Loading...

Skip to main content
Call us at +1-800-604-9114 for more information about our products or contact us online Need help? +1-800-604-9114 or contact us

Filters


Clonality

Type

Reactivity

Gene Name

Isotype

Host

Application

Clone

Monoclonal Antibodies

Get accurate results in your research with our Monoclonal Antibodies, which are specially made to target exactly what you require for your research, and will produce consistent, reliable performance in lab tests.


Viewing 8100-8150 of 27647 product results


product-image-AAA72227_WB13.png WB (Western Blot) (Western Blot using Anti-CD25 antibody 2E4 (AAA72227). Mouse lymph node tissue lysates (35ug protein in RIPA buffer) were resolved on a SDS PAGE gel and blots were probed with the chimeric rabbit version of 2E4 () at 0.5ug/ml before detection using an anti-rabbit secondary antibody. A primary incubation of 1h was used and protein was detected by chemiluminescence.)

CD25, Monoclonal Antibody (Cat# AAA72227)

No reviews yet
Full Name
Anti-CD25 [2E4]
Gene Names
Il2ra; CD25; Il2r; Ly-43
Reactivity
Mouse
Applications
Flow Cytometry
Purity
Purified antibody. Protein A affinity purified
Pricing
product-image-AAA71962_WB11.png WB (Western Blot) ( Western Blot using anti-p53 antibody A431 cell nuclear (A) and cytoplasmic (B) extract (35ug protein in RIPA buffer) was resolved on a 10% SDS PAGE gel and blots probed with the chimeric rabbit version at 0.1 ug/ml before detection by an anti-rabbit secondary antibody. A primary incubation of 1h was used and protein was detected by chemiluminescence. The expected band size for p53 is 43.7 kDa, though due to the high number of proline residues in this protein runs at a size of ~53kDa (c.f. Ziemer et al., PMID: 7107651). successfully detected both human nuclear and cytoplasmic p53.)

p53, Monoclonal Recombinant Antibody (Cat# AAA71962)

No reviews yet
Full Name
Anti-p53 [PAb421]
Gene Names
TP53; P53; BCC7; LFS1; TRP53
Reactivity
Human, Monkey, Mouse, Rabbit, Rat
Applications
Western Blot, Immunoprecipitation, Flow Cytometry, Immunofluorescence
Purity
Purified
Protein A Affinity Purified
Pricing
product-image-AAA47500_FCM13.jpg FCM/FACS (Flow Cytometry) (Figure 1. ELISA plate pre-coated by 1 ug/ml (100 ul/well) Human BTLA , His tagged protein PME100524 can bind Anti-BTLA Neutralizing antibody (AAA47500) in a linear range of 1-100 ng/ml.)

BTLA, Monoclonal Antibody (Cat# AAA47500)

No reviews yet
Full Name
Anti-BTLA (icatolimab biosimilar) mAb
Gene Names
BTLA; BTLA1; CD272
Reactivity
Human
Applications
Flow Cytometry
Purity
Purified from cell culture supernatant by affinity chromatography
Pricing
product-image-AAA71589_ICC13.jpg ICC (Immunocytochemistry) (Immunocytochemical labeling of CD244 in aldehyde fixed and NP-40 permeabilized PMA-differentiated human THP-1 cells. The cells were labeled with mouse monoclonal anti-CD244/2B4/SLAMF4 (CM0531). The antibody was detected using goat anti-mouse DyLight 594.)

CD244/2B4/SLAMF4, Monoclonal Antibody (Cat# AAA71589)

No reviews yet
Full Name
CD244/2B4/SLAMF4 (Extracellular region) M053 Antibody
Gene Names
CD244; 2B4; NAIL; Nmrk; NKR2B4; SLAMF4
Reactivity
Human
Applications
Immunocytochemistry, Immunoprecipitation, Western Blot
Purity
Protein G chromatography
Pricing
product-image-AAA103073_WB11.png WB (Western Blot) (Western Blot analysis of Rat cell lysates showing detection of Hsp90 protein using Mouse Anti-Hsp90 Monoclonal Antibody, Clone D7Alpha. Load: 15 ug. Block: 1.5% BSA for 30 minutes at RT. Primary Antibody: Mouse Anti-Hsp90 Monoclonal Antibody at 1:1000 for 2 hours at RT. Secondary Antibody: Sheep Anti-Mouse IgG: HRP for 1 hour at RT.)

Hsp90, Monoclonal Antibody (Cat# AAA103073)

No reviews yet
Full Name
Hsp90 Antibody
Reactivity
Bovine, Chicken, Human, Mouse, Porcine (Pig), Rat, Rabbit
Applications
Western Blot, Immunohistochemistry, Immunoprecipitation
Pricing
product-image-AAA106332_IF11.jpg IF (Immunofluorescence) (Immunofluorescent staining of COS7 cells transiently transfected with recombinant FAHD2A protein using FAHD2A antibody)

FAHD2A, Monoclonal Antibody (Cat# AAA106332)

