Mouse alpha-Actinin Monoclonal Antibody | anti-ACTN2 antibody
Anti-alpha-Actinin antibody (monoclonal)
IHC (Immunohistochemisry)
(Figure 3. IHC analysis of Alpha-Actinin using anti- Alpha-Actinin antibody (AAA44887).Alpha-Actinin was detected in paraffin-embedded section of human mammary cancer tissues. Heat mediated antigen retrieval was performed in citrate buffer (pH6, epitope retrieval solution) for 20 mins. The tissue section was blocked with 10% goat serum. The tissue section was then incubated with 1.5ug/ml mouse anti- Alpha-Actinin Antibody (AAA44887) overnight at 4 degree C. Biotinylated goat anti-mouse IgG was used as secondary antibody and incubated for 30 minutes at 37 degree C. The tissue section was developed using Strepavidin-Biotin-Complex (SABC) with DAB as the chromogen.)
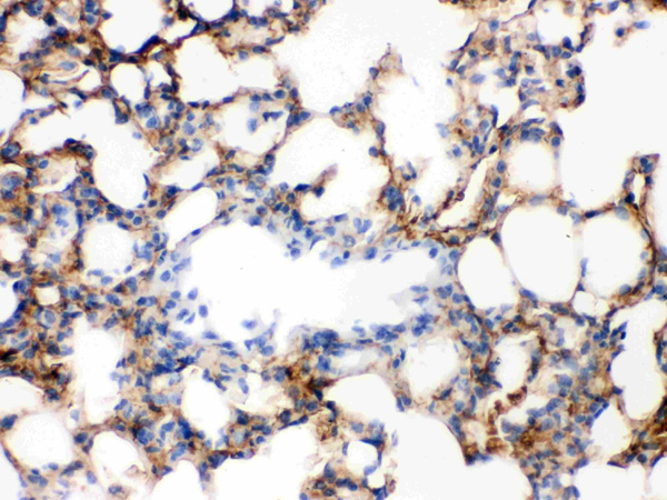
IHC (Immunohiostchemistry)
(Figure 2. IHC analysis of Alpha-Actinin using anti- Alpha-Actinin antibody (AAA44887).Alpha-Actinin was detected in paraffin-embedded section of mouse lung tissues. Heat mediated antigen retrieval was performed in citrate buffer (pH6, epitope retrieval solution) for 20 mins. The tissue section was blocked with 10% goat serum. The tissue section was then incubated with 1.5ug/ml mouse anti- Alpha-Actinin Antibody (AAA44887) overnight at 4 degree C. Biotinylated goat anti-mouse IgG was used as secondary antibody and incubated for 30 minutes at 37 degree C. The tissue section was developed using Strepavidin-Biotin-Complex (SABC) with DAB as the chromogen.)
WB (Western Blot)
(Figure 1. Western blot analysis of Alpha-Actinin using anti- Alpha-Actinin antibody (AAA44887).Electrophoresis was performed on a 5-20% SDS-PAGE gel at 70V (Stacking gel) / 90V (Resolving gel) for 2-3 hours. The sample well of each lane was loaded with 50ug of sample under reducing conditions.Lane 1: rat cardiac muscle tissue lysates,Lane 2: rat skeletal muscle tissue lysates,Lane 3: mouse cardiac muscle tissue lysates,Lane 4: mouse skeletal muscle tissue lysates,Lane 5: human placenta tissue lysate.After Electrophoresis, proteins were transferred to a Nitrocellulose membrane at 150mA for 50-90 minutes. Blocked the membrane with 5% Non-fat Milk/ TBS for 1.5 hour at RT. The membrane was incubated with mouse anti- Alpha-Actinin antigen affinity purified monoclonal antibody at 0.5ug/mL overnight at 4 degree C, then washed with TBS-0.1%Tween 3 times with 5 minutes each and probed with a Biotin Conjugated goat anti-mouse IgG secondary antibody at a dilution of 1:10000 for 1.5 hour at RT. The signal is developed using an Enhanced Chemiluminescent detection (ECL) kit with Tanon 5200 system. A specific band was detected for Alpha-Actinin at approximately 103KD. The expected band size for Alpha-Actinin is at 103KD.)
Background: Alpha-actinin was initially isolated from rabbit skeletal muscle as a factor that induces the gelation of F-actin and promotes the superprecipitation of actomyosin. Alpha actinins are actin-binding proteins that carry out different purposes in different different cell types. In myofibrillar cells, alpha-actinin constitutes a major component of Z-discs in striated muscle and of the functionally analogous dense bodies and dense plaques in smooth muscle. Alpha-actinin(alpha A) shares structural homology with spectrin and dystrophin.
NCBI and Uniprot Product Information
Customer Reviews
Loading reviews...
Share Your Experience
Similar Products
Product Notes
The ACTN2 actn2 (Catalog #AAA44887) is an Antibody produced from Mouse and is intended for research purposes only. The product is available for immediate purchase. The Anti-alpha-Actinin antibody (monoclonal) reacts with Human, Mouse, Rat, Rabbit and may cross-react with other species as described in the data sheet. AAA Biotech's alpha-Actinin can be used in a range of immunoassay formats including, but not limited to, IHC (Immunohistochemistry), IHC (Immunohistochemistry), WB (Western Blot). Researchers should empirically determine the suitability of the ACTN2 actn2 for an application not listed in the data sheet. Researchers commonly develop new applications and it is an integral, important part of the investigative research process. It is sometimes possible for the material contained within the vial of "alpha-Actinin, Monoclonal Antibody" to become dispersed throughout the inside of the vial, particularly around the seal of said vial, during shipment and storage. We always suggest centrifuging these vials to consolidate all of the liquid away from the lid and to the bottom of the vial prior to opening. Please be advised that certain products may require dry ice for shipping and that, if this is the case, an additional dry ice fee may also be required.Precautions
All products in the AAA Biotech catalog are strictly for research-use only, and are absolutely not suitable for use in any sort of medical, therapeutic, prophylactic, in-vivo, or diagnostic capacity. By purchasing a product from AAA Biotech, you are explicitly certifying that said products will be properly tested and used in line with industry standard. AAA Biotech and its authorized distribution partners reserve the right to refuse to fulfill any order if we have any indication that a purchaser may be intending to use a product outside of our accepted criteria.Disclaimer
Though we do strive to guarantee the information represented in this datasheet, AAA Biotech cannot be held responsible for any oversights or imprecisions. AAA Biotech reserves the right to adjust any aspect of this datasheet at any time and without notice. It is the responsibility of the customer to inform AAA Biotech of any product performance issues observed or experienced within 30 days of receipt of said product. To see additional details on this or any of our other policies, please see our Terms & Conditions page.Item has been added to Shopping Cart
If you are ready to order, navigate to Shopping Cart and get ready to checkout.
