Guinea Pig Skeletal muscle Actinin-alpha ELISA Kit | Sm Actinin-alpha elisa kit
Guinea pig Skeletal muscle Actinin-alpha ELISA Kit
Reactivity
Guinea Pig
Synonyms
Skeletal muscle Actinin-alpha; N/A; Guinea pig Skeletal muscle Actinin-alpha ELISA Kit; Guinea pig Skeletal muscle Actinin-a ELISA Kit; Sm Actinin-alpha elisa kit
Reactivity
Guinea Pig
Samples
Serum, plasma, Cell Culture Supernatants, body fluid and tissue homogenate
Assay Type
Competitive
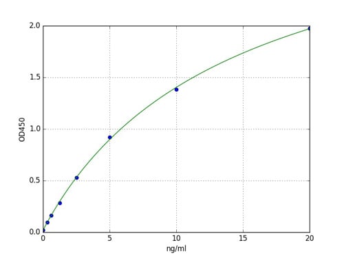
Detection Range
0.5-10ug/mL
Sensitivity
0.1ug/mL
Preparation and Storage
Store all reagents at 2-8 degree C.
Related Product Information for Sm Actinin-alpha elisa kit
Intended Uses: This Sm Actinin-alpha ELISA kit is intended Laboratory for research use only.The Stop Solution changes the color from blue to yellow and the intensity of the color is measured at 450 nm using a spectrophotometer. In order to measure the concentration of Sm Actinin-á in the sample, this Sm Actinin-alpha ELISA Kit includes a set of calibration standards. The calibration standards are assayed at the same time as the samples and allow the operator to produce a standard curve of Optical Density versus Sm Actinin-alpha concentration. The concentration of Sm Actinin-alpha in the samples is then determined by comparing the O.D. of the samples to the standard curve.
Principle of the Assay: This Sm Actinin-alpha enzyme linked immunosorbent assay applies a technique called a quantitative sandwich immunoassay. The microtiter plate provided in this kit has been pre-coated with a monoclonal antibody specific for Sm Actinin-alpha. Standards or samples are then added to the microtiter plate wells and Sm Actinin-á if present, will bind to the antibody pre-coated wells. In order to quantitatively determine the amount of Sm Actinin-alpha present in the sample, a standardized preparation of horseradish peroxidase (HRP)-conjugated polyclonal antibody, specific for Sm Actinin-alpha are added to each well to "sandwich" the Sm Actinin-alpha immobilized on the plate. The microtiter plate undergoes incubation, and then the wells are thoroughly washed to remove all unbound components. Next, A and B substrate solution is added to each well. The enzyme (HRP) and substrate are allowed to react over a short incubation period.Only those wells that contain Sm Actinin-alpha and enzyme-conjugated antibody will exhibit a change in colour. The enzyme-substrate reaction is terminated by the addition of a sulphuric acid solution and the colour change is measured spectrophotometrically at a wavelength of 450 nm.
Principle of the Assay: This Sm Actinin-alpha enzyme linked immunosorbent assay applies a technique called a quantitative sandwich immunoassay. The microtiter plate provided in this kit has been pre-coated with a monoclonal antibody specific for Sm Actinin-alpha. Standards or samples are then added to the microtiter plate wells and Sm Actinin-á if present, will bind to the antibody pre-coated wells. In order to quantitatively determine the amount of Sm Actinin-alpha present in the sample, a standardized preparation of horseradish peroxidase (HRP)-conjugated polyclonal antibody, specific for Sm Actinin-alpha are added to each well to "sandwich" the Sm Actinin-alpha immobilized on the plate. The microtiter plate undergoes incubation, and then the wells are thoroughly washed to remove all unbound components. Next, A and B substrate solution is added to each well. The enzyme (HRP) and substrate are allowed to react over a short incubation period.Only those wells that contain Sm Actinin-alpha and enzyme-conjugated antibody will exhibit a change in colour. The enzyme-substrate reaction is terminated by the addition of a sulphuric acid solution and the colour change is measured spectrophotometrically at a wavelength of 450 nm.
Customer Reviews
Loading reviews...
Share Your Experience
Similar Products
Product Notes
The Guinea Pig Sm Actinin-alpha (Catalog #AAA87406) is an ELISA Kit and is intended for research purposes only. The product is available for immediate purchase. The AAA87406 ELISA Kit recognizes Guinea Pig Sm Actinin-alpha. It is sometimes possible for the material contained within the vial of "Skeletal muscle Actinin-alpha, ELISA Kit" to become dispersed throughout the inside of the vial, particularly around the seal of said vial, during shipment and storage. We always suggest centrifuging these vials to consolidate all of the liquid away from the lid and to the bottom of the vial prior to opening. Please be advised that certain products may require dry ice for shipping and that, if this is the case, an additional dry ice fee may also be required.Precautions
All products in the AAA Biotech catalog are strictly for research-use only, and are absolutely not suitable for use in any sort of medical, therapeutic, prophylactic, in-vivo, or diagnostic capacity. By purchasing a product from AAA Biotech, you are explicitly certifying that said products will be properly tested and used in line with industry standard. AAA Biotech and its authorized distribution partners reserve the right to refuse to fulfill any order if we have any indication that a purchaser may be intending to use a product outside of our accepted criteria.Disclaimer
Though we do strive to guarantee the information represented in this datasheet, AAA Biotech cannot be held responsible for any oversights or imprecisions. AAA Biotech reserves the right to adjust any aspect of this datasheet at any time and without notice. It is the responsibility of the customer to inform AAA Biotech of any product performance issues observed or experienced within 30 days of receipt of said product. To see additional details on this or any of our other policies, please see our Terms & Conditions page.Item has been added to Shopping Cart
If you are ready to order, navigate to Shopping Cart and get ready to checkout.