No reviews yet
Full Name
FAHD2A antibody
Gene Names
FAHD2A; CGI-105
Applications
Western Blot, Immunohistochemistry, Immunofluorescence, Flow Cytometry
Purity
FAHD2A antibody was purified by affinity chromatography.
Pricing
product-image-AAA106187_IHC13.jpg IHC (Immunohiostchemistry) (Immunohistochemical analysis of HMOX2 protein in paraffin embedded Human endometrium tissue using HMOX2 antibody)

HMOX2, Monoclonal Antibody (Cat# AAA106187)

No reviews yet
Full Name
HMOX2 antibody
Gene Names
HMOX2; HO-2
Applications
Western Blot, Immunohistochemistry, Flow Cytometry
Purity
HMOX2 antibody was purified by affinity chromatography.
Pricing
product-image-AAA76573_AD13.jpg Application Data (Image: Blots of recombinant human Aldolase A, B and C as indicated showing binding to all three gene products. Lane labelled S show molecular weight standards, while lanes A, B and C contain recombinant full length His-tagged human Aldolase A, B and C respectively. The epitope is within the core of the three Aldolase molecules which are less conserved than the N and C-termini where our Aldolase C specific antibodies bind. The specificity of our other two Aldolase antibodies is shown in the indicated parts of the image. One antibody binds to the N-terminal peptide and one to the C-terminal peptide)

Adolase C, Monoclonal Antibody (Cat# AAA76573)

No reviews yet
Full Name
Adolase C, monoclonal antibody, mouse
Reactivity
Chicken, Equine, Human, Mouse, Porcine, Rat
Applications
Western Blot, Immunohistochemistry, Immunofluorescence, Immunocytochemistry
Purity
Affinity Purified
Pricing
product-image-AAA162084_WB15.jpg FCM/FACS (Flow Cytometry) (Human peripheral blood lymphocytes were stained with 10ug/ml mouse Anti-human HCAM Monoclonal Antibody ( #AAA162084, green histogram) or Isotype control antibody , followed by 1ug/ml FITC-conjugated Anti-mouse IgG Secondary Antibody. Western Blot; Samples: Lane1: Hela cell lysate; Lane2: HUVEC cell lysate;Primary Ab: 0.2ug/ml Mouse Anti-Human HCAM AntibodySecond Ab: 0.2ug/ml HRP-Linked Caprine Anti-Mouse IgG Polyclonal Antibody)

Homing Associated Cell Adhesion Molecule (HCAM), Monoclonal Antibody (Cat# AAA162084)

No reviews yet
Full Name
Monoclonal Antibody to Homing Associated Cell Adhesion Molecule (HCAM)
Gene Names
CD44; IN; LHR; MC56; MDU2; MDU3; MIC4; Pgp1; CDW44; CSPG8; HCELL; HUTCH-I; ECMR-III
Reactivity
Human
Applications
Immunoprecipitation, Immunocytochemistry, Immunohistochemistry, Western Blot
Purity
Antigen-specific affinity chromatography followed by Protein A affinity chromatography
Pricing
product-image-AAA162099_WB15.jpg WB (Western Blot) (Western Blot; Sample: THP1 cell lysatePrimary Ab: 0.3ug/ml Mouse Anti-Human IL35 AntibodySecond Ab: 0.2ug/ml HRP-Linked Caprine Anti-Mouse IgG Polyclonal Antibody. Western Blot; Samples: Lane1: Rat Stomach lysate; Lane2: Rat Placenta lysate;Primary Ab: 0.1ug/ml Mouse Anti-Human IL35 AntibodySecond Ab: 0.2ug/ml HRP-Linked Caprine Anti-Mouse IgG Polyclonal Antibody)

Interleukin 35 (IL35), Monoclonal Antibody (Cat# AAA162099)

No reviews yet
Full Name
Monoclonal Antibody to Interleukin 35 (IL35)
Reactivity
Human
Applications
Immunoprecipitation, Immunocytochemistry, Immunohistochemistry, Western Blot
Purity
Protein A + Protein G affinity chromatography
Pricing
product-image-AAA162118_IHC15.jpg IHC (Immunohistochemistry) (DAB staining on IHC-P;Sample: Rat Kidney TissuePrimary Ab: 5ug/ml Mouse Anti-Human HDAC1 AntibodyControl: Used PBS instead of primary antibodySecond Ab: 2ug/ml HRP-Linked Caprine Anti-Mouse IgG Polyclonal Antibody. DAB staining on IHC-P;Sample: Rat Cerebellum TissuePrimary Ab: 5ug/ml Mouse Anti-Human HDAC1 AntibodyControl: Used PBS instead of primary antibodySecond Ab: 2ug/ml HRP-Linked Caprine Anti-Mouse IgG Polyclonal Antibody. DAB staining on IHC-P;Sample: Porcine Uterus TissuePrimary Ab: 20ug/ml Mouse Anti-Human HDAC1 AntibodyControl: Used PBS instead of primary antibodySecond Ab: 2ug/ml HRP-Linked Caprine Anti-Mouse IgG Polyclonal Antibody. DAB staining on IHC-P;Sample: Porcine Cerebrum TissuePrimary Ab: 20ug/ml Mouse Anti-Human HDAC1 AntibodyControl: Used PBS instead of primary antibodySecond Ab: 2ug/ml HRP-Linked Caprine Anti-Mouse IgG Polyclonal Antibody. DAB staining on IHC-P;Sample: Human Placenta TissuePrimary Ab: 20ug/ml Mouse Anti-Human HDAC1 AntibodyControl: Used PBS instead of primary antibodySecond Ab: 2ug/ml HRP-Linked Caprine Anti-Mouse IgG Polyclonal Antibody)

