Mouse anti-Human Cytokeratin 5/6 Monoclonal Antibody | anti-KRT5 antibody
Cytokeratin 5/6 (Basal, Myoepithelial & Mesothelial Cell Marker) Mouse Monoclonal Antibody [Clone KRT5.6/2438]
Gene Names
KRT5; K5; CK5; DDD; EBS2; KRT5A
Reactivity
Human
Applications
Immunohistochemistry
Synonyms
Cytokeratin 5/6, Antibody; Cytokeratin 5/6 (Basal, Myoepithelial & Mesothelial Cell Marker) Mouse Monoclonal Antibody [Clone KRT5.6/2438]; Cytokeratin 5/6 (Basal, Myoepithelial & Mesothelial Cell Marker); CK5; Keratin-5; KRT5; Cytoskeletal 6A,; KRT6A; anti-KRT5 antibody
Host
Mouse
Reactivity
Human
Clonality
Monoclonal
Isotype
IgG1, kappa
Clone Number
KRT5.6/2438
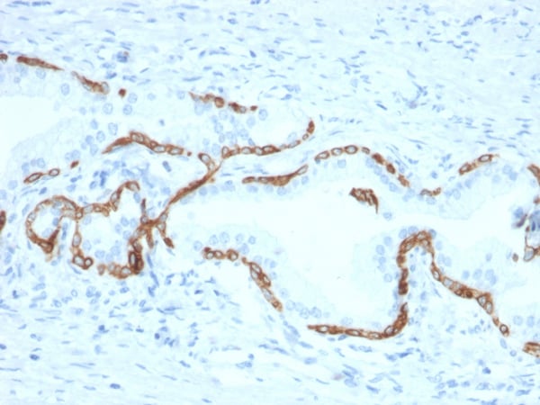
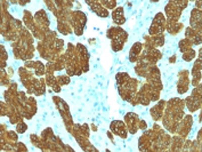
Specificity
It recognizes polypeptides of 58kDa and 56kDa, identified as cytokeratin 5 and 6 respectively. It shows no reaction with keratin 1, 8, or 19. It stains the basal cells of squamous and glandular epithelia, part of stratum spinosum of squamous epithelium, myoepithelium, and mesothelium. It does not stain adenous epithelium. Therefore, this antibody can be used to distinguish squamous carcinoma from adenocarcinoma, and to differentiate epitheliod mesothelioma from non-epitheliod mesothelioma and adenocarcinoma. It is also a useful antibody in the identification of mesothelioma and lung squamous cell carcinoma.
Form/Format
1.0mg/ml of Ab Purified from Bioreactor Concentrate by Protein A/G.
Applicable Applications for anti-KRT5 antibody
IHC (Immunohistochemistry)
Immunogen
Recombinant full-length human KRT5 protein
Cellular Localization
Cytoplasmic
Positive Control
HeLa, HepG2 or PC12 cells. Human prostate, tonsil or skin.
Hu-chromosome Location
12q13.13 (KRT5 and KRT6A);
Unigene
433845; 700779
Preparation and Storage
Antibody without azide: store at -20 to -80 degree C
Non-hazardous. No MSDS required.
Non-hazardous. No MSDS required.
NCBI and Uniprot Product Information
NCBI GI #
NCBI GeneID
NCBI Accession #
NCBI GenBank Nucleotide #
Molecular Weight
58kDa (KRT5); 56kDa (KRT6A)
NCBI Official Full Name
keratin, type II cytoskeletal 5
NCBI Official Synonym Full Names
keratin 5
NCBI Official Symbol
KRT5
NCBI Official Synonym Symbols
K5; CK5; DDD; EBS2; KRT5A
NCBI Protein Information
keratin, type II cytoskeletal 5; CK-5; cytokeratin-5; 58 kda cytokeratin; type-II keratin Kb5; epidermolysis bullosa simplex 2 Dowling-Meara/Kobner/Weber-Cockayne types; keratin 5 (epidermolysis bullosa simplex, Dowling-Meara/Kobner/Weber-Cockayne types)
UniProt Protein Name
Keratin, type II cytoskeletal 5
UniProt Gene Name
KRT5
UniProt Synonym Gene Names
CK-5; K5
UniProt Entry Name
K2C5_HUMAN
Similar Products
Product Notes
The KRT5 krt5 (Catalog #AAA216088) is an Antibody produced from Mouse and is intended for research purposes only. The product is available for immediate purchase. The Cytokeratin 5/6 (Basal, Myoepithelial & Mesothelial Cell Marker) Mouse Monoclonal Antibody [Clone KRT5.6/2438] reacts with Human and may cross-react with other species as described in the data sheet. AAA Biotech's Cytokeratin 5/6 can be used in a range of immunoassay formats including, but not limited to, IHC (Immunohistochemistry). Researchers should empirically determine the suitability of the KRT5 krt5 for an application not listed in the data sheet. Researchers commonly develop new applications and it is an integral, important part of the investigative research process. It is sometimes possible for the material contained within the vial of "Cytokeratin 5/6, Monoclonal Antibody" to become dispersed throughout the inside of the vial, particularly around the seal of said vial, during shipment and storage. We always suggest centrifuging these vials to consolidate all of the liquid away from the lid and to the bottom of the vial prior to opening. Please be advised that certain products may require dry ice for shipping and that, if this is the case, an additional dry ice fee may also be required.Precautions
All products in the AAA Biotech catalog are strictly for research-use only, and are absolutely not suitable for use in any sort of medical, therapeutic, prophylactic, in-vivo, or diagnostic capacity. By purchasing a product from AAA Biotech, you are explicitly certifying that said products will be properly tested and used in line with industry standard. AAA Biotech and its authorized distribution partners reserve the right to refuse to fulfill any order if we have any indication that a purchaser may be intending to use a product outside of our accepted criteria.Disclaimer
Though we do strive to guarantee the information represented in this datasheet, AAA Biotech cannot be held responsible for any oversights or imprecisions. AAA Biotech reserves the right to adjust any aspect of this datasheet at any time and without notice. It is the responsibility of the customer to inform AAA Biotech of any product performance issues observed or experienced within 30 days of receipt of said product. To see additional details on this or any of our other policies, please see our Terms & Conditions page.Item has been added to Shopping Cart
If you are ready to order, navigate to Shopping Cart and get ready to checkout.
