Loading...

Skip to main content
Call us at +1-800-604-9114 for more information about our products or contact us online Need help? +1-800-604-9114 or contact us

Filters


Clonality

Type

Reactivity

Gene Name

Isotype

Host

Application

Clone

Monoclonal Antibodies

Get accurate results in your research with our Monoclonal Antibodies, which are specially made to target exactly what you require for your research, and will produce consistent, reliable performance in lab tests.


Viewing 8250-8300 of 27647 product results


product-image-AAA72053_FCM13.png FCM/FACS (Flow Cytometry) (Flow-cytometry using the Anti-CD131 antibody BION-1 or the rabbit IgG version of BION-1 ( at a dilution of 1:100 for 1h at RT. After washing, bound antibody was detected using a goat anti-rabbit IgG AlexaFluor 488 antibody at a dilution of 1:1000 and cells analyzed using a FACSCanto flow-cytometer.)

CD131, Monoclonal Antibody (Cat# AAA72053)

No reviews yet
Full Name
Anti-CD131 [BION-1], Rabbit IgG, Kappa
Gene Names
CSF2RB; CD131; IL3RB; IL5RB; SMDP5; CDw131
Reactivity
Human
Applications
Immunohistochemistry, Western Blot, Immunoprecipitation, Functional Assay
Purity
Protein A affinity purified
Pricing
product-image-AAA36496_ICC11.gif ICC (Immunocytochemistry) (Immunostaining analysis in HeLa cells. HeLa cells were fixed with 4% paraformaldehyde and permeabilized with 0.1% Triton X-100 in PBS. The cells were immunostained with anti-HTATIP mAb. [Lot No. 3557C4a-1])

HTATIP, Monoclonal Antibody (Cat# AAA36496)

No reviews yet
Full Name
Mouse monoclonal antibody Anti-Human HTATIP
Gene Names
KAT5; TIP; ESA1; PLIP; TIP60; cPLA2; HTATIP; ZC2HC5; HTATIP1
Reactivity
Human
Applications
Immunocytochemistry, Dot Blot
Pricing

Japanese Encephalitis Virus, Monoclonal Antibody (Cat# AAA36576)

No reviews yet
Full Name
Japanese Encephalitis Virus mab
Applications
Lateral Flow
Purity
Ion Exchange.
>90% by SDS-PAGE.
Pricing
product-image-AAA71363_IHC15.jpg IHC (Immunohistochemistry) (Immunohistochemistry: Human placenta (FFPE) stained with Mouse anti- Uroplakin-2 (Cat# AAA71363) at 1:200 for 10 min @ RT. Staining of formalin-fixed tissue requires boiling tissue sections in 10 mM Citrate Buffer, pH 6.0 for 10 min followed by cooling at RT for 20 min.)

Uroplakin-2, Monoclonal Antibody (Cat# AAA71363)

No reviews yet
Full Name
Mouse Anti Uroplakin-2 Monoclonal Antibody
Gene Names
UPK2; UP2; UPII
Reactivity
Human
Applications
Western Blot, Immunohistochemistry
Purity
The mouse IgG is purified by Protein A-Affinity Chromatography according to Isotyping
Pricing

vitronectin, Monoclonal Antibody (Cat# AAA37653)

No reviews yet
Full Name
Mouse monoclonal to human vitronectin
Gene Names
VTN; VN; V75; VNT
Reactivity
Human
Applications
Western Blot
Purity
IgG fraction
Pricing

FITC labeled Anti Human 85 kDa LRP, Clone 8B8, Monoclonal Antibody (Cat# AAA37671)

No reviews yet
Full Name
FITC labeled Anti Human 85 kDa LRP, Clone 8B8
Gene Names
LRP1; APR; LRP; A2MR; CD91; APOER; LRP1A; TGFBR5; IGFBP3R
Applications
Western Blot, Immunofluorescence, Immunohistochemistry, Flow Cytometry
Purity
IgG fraction
Pricing

DYKDDDDK peptide, Monoclonal Antibody (Cat# AAA37933)

No reviews yet
Full Name
Mouse Anti DYKDDDDK peptide
Applications
Immunoprecipitation, Western Blot
Pricing

Heat Shock Protein 105, Monoclonal Antibody (Cat# AAA37954)

No reviews yet
Full Name
Mouse Anti Human Heat Shock Protein 105
Gene Names
HSPH1; HSP105; HSP105A; HSP105B; NY-CO-25
Applications
Flow Cytometry, Immunofluorescence, Immunocytochemistry, Western Blot
Purity
HSPH1 antibody was purified from mouse ascitic fluids by protein-G affinity chromatography.
Pricing
product-image-AAA78273_FCM11.jpg FCM/FACS (Flow Cytometry) (Fig-3: Intra cellular flow analysis of IkB alpha in Jurkat using 0.5 ug/10^6 cells of antibody (Clone: ABM10F4). Green represents isotype control; red represents anti-IkB alpha antibody. Goat anti-mouse PE conjugate was used as secondary antibody.)

