Mouse DNA/RNA Damage Monoclonal Antibody
DNA/RNA Damage Antibody: RPE
IHC (Immunohistochemistry)
(Immunohistochemistry analysis using Mouse Anti-DNA Damage Monoclonal Antibody, Clone 15A3. Tissue: Ischemic fresh brain tissue. Species: Rat. Primary Antibody: Mouse Anti-DNA Damage Monoclonal Antibody at 1:1000 for 16 hours at RT. Secondary Antibody: Alexa Fluor 546 Goat Anti-mouse (Red) at 1:500 for 1 hour at RT. Localization: Cerebral Cortex. Courtesy of: Dr. Yi Yang, U. New Mexico.)
IHC (Immunohistochemisry)
(Immunohistochemistry analysis using Mouse Anti-DNA Damage Monoclonal Antibody, Clone 15A3. Tissue: backskin. Species: Mouse. Fixation: Bouin's Fixative and paraffin-embedded. Primary Antibody: Mouse Anti-DNA Damage Monoclonal Antibody at 1:100 for 1 hour at RT. Secondary Antibody: FITC Goat Anti-Mouse (green) at 1:50 for 1 hour at RT.)
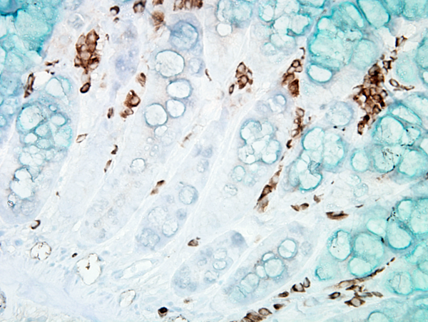
IHC (Immunohiostchemistry)
(Immunohistochemistry analysis using Mouse Anti-DNA Damage Monoclonal Antibody, Clone 15A3. Tissue: inflamed colon. Species: Mouse. Fixation: Formalin. Primary Antibody: Mouse Anti-DNA Damage Monoclonal Antibody at 1:1000000 for 12 hours at 4 degree C. Secondary Antibody: Biotin Goat Anti