Rabbit anti-Human CD7 Monoclonal Antibody | anti-CD7 antibody
CD7 (T-Cell Leukemia Marker) Recombinant Rabbit Monoclonal Antibody [Clone CD7/6388R]
Gene Names
CD7; GP40; TP41; Tp40; LEU-9
Reactivity
Human
Applications
Immunohistochemistry, Western Blot
Synonyms
CD7, Antibody; CD7 (T-Cell Leukemia Marker) Recombinant Rabbit Monoclonal Antibody [Clone CD7/6388R]; CD7 (T-Cell Leukemia Marker); GP40; Leu9; p41; T-cell leukemia antigen; T-cell surface antigen Leu-9; Tp40; TP41; anti-CD7 antibody
Host
Rabbit
Reactivity
Human
Clonality
Monoclonal
Isotype
Rabbit/IgG
Clone Number
CD7/6388R
Form/Format
200ug/ml of Ab purified from Bioreactor Concentrate by Protein A/G. Prepared in 10mM PBS with 0. 05% BSA & 0. 05% azide. Also available WITHOUT BSA & azide at 1.0mg/ml.
Concentration
Purified Ab with BSA and Azide at 200ug/ml
OR
Purified Ab WITHOUT BSA and Azide at 1.0mg/ml (varies by lot)
OR
Purified Ab WITHOUT BSA and Azide at 1.0mg/ml (varies by lot)
Applicable Applications for anti-CD7 antibody
IHC (Immunohistochemistry), WB (Western Blot)
Antibody Type
Recombinant Antibody
Immunogen
Recombinant fragment (around aa 72-175) of human CD7 protein (exact sequence is proprietary)
Cellular Localization
Cell Surface
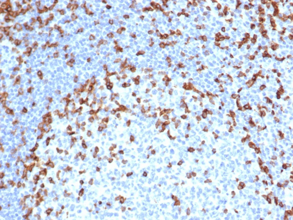
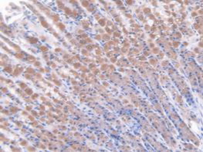
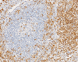
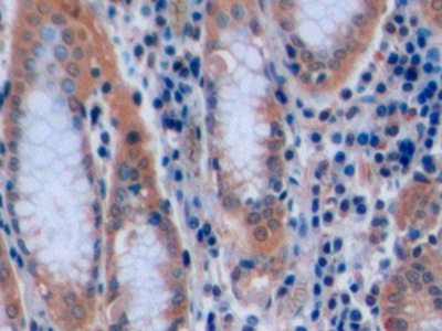
Positive Control
HePG-2 or Jurkat cells. Human lymph node or tonsil.
Hu-chromosome Location
17q25.3
Unigene
186820
Preparation and Storage
Antibody with azide: store at 2 to 8 degree C
Antibody without azide: store at -20 to -80 degree C
Antibody is stable for 24 months. Non-hazardous. No MSDS required.
Antibody without azide: store at -20 to -80 degree C
Antibody is stable for 24 months. Non-hazardous. No MSDS required.
Related Product Information for anti-CD7 antibody
Recognizes a protein of 40kDa, identified as CD7 (also known as gp40, Leu9). CD7 is a member of the immunoglobulin gene superfamily. Its N-terminal amino acids 1-107 are highly homologous to Ig kappa-L chains whereas the carboxyl-terminal region of the extracellular domain is proline-rich and has been postulated to form a stalk from which the Ig domain projects. CD7 is expressed on the majority of immature and mature T-lymphocytes, and T cell leukemia. It is also found on natural killer cells, a small subpopulation of normal B cells and on malignant B cells. Cross-linking surface CD7 positively modulates T cell and NK cell activity as measured by calcium fluxes, expression of adhesion molecules, cytokine secretion and proliferation. CD7 associates directly with phosphoinositol 3'-kinase. CD7 ligation induces production of D-3 phosphoinositides and tyrosine phosphorylation.
NCBI and Uniprot Product Information
NCBI GI #
NCBI GeneID
NCBI Accession #
NCBI GenBank Nucleotide #
UniProt Accession #
Molecular Weight
25,409 Da
NCBI Official Full Name
T-cell antigen CD7
NCBI Official Synonym Full Names
CD7 molecule
NCBI Official Symbol
CD7
NCBI Official Synonym Symbols
GP40; TP41; Tp40; LEU-9
NCBI Protein Information
T-cell antigen CD7; CD7 antigen (p41); T-cell leukemia antigen; T-cell surface antigen Leu-9; p41 protein
UniProt Protein Name
T-cell antigen CD7
UniProt Gene Name
CD7
UniProt Entry Name
CD7_HUMAN
Customer Reviews
Loading reviews...
Share Your Experience
Similar Products
Product Notes
The CD7 cd7 (Catalog #AAA216042) is an Antibody produced from Rabbit and is intended for research purposes only. The product is available for immediate purchase. The CD7 (T-Cell Leukemia Marker) Recombinant Rabbit Monoclonal Antibody [Clone CD7/6388R] reacts with Human and may cross-react with other species as described in the data sheet. AAA Biotech's CD7 can be used in a range of immunoassay formats including, but not limited to, IHC (Immunohistochemistry), WB (Western Blot). Researchers should empirically determine the suitability of the CD7 cd7 for an application not listed in the data sheet. Researchers commonly develop new applications and it is an integral, important part of the investigative research process. It is sometimes possible for the material contained within the vial of "CD7, Monoclonal Antibody" to become dispersed throughout the inside of the vial, particularly around the seal of said vial, during shipment and storage. We always suggest centrifuging these vials to consolidate all of the liquid away from the lid and to the bottom of the vial prior to opening. Please be advised that certain products may require dry ice for shipping and that, if this is the case, an additional dry ice fee may also be required.Precautions
All products in the AAA Biotech catalog are strictly for research-use only, and are absolutely not suitable for use in any sort of medical, therapeutic, prophylactic, in-vivo, or diagnostic capacity. By purchasing a product from AAA Biotech, you are explicitly certifying that said products will be properly tested and used in line with industry standard. AAA Biotech and its authorized distribution partners reserve the right to refuse to fulfill any order if we have any indication that a purchaser may be intending to use a product outside of our accepted criteria.Disclaimer
Though we do strive to guarantee the information represented in this datasheet, AAA Biotech cannot be held responsible for any oversights or imprecisions. AAA Biotech reserves the right to adjust any aspect of this datasheet at any time and without notice. It is the responsibility of the customer to inform AAA Biotech of any product performance issues observed or experienced within 30 days of receipt of said product. To see additional details on this or any of our other policies, please see our Terms & Conditions page.Item has been added to Shopping Cart
If you are ready to order, navigate to Shopping Cart and get ready to checkout.