IkB alpha, Monoclonal Antibody (Cat# AAA78273)

No reviews yet
Full Name
Monoclonal Antibody to IkB alpha (Clone: ABM10F4)
Gene Names
NFKBIA; IKBA; MAD-3; NFKBI
Reactivity
Human
Applications
Flow Cytometry, Western Blot
Purity
Purified
Protein G Chromatography
Pricing
product-image-AAA78289_FCM13.jpg FCM/FACS (Flow Cytometry) (Fig-2: Intra cellular flow analysis of TSLP in HepG2 using 0.5 ug/10^6 cells of antibody TSLP (Clone: ABM27H9). Green represents isotype control; red represents anti-TSLP antibody. Goat anti-mouse PE conjugate was used as secondary antibody.)

TSLP, Monoclonal Antibody (Cat# AAA78289)

No reviews yet
Full Name
Monoclonal Antibody to TSLP (Clone: ABM27H9)
Gene Names
CRLF2; CRL2; TSLPR; CRLF2Y
Reactivity
Mouse, Human
Applications
Flow Cytometry, Western Blot
Purity
Purified
Protein G Chromatography
Pricing
product-image-AAA78417_FCM13.jpg FCM/FACS (Flow Cytometry) (Figure-2: Intra Cellular flow analysis of ROR Gamma in PBMC (Lymphocyte gated) using 0.5 ug/10^6 cells of Anti-ROR Gamma. Green represents isotype control; red represents Anti- ROR Gamma antibody. Goat Anti-mouse PE conjugate was used as the secondary antibody.)

ROR Gamma, Monoclonal Antibody (Cat# AAA78417)

No reviews yet
Full Name
Monoclonal Antibody to ROR Gamma (Clone: ABM21H2)
Gene Names
RORC; TOR; RORG; RZRG; IMD42; NR1F3; RZR-GAMMA
Reactivity
Human
Applications
Flow Cytometry, Western Blot
Purity
Purified
Protein G Purification
Pricing
product-image-AAA78434_WB11.jpg WB (Western Blot) (Figure-3: Western blot analysis of MSI-2. Anti Msi-2 (Clone: ABM5A48) was used at 0.5 ug/ml in Recombinant and 2 ug/ml in SKBR3, MCF7 Lysates.)

MSi-2, Monoclonal Antibody (Cat# AAA78434)

No reviews yet
Full Name
Monoclonal Antibody to MSi-2 (Clone: ABM5A48)
Gene Names
MSI2; MSI2H
Reactivity
Human
Applications
Flow Cytometry, Western Blot
Purity
Purified
Protein G Chromatography
Pricing
product-image-AAA78228_AD13.jpg Application Data (Cell surface staining of THP1 cells. Green represents Isotype control. Red represents Anti-TSLP Receptor (AAA78228). 0.5 µg antibodies were used. Goat anti- mouse PE was used as secondary antibody.)

TSLP Receptor, Monoclonal Antibody (Cat# AAA78228)

No reviews yet
Full Name
TSLP Receptor Monoclonal Antibody
Gene Names
CRLF2; CRL2; TSLPR; CRLF2Y
Reactivity
Human
Applications
Western Blot, Flow Cytometry
Purity
Protein G Chromatography
Pricing
product-image-AAA76607_IHC15.jpg IHC (Immunohistochemistry) (HeLa cell cultures were stained with AAA76607 antibody (green). The antibody stains spindle poles and mitotic spindles at anaphase (top 2 panels) and concentrates on the midbody between the two daughter cells during telophase (bottom 2 panels). It is therefore a useful marker of dividing cells. Cells were counterstained with our chicken polyclonal antibody to vimentin in red. Blue is a DNA stain.)

Aurora A/B, Monoclonal Antibody (Cat# AAA76607)

No reviews yet
Full Name
Aurora A/B Kinase
Gene Names
AURKA; AIK; ARK1; AURA; BTAK; STK6; STK7; STK15; PPP1R47
Reactivity
Rat, Cow, Pig, Horse, Human, Mouse
Applications
Immunofluorescence, Immunohistochemistry, Western Blot, Immunocytochemistry
Purity
Affinity Purified
Pricing
product-image-AAA76626_WB13.jpg WB (Western Blot) (Western blot analysis of different tissue lysates using mouse mAb to alpha-internexin dilution 1:10,000 in green: [1] protein standard, [2] rat brain, [3] rat spinal cord, [4] mouse brain, [5] mouse spinal cord, [6] pig spinal cord and [7] cow spinal cord.)

alpha-Internexin/NF 66, Monoclonal Antibody (Cat# AAA76626)