Histone Deacetylase 1 (HDAC1), Monoclonal Antibody (Cat# AAA162118)

No reviews yet
Full Name
Monoclonal Antibody to Histone Deacetylase 1 (HDAC1)
Gene Names
HDAC1; HD1; RPD3; GON-10; RPD3L1
Reactivity
Human
Applications
Immunoprecipitation, Immunocytochemistry, Immunohistochemistry, Western Blot
Purity
Antigen-specific affinity chromatography followed by Protein A affinity chromatography
Pricing
product-image-AAA162052_IF15.jpg WB (Western Blot) (Western Blot; Samples: Lane1: Human Urine; Lane2: Human Leukocyte lysate;Primary Ab: 0.3ug/ml Mouse Anti-Human RNASE2 AntibodySecond Ab: 0.2ug/ml HRP-Linked Caprine Anti-Mouse IgG Polyclonal Antibody. AF488 staining on IF;Sample: THP1 cellPrimary Ab: 20ug/ml Mouse Anti-Human RNASE2 AntibodySecond Ab: 2ug/ml AF488-Linked Caprine Anti-Mouse IgG Polyclonal Antibody)

Ribonuclease A2 (RNASE2), Monoclonal Antibody (Cat# AAA162052)

No reviews yet
Full Name
Monoclonal Antibody to Ribonuclease A2 (RNASE2)
Reactivity
Human
Applications
Immunoprecipitation, Immunocytochemistry, Immunohistochemistry, Western Blot
Purity
Antigen-specific affinity chromatography followed by Protein A affinity chromatography
Pricing
product-image-AAA102794_WB15.jpg WB (Western Blot) (HT-1080 cells were subjected to SDS PAGE followed by western blot with AAA102794 (FGF18 Antibody) at dilution of 1:1000)

FGF18, Monoclonal Antibody (Cat# AAA102794)

No reviews yet
Full Name
FGF18 Mouse Monoclonal
Gene Names
FGF18; ZFGF5; FGF-18
Reactivity
Human, Mouse
Applications
Western Blot
Purity
>95% as determined by SDS-PAGE
Protein A+G purification
Pricing
product-image-AAA102824_WB13.png WB (Western Blot) (Western Blot analysis of Human Cell line lysates showing detection of GABA A Receptor protein using Mouse Anti-GABA A Receptor Monoclonal Antibody, Clone S95-35. Load: 15 ug. Block: 1.5% BSA for 30 minutes at RT. Primary Antibody: Mouse Anti-GABA A Receptor Monoclonal Antibody at 1:1000 for 2 hours at RT. Secondary Antibody: Sheep Anti-Mouse IgG: HRP for 1 hour at RT.)

GABA(A) Receptor Alpha1, Monoclonal Antibody (Cat# AAA102824)

No reviews yet
Full Name
GABA-A Receptor Alpha-1 Antibody
Gene Names
Gabra1; Gabra-1
Reactivity
Mouse, Human, Rat
Applications
Immunocytochemistry, Western Blot
Pricing
product-image-AAA102853_WB13.png WB (Western Blot) (Western Blot analysis of Mouse Cortex and Cerebellum showing detection of 184 kDa MDC1 protein using Mouse Anti-MDC1 Monoclonal Antibody, Clone P2B11. Lane 1: MW ladder. Lane 2: Mouse Cortex. Lane 3: Mouse Cerebellum. Load: 10 ug. Block: 5% Skim Milk in 1X TBST. Primary Antibody: Mouse Anti-MDC1 Monoclonal Antibody at 1:1000 for 2 hours RT. Secondary Antibody: Goat Anti-Mouse at 1:2000 for 60 min at RT. Color Development: ECL solution for 5 min in RT. Predicted/Observed Size: 184 kDa.)

MDC1, Monoclonal Antibody (Cat# AAA102853)

No reviews yet
Full Name
MDC1 Antibody: HRP
Gene Names
Mdc1; Nfbd1; AA413496; mKIAA0170; 6820401C03
Reactivity
Mouse, Human, Chimpanzee, Bovine
Applications
Western Blot, Immunofluorescence
Pricing
product-image-AAA102877_WB13.png WB (Western Blot) (Western Blot analysis of acetylated lysine showing detection of Acetylated Lysine protein using Mouse Anti-Acetylated Lysine Monoclonal Antibody, Clone 7F8. Primary Antibody: Mouse Anti-Acetylated Lysine Monoclonal Antibody at 1:1000. (1) acetylated BSA (75ng of protein), (2) non-acetylated BSA, and (3) marker.)

