Rabbit CD43 Monoclonal Antibody | anti-CD43 antibody
CD43 (T-Cell Marker)
Gene Names
SPN; LSN; CD43; GALGP; GPL115
Reactivity
Human. Others not known.
Applications
Immunohistochemistry, Immunofluorescence, Flow Cytometry, Functional Assay
Synonyms
CD43, Antibody; CD43 (T-Cell Marker); Galactoglycoprotein; GALGP; GPL115; Leukocyte sialoglycoprotein; Leukosialin; LSN; Sialophorin; SPN; anti-CD43 antibody
Host
Rabbit
Reactivity
Human. Others not known.
Clonality
Monoclonal
Isotype
IgG
Clone Number
SPN/1766R
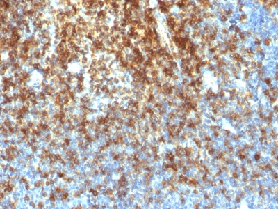
Specificity
It recognizes a cell surface glycoprotein of 95/115/135kDa (depending upon the extent of glycosylation), identified as CD43. 70-90% of T-cell lymphomas and from 22-37% of B-cell lymphomas express CD43. No reactivity has been observed with reactive B-cells. So a B-lineage population that co-expresses CD43 is highly likely to be a malignant lymphoma, especially a low-grade lymphoma, rather than a reactive B-cell population. When CD43 antibody is used in combination with anti-CD20, effective immunophenotyping of the lymphomas in formalin-fixed tissues can be obtained. Co-staining of a lymphoid infiltrate with anti-CD20 and anti-CD43 argues against a reactive process and favors of lymphoma.
Form/Format
200ug/ml of recombinant MAb purified by Protein A/G. Prepared in 10mM PBS with 0.05% BSA & 0.05% azide. Also available WITHOUT BSA & azide at 1.0mg/ml.
Sequence Length
400
Applicable Applications for anti-CD43 antibody
IHC (Immunohistochemistry), IF (Immunofluorescence), FCM/FACS (Flow Cytometry)
Immunogen
Recombinant full-length human SPN protein
Cellular Localization
Cell Surface
Hu-chromosome Location
16p11.2
Positive Control
Paracortex in a tonsil or a reactive lymph node
Preparation and Storage
Antibody with azide - store at 2 to 8 degree C.
Antibody without azide - store at -20 to -80 degree C.
Antibody is stable for 24 months. Non-hazardous. No MSDS required.
Antibody without azide - store at -20 to -80 degree C.
Antibody is stable for 24 months. Non-hazardous. No MSDS required.
References
Baeckstrom, D., et al. 1995. Expression of the leukocyte-associated sialo-glycoprotein CD43 by a colon carcinoma cell line. J. Biol. Chem. 270: 13688-13692.
NCBI and Uniprot Product Information
NCBI GI #
NCBI GeneID
NCBI Accession #
NCBI GenBank Nucleotide #
Molecular Weight
95; 115; 135kDa
NCBI Official Full Name
leukosialin
NCBI Official Synonym Full Names
sialophorin
NCBI Official Symbol
SPN
NCBI Official Synonym Symbols
LSN; CD43; GALGP; GPL115
NCBI Protein Information
leukosialin
UniProt Protein Name
Leukosialin
UniProt Gene Name
SPN
UniProt Synonym Gene Names
CD43; CD43ct
Customer Reviews
Loading reviews...
Share Your Experience
Similar Products
Product Notes
The CD43 spn (Catalog #AAA214522) is an Antibody produced from Rabbit and is intended for research purposes only. The product is available for immediate purchase. The CD43 (T-Cell Marker) reacts with Human. Others not known. and may cross-react with other species as described in the data sheet. AAA Biotech's CD43 can be used in a range of immunoassay formats including, but not limited to, IHC (Immunohistochemistry), IF (Immunofluorescence), FCM/FACS (Flow Cytometry). Researchers should empirically determine the suitability of the CD43 spn for an application not listed in the data sheet. Researchers commonly develop new applications and it is an integral, important part of the investigative research process. It is sometimes possible for the material contained within the vial of "CD43, Monoclonal Antibody" to become dispersed throughout the inside of the vial, particularly around the seal of said vial, during shipment and storage. We always suggest centrifuging these vials to consolidate all of the liquid away from the lid and to the bottom of the vial prior to opening. Please be advised that certain products may require dry ice for shipping and that, if this is the case, an additional dry ice fee may also be required.Precautions
All products in the AAA Biotech catalog are strictly for research-use only, and are absolutely not suitable for use in any sort of medical, therapeutic, prophylactic, in-vivo, or diagnostic capacity. By purchasing a product from AAA Biotech, you are explicitly certifying that said products will be properly tested and used in line with industry standard. AAA Biotech and its authorized distribution partners reserve the right to refuse to fulfill any order if we have any indication that a purchaser may be intending to use a product outside of our accepted criteria.Disclaimer
Though we do strive to guarantee the information represented in this datasheet, AAA Biotech cannot be held responsible for any oversights or imprecisions. AAA Biotech reserves the right to adjust any aspect of this datasheet at any time and without notice. It is the responsibility of the customer to inform AAA Biotech of any product performance issues observed or experienced within 30 days of receipt of said product. To see additional details on this or any of our other policies, please see our Terms & Conditions page.Item has been added to Shopping Cart
If you are ready to order, navigate to Shopping Cart and get ready to checkout.