No reviews yet
Full Name
alpha-Internexin/NF 66
Gene Names
INA; NEF5; NF-66; TXBP-1
Reactivity
Human, Mouse, Rat, Cat
Applications
Immunofluorescence, Immunohistochemistry, Western Blot, Immunocytochemistry
Pricing

Influenza A haemagglutinin H1, Monoclonal Antibody (Cat# AAA78070)

No reviews yet
Full Name
Monoclonal mouse anti-influenza A haemagglutinin H1
Purity
Chromatography on protein A Sepharose
Pricing
product-image-AAA48166_IF13.jpg IF (Immunofluorescence) (ICC/IF analysis of ACTA2 in HeLa cells line, stained with DAPI (Blue) for nucleus staining and monoclonal anti-human ACTA2 antibody (1:100) with goat anti-mouse IgG-Alexa fluor 488 conjugate (Green).)

ACTA2, Monoclonal Antibody (Cat# AAA48166)

No reviews yet
Full Name
ACTA2 antibody
Gene Names
ACTA2; ACTSA
Reactivity
Human
Applications
Immunofluorescence, Immunocytochemistry, Flow Cytometry, Western Blot
Purity
By protein-A affinity chromatography
Pricing

Bt Cry1Ab/AC, Monoclonal Antibody (Cat# AAA106588)

No reviews yet
Full Name
Bt Cry1Ab/AC antibody
Applications
Lateral Flow, Western Blot
Pricing
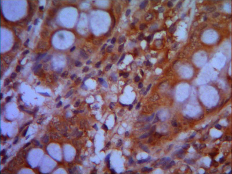
product-image-AAA106938_IHC11.jpg IHC (Immunohistochemisry) (Immunohistochemical analysis of SLC2A6 protein in paraffin embedded Human endometrium tissue using SLC2A6 antibody)

SLC2A6, Monoclonal Antibody (Cat# AAA106938)

No reviews yet
Full Name
SLC2A6 antibody
Gene Names
Slc2a6; Glut6; Glut9; A330096C23; F630103L12Rik
Applications
Western Blot, Immunohistochemistry, Immunofluorescence
Purity
SLC2A6 antibody was purified by affinity chromatography.
Pricing
product-image-AAA107374_IF11.jpg IF (Immunofluorescence) (Immunofluorescent staining of COS7 cells transiently transfected with recombinant TMOD1 protein using TMOD1 antibody)

TMOD1, Monoclonal Antibody (Cat# AAA107374)

No reviews yet
Full Name
TMOD1 antibody
Gene Names
TMOD1; TMOD; ETMOD; D9S57E
Applications
Western Blot, Immunofluorescence, Flow Cytometry
Purity
TMOD1 antibody was purified by affinity chromatography.
Pricing
product-image-AAA107157_WB13.jpg WB (Western Blot) (Western Blot analysis of HEK293T cell lysates (5 ug) transfected with either recombinant PSMD2 protein (Right) or empty vector (Left) detected with PSMD2 antibody)

PSMD2, Monoclonal Antibody (Cat# AAA107157)

No reviews yet
Full Name
PSMD2 antibody
Gene Names
PSMD2; S2; P97; RPN1; TRAP2
Applications
Western Blot, Immunofluorescence
Purity
PSMD2 antibody was purified by affinity chromatography.
Pricing
product-image-AAA106341_IF11.jpg IF (Immunofluorescence) (Immunofluorescent staining of COS7 cells transiently transfected with recombinant BECN1 protein using BECN1 antibody)

BECN1, Monoclonal Antibody (Cat# AAA106341)

No reviews yet
Full Name
BECN1 antibody
Gene Names
BECN1; ATG6; VPS30; beclin1
Applications
Western Blot, Immunohistochemistry, Immunofluorescence, Flow Cytometry
Purity
BECN1 antibody was purified by affinity chromatography.
Pricing
product-image-AAA106346_IHC13.jpg IHC (Immunohiostchemistry) (Immunohistochemical analysis of ACY1 protein in paraffin embedded Human liver tissue using ACY1 antibody)

ACY1, Monoclonal Antibody (Cat# AAA106346)

No reviews yet
Full Name
ACY1 antibody
Gene Names
ACY1; ACY-1; ACY1D; HEL-S-5
Applications
Western Blot, Immunohistochemistry, Flow Cytometry
Purity
ACY1 antibody was purified by affinity chromatography.
Pricing
product-image-AAA106487_IF13.jpg IF (Immunofluorescence) (Immunofluorescent staining of COS7 cells transiently transfected with recombinant HP protein using HP antibody)

HP, Monoclonal Antibody (Cat# AAA106487)

No reviews yet
Full Name
HP antibody
Gene Names
HP; BP; HPA1S; HP2ALPHA2
Applications
Western Blot, Immunofluorescence, Flow Cytometry
Purity
HP antibody was purified by affinity chromatography.
Pricing
product-image-AAA106258_IF11.jpg IF (Immunofluorescence) (Immunofluorescent staining of COS7 cells transiently transfected with recombinant BECN1 protein using BECN1 antibody)