Acetylated Lysine, Monoclonal Antibody (Cat# AAA102877)

No reviews yet
Full Name
Acetylated Lysine Antibody: Biotin
Reactivity
Bovine, Avian
Applications
Immunofluorescence, Immunohistochemistry, Western Blot
Pricing
product-image-AAA102907_IHC11.png IHC (Immunohistochemisry) (Immunohistochemistry analysis using Mouse Anti-Slo2.2 Potassium Channel Monoclonal Antibody, Clone S3-26. Tissue: backskin. Species: Mouse. Fixation: Bouin's Fixative and paraffin-embedded. Primary Antibody: Mouse Anti-Slo2.2 Potassium Channel Monoclonal Antibody at 1:100 for 1 hour at RT. Secondary Antibody: FITC Goat Anti-Mouse (green) at 1:50 for 1 hour at RT. Localization: Suprabasal epidermal staining. Hair follicles negative.)

Slo2.2, Monoclonal Antibody (Cat# AAA102907)

No reviews yet
Full Name
Slo2.2 Antibody: ATTO 390
Gene Names
Kcnt1; Slack; rSlo2
Reactivity
Human (weak), Mouse, Rat
Applications
Immunohistochemistry, Western Blot
Pricing
product-image-AAA108279_IHC11.jpg IHC (Immunohistochemisry) (Immunohistochemical analysis of FAM84B protein in paraffin embedded Adenocarcinoma of Human ovary tissue using FAM84B antibody)

FAM84B, Monoclonal Antibody (Cat# AAA108279)

No reviews yet
Full Name
FAM84B antibody
Applications
Western Blot, Flow Cytometry, Immunohistochemistry
Purity
FAM84B antibody was purified by affinity chromatography.
Pricing
product-image-AAA104019_WB10.png WB (Western Blot) (Western Blot analysis of Human Cervical cancer cell line (HeLa) lysate showing detection of Hexanoyl-Lysine adduct protein using Mouse Anti-Hexanoyl-Lysine adduct Monoclonal Antibody, Clone 5D9. Lane 1: Molecular Weight Ladder (MW). Lane 2: HeLa cell lysate. Lane 3: H2O2 treated HeLa cell lysate. Load: 12 ug. Block: 5% Skim Milk in TBST. Primary Antibody: Mouse Anti-Hexanoyl-Lysine adduct Monoclonal Antibody at 1:1000 for 2 hours at RT. Secondary Antibody: Goat Anti-Mouse IgG: HRP at 1:2000 for 60 min at RT. Color Development: ECL solution for 5 min in RT.)

Hexanoyl-Lysine adduct, Monoclonal Antibody (Cat# AAA104019)

No reviews yet
Full Name
Hexanoyl-Lysine adduct Antibody, Clone 5D9: HRP
Reactivity
Species Independent
Applications
Flow Cytometry, Immunofluorescence, Immunocytochemistry, Western Blot
Purity
Protein G Purified
Pricing

MCP-1, Monoclonal Antibody (Cat# AAA77926)

No reviews yet
Full Name
mAb anti-Human MCP-1
Gene Names
CCL2; HC11; MCAF; MCP1; MCP-1; SCYA2; GDCF-2; SMC-CF; HSMCR30
Reactivity
Human. Other species not tested
Applications
Western Blot, Neutralization Assay
Purity
Protein G affinity purified
Pricing
product-image-AAA78177_AD13.jpg Application Data (Binding of Anti-CD40 mAb + GAM/FITC to humn Raji cells.)

CD40, Monoclonal Antibody (Cat# AAA78177)

No reviews yet
Full Name
anti-human CD40-Purified Preservative Free
Reactivity
Human, Rat
Applications
Flow Cytometry
Purity
Purified Preservative Free
Pricing
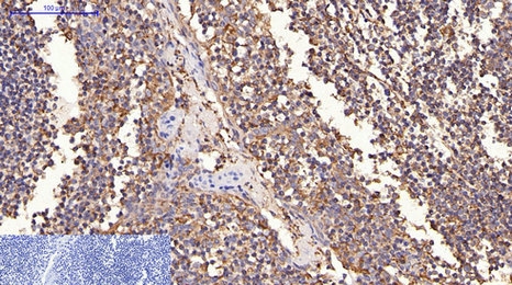
product-image-AAA78489_IHC13.jpg IHC (Immunohiostchemistry) (Figure 2: Formalin-fixed, paraffin-embedded rat spleen stained with mouse anti-rat CD43 Monoclonal Antibody (Wen3). 5ug antibody was used.)

CD43, Monoclonal Antibody (Cat# AAA78489)

No reviews yet
Full Name
Monoclonal Antibody to Rat CD43 (Clone:WEN3)
Gene Names
Spn; Lsn; Cd43; Lsn1; gpL115
Reactivity
Rat
Applications
Flow Cytometry, Immunohistochemistry
Purity
Protein G Chromatography Purified
Pricing
product-image-AAA78499_AD13.png Application Data (Fig 2: Cell surface staining of HepG2 cells. 2ug of antibody was used. Green Isotype control. Red Insulin Receptor antibody.)

