform 2
NCBI Official Synonym Full Names
neuroblastoma 1, DAN family BMP antagonist
NCBI Official Symbol
NBL1
NCBI Official Synonym Symbols
NB; DAN; NO3; DAND1; D1S1733E
NCBI Protein Information
neuroblastoma suppressor of tumorigenicity 1; DAN domain family member 1; differential screening-selected gene aberrant in neuroblastoma; neuroblastoma candidate region, suppression of tumorigenicity 1
UniProt Protein Name
Neuroblastoma suppressor of tumorigenicity 1
UniProt Gene Name
NBL1
UniProt Synonym Gene Names
DAN; DAND1
UniProt Entry Name
NBL1_HUMAN
Customer Reviews
Loading reviews...
Share Your Experience
Similar Products
Product Notes
The Human NBL1 nbl1 (Catalog #AAA124198) is an ELISA Kit and is intended for research purposes only. The product is available for immediate purchase. The AAA124198 ELISA Kit recognizes Human NBL1. It is sometimes possible for the material contained within the vial of "Neuroblastoma Suppressor Of Tumorigenicity 1, NBL1, ELISA Kit" to become dispersed throughout the inside of the vial, particularly around the seal of said vial, during shipment and storage. We always suggest centrifuging these vials to consolidate all of the liquid away from the lid and to the bottom of the vial prior to opening. Please be advised that certain products may require dry ice for shipping and that, if this is the case, an additional dry ice fee may also be required.Precautions
All products in the AAA Biotech catalog are strictly for research-use only, and are absolutely not suitable for use in any sort of medical, therapeutic, prophylactic, in-vivo, or diagnostic capacity. By purchasing a product from AAA Biotech, you are explicitly certifying that said products will be properly tested and used in line with industry standard. AAA Biotech and its authorized distribution partners reserve the right to refuse to fulfill any order if we have any indication that a purchaser may be intending to use a product outside of our accepted criteria.Disclaimer
Though we do strive to guarantee the information represented in this datasheet, AAA Biotech cannot be held responsible for any oversights or imprecisions. AAA Biotech reserves the right to adjust any aspect of this datasheet at any time and without notice. It is the responsibility of the customer to inform AAA Biotech of any product performance issues observed or experienced within 30 days of receipt of said product. To see additional details on this or any of our other policies, please see our Terms & Conditions page.Item has been added to Shopping Cart
If you are ready to order, navigate to Shopping Cart and get ready to checkout.