BECN1, Monoclonal Antibody (Cat# AAA106258)

No reviews yet
Full Name
BECN1 antibody
Gene Names
BECN1; ATG6; VPS30; beclin1
Applications
Western Blot, Immunohistochemistry, Immunofluorescence, Flow Cytometry
Purity
BECN1 antibody was purified by affinity chromatography.
Pricing
product-image-AAA106230_IF13.jpg IF (Immunofluorescence) (Immunofluorescent staining of COS7 cells transiently transfected with recombinant BEST3 protein using BEST3 antibody)

BEST3, Monoclonal Antibody (Cat# AAA106230)

No reviews yet
Full Name
BEST3 antibody
Gene Names
BEST3; VMD2L3
Applications
Western Blot, Immunofluorescence, Flow Cytometry
Purity
BEST3 antibody was purified by affinity chromatography.
Pricing
product-image-AAA108239_WB13.jpg WB (Western Blot) (Western Blot analysis of HEK293T cell lysates (5 ug) transfected with either recombinant IGJ protein (Right) or empty vector (Left) detected with IGJ antibody)

IGJ, Monoclonal Antibody (Cat# AAA108239)

No reviews yet
Full Name
IGJ antibody
Gene Names
JCHAIN; IGJ; JCH; IGCJ
Applications
Western Blot, Immunohistochemistry
Purity
IGJ antibody was purified by affinity chromatography.
Pricing
product-image-AAA108069_IF11.jpg IF (Immunofluorescence) (Immunofluorescent staining of COS7 cells transiently transfected with recombinant PRKCE protein using PRKCE antibody)

PRKCE, Monoclonal Antibody (Cat# AAA108069)

No reviews yet
Full Name
PRKCE antibody
Gene Names
PRKCE; PKCE; nPKC-epsilon
Applications
Western Blot, Immunofluorescence
Purity
PRKCE antibody was purified by affinity chromatography.
Pricing
product-image-AAA47045_WB11.jpg WB (Western Blot) (Western blot analysis of beta Actin expression in (1)HeLa cell lysate; (2)Human fetal kidney lysate; (3) NIH/3T3 cell lysate; (4) PC-12 cell lysate (AAA47045).Electrophoresis was performed on a 5-20% SDS-PAGE gel at 70V (Stacking gel) / 90V (Resolving gel) for 2-3 hours. The sample well of each lane was loaded with 50ug of sample under reducing conditions.After Electrophoresis, proteins were transferred to a Nitrocellulose membrane at 150mA for 50-90 minutes. Blocked the membrane with 5% Non-fat Milk/ TBS for 1.5 hour at RT. The membrane was incubated with rabbit anti-ACTB monoclonal antibody overnight at 4 degree C, then washed with TBS-0.1%Tween 3 times with 5 minutes each and probed with a goat anti-rabbit IgG-HRP secondary antibody at a dilution of 1:10000 for 1.5 hour at RT. The signal is developed using an Enhanced Chemiluminescent detection (ECL) kit with Tanon 5200 system. A specific band was detected for ACTB)

beta Actin, Monoclonal Antibody (Cat# AAA47045)

No reviews yet
Full Name
Anti-beta Actin Rabbit Monoclonal Antibody
Gene Names
ACTB; BRWS1; PS1TP5BP1
Reactivity
Human, Mouse, Rat
Applications
Western Blot, Immunocytochemistry, Immunohistochemistry, Immunofluorescence
Purity
Affinity-chromatography
Pricing
product-image-AAA47047_WB13.jpg WB (Western Blot) (Western blot analysis of NUP98 expression in HeLa cell lysate (AAA47047).Electrophoresis was performed on a 5-20% SDS-PAGE gel at 70V (Stacking gel) / 90V (Resolving gel) for 2-3 hours. The sample well of each lane was loaded with 50ug of sample under reducing conditions.After Electrophoresis, proteins were transferred to a Nitrocellulose membrane at 150mA for 50-90 minutes. Blocked the membrane with 5% Non-fat Milk/ TBS for 1.5 hour at RT. The membrane was incubated with rabbit anti-NUP98 monoclonal antibody overnight at 4 degree C, then washed with TBS-0.1%Tween 3 times with 5 minutes each and probed with a goat anti-rabbit IgG-HRP secondary antibody at a dilution of 1:10000 for 1.5 hour at RT. The signal is developed using an Enhanced Chemiluminescent detection (ECL) kit with Tanon 5200 system. A specific band was detected for NUP98)

NUP98, Monoclonal Antibody (Cat# AAA47047)