Insulin Receptor, Monoclonal Antibody (Cat# AAA78499)

No reviews yet
Full Name
Mouse Monoclonal Antibody to Insulin Receptor (Clone: IR-1)
Gene Names
INSR; HHF5; CD220
Reactivity
Human
Applications
Flow Cytometry
Purity
Protein G Chromatography
Pricing
product-image-AAA78146_AD15.jpg Application Data

CD269, Monoclonal Antibody (Cat# AAA78146)

No reviews yet
Full Name
anti-human CD269 (BCMA)-Purified Preservative Free
Reactivity
Human
Applications
Flow Cytometry
Pricing
product-image-AAA103365_WB13.png WB (Western Blot) (Western Blot analysis of acetylated lysine showing detection of Acetylated Lysine protein using Mouse Anti-Acetylated Lysine Monoclonal Antibody, Clone 7F8. Primary Antibody: Mouse Anti-Acetylated Lysine Monoclonal Antibody at 1:1000. (1) acetylated BSA (75ng of protein), (2) non-acetylated BSA, and (3) marker.)

Acetylated Lysine, Monoclonal Antibody (Cat# AAA103365)

No reviews yet
Full Name
Acetylated Lysine Antibody: FITC
Reactivity
Bovine, Avian
Applications
Immunofluorescence, Immunohistochemistry, Western Blot
Pricing
product-image-AAA106937_IF11.jpg IF (Immunofluorescence) (Immunofluorescent staining of COS7 cells transiently transfected with recombinant SLC2A5 protein using SLC2A5 antibody)

SLC2A5, Monoclonal Antibody (Cat# AAA106937)

No reviews yet
Full Name
SLC2A5 antibody
Gene Names
SLC2A5; GLUT5; GLUT-5
Applications
Western Blot, Immunohistochemistry, Immunofluorescence, Flow Cytometry
Purity
SLC2A5 antibody was purified by affinity chromatography.
Pricing
product-image-AAA106784_WB13.jpg WB (Western Blot) (Western Blot analysis of HEK293T cell lysates (5 ug) transfected with either recombinant NECAB1 protein (Right) or empty vector (Left) detected with NECAB1 antibody)

NECAB1, Monoclonal Antibody (Cat# AAA106784)

No reviews yet
Full Name
NECAB1 antibody
Gene Names
NECAB1; EFCBP1; STIP-1
Applications
Western Blot, Flow Cytometry
Purity
NECAB1 antibody was purified by affinity chromatography.
Pricing

Mouse Anti-Monkey IgG, Monoclonal Secondary Antibody (Cat# AAA78701)

No reviews yet
Full Name
Mouse Anti-Monkey IgG-BIOT
Reactivity
Monkey
Applications
FLISA, ELISA
Pricing

Mouse Anti-Human IgG (gamma chain specific), Monoclonal Secondary Antibody (Cat# AAA78717)

No reviews yet
Full Name
Mouse Anti-Human IgG (Fc)-HRP
Reactivity
Human
Applications
Western Blot, Immunohistochemistry, Immunofluorescence, Immunocytochemistry, Immunoblot
Pricing

Mouse Anti-Human IgG3 (gamma 3 chain specific), Monoclonal Secondary Antibody (Cat# AAA78738)

No reviews yet
Full Name
Mouse Anti-Human IgG3 (hinge)-UNLB
Reactivity
Human
Applications
Western Blot, Immunohistochemistry, Immunocytochemistry, Immunoblot
Pricing
product-image-AAA78748_ELISA15.jpg ELISA (ELISA plate was coated with purified human IgG, IgM, IgA, and IgE. Immunoglobulins were detected with serially diluted Mouse Anti-Human IgE Fc-BIOT followed by Streptavidin-HRP)

Mouse Anti-Human IgE (epsilon chain specific), Monoclonal Secondary Antibody (Cat# AAA78748)

No reviews yet
Full Name
Mouse Anti-Human IgE (Fc)-AP
Reactivity
Human
Applications
Western Blot, Immunohistochemistry, Immunocytochemistry, Immunoblot
Pricing

Mouse IgG2b Isotype Control, Monoclonal Isotype Control (Cat# AAA78891)

No reviews yet
Full Name
Mouse IgG2b-APC
Applications
Flow Cytometry
Pricing
product-image-AAA78935_WB13.jpg WB (Western Blot) (Western blot analysis of 15 ug cell lysates from DH5α and BL21 cells. Samples were resolved by electrophoresis (4-12% Bis-Tris gel), transferred to nitrocellulose, probed with 5 ug/mL purified anti-Sigma 32 antibody, clone 3RH3, followed by incubation with horseradish peroxidase (HRP) labeled goat anti-mouse secondary antibody (Cat. No. please inquire). Ponceau S staining was used as a loading control. Western-Ready™ ECL Substrate Kit (Cat. No. please inquire) was used for developing.)

