Host
Mouse
Reactivity
Human, Rat, Mouse
Clonality
Monoclonal
Isotype
IgG1
Clone Number
56C6
Form/Format
Lyophilized tissue culture supernatant containing 15mM NaN3. Reconstitute with 1.0 ml of sterile distilled water.
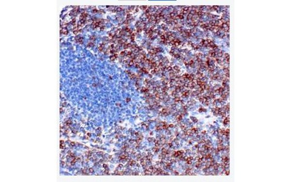
Applicable Applications for anti-CD10 antibody
IHC (Immunohistochemistry)
Biological Significance
CD10, also known as Common Acute Lymphocytic Leukemia Antigen (CALLA), is a cell surface enzyme with neutral metalloendopeptidase activity which inactivates a variety of biologically active peptides. CD10 is expressed on the cells of lymphoblastic, Burkitt?s, and follicular germinal center lymphomas, and on cells from patients with chronic myelocytic leukemia (CML). It is also expressed on the surface of normal early lymphoid progenitor cells, immature B cells within adult bone marrow and germinal center B cells within lymphoid tissue. CD10 is also present on breast myoepithelial cells, bile canaliculi, fibroblasts, with especially high expression on the brush border of kidney and gut epithelial cells.
Cross-Reactivity
Human, Rat and Mouse
Biohazard Information
This product contains sodium azide as preservative. Although the amount of sodium azide is very small appropriate care must be taken when handling.
Immunogen
CD10 antibody was raised in mouse using recombinant external domain of CD10 protein. as the immunogen.
Preparation and Storage
Store at 4 degree C.
Related Product Information for anti-CD10 antibody
Mouse monoclonal CD10 antibody
Product Categories/Family for anti-CD10 antibody
Customer Reviews
Loading reviews...
Share Your Experience
Similar Products
Product Notes
The CD10 (Catalog #AAA74404) is an Antibody produced from Mouse and is intended for research purposes only. The product is available for immediate purchase. The CD10 antibody reacts with Human, Rat, Mouse and may cross-react with other species as described in the data sheet. AAA Biotech's CD10 can be used in a range of immunoassay formats including, but not limited to, IHC (Immunohistochemistry). Researchers should empirically determine the suitability of the CD10 for an application not listed in the data sheet. Researchers commonly develop new applications and it is an integral, important part of the investigative research process. It is sometimes possible for the material contained within the vial of "CD10, Monoclonal Antibody" to become dispersed throughout the inside of the vial, particularly around the seal of said vial, during shipment and storage. We always suggest centrifuging these vials to consolidate all of the liquid away from the lid and to the bottom of the vial prior to opening. Please be advised that certain products may require dry ice for shipping and that, if this is the case, an additional dry ice fee may also be required.Precautions
All products in the AAA Biotech catalog are strictly for research-use only, and are absolutely not suitable for use in any sort of medical, therapeutic, prophylactic, in-vivo, or diagnostic capacity. By purchasing a product from AAA Biotech, you are explicitly certifying that said products will be properly tested and used in line with industry standard. AAA Biotech and its authorized distribution partners reserve the right to refuse to fulfill any order if we have any indication that a purchaser may be intending to use a product outside of our accepted criteria.Disclaimer
Though we do strive to guarantee the information represented in this datasheet, AAA Biotech cannot be held responsible for any oversights or imprecisions. AAA Biotech reserves the right to adjust any aspect of this datasheet at any time and without notice. It is the responsibility of the customer to inform AAA Biotech of any product performance issues observed or experienced within 30 days of receipt of said product. To see additional details on this or any of our other policies, please see our Terms & Conditions page.Item has been added to Shopping Cart
If you are ready to order, navigate to Shopping Cart and get ready to checkout.