No reviews yet
Full Name
Anti-NUP98 Rabbit Monoclonal Antibody
Gene Names
NUP98; ADIR2; NUP96; NUP196
Reactivity
Human
Applications
Western Blot, Immunocytochemistry, Immunohistochemistry, Immunofluorescence
Purity
Affinity-chromatography
Pricing
product-image-AAA47074_WB13.jpg WB (Western Blot) (Western blot analysis of myosin light chain kinase expression in HUVEC cell lysate (AAA47074).Electrophoresis was performed on a 5-20% SDS-PAGE gel at 70V (Stacking gel) / 90V (Resolving gel) for 2-3 hours. The sample well of each lane was loaded with 50ug of sample under reducing conditions.After Electrophoresis, proteins were transferred to a Nitrocellulose membrane at 150mA for 50-90 minutes. Blocked the membrane with 5% Non-fat Milk/ TBS for 1.5 hour at RT. The membrane was incubated with rabbit anti-MYLK monoclonal antibody overnight at 4 degree C, then washed with TBS-0.1%Tween 3 times with 5 minutes each and probed with a goat anti-rabbit IgG-HRP secondary antibody at a dilution of 1:10000 for 1.5 hour at RT. The signal is developed using an Enhanced Chemiluminescent detection (ECL) kit with Tanon 5200 system. A specific band was detected for MYLK)

Myosin light chain kinase, Monoclonal Antibody (Cat# AAA47074)

No reviews yet
Full Name
Anti-Myosin light chain kinase Rabbit Monoclonal Antibody
Gene Names
MYLK; KRP; AAT7; MLCK; MLCK1; MYLK1; smMLCK; MLCK108; MLCK210; MSTP083
Reactivity
Human, Mouse, Rat
Applications
Western Blot, Immunocytochemistry, Immunohistochemistry, Immunofluorescence, Flow Cytometry
Purity
Affinity-chromatography
Pricing
product-image-AAA104138_WB13.png WB (Western Blot) (Western Blot analysis of Human, Mouse, Rat Brain showing detection of 14 kDa Alpha Synuclein protein using Mouse Anti-Alpha Synuclein Monoclonal Antibody, Clone 10H7. Lane 1: Molecular Weight Ladder (MW). Lane 2: Mouse Brain cell lysate. Lane 3: Rat brain cell lysate. Lane 4: Human brain cell lysate. Load: 15 ug. Block: 5% Skim Milk in 1X TBST. Primary Antibody: Mouse Anti-Alpha Synuclein Monoclonal Antibody at 1:1000 for 2 hours at RT. Secondary Antibody: Goat Anti-Mouse HRP:IgG at 1:3000 for 1 hour at RT. Color Development: ECL solution (Super Signal West Pico) for 5 min in RT. Predicted/Observed Size: 14 kDa. Other Band(s): ~40 kDa (trimer).)

Alpha Synuclein, Monoclonal Antibody (Cat# AAA104138)

No reviews yet
Full Name
Alpha Synuclein Antibody, Clone 10H7
Gene Names
Snca; NACP; alphaSYN; alpha-Syn
Reactivity
Human; Mouse; Rat
Applications
Immunofluorescence, Immunocytochemistry, Dot Blot, Western Blot
Purity
Protein G Purified
Pricing
product-image-AAA104161_ICC11.png ICC (Immunocytochemistry) (Immunocytochemistry/Immunofluorescence analysis using Mouse Anti-Alpha Synuclein Monoclonal Antibody, Clone 4F1. Tissue: Primary hippocampal neurons treated with active Alpha Synuclein Protein Aggregate (SPR-322) at 4 ug/ml to induce fibrils. Species: Rat. Fixation: 4% paraformaldehyde. Primary Antibody: Mouse Anti-Alpha Synuclein Monoclonal Antibody at 1:200 for 24 hours at 4 degree C. Secondary Antibody: Goat Anti-Mouse Alexa Fluor 488 at 1:700 for 1 hour at RT. Counterstain: Guinea Pig Anti-NeuN (red) neuronal marker (Donkey Anti-Guinea Pig Alexa Fluor 647 1:700); DAPI (blue) nuclear stain at 1:6000, 1:3000 for 60 min at RT, 5 min at RT. Magnification: 20X. (A) DAPI (blue) nuclear stain. (B) NeuN neuronal marker (red). (C) Alpha Synuclein Antibody. (D) Composite.)

Alpha Synuclein, Monoclonal Antibody (Cat# AAA104161)

No reviews yet
Full Name
Alpha Synuclein Antibody, Clone 4F1: FITC
Gene Names
Snca; NACP; alphaSYN; alpha-Syn
Reactivity
Human; Mouse; Rat
Applications
Immunofluorescence, Immunocytochemistry, Immunohistochemistry, Dot Blot, Western Blot
Purity
Protein G Purified
Pricing
product-image-AAA46976_IHC13.jpg IHC (Immunohiostchemistry) (Immunohistochemical analysis of paraffin-embedded human lung cancer using SGK1 antibody.)