RNA Sigma 32, Monoclonal Antibody (Cat# AAA78935)

No reviews yet
Full Name
Purified anti-E. coli RNA Sigma 32 Antibody
Reactivity
E Coli
Applications
Western Blot
Pricing
product-image-AAA78993_AD13.jpg Application Data

Erk 1,2, Monoclonal Antibody (Cat# AAA78993)

No reviews yet
Full Name
Anti - Erk 1,2
Gene Names
MAPK1; ERK; p38; p40; p41; ERK2; ERT1; ERK-2; MAPK2; PRKM1; PRKM2; P42MAPK; p41mapk; p42-MAPK
Reactivity
Human, mouse, rat
Applications
Immunocytochemistry, Immunoprecipitation, Western Blot
Pricing
product-image-AAA78995_AD15.jpg Application Data

CTRP5, Monoclonal Antibody (Cat# AAA78995)

No reviews yet
Full Name
Anti - CTRP5
Gene Names
C1QTNF5; CTRP5
Reactivity
Human, mouse
Applications
Immunoprecipitation, Western Blot
Pricing
product-image-AAA78561_WB13.jpg WB (Western Blot) (Figure-2: Western blot analysis of SPARCL1. Anti-SPARCL1 antibody (Clone: ABM5C3.2G1) was used at 1 ug/ml on (1) h Lung, (2) h Intestine, (3) PANC-28 and (4) U87 lysates.)

SPARCL1, Monoclonal Antibody (Cat# AAA78561)

No reviews yet
Full Name
Monoclonal antibody to SPARCL1 (Clone: ABM5C3.2G1)
Gene Names
SPARCL1; SC1; MAST9; PIG33; MAST 9
Reactivity
Human
Applications
Western Blot
Purity
Protein G Chromatography
Pricing
product-image-AAA107407_IHC11.jpg IHC (Immunohistochemisry) (Immunohistochemical analysis of RAB17 protein in paraffin embedded Human prostate tissue using RAB17 antibody)

RAB17, Monoclonal Antibody (Cat# AAA107407)

No reviews yet
Full Name
RAB17 antibody
Applications
Immunofluorescence, Immunohistochemistry
Purity
RAB17 antibody was purified by affinity chromatography.
Pricing

CD134/TNFRSF4/OX40, Monoclonal Antibody (Cat# AAA120672)

No reviews yet
Full Name
Anti-Human CD134/TNFRSF4/OX40 Antibody (3C8)
Gene Names
TNFRSF4; OX40; ACT35; CD134; IMD16; TXGP1L
Reactivity
Human
Applications
Flow Cytometry
Purity
Protein A/G purified from cell culture supernatant.
Pricing

Alpha-gal IgE, Monoclonal Antibody (Cat# AAA120764)

No reviews yet
Full Name
Anti-Alpha-gal Human IgE Antibody (16D9)
Reactivity
General
Applications
ELISA
Purity
>95% as determined by SDS-PAGE.
Pricing
product-image-AAA268903_AD13.jpg Application Data (Colloidal gold test strip using the Anti-Protein S (SARS-CoV-2) as IgM Standard.)

COVID 19 Protein Spike S Coronavirus, Monoclonal Antibody (Cat# AAA268903)

No reviews yet
Full Name
Anti-Protein S (SARS-CoV-2) (IgM Standard) (Ready to use)
Pricing
product-image-AAA126930_WB13.jpg WB (Western Blot) (Figure 2. Western blot analysis of CD20/MS4A1 using anti-CD20/MS4A1 antibody (AAA126930).Electrophoresis was performed on a 5-20% SDS-PAGE gel at 70V (Stacking gel)/90V (Resolving gel) for 2-3 hours. The sample well of each lane was loaded with 30 ug of sample under reducing conditions.Lane 1: human Raji whole cell lysates,Lane 2: human Jurkat whole cell lysates.After electrophoresis, proteins were transferred to a nitrocellulose membrane at 150 mA for 50-90 minutes. Blocked the membrane with 5% non-fat milk/TBS for 1.5 hour at RT. The membrane was incubated with mouse anti-CD20/MS4A1 antigen affinity purified monoclonal antibody (#AAA126930) at 0.5 ug/mL overnight at 4 degree C, then washed with TBS-0.1%Tween 3 times with 5 minutes each and probed with a goat anti-mouse IgG-HRP secondary antibody at a dilution of 1:10000 for 1.5 hour at RT. The signal is developed using an Enhanced Chemiluminescent detection (ECL) kit with Tanon 5200 system. A specific band was detected for CD20/MS4A1 at approximately 37 kDa. The expected band size for CD20/MS4A1 is at 33 kDa.)

CD20/MS4A1, Monoclonal Antibody (Cat# AAA126930)

No reviews yet
Full Name
Anti-CD20/MS4A1 Antibody Picoband (monoclonal, 4I11)
Gene Names
MS4A1; B1; S7; Bp35; CD20; CVID5; MS4A2; LEU-16
Reactivity
Human
Applications
Immunofluorescence, Western Blot
Purity
Immunogen affinity purified.
Pricing
product-image-AAA120763_FCM13.jpg FCM/FACS (Flow Cytometry) (Flow-cytometry using anti-human UPAR antibody. HUCCT cells were stained with an irrelevant antibody (Blue Histogram) or an anti-human UPAR antibody monoclonal antibody (#AAA120763, Green Histogram) at a concentration of 5ug/ml for 30 mins at RT. After washing, bound antibody was detected using a FITC conjugated goat anti-mouse antibody and cells analysed on a NovoCyte Flow Cytometer.)

