Mouse AMPKalpha1 Monoclonal Antibody | anti-AMPKalpha1 antibody
AMPKalpha1 mouse Monoclonal Antibody (9G3)
Gene Names
PRKAA1; AMPK; AMPKa1
Reactivity
Human, Mouse, Rat
Applications
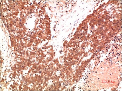
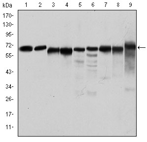
Immunohistochemistry, Western Blot
Synonyms
AMPKalpha1, Antibody; AMPKalpha1 mouse Monoclonal Antibody (9G3); PRKAA1; anti-AMPKalpha1 antibody
Host
Mouse
Reactivity
Human, Mouse, Rat
Clonality
Monoclonal
Clone Number
9G3
Applicable Applications for anti-AMPKalpha1 antibody
IHC (Immunohistochemistry), WB (Western Blot)
Preparation and Storage
Maintain refrigerated at 2-8 degree C for up to 2 weeks. For long term storage store at -20 degree C in small aliquots to prevent freeze-thaw cycles.
Related Product Information for anti-AMPKalpha1 antibody
Catalytic subunit of AMP-activated protein kinase (AMPK), an energy sensor protein kinase that plays a key role in regulating cellular energy metabolism. In response to reduction of intracellular ATP levels, AMPK activates energy-producing pathways and inhibits energy-consuming processes: inhibits protein, carbohydrate and lipid biosynthesis, as well as cell growth and proliferation. AMPK acts via direct phosphorylation of metabolic enzymes, and by longer-term effects via phosphorylation of transcription regulators. Also acts as a regulator of cellular polarity by remodeling the actin cytoskeleton; probably by indirectly activating myosin. Regulates lipid synthesis by phosphorylating and inactivating lipid metabolic enzymes such as ACACA, ACACB, GYS1, HMGCR and LIPE; regulates fatty acid and cholesterol synthesis by phosphorylating acetyl-CoA carboxylase (ACACA and ACACB) and hormone-sensitive lipase (LIPE) enzymes, respectively. Regulates insulin-signaling and glycolysis by phosphorylating IRS1, PFKFB2 and PFKFB3. AMPK stimulates glucose uptake in muscle by increasing the translocation of the glucose transporter SLC2A4/GLUT4 to the plasma membrane, possibly by mediating phosphorylation of TBC1D4/AS160. Regulates transcription and chromatin structure by phosphorylating transcription regulators involved in energy metabolism such as CRTC2/TORC2, FOXO3, histone H2B, HDAC5, MEF2C, MLXIPL/ChREBP, EP300, HNF4A, p53/TP53, SREBF1, SREBF2 and PPARGC1A. Acts as a key regulator of glucose homeostasis in liver by phosphorylating CRTC2/TORC2, leading to CRTC2/TORC2 sequestration in the cytoplasm. In response to stress, phosphorylates 'Ser-36' of histone H2B (H2BS36ph), leading to promote transcription. Acts as a key regulator of cell growth and proliferation by phosphorylating TSC2, RPTOR and ATG1/ULK1: in response to nutrient limitation, negatively regulates the mTORC1 complex by phosphorylating RPTOR component of the mTORC1 complex and by phosphorylating and activating TSC2. In response to nutrient limitation, promotes autophagy by phosphorylating and activating ATG1/ULK1. In that process also activates WDR45 (PubMed:28561066). In response to nutrient limitation, phosphorylates transcription factor FOXO3 promoting FOXO3 mitochondrial import (By similarity). AMPK also acts as a regulator of circadian rhythm by mediating phosphorylation of CRY1, leading to destabilize it. May regulate the Wnt signaling pathway by phosphorylating CTNNB1, leading to stabilize it. Also has tau-protein kinase activity: in response to amyloid beta A4 protein (APP) exposure, activated by CAMKK2, leading to phosphorylation of MAPT/TAU; however the relevance of such data remains unclear in vivo. Also phosphorylates CFTR, EEF2K, KLC1, NOS3 and SLC12A1.
NCBI and Uniprot Product Information
NCBI GI #
NCBI GeneID
Molecular Weight
64,009 Da
NCBI Official Full Name
PRKAA1 protein
NCBI Official Synonym Full Names
protein kinase, AMP-activated, alpha 1 catalytic subunit
NCBI Official Symbol
PRKAA1
NCBI Official Synonym Symbols
AMPK; AMPKa1
NCBI Protein Information
5'-AMP-activated protein kinase catalytic subunit alpha-1; ACACA kinase; AMPK alpha 1; HMGCR kinase; AMPK subunit alpha-1; tau-protein kinase PRKAA1; acetyl-CoA carboxylase kinase; AMP -activate kinase alpha 1 subunit; hydroxymethylglutaryl-CoA reductase
UniProt Protein Name
5'-AMP-activated protein kinase catalytic subunit alpha-1
UniProt Gene Name
PRKAA1
UniProt Synonym Gene Names
AMPK1; AMPK subunit alpha-1; ACACA kinase; HMGCR kinase
UniProt Entry Name
AAPK1_HUMAN
Customer Reviews
Loading reviews...
Share Your Experience
Similar Products
Product Notes
The AMPKalpha1 prkaa1 (Catalog #AAA293809) is an Antibody produced from Mouse and is intended for research purposes only. The product is available for immediate purchase. The AMPKalpha1 mouse Monoclonal Antibody (9G3) reacts with Human, Mouse, Rat and may cross-react with other species as described in the data sheet. AAA Biotech's AMPKalpha1 can be used in a range of immunoassay formats including, but not limited to, IHC (Immunohistochemistry), WB (Western Blot). Researchers should empirically determine the suitability of the AMPKalpha1 prkaa1 for an application not listed in the data sheet. Researchers commonly develop new applications and it is an integral, important part of the investigative research process. It is sometimes possible for the material contained within the vial of "AMPKalpha1, Monoclonal Antibody" to become dispersed throughout the inside of the vial, particularly around the seal of said vial, during shipment and storage. We always suggest centrifuging these vials to consolidate all of the liquid away from the lid and to the bottom of the vial prior to opening. Please be advised that certain products may require dry ice for shipping and that, if this is the case, an additional dry ice fee may also be required.Precautions
All products in the AAA Biotech catalog are strictly for research-use only, and are absolutely not suitable for use in any sort of medical, therapeutic, prophylactic, in-vivo, or diagnostic capacity. By purchasing a product from AAA Biotech, you are explicitly certifying that said products will be properly tested and used in line with industry standard. AAA Biotech and its authorized distribution partners reserve the right to refuse to fulfill any order if we have any indication that a purchaser may be intending to use a product outside of our accepted criteria.Disclaimer
Though we do strive to guarantee the information represented in this datasheet, AAA Biotech cannot be held responsible for any oversights or imprecisions. AAA Biotech reserves the right to adjust any aspect of this datasheet at any time and without notice. It is the responsibility of the customer to inform AAA Biotech of any product performance issues observed or experienced within 30 days of receipt of said product. To see additional details on this or any of our other policies, please see our Terms & Conditions page.Item has been added to Shopping Cart
If you are ready to order, navigate to Shopping Cart and get ready to checkout.
