Mouse anti-Human Bcl-X Monoclonal Antibody | anti-Bcl-X antibody
Bcl-X (Apoptosis Marker)
Gene Names
BCL2L1; BCLX; BCL2L; Bcl-X; PPP1R52; BCL-XL/S
Reactivity
Human
Applications
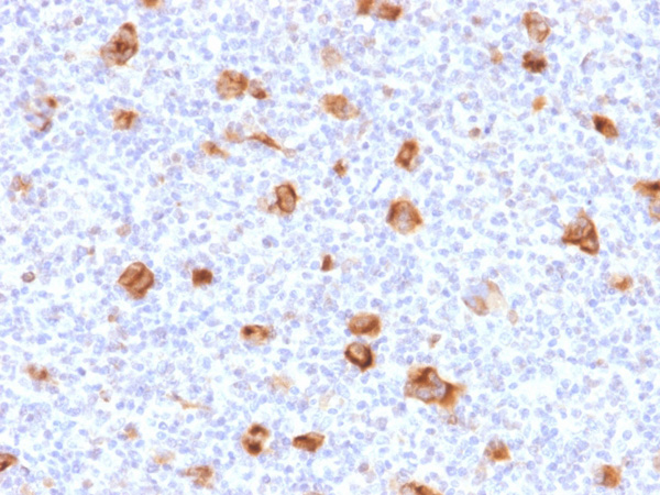
Immunohistochemistry
Purity
Purified Ab with BSA and Azide at 200ug/ml OR Purified Ab WITHOUT BSA and Azide at 1.0mg/ml
Synonyms
Bcl-X, Antibody; Bcl-X (Apoptosis Marker); Apoptosis regulator Bcl-X; B cell lymphoma 2 like; BCL XL/S; Bcl-2-like protein 1; Bcl2-L-1; BCL2L; Bcl2l1; BCLX; BclXL; BclXs; Protein phosphatase 1 regulatory subunit 52 (PPP1R52); anti-Bcl-X antibody
Host
Mouse
Reactivity
Human
Clonality
Monoclonal
Isotype
IgG
Clone Number
SPM519
Specificity
Recognizes a protein of 27kDa, identified as the Bcl-X protein. This MAb shows no cross-reaction with Bcl-2 or Bax protein. Bcl-X has two isoforms, Bcl-XL (long), a 241 amino acid protein which suppresses cell death. And Bcl-XS (short), a 178 amino acid protein lacking a 63 amino acid domain which functions as a dominant inhibitor of Bcl-2.
Purity/Purification
Purified Ab with BSA and Azide at 200ug/ml OR Purified Ab WITHOUT BSA and Azide at 1.0mg/ml
Form/Format
200ug/ml of Ab Purified from Bioreactor Concentrate by Protein A/G. Prepared in 10mM PBS with 0.05% BSA & 0.05% azide. Also available WITHOUT BSA & azide at 1.0mg/ml.
Sequence Length
170
Applicable Applications for anti-Bcl-X antibody
IHC (Immunohistochemistry)
Positive Control
Jurkat, K562, HL-60 or HeLa cells. Reed-Sternberg cells in Hodgkin's lymphoma.
Immunogen
Recombinant human BCL2L1 protein fragment (around aa 1-135) (exact sequence is proprietary)
Cellular Localization
Cytoplasmic and cell/nuclear membrane
Hu-chromosome Location
20q11.21
Preparation and Storage
Antibody with azide: store at 2 to 8 degree C.
Antibody without azide: store at -20 to -80 degree C.
Antibody is stable for 24 months. Non-hazardous. No MSDS required.
Antibody without azide: store at -20 to -80 degree C.
Antibody is stable for 24 months. Non-hazardous. No MSDS required.
References
1. Wolter KG, et. al. Journal of Cell Biology, 1997, 139(5):1281-92. 2. Hsu YT, et. al. Journal of Biological Chemistry, 1997, 272(21):13829-34.
NCBI and Uniprot Product Information
NCBI GI #
NCBI GeneID
NCBI Accession #
NCBI GenBank Nucleotide #
UniProt Accession #
Molecular Weight
27kDa
NCBI Official Full Name
bcl-2-like protein 1 isoform Bcl-X(S)
NCBI Official Synonym Full Names
BCL2 like 1
NCBI Official Symbol
BCL2L1
NCBI Official Synonym Symbols
BCLX; BCL2L; Bcl-X; PPP1R52; BCL-XL/S
NCBI Protein Information
bcl-2-like protein 1
UniProt Protein Name
Bcl-2-like protein 1
UniProt Gene Name
BCL2L1
UniProt Synonym Gene Names
BCL2L; BCLX; Bcl2-L-1
UniProt Entry Name
B2CL1_HUMAN
Customer Reviews
Loading reviews...
Share Your Experience
Similar Products
Product Notes
The Bcl-X bcl2l1 (Catalog #AAA215183) is an Antibody produced from Mouse and is intended for research purposes only. The product is available for immediate purchase. The Bcl-X (Apoptosis Marker) reacts with Human and may cross-react with other species as described in the data sheet. AAA Biotech's Bcl-X can be used in a range of immunoassay formats including, but not limited to, IHC (Immunohistochemistry). Researchers should empirically determine the suitability of the Bcl-X bcl2l1 for an application not listed in the data sheet. Researchers commonly develop new applications and it is an integral, important part of the investigative research process. It is sometimes possible for the material contained within the vial of "Bcl-X, Monoclonal Antibody" to become dispersed throughout the inside of the vial, particularly around the seal of said vial, during shipment and storage. We always suggest centrifuging these vials to consolidate all of the liquid away from the lid and to the bottom of the vial prior to opening. Please be advised that certain products may require dry ice for shipping and that, if this is the case, an additional dry ice fee may also be required.Precautions
All products in the AAA Biotech catalog are strictly for research-use only, and are absolutely not suitable for use in any sort of medical, therapeutic, prophylactic, in-vivo, or diagnostic capacity. By purchasing a product from AAA Biotech, you are explicitly certifying that said products will be properly tested and used in line with industry standard. AAA Biotech and its authorized distribution partners reserve the right to refuse to fulfill any order if we have any indication that a purchaser may be intending to use a product outside of our accepted criteria.Disclaimer
Though we do strive to guarantee the information represented in this datasheet, AAA Biotech cannot be held responsible for any oversights or imprecisions. AAA Biotech reserves the right to adjust any aspect of this datasheet at any time and without notice. It is the responsibility of the customer to inform AAA Biotech of any product performance issues observed or experienced within 30 days of receipt of said product. To see additional details on this or any of our other policies, please see our Terms & Conditions page.Item has been added to Shopping Cart
If you are ready to order, navigate to Shopping Cart and get ready to checkout.