CD87/PLAUR/uPAR, Monoclonal Antibody (Cat# AAA120763)

No reviews yet
Full Name
Anti-Human CD87/PLAUR/uPAR Monoclonal Antibody (1A451)
Gene Names
PLAUR; CD87; UPAR; URKR; U-PAR
Reactivity
Human
Applications
Western Blot, Flow Cytometry
Purity
>95% as determined by SDS-PAGE.
Protein A/G purified from cell culture supernatant.
Pricing
product-image-AAA49501_AD15.gif Application Data (Staining of CLL-1390 cells with Mouse anti Canine CD34:RPE)

CD34, Monoclonal Antibody (Cat# AAA49501)

No reviews yet
Full Name
MOUSE ANTI DOG CD34:RPE
Applications
Flow Cytometry
Pricing
product-image-AAA49564_AD8.gif Application Data (Staining of human peripheral blood granulocytes with Mouse anti Human CD32:Alexa Fluor 647)

CD32, Monoclonal Antibody (Cat# AAA49564)

No reviews yet
Full Name
MOUSE ANTI HUMAN CD32:FITC
Gene Names
FCGR2A; CD32; FCG2; FcGR; CD32A; CDw32; FCGR2; IGFR2; FCGR2A1
Applications
Flow Cytometry
Pricing
product-image-AAA49569_AD13.gif Application Data (Staining of human peripheral blood monocytes with Mouse anti Human CD86:RPE)

CD86, Monoclonal Antibody (Cat# AAA49569)

No reviews yet
Full Name
MOUSE ANTI HUMAN CD86
Gene Names
CD86; B70; B7-2; B7.2; LAB72; CD28LG2
Applications
Immunoprecipitation, Flow Cytometry, Immunohistochemistry
Pricing
product-image-AAA50577_AD8.gif Application Data (Staining of human peripheral blood lymphocytes with Mouse anti Human CD29:RPE)

CD29, Monoclonal Antibody (Cat# AAA50577)

No reviews yet
Full Name
MOUSE ANTI HUMAN CD29
Gene Names
ITGB1; CD29; FNRB; MDF2; VLAB; GPIIA; MSK12; VLA-BETA
Applications
Immunohistochemistry, Immunoprecipitation, Flow Cytometry
Pricing
product-image-AAA125905_FCM13.png FCM/FACS (Flow Cytometry) (Figure 2. Flow Cytometry analysis of U87 cells using anti-UBE3A antibody (AAA125905).Overlay histogram showing U87 cells stained with AAA125905 (Blue line). The cells were blocked with 10% normal goat serum. And then incubated with mouse anti- UBE3A Antibody (AAA125905, 1μg/1x106 cells) for 30 min at 20 degree C. DyLight®488 conjugated goat anti-mouse IgG (BA1126, 5-10μg/1x106 cells) was used as secondary antibody for 30 minutes at 20 degree C. Isotype control antibody (Green line) was mouse IgG (1μg/1x106) used under the same conditions. Unlabelled sample (Red line) was also used as a control.)

UBE3A, Monoclonal Antibody (Cat# AAA125905)

No reviews yet
Full Name
Anti-UBE3A Antibody (monoclonal, 3F13)
Gene Names
UBE3A; AS; ANCR; E6-AP; HPVE6A; EPVE6AP; FLJ26981; UBE3A
Reactivity
Human, Monkey
Applications
Flow Cytometry, Western Blot
Purity
Immunogen affinity purified.
Pricing
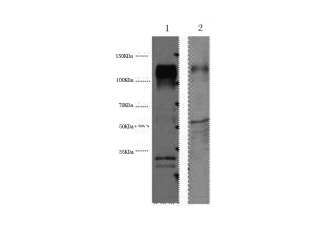
product-image-AAA125141_WB15.jpg WB (Western Blot) (Western blot analysis of PTH1R using anti-PTH1R antibody (AAA125141).Electrophoresis was performed on a 10% SDS-PAGE gel at 80V (Stacking gel) / 120V (Resolving gel) for 2 hours. The sample well of each lane was loaded with 30 ug of sample under reducing conditions.Lane 1: human SH-SY5Y whole cell lysates,Lane 2: human A549 whole cell lysates,Lane 3: human SIHA whole cell lysates.After electrophoresis, proteins were transferred to a nitrocellulose membrane at 150 mA for 50-90 minutes. Blocked the membrane with 5% non-fat milk/TBS for 1.5 hour at RT. The membrane was incubated with rabbit anti-PTH1R antigen affinity purified monoclonal antibody (AAA125141) at 1:500 overnight at 4°C, then washed with TBS-0.1%Tween 3 times with 5 minutes each and probed with a goat anti-rabbit IgG-HRP secondary antibody at a dilution of 1:5000 for 1.5 hour at RT. The signal is developed using an ECL Plus Western Blotting Substrate with Tanon 5200 system. A specific band was detected for PTH1R at approximately 66 kDa. The expected band size for PTH1R is at 66 kDa.)

