Mouse ATRX/RAD54 Monoclonal Antibody | anti-ATRX antibody
ATRX/RAD54 (Alpha Thalassemia Mental Retardation)
Gene Names
ATRX; JMS; XH2; XNP; MRX52; RAD54; RAD54L; ZNF-HX
Reactivity
Human. Others not known.
Applications
ELISA
Synonyms
ATRX/RAD54, Antibody; ATRX/RAD54 (Alpha Thalassemia Mental Retardation); Alpha thalassemia/mental retardation syndrome X linked homolog; ATP-dependent helicase ATRX; ATR2; ATRX; DNA-dependent ATPase and helicase; MRXHF1; RAD54; RAD54L; SFM1; SHS; Transcriptional regulator ATRX; X-linked helicase II; X-linked nuclear protein; XH2; XNP; Znf-HX; anti-ATRX antibody
Host
Mouse
Reactivity
Human. Others not known.
Clonality
Monoclonal
Isotype
IgG1, kappa
Clone Number
23c
Specificity
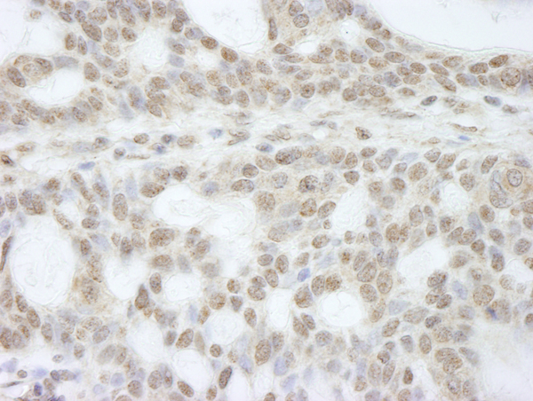
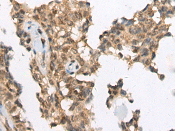
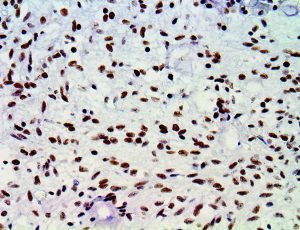
ATRX is a member of the Snf2 family of helicase/ATPases, which contribute to the remodeling of the nucelosome structure in an ATP-dependent manner, and facilitate the initiation of transcription and replication. Structurally, ATRX contains a PHD zinc finger motif. ATRX is regulated throughout the cell cycle where it is differentially distributed within the nucleus. During interphase, ATRX predominately associates with the nuclear matrix, while during mitosis, ATRX localizes with condensed chromatin. At the onset of M phase, phosphorylation rapidly induces this redistribution of ATRX to the short arms of human acrocentric chromosomes, where it then specifically complexes with heterochromatin protein 1 ? to mediate chromosomal segregation. Mutations in the ATRX gene correlate with a high incidence of severe X-linked form of syndromal mental retardation associated with ? thalassemia or ATRX syndrome
Form/Format
200ug/ml of Ab purified from Bioreactor Concentrate by Protein A/G. Prepared in 10mM PBS with 0.05% BSA & 0.05% azide. Also available WITHOUT BSA & azide at 1.0mg/ml.
Sequence Length
2492
Applicable Applications for anti-ATRX antibody
ELISA
Immunogen
Recombinant full-length human ATRX protein
Cellular Localization
Nuclear
Hu-chromosome Location
Xq21.1
Positive Control
Raji, HeLa or A431 Cells. Pancreas, Adrenal, Ovary, Kidney, Prostate or Stomach.
Preparation and Storage
Antibody with azide - store at 2 to 8 degree C.
Antibody without azide - store at -20 to -80 degree C.
Antibody is stable for 24 months. Non-hazardous. No MSDS required.
Antibody without azide - store at -20 to -80 degree C.
Antibody is stable for 24 months. Non-hazardous. No MSDS required.
References
McDowell et al. 1999. Proc Natl Acad Sci U S A. 96(24):13983-8. Lukashchuk et al. 2008. J Virol. 82(24):12543-54.
NCBI and Uniprot Product Information
NCBI GI #
NCBI GeneID
NCBI Accession #
NCBI GenBank Nucleotide #
UniProt Accession #
Molecular Weight
280kDa
NCBI Official Full Name
transcriptional regulator ATRX isoform 1
NCBI Official Synonym Full Names
ATRX, chromatin remodeler
NCBI Official Symbol
ATRX
NCBI Official Synonym Symbols
JMS; XH2; XNP; MRX52; RAD54; RAD54L; ZNF-HX
NCBI Protein Information
transcriptional regulator ATRX
UniProt Protein Name
Transcriptional regulator ATRX
UniProt Gene Name
ATRX
UniProt Synonym Gene Names
RAD54L; XH2; XNP
Customer Reviews
Loading reviews...
Share Your Experience
Similar Products
Product Notes
The ATRX atrx (Catalog #AAA214487) is an Antibody produced from Mouse and is intended for research purposes only. The product is available for immediate purchase. The ATRX/RAD54 (Alpha Thalassemia Mental Retardation) reacts with Human. Others not known. and may cross-react with other species as described in the data sheet. AAA Biotech's ATRX/RAD54 can be used in a range of immunoassay formats including, but not limited to, ELISA. Researchers should empirically determine the suitability of the ATRX atrx for an application not listed in the data sheet. Researchers commonly develop new applications and it is an integral, important part of the investigative research process. It is sometimes possible for the material contained within the vial of "ATRX/RAD54, Monoclonal Antibody" to become dispersed throughout the inside of the vial, particularly around the seal of said vial, during shipment and storage. We always suggest centrifuging these vials to consolidate all of the liquid away from the lid and to the bottom of the vial prior to opening. Please be advised that certain products may require dry ice for shipping and that, if this is the case, an additional dry ice fee may also be required.Precautions
All products in the AAA Biotech catalog are strictly for research-use only, and are absolutely not suitable for use in any sort of medical, therapeutic, prophylactic, in-vivo, or diagnostic capacity. By purchasing a product from AAA Biotech, you are explicitly certifying that said products will be properly tested and used in line with industry standard. AAA Biotech and its authorized distribution partners reserve the right to refuse to fulfill any order if we have any indication that a purchaser may be intending to use a product outside of our accepted criteria.Disclaimer
Though we do strive to guarantee the information represented in this datasheet, AAA Biotech cannot be held responsible for any oversights or imprecisions. AAA Biotech reserves the right to adjust any aspect of this datasheet at any time and without notice. It is the responsibility of the customer to inform AAA Biotech of any product performance issues observed or experienced within 30 days of receipt of said product. To see additional details on this or any of our other policies, please see our Terms & Conditions page.Item has been added to Shopping Cart
If you are ready to order, navigate to Shopping Cart and get ready to checkout.
