Rabbit anti-Human CD103/Integrin alpha E beta7 Monoclonal Antibody | anti-ITGAE antibody
CD103/Integrin alpha E beta7 (T-Cell Lymphoma Hairy Cell Leukemia Marker)
Gene Names
ITGAE; CD103; HUMINAE
Reactivity
Human
Applications
Immunohistochemistry
Purity
Purified Ab with BSA and Azide at 200ug/ml or Purified Ab with BSA and Azide at 200ug/ml or Purified Ab WITHOUT BSA and Azide at 1.0mg/ml
Synonyms
CD103/Integrin alpha E beta7, Antibody; CD103/Integrin alpha E beta7 (T-Cell Lymphoma Hairy Cell Leukemia Marker); CD103; Human mucosal lymphocyte antigen 1 (HML1 antigen); Integrin alpha E heavy chain; Integrin alpha E light chain; Integrin alpha E; epithelial-associated; Integrin alpha E1; Integrin alpha-IEL (intestinal intraepithelial lymphocytes); Integrin alpha M290; Integrin alpha-E heavy chain; Integrin; alpha E (ITGAE); anti-ITGAE antibody
Host
Rabbit
Reactivity
Human
Clonality
Monoclonal
Isotype
IgG
Clone Number
ITGAE/3904R
Specificity
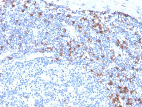
This MAb recognizes a protein of 150kDa, identified as CD103, which is the alpha-E integrin subunit of the heterodimeric alpha-E beta-7 (aEb7) integrin belonging to a small beta-7 integrin subfamily. CD103 is expressed on more than 95% of intraepithelial CD8+ cells and on 40% of mucosa-associated T cells, whereas less than 2% of resting blood lymphocytes are CD103-positive. In several malignant conditions, such as T-cell lymphomas and hairy cell leukemia (HCL), the cells express CD103. Antibody to CD103 is an extremely useful addition to the IHC panel for the identification of hairy cell leukemia (HCL).
Purity/Purification
Purified Ab with BSA and Azide at 200ug/ml or Purified Ab with BSA and Azide at 200ug/ml or Purified Ab WITHOUT BSA and Azide at 1.0mg/ml
Form/Format
200ug/ml of Ab purified from Bioreactor Concentrate by Protein A/G. Prepared in 10mM PBS with 0.05% BSA & 0.05% azide. Also available WITHOUT BSA & azide at 1.0mg/ml.
Sequence Length
1179
Applicable Applications for anti-ITGAE antibody
IHC (Immunohistochemistry)
Immunogen
Recombinant Human ITGAE protein fragment (exact sequence is proprietary)
Cellular Localization
Cell Surfaceand Cytoplasm
Antibody Type
Recombinant Antibody
Hu-chromosome Location
17p13
Positive Control
Tonsil, Colon or Stomach
Preparation and Storage
Antibody with azide: store at 2 to 8 degree C.
Antibody without azide: store at -20 to -80 degree C.
Antibody is stable for 24 months. Non-hazardous. No MSDS required.
Antibody without azide: store at -20 to -80 degree C.
Antibody is stable for 24 months. Non-hazardous. No MSDS required.
References
Morgan EA,Yu H,Pinkus JL,Pinkus GS. Immunohistochemical detection of hairy cell leukemia in paraffin sections using a highly effective CD103 rabbit monoclonal antibody. Am J Clin Pathol.2013 Feb;139(2):220-30.
NCBI and Uniprot Product Information
NCBI GI #
NCBI GeneID
UniProt Accession #
Molecular Weight
150kDa
NCBI Official Full Name
Integrin alpha-E
NCBI Official Synonym Full Names
integrin subunit alpha E
NCBI Official Symbol
ITGAE
NCBI Official Synonym Symbols
CD103; HUMINAE
NCBI Protein Information
integrin alpha-E
UniProt Protein Name
Integrin alpha-E
UniProt Gene Name
ITGAE
UniProt Entry Name
ITAE_HUMAN
Customer Reviews
Loading reviews...
Share Your Experience
Similar Products
Product Notes
The ITGAE itgae (Catalog #AAA215386) is an Antibody produced from Rabbit and is intended for research purposes only. The product is available for immediate purchase. The CD103/Integrin alpha E beta7 (T-Cell Lymphoma Hairy Cell Leukemia Marker) reacts with Human and may cross-react with other species as described in the data sheet. AAA Biotech's CD103/Integrin alpha E beta7 can be used in a range of immunoassay formats including, but not limited to, IHC (Immunohistochemistry). Researchers should empirically determine the suitability of the ITGAE itgae for an application not listed in the data sheet. Researchers commonly develop new applications and it is an integral, important part of the investigative research process. It is sometimes possible for the material contained within the vial of "CD103/Integrin alpha E beta7, Monoclonal Antibody" to become dispersed throughout the inside of the vial, particularly around the seal of said vial, during shipment and storage. We always suggest centrifuging these vials to consolidate all of the liquid away from the lid and to the bottom of the vial prior to opening. Please be advised that certain products may require dry ice for shipping and that, if this is the case, an additional dry ice fee may also be required.Precautions
All products in the AAA Biotech catalog are strictly for research-use only, and are absolutely not suitable for use in any sort of medical, therapeutic, prophylactic, in-vivo, or diagnostic capacity. By purchasing a product from AAA Biotech, you are explicitly certifying that said products will be properly tested and used in line with industry standard. AAA Biotech and its authorized distribution partners reserve the right to refuse to fulfill any order if we have any indication that a purchaser may be intending to use a product outside of our accepted criteria.Disclaimer
Though we do strive to guarantee the information represented in this datasheet, AAA Biotech cannot be held responsible for any oversights or imprecisions. AAA Biotech reserves the right to adjust any aspect of this datasheet at any time and without notice. It is the responsibility of the customer to inform AAA Biotech of any product performance issues observed or experienced within 30 days of receipt of said product. To see additional details on this or any of our other policies, please see our Terms & Conditions page.Item has been added to Shopping Cart
If you are ready to order, navigate to Shopping Cart and get ready to checkout.
