Mouse CD42b Monoclonal Antibody | anti-CD42b antibody
CD42b (PTR1348) Antibody
Gene Names
GP1BA; BSS; GP1B; VWDP; CD42B; GPIbA; BDPLT1; BDPLT3; DBPLT3; CD42b-alpha
Reactivity
Human, Mouse, Rat
Applications
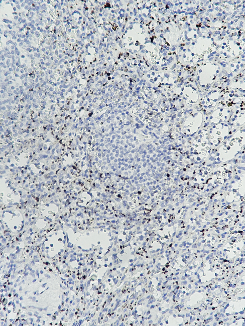
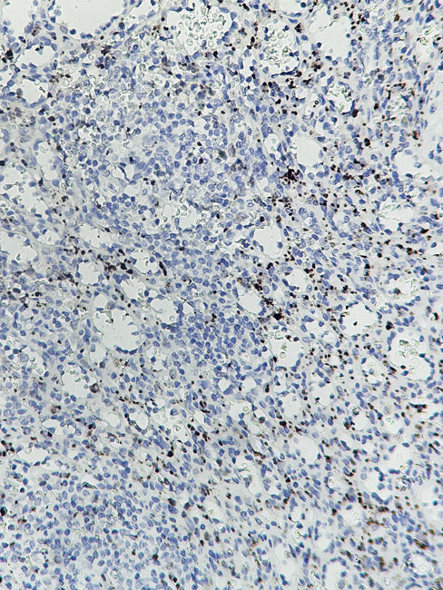
ELISA, Immunofluorescence, Immunohistochemistry
Purity
Protein G
Synonyms
CD42b, Antibody; CD42b (PTR1348) Antibody; Platelet glycoprotein Ib alpha chain; GP1BA; GP-Ib alpha; GPIb-alpha; GPIbA; Glycoprotein Ibalpha; Antigen CD42b-alpha; CD42b; anti-CD42b antibody
Host
Mouse
Reactivity
Human, Mouse, Rat
Clonality
Monoclonal
Isotype
Mouse IgG2a, kappa
Clone Number
PTR1348
Specificity
This antibody detects endogenous levels of CD42b protein.
Purity/Purification
Protein G
Form/Format
PBS, 50% glycerol, 0.05% Proclin 300, 0.05%BSA
Applicable Applications for anti-CD42b antibody
ELISA, IF (Immunofluorescence), IHC (Immunohistochemistry)
Preparation and Storage
Store at -20 degree C/1 year
Product Categories/Family for anti-CD42b antibody
NCBI and Uniprot Product Information
NCBI GI #
NCBI GeneID
Molecular Weight
626
NCBI Official Full Name
Platelet glycoprotein Ib alpha chain
NCBI Official Synonym Full Names
glycoprotein Ib (platelet), alpha polypeptide
NCBI Official Symbol
GP1BA
NCBI Official Synonym Symbols
BSS; GP1B; VWDP; CD42B; GPIbA; BDPLT1; BDPLT3; DBPLT3; CD42b-alpha
NCBI Protein Information
platelet glycoprotein Ib alpha chain; GP-Ib alpha; antigen CD42b-alpha; platelet membrane glycoprotein 1b-alpha subunit
UniProt Protein Name
Platelet glycoprotein Ib alpha chain
UniProt Gene Name
GP1BA
UniProt Synonym Gene Names
GP-Ib alpha; GPIb-alpha; GPIbA; Glycoprotein Ibalpha
UniProt Entry Name
GP1BA_HUMAN
Customer Reviews
Loading reviews...
Share Your Experience
Similar Products
Product Notes
The CD42b gp1ba (Catalog #AAA320701) is an Antibody produced from Mouse and is intended for research purposes only. The product is available for immediate purchase. The CD42b (PTR1348) Antibody reacts with Human, Mouse, Rat and may cross-react with other species as described in the data sheet. AAA Biotech's CD42b can be used in a range of immunoassay formats including, but not limited to, ELISA, IF (Immunofluorescence), IHC (Immunohistochemistry). Researchers should empirically determine the suitability of the CD42b gp1ba for an application not listed in the data sheet. Researchers commonly develop new applications and it is an integral, important part of the investigative research process. It is sometimes possible for the material contained within the vial of "CD42b, Monoclonal Antibody" to become dispersed throughout the inside of the vial, particularly around the seal of said vial, during shipment and storage. We always suggest centrifuging these vials to consolidate all of the liquid away from the lid and to the bottom of the vial prior to opening. Please be advised that certain products may require dry ice for shipping and that, if this is the case, an additional dry ice fee may also be required.Precautions
All products in the AAA Biotech catalog are strictly for research-use only, and are absolutely not suitable for use in any sort of medical, therapeutic, prophylactic, in-vivo, or diagnostic capacity. By purchasing a product from AAA Biotech, you are explicitly certifying that said products will be properly tested and used in line with industry standard. AAA Biotech and its authorized distribution partners reserve the right to refuse to fulfill any order if we have any indication that a purchaser may be intending to use a product outside of our accepted criteria.Disclaimer
Though we do strive to guarantee the information represented in this datasheet, AAA Biotech cannot be held responsible for any oversights or imprecisions. AAA Biotech reserves the right to adjust any aspect of this datasheet at any time and without notice. It is the responsibility of the customer to inform AAA Biotech of any product performance issues observed or experienced within 30 days of receipt of said product. To see additional details on this or any of our other policies, please see our Terms & Conditions page.Item has been added to Shopping Cart
If you are ready to order, navigate to Shopping Cart and get ready to checkout.