Parathyroid Hormone Receptor 1, Monoclonal Antibody (Cat# AAA125141)

No reviews yet
Full Name
Anti-Parathyroid Hormone Receptor 1 Monoclonal Antibody
Gene Names
PTH1R; PFE; PTHR; PTHR1
Reactivity
Human
Applications
Western Blot, Immunoprecipitation
Purity
Affinity-Chromatography
Pricing
product-image-AAA49454_AD10.gif Application Data (Staining of human peripheral blood lymphocytes with Mouse anti Human CD49d)

CD49d, Monoclonal Antibody (Cat# AAA49454)

No reviews yet
Full Name
MOUSE ANTI HUMAN CD49d
Gene Names
ITGA4; IA4; CD49D
Applications
Flow Cytometry, Immunohistochemistry
Pricing
product-image-AAA49474_AD11.gif Application Data (Staining of rat spleen lymphocytes with Mouse anti Rat RT1Ac)

MHC CLASS I RT1Ac, Monoclonal Antibody (Cat# AAA49474)

No reviews yet
Full Name
MOUSE ANTI RAT MHC CLASS I RT1Ac:RPE
Applications
Flow Cytometry
Pricing

What are Monoclonal Antibodies?


Monoclonal antibodies are specialized laboratory-produced proteins developed for binding to specific biological antigens or other molecular targets. Since they come from a single cell (or clone), they are especially consistent and accurate in the data they are involved in producing.


This type of antibody material has been shown to be a powerful tool in finding and subsequently destroying harmful cells in an organism, such as those found in cancers or various autoimmune diseases. This makes them excellent aids in medical testing and research, which is why they are so widely used.


AAA Biotech offers a comprehensive range of high-quality monoclonal antibodies that perform effectively in various laboratory tests, including (amongst others) ELISA, western blotting, immunohistochemistry, and flow cytometry. All of the products in our catalog are thoroughly quality tested to make sure that they are reliable and will consistently perform well in your research.


What Are The Uses of Monoclonal Antibodies


Monoclonal antibodies are used in many lab tests, including (amongst others) ELISA, western blotting, immunohistochemistry, and flow cytometry.


ELISA is a test that helps detect a specific substance/analyte in a sample. It uses antibodies (often monoclonal) bound to a solid surface (such as the well of a microplate) to “capture” the substance/analyte in the sample and immobilize it so that the detection antibody component can then bind to it and produce a signal, which can then be measured.


Western blotting identifies specific proteins in a sample. The sample is first separated on a gel, and then antibodies are applied that will typically bind to the target, which will all be localized to a single band in a lane.


Immunohistochemistry helps locate specific proteins in cells or tissue samples using antibodies.


Flow cytometry looks at and sorts cells. It uses antibodies that are conjugated to reporter molecules called “fluorophores”, which, under special lights, emit light themselves, which can then be measured by a detector instrument.


How Monoclonal Antibodies Are Used as Medicine?


Please note that all of the products listed in AAA Biotech’s also known as AAA Bio or AAABio catalog are strictly for research-use only (RUO).


Monoclonal antibodies can also be used as therapeutic/medical treatments, particularly in the context of cancers. They are designed to find and bind to specific cells or proteins, helping the immune system recognize and attack the cancer. These treatments work in different ways, such as:


  • Radioimmunotherapy attaches a small amount of radioactive molecule to the antibody, so it delivers the radiation directly to the cancer cells that the antibody is specifically binding to.

  • Antibody-directed enzyme prodrug therapy uses antibodies that are specifically bound to special enzymes. These enzymes activate a harmless drug in the body and turn it into a cancer-killing drug only near the cancer cells—this helps avoid harming healthy cells.

  • Immunoliposomes are tiny “bubbles” filled with medicine/drug and coated with antibodies. They carry the drug straight to the cancer cells.


Why Buy Monoclonal Antibodies From Us?


At AAA Biotech, we provide high-performance monoclonal antibodies designed to support a wide range of research needs.


1. Validated for Versatile Applications


The antibodies in our catalog are extensively validated and compatible with multiple techniques, including (but not limited to) ELISA, flow cytometry (FC), immunocytochemistry (ICC), immunofluorescence (IF), immunohistochemistry (IHC), immunoprecipitation (IP), and western blotting (WB).


2. Wide Selection & Specialized Options


We offer antibodies for common and rare species, that are available in various conjugated forms, and also in recombinant formats. Essentially, there is almost anything one might need to meet their experimental model’s requirements.


3. High-Quality Proteins


Our proteins meet high purity standards—90% or more as confirmed by SDS-PAGE. Many are available with tags like His, Flag, GST, or MBP, and we also supply native and biologically active proteins for functional studies.


Frequently Asked Questions


1. Are your monoclonal antibodies validated for specific applications?


Yes, our antibodies are tested and validated for use in methods such as ELISA, western blot, IHC, flow cytometry, and more. Refer to specific product pages or datasheets for individual product information.


2. How do I choose the right monoclonal antibody for my application?


Review the product details directly for application validation, species reactivity, and target information. You may also contact our support team at any time for help.


3. How quickly can I receive my order?


Most orders are processed and shipped within 1–3 business days, depending on product availability and your shipping location.


Submit a Question

Please complete the form below and a representative will contact you as soon as possible.

Request more Information

Please complete the form below and a representative will contact you as soon as possible.

Request a Manual

Please complete the form below and a representative will contact you as soon as possible.

Request a Quote

Please complete the form below and a representative will contact you as soon as possible.