SGK1/Sgk, Monoclonal Antibody (Cat# AAA46976)

No reviews yet
Full Name
Anti-SGK1/Sgk Rabbit Monoclonal Antibody
Gene Names
SGK1; SGK
Reactivity
Human, Mouse, Rat
Applications
Western Blot, Immunohistochemistry, Immunoprecipitation, Flow Cytometry
Purity
Affinity-chromatography
Pricing
product-image-AAA47006_WB13.jpg WB (Western Blot) (Western blot analysis of extracts of M6PR expression in Jurkat cell lysate (AAA47006).Electrophoresis was performed on a 5-20% SDS-PAGE gel at 70V (Stacking gel) / 90V (Resolving gel) for 2-3 hours. The sample well of each lane was loaded with 50ug of sample under reducing conditions.After Electrophoresis, proteins were transferred to a Nitrocellulose membrane at 150mA for 50-90 minutes. Blocked the membrane with 5% Non-fat Milk/ TBS for 1.5 hour at RT. The membrane was incubated with rabbit anti-IGF2R monoclonal antibody overnight at 4 degree C, then washed with TBS-0.1%Tween 3 times with 5 minutes each and probed with a goat anti-rabbit IgG-HRP secondary antibody at a dilution of 1:10000 for 1.5 hour at RT. The signal is developed using an Enhanced Chemiluminescent detection (ECL) kit with Tanon 5200 system. A specific band was detected for IGF2R)

M6PR, Monoclonal Antibody (Cat# AAA47006)

No reviews yet
Full Name
Anti-M6PR Rabbit Monoclonal Antibody
Gene Names
IGF2R; MPR1; MPRI; CD222; CIMPR; M6P-R; MPR300; CI-M6PR; MPR 300; M6P/IGF2R
Reactivity
Human, Mouse, Rat
Applications
Western Blot, Immunocytochemistry, Immunohistochemistry, Immunofluorescence, Immunoprecipitation, Flow Cytometry
Purity
Affinity-chromatography
Pricing

DMPO Nitrone Adduct, Monoclonal Antibody (Cat# AAA47752)

No reviews yet
Full Name
DMPO Nitrone Adduct Monoclonal Antibody
Reactivity
General
Applications
Immunocytochemistry, Western Blot
Purity
Purified by Protein G affinity chromatography.
Pricing
product-image-AAA102694_WB13.jpg WB (Western Blot) (human plasma tissue were subjected to SDS PAGE followed by western blot with AAA102694 (APOA1 Antibody) at dilution of 1:2000)

APOA1, Monoclonal Antibody (Cat# AAA102694)

No reviews yet
Full Name
APOA1 Mouse Monoclonal
Gene Names
APOA1; apo(a)
Reactivity
Human
Applications
Immunofluorescence, Immunohistochemistry, Western Blot
Purity
> 95% as determined by SDS-PAGE
Protein A+G purification
Pricing

RESPIRATORY SYNCYTIAL VIRUS FUSION PROTEIN, Monoclonal Antibody (Cat# AAA49416)

No reviews yet
Full Name
MOUSE ANTI RESPIRATORY SYNCYTIAL VIRUS FUSION PROTEIN
Applications
Western Blot, Immunoprecipitation, Immunofluorescence, Flow Cytometry, Immuno Electron Microscopy
Purity
>90% IgG
Pricing

Trichomonas vaginalis, Monoclonal Antibody (Cat# AAA57965)

No reviews yet
Full Name
MAb to Trichomonas vaginalis
Applications
Immunofluorescence
Purity
>90% pure. Protein A chromatography
Pricing
product-image-AAA59547_IHC8.jpg IHC (Immunohistochemistry) (Immunohistochemistry FFPE-Anti CD34 [QBEND/10] on Human Skin)

CD34, Monoclonal Antibody (Cat# AAA59547)

No reviews yet
Full Name
CD34 Monoclonal Antibody [QBEND-10]
Reactivity
Human, Cynomolgus Monkey, Rhesus monkey
Applications
Western Blot, Immunohistochemistry, Immunoprecipitation, Immunohistochemistry, Flow Cytometry
Purity
Protein A affinity chromatography
Pricing

Feline Leukemia, Monoclonal Antibody (Cat# AAA58482)

No reviews yet
Full Name
Feline Leukemia Virus
Applications
Lateral Flow, Immunofluorescence
Purity
Purity: >90%
Purification: purified from ascites fluid or culture medium by protein A chromatography or sequential differential precipitations
Pricing
product-image-AAA309532_IHC11.jpg IHC (Immunohistochemisry) (Immunohistochemical analysis of paraffin-embedded Human Placenta Tissue using HP-1g Mouse mAb diluted at 1:200)

HP-1gamma, Monoclonal Antibody (Cat# AAA309532)

No reviews yet
Full Name
HP-1gamma Mouse Monoclonal Antibody(3B9)
Reactivity
Human, Mouse, Rat
Applications
Immunohistochemistry, Western Blot
Pricing
product-image-AAA310245_IHC13.jpg IHC (Immunohiostchemistry) (Immunohistochemical analysis of paraffin-embedded Human Breast Carcinoma Tissue using Acetyl P53 (K382) Mouse mAb diluted at 1:200.)

Acetyl P53, Monoclonal Antibody (Cat# AAA310245)

No reviews yet
Full Name
Acetyl P53 (K382) Mouse Monoclonal Antibody (1G7)
Reactivity
Human, Mouse, Rat
Applications
Immunohistochemistry
Pricing
product-image-AAA310996_IHC13.jpg IHC (Immunohiostchemistry) (Immunohistochemical analysis of paraffin-embedded mouse testis tissue using anti- Phospho-Histone H2A.X (S139) antibody. Counter stained with hematoxylin.)

Histone H2A.X, Monoclonal Antibody (Cat# AAA310996)

No reviews yet
Full Name
Histone H2A.X (Phospho-S139) Antibody
Gene Names
H2AFX; H2AX; H2A.X; H2A/X
Reactivity
Human, Mouse, Rat
Applications
Immunofluorescence, Immunocytochemistry, Immunohistochemistry, Western Blot
Purity
ProA affinity purified
Pricing
product-image-AAA312261_FACS8.jpg FCM/FACS (Flow Cytometry) (Flow cytometric analysis of A431 cells with p63 antibody at 1/50 dilution (black) compared with an unlabelled control (cells without incubation with primary antibody; red). Alexa Fluor 488-conjugated goat anti rabbit IgG was used as the secondary antibody.)

p63, Monoclonal Antibody (Cat# AAA312261)

No reviews yet
Full Name
p63 Antibody
Gene Names
TP63; AIS; KET; LMS; NBP; RHS; p40; p51; p63; EEC3; OFC8; p73H; p73L; SHFM4; TP53L; TP73L; p53CP; TP53CP; B(p51A); B(p51B)
Reactivity
Human, Mouse, Rat
Applications
Flow Cytometry, Immunohistochemistry, Immunofluorescence, Immunocytochemistry, Western Blot
Purity
ProA affinity purified
Pricing
product-image-AAA312193_FCM10.jpg FCM/FACS (Flow Cytometry) (Flow cytometric analysis of Jurkat cells with CD3 epsilon antibody at 1/50 dilution (blue) compared with an unlabelled control (cells without incubation with primary antibody; red). Alexa Fluor 488-conjugated goat anti rabbit IgG was used as the secondary antibody)

CD3 epsilon, Monoclonal Antibody (Cat# AAA312193)

No reviews yet
Full Name
CD3 epsilon Antibody
Gene Names
CD3E; T3E; TCRE; IMD18
Reactivity
Human
Applications
Flow Cytometry, Immunoprecipitation, Immunohistochemistry, Western Blot
Purity
ProA affinity purified
Pricing
product-image-AAA312026_FCM10.jpg FCM/FACS (Flow Cytometry) (Flow cytometric analysis of Hela cells with FBXL10 antibody at 1/100 dilution (green) compared with an unlabelled control (cells without incubation with primary antibody; red).)

FBXL10, Monoclonal Antibody (Cat# AAA312026)

No reviews yet
Full Name
FBXL10 Antibody
Gene Names
KDM2B; CXXC2; Fbl10; PCCX2; FBXL10; JHDM1B
Reactivity
Human
Applications
Flow Cytometry, Western Blot
Purity
ProA affinity purified
Pricing
product-image-AAA312473_IHC11.jpg IHC (Immunohistochemisry) (Immunohistochemical analysis of paraffin-embedded mouse kidney tissue using anti-LY6A antibody. Counter stained with hematoxylin.)

LY6A, Monoclonal Antibody (Cat# AAA312473)

No reviews yet
Full Name
LY6A Antibody
Gene Names
Ly6a; TAP; Sca1; Sca-1; Ly-6A.2; Ly-6A/E; Ly-6E.1
Reactivity
Mouse
Applications
Immunohistochemistry, Western Blot
Purity
ProA affinity purified
Pricing
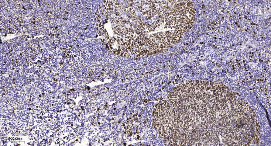
product-image-AAA314252_IHC11.jpg IHC (Immunohistochemisry) (Immunohistochemistry of FMRP in paraffin-embedded Human lung cancer tissue using FMRP Rabbit mAb at dilution 1/50)

FMRP, Monoclonal Antibody (Cat# AAA314252)

No reviews yet
Full Name
FMRP Rabbit mAb
Gene Names
FMR1; POF; FMRP; POF1; FRAXA
Reactivity
Human, Mouse, Rat
Applications
Immunofluorescence, Immunocytochemistry, Immunohistochemistry, Western Blot
Purity
Affinity Purified
Pricing
product-image-AAA314330_IHC13.jpg IHC (Immunohiostchemistry) (Immunohistochemistry of CDA in paraffin-embedded Human colon cancer tissue using CDA Rabbit mAb at dilution 1/50)

CDA, Monoclonal Antibody (Cat# AAA314330)

No reviews yet
Full Name
CDA Rabbit mAb
Gene Names
CDA; CDD
Reactivity
Human
Applications
Immunohistochemistry, Western Blot
Purity
Affinity Purified
Pricing

What are Monoclonal Antibodies?


