Humanized anti-Human Ado-trastuzumab emtansine Monoclonal Antibody | anti-HER2 antibody
Ado-trastuzumab emtansine Biosimilar - Research Grade
Gene Names
ERBB2; NEU; NGL; HER2; TKR1; CD340; HER-2; MLN 19; HER-2/neu
Reactivity
Human
Applications
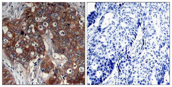
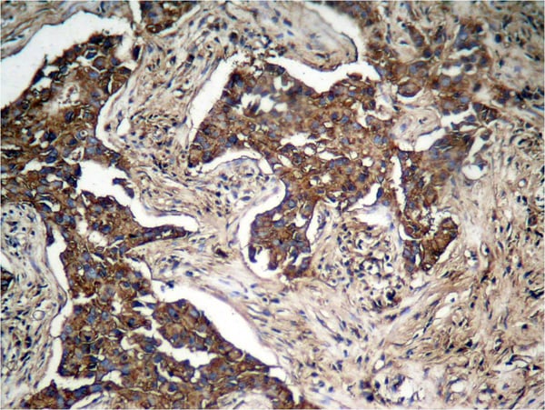
Functional Assay
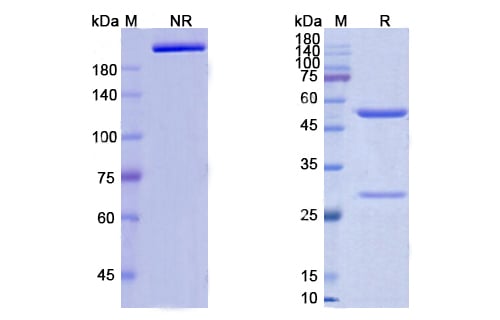
Purity
>95% by SDS-PAGE and HPLCThis monoclonal antibody was purified using multi-step affinity chromatography methods such as Protein A or G depending on the species and isotype.
Synonyms
Ado-trastuzumab emtansine, Antibody; Ado-trastuzumab emtansine Biosimilar - Research Grade; Receptor tyrosine-protein kinase erbB-2; MLN 19; HER2; HER2/neu; anti-HER2 antibody
Host
Humanized
Reactivity
Human
Clonality
Monoclonal
Isotype
IgG1
Specificity
Detects human HER2
Purity/Purification
>95% by SDS-PAGE and HPLC
This monoclonal antibody was purified using multi-step affinity chromatography methods such as Protein A or G depending on the species and isotype.
This monoclonal antibody was purified using multi-step affinity chromatography methods such as Protein A or G depending on the species and isotype.
Form/Format
Sterile, colorless liquid without preservatives, containing polysorbate 20, sodium succinate, sucrose, pH 5.0. BSA and Azide free.
Concentration
1.0-5.0mg/ml (varies by lot)
Applicable Applications for anti-HER2 antibody
FA (Functional Assay)
Endotoxin
< 0.75 EU/mg as determined by the LAL method
Isotype Control
Bulk Human IgG1 Isotype Control (IB1) [ ]
Preparation and Storage
This antibody is stable for at least 4 weeks when stored at 2-8°C. For long term storage, aliquot in working volumes without diluting and store at – 20°C or -80°C. Avoid repeated freeze thaw cycles.
Related Product Information for anti-HER2 antibody
Ado-trastuzumab emtansine is a HER2-targeted antibody-drug conjugate which contains the humanized anti-HER2 IgG1, trastuzumab, covalently linked to the microtubule inhibitory drug DM1 via the stable thioether linker MCC. Trastuzumab is produced by Chinese hamster ovary cells, and DM1-MCC are produced by chemical synthesis. Ado-trastuzumab emtansine contains an average of 3.5 DM1 molecules per antibody.
Product Categories/Family for anti-HER2 antibody
NCBI and Uniprot Product Information
NCBI GI #
NCBI GeneID
NCBI Accession #
NCBI GenBank Nucleotide #
NCBI Official Full Name
receptor tyrosine-protein kinase erbB-2 isoform b
NCBI Official Synonym Full Names
v-erb-b2 erythroblastic leukemia viral oncogene homolog 2, neuro/glioblastoma derived oncogene homolog (avian)
NCBI Official Symbol
ERBB2
NCBI Official Synonym Symbols
NEU; NGL; HER2; TKR1; CD340; HER-2; MLN 19; HER-2/neu
NCBI Protein Information
receptor tyrosine-protein kinase erbB-2; herstatin; p185erbB2; proto-oncogene Neu; c-erb B2/neu protein; proto-oncogene c-ErbB-2; metastatic lymph node gene 19 protein; tyrosine kinase-type cell surface receptor HER2; neuroblastoma/glioblastoma derived on
UniProt Protein Name
Receptor tyrosine-protein kinase erbB-2
UniProt Gene Name
ERBB2
UniProt Synonym Gene Names
HER2; MLN19; NEU; NGL; MLN 19
UniProt Entry Name
ERBB2_HUMAN
Customer Reviews
Loading reviews...
Share Your Experience
Similar Products
Product Notes
The HER2 erbb2 (Catalog #AAA197048) is an Antibody produced from Humanized and is intended for research purposes only. The product is available for immediate purchase. The Ado-trastuzumab emtansine Biosimilar - Research Grade reacts with Human and may cross-react with other species as described in the data sheet. AAA Biotech's Ado-trastuzumab emtansine can be used in a range of immunoassay formats including, but not limited to, FA (Functional Assay). Researchers should empirically determine the suitability of the HER2 erbb2 for an application not listed in the data sheet. Researchers commonly develop new applications and it is an integral, important part of the investigative research process. It is sometimes possible for the material contained within the vial of "Ado-trastuzumab emtansine, Monoclonal Antibody" to become dispersed throughout the inside of the vial, particularly around the seal of said vial, during shipment and storage. We always suggest centrifuging these vials to consolidate all of the liquid away from the lid and to the bottom of the vial prior to opening. Please be advised that certain products may require dry ice for shipping and that, if this is the case, an additional dry ice fee may also be required.Precautions
All products in the AAA Biotech catalog are strictly for research-use only, and are absolutely not suitable for use in any sort of medical, therapeutic, prophylactic, in-vivo, or diagnostic capacity. By purchasing a product from AAA Biotech, you are explicitly certifying that said products will be properly tested and used in line with industry standard. AAA Biotech and its authorized distribution partners reserve the right to refuse to fulfill any order if we have any indication that a purchaser may be intending to use a product outside of our accepted criteria.Disclaimer
Though we do strive to guarantee the information represented in this datasheet, AAA Biotech cannot be held responsible for any oversights or imprecisions. AAA Biotech reserves the right to adjust any aspect of this datasheet at any time and without notice. It is the responsibility of the customer to inform AAA Biotech of any product performance issues observed or experienced within 30 days of receipt of said product. To see additional details on this or any of our other policies, please see our Terms & Conditions page.Item has been added to Shopping Cart
If you are ready to order, navigate to Shopping Cart and get ready to checkout.
