Host
Mouse
Reactivity
Human
Clonality
Monoclonal
Isotype
IgG2a
Clone Number
8B1.2, 1G5.2 & 2D4.2
Form/Format
CMV is a cocktail of two mouse monoclonal antibodies derived from cell culture supernatant that is concentrated, dialyzed, filter sterilized and diluted in buffer pH 7.5, containing BSA and sodium azide as a preservative.
Immunogen
Purified human CMV antigen.
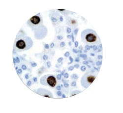
Localization
Nuclear
Control
CMV Infected Tissue
Reactivity Note
Paraffin, Frozen
Mounting Protocols
For detailed instructions using biodegradable permanent mounting media such as XyGreen PermaMounter or organic solvent based resin such as PermaMounter.
Precautions
1. This product contains <0.1% sodium azide (NaN3) as a preservative. Ensure proper handling procedures are used with this reagent.
2. Always wear personal protective equipment such as laboratory coat, goggles and gloves when handling reagents.
3. Dispose of unused solution with copious amount of water.
4. Do not ingest reagent. If reagent is ingested, seek medical advice immediately.
5. Avoid contact with eyes. If contact occurs, flush with large quantities of water.
6. Follow safety precautions of the heating device used for epitope retrieval (TintoRetriever Pressure Cooker or similar).
7. For additional safety information refer to Safety Data Sheet for this product.
8. For complete recommendations for handling biological specimens, please refer to the CDC document, "Guidelines for Safe Work Practices in Human and Animal Laboratories" (see References in this document).
2. Always wear personal protective equipment such as laboratory coat, goggles and gloves when handling reagents.
3. Dispose of unused solution with copious amount of water.
4. Do not ingest reagent. If reagent is ingested, seek medical advice immediately.
5. Avoid contact with eyes. If contact occurs, flush with large quantities of water.
6. Follow safety precautions of the heating device used for epitope retrieval (TintoRetriever Pressure Cooker or similar).
7. For additional safety information refer to Safety Data Sheet for this product.
8. For complete recommendations for handling biological specimens, please refer to the CDC document, "Guidelines for Safe Work Practices in Human and Animal Laboratories" (see References in this document).
Specimen Preparation
Paraffin sections:
The antibody can be used on formalin-fixed paraffin-embedded (FFPE) tissue sections. Ensure tissue undergoes appropriate fixation for best results. Pre-treatment of tissues with heat-induced epitope retrieval (HIER) is recommended using ImmunoDNA Retriever with Citrate, ImmunoDNA Retriever with EDTA or ImmunoDNA Digestor . See reverse side for complete protocol. Tissue should remain hydrated via use of Immuno/DNA Washer solutions.
Frozen sections and cell preparations:
The antibody can be used for labeling acetone-fixed frozen sections and acetone-fixed cell preparations.
The antibody can be used on formalin-fixed paraffin-embedded (FFPE) tissue sections. Ensure tissue undergoes appropriate fixation for best results. Pre-treatment of tissues with heat-induced epitope retrieval (HIER) is recommended using ImmunoDNA Retriever with Citrate, ImmunoDNA Retriever with EDTA or ImmunoDNA Digestor . See reverse side for complete protocol. Tissue should remain hydrated via use of Immuno/DNA Washer solutions.
Frozen sections and cell preparations:
The antibody can be used for labeling acetone-fixed frozen sections and acetone-fixed cell preparations.
Preparation and Storage
Store at 2-8 degree C.
Stability: This product is stable up to the expiration date on the product label. Do not use after expiration date listed on package label. Temperature fluctuations should be avoided. Store appropriately when not in use, and avoid prolonged exposure to room temperature conditions.
Stability: This product is stable up to the expiration date on the product label. Do not use after expiration date listed on package label. Temperature fluctuations should be avoided. Store appropriately when not in use, and avoid prolonged exposure to room temperature conditions.
Related Product Information for anti-Cytomegalovirus antibody
Analyte Specific Reagent.
Analytical and performance characteristics for Cytomegalovirus antibody, clone 8B1.2, 1G5.2 & 2D4.2, are not established,
Cytomegalovirus (CMV) is a virus of the Herpes-virus group; in humans it is commonly known as HCMV or Human Herpesvirus 5 (HHV-5). CMV belongs to the Betaherpesvirinae subfamily of Herpesviridae, which also includes Roseolovirus.
Analytical and performance characteristics for Cytomegalovirus antibody, clone 8B1.2, 1G5.2 & 2D4.2, are not established,
Cytomegalovirus (CMV) is a virus of the Herpes-virus group; in humans it is commonly known as HCMV or Human Herpesvirus 5 (HHV-5). CMV belongs to the Betaherpesvirinae subfamily of Herpesviridae, which also includes Roseolovirus.
Customer Reviews
Loading reviews...
Share Your Experience
Similar Products
Product Notes
The Cytomegalovirus (Catalog #AAA59214) is an Antibody produced from Mouse and is intended for research purposes only. The product is available for immediate purchase. The Cytomegalovirus reacts with Human and may cross-react with other species as described in the data sheet. It is sometimes possible for the material contained within the vial of "Cytomegalovirus, Monoclonal Antibody" to become dispersed throughout the inside of the vial, particularly around the seal of said vial, during shipment and storage. We always suggest centrifuging these vials to consolidate all of the liquid away from the lid and to the bottom of the vial prior to opening. Please be advised that certain products may require dry ice for shipping and that, if this is the case, an additional dry ice fee may also be required.Precautions
All products in the AAA Biotech catalog are strictly for research-use only, and are absolutely not suitable for use in any sort of medical, therapeutic, prophylactic, in-vivo, or diagnostic capacity. By purchasing a product from AAA Biotech, you are explicitly certifying that said products will be properly tested and used in line with industry standard. AAA Biotech and its authorized distribution partners reserve the right to refuse to fulfill any order if we have any indication that a purchaser may be intending to use a product outside of our accepted criteria.Disclaimer
Though we do strive to guarantee the information represented in this datasheet, AAA Biotech cannot be held responsible for any oversights or imprecisions. AAA Biotech reserves the right to adjust any aspect of this datasheet at any time and without notice. It is the responsibility of the customer to inform AAA Biotech of any product performance issues observed or experienced within 30 days of receipt of said product. To see additional details on this or any of our other policies, please see our Terms & Conditions page.Item has been added to Shopping Cart
If you are ready to order, navigate to Shopping Cart and get ready to checkout.