Monoclonal antibodies are specialized laboratory-produced proteins developed for binding to specific biological antigens or other molecular targets. Since they come from a single cell (or clone), they are especially consistent and accurate in the data they are involved in producing.


This type of antibody material has been shown to be a powerful tool in finding and subsequently destroying harmful cells in an organism, such as those found in cancers or various autoimmune diseases. This makes them excellent aids in medical testing and research, which is why they are so widely used.


AAA Biotech offers a comprehensive range of high-quality monoclonal antibodies that perform effectively in various laboratory tests, including (amongst others) ELISA, western blotting, immunohistochemistry, and flow cytometry. All of the products in our catalog are thoroughly quality tested to make sure that they are reliable and will consistently perform well in your research.


What Are The Uses of Monoclonal Antibodies


Monoclonal antibodies are used in many lab tests, including (amongst others) ELISA, western blotting, immunohistochemistry, and flow cytometry.


ELISA is a test that helps detect a specific substance/analyte in a sample. It uses antibodies (often monoclonal) bound to a solid surface (such as the well of a microplate) to “capture” the substance/analyte in the sample and immobilize it so that the detection antibody component can then bind to it and produce a signal, which can then be measured.


Western blotting identifies specific proteins in a sample. The sample is first separated on a gel, and then antibodies are applied that will typically bind to the target, which will all be localized to a single band in a lane.


Immunohistochemistry helps locate specific proteins in cells or tissue samples using antibodies.


Flow cytometry looks at and sorts cells. It uses antibodies that are conjugated to reporter molecules called “fluorophores”, which, under special lights, emit light themselves, which can then be measured by a detector instrument.


How Monoclonal Antibodies Are Used as Medicine?


Please note that all of the products listed in AAA Biotech’s also known as AAA Bio or AAABio catalog are strictly for research-use only (RUO).


Monoclonal antibodies can also be used as therapeutic/medical treatments, particularly in the context of cancers. They are designed to find and bind to specific cells or proteins, helping the immune system recognize and attack the cancer. These treatments work in different ways, such as:


  • Radioimmunotherapy attaches a small amount of radioactive molecule to the antibody, so it delivers the radiation directly to the cancer cells that the antibody is specifically binding to.

  • Antibody-directed enzyme prodrug therapy uses antibodies that are specifically bound to special enzymes. These enzymes activate a harmless drug in the body and turn it into a cancer-killing drug only near the cancer cells—this helps avoid harming healthy cells.

  • Immunoliposomes are tiny “bubbles” filled with medicine/drug and coated with antibodies. They carry the drug straight to the cancer cells.


Why Buy Monoclonal Antibodies From Us?


At AAA Biotech, we provide high-performance monoclonal antibodies designed to support a wide range of research needs.


1. Validated for Versatile Applications


The antibodies in our catalog are extensively validated and compatible with multiple techniques, including (but not limited to) ELISA, flow cytometry (FC), immunocytochemistry (ICC), immunofluorescence (IF), immunohistochemistry (IHC), immunoprecipitation (IP), and western blotting (WB).


2. Wide Selection & Specialized Options


We offer antibodies for common and rare species, that are available in various conjugated forms, and also in recombinant formats. Essentially, there is almost anything one might need to meet their experimental model’s requirements.


3. High-Quality Proteins


Our proteins meet high purity standards—90% or more as confirmed by SDS-PAGE. Many are available with tags like His, Flag, GST, or MBP, and we also supply native and biologically active proteins for functional studies.


Frequently Asked Questions


1. Are your monoclonal antibodies validated for specific applications?


Yes, our antibodies are tested and validated for use in methods such as ELISA, western blot, IHC, flow cytometry, and more. Refer to specific product pages or datasheets for individual product information.


2. How do I choose the right monoclonal antibody for my application?


Review the product details directly for application validation, species reactivity, and target information. You may also contact our support team at any time for help.


3. How quickly can I receive my order?


Most orders are processed and shipped within 1–3 business days, depending on product availability and your shipping location.


Submit a Question

Please complete the form below and a representative will contact you as soon as possible.

Request more Information

Please complete the form below and a representative will contact you as soon as possible.

Request a Manual

Please complete the form below and a representative will contact you as soon as possible.

Request a Quote

Please complete the form below and a representative will contact you as soon as possible.