anti-Human, Mouse MEF2C Antibody | anti-MEF2C antibody
MEF2C (Phospho-Ser396) Antibody
Gene Names
MEF2C; DEL5q14.3; C5DELq14.3
Reactivity
Human, Mouse
Applications
ELISA, Immunohistochemistry, Western Blot
Purity
Affinity-purified from rabbit antiserum by affinity-chromatography using epitope-specific phosphopeptide. The antibody against non-phosphopeptide was removed by chromatography using non-phosphopeptide corresponding to the phosphorylation site.
Synonyms
MEF2C; N/A; MEF2C (Phospho-Ser396) Antibody; Myocyte enhancer factor 2C; Myocyte-specific enhancer factor 2C; Similar to MADS box transcription enhancer factor 2 polypeptide C; anti-MEF2C antibody
Reactivity
Human, Mouse
Specificity
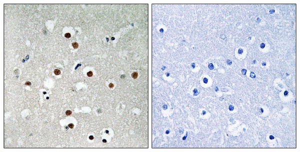
MEF2C (Phospho-Ser396) antibody detects endogenous levels of MEF2C only when phosphorylated at serine 396.
Purity/Purification
Affinity-purified from rabbit antiserum by affinity-chromatography using epitope-specific phosphopeptide. The antibody against non-phosphopeptide was removed by chromatography using non-phosphopeptide corresponding to the phosphorylation site.
Form/Format
In phosphate buffered saline (without Mg2+ and Ca2+), pH 7.4, 150mM NaCl, 0.02% sodium azide and 50% glycerol.
Sequence Length
463
Applicable Applications for anti-MEF2C antibody
ELISA, IHC (Immunohistochemistry), WB (Western Blot)
Immunogen
The antiserum was produced against synthesized phosphopeptide derived from human MEF2C around the phosphorylation site of serine 396 (P-V-SP-P-P).
All Sites
Human: Ser396
Mouse: Ser396
Mouse: Ser396
Preparation and Storage
Store at-20 degree C for 1 year.
Product Categories/Family for anti-MEF2C antibody
References
Leifer D., Proc. Natl. Acad. Sci. U.S.A. 90:1546-1550(1993). McDermott J.C., Mol. Cell. Biol. 13:2564-2577(1993). Wang A.H., Mol. Cell. Biol. 19:7816-7827(1999).
NCBI and Uniprot Product Information
NCBI GI #
NCBI GeneID
NCBI Accession #
NCBI GenBank Nucleotide #
Molecular Weight
50,242 Da
NCBI Official Full Name
myocyte-specific enhancer factor 2C isoform 2
NCBI Official Synonym Full Names
myocyte enhancer factor 2C
NCBI Official Symbol
MEF2C
NCBI Official Synonym Symbols
DEL5q14.3; C5DELq14.3
NCBI Protein Information
myocyte-specific enhancer factor 2C
UniProt Protein Name
Myocyte-specific enhancer factor 2C
UniProt Gene Name
MEF2C
Customer Reviews
Loading reviews...
Share Your Experience
Similar Products
Product Notes
The MEF2C mef2c (Catalog #AAA109134) is an Antibody and is intended for research purposes only. The product is available for immediate purchase. The MEF2C (Phospho-Ser396) Antibody reacts with Human, Mouse and may cross-react with other species as described in the data sheet. AAA Biotech's MEF2C can be used in a range of immunoassay formats including, but not limited to, ELISA, IHC (Immunohistochemistry), WB (Western Blot). Researchers should empirically determine the suitability of the MEF2C mef2c for an application not listed in the data sheet. Researchers commonly develop new applications and it is an integral, important part of the investigative research process. It is sometimes possible for the material contained within the vial of "MEF2C, Antibody" to become dispersed throughout the inside of the vial, particularly around the seal of said vial, during shipment and storage. We always suggest centrifuging these vials to consolidate all of the liquid away from the lid and to the bottom of the vial prior to opening. Please be advised that certain products may require dry ice for shipping and that, if this is the case, an additional dry ice fee may also be required.Precautions
All products in the AAA Biotech catalog are strictly for research-use only, and are absolutely not suitable for use in any sort of medical, therapeutic, prophylactic, in-vivo, or diagnostic capacity. By purchasing a product from AAA Biotech, you are explicitly certifying that said products will be properly tested and used in line with industry standard. AAA Biotech and its authorized distribution partners reserve the right to refuse to fulfill any order if we have any indication that a purchaser may be intending to use a product outside of our accepted criteria.Disclaimer
Though we do strive to guarantee the information represented in this datasheet, AAA Biotech cannot be held responsible for any oversights or imprecisions. AAA Biotech reserves the right to adjust any aspect of this datasheet at any time and without notice. It is the responsibility of the customer to inform AAA Biotech of any product performance issues observed or experienced within 30 days of receipt of said product. To see additional details on this or any of our other policies, please see our Terms & Conditions page.Item has been added to Shopping Cart
If you are ready to order, navigate to Shopping Cart and get ready to checkout.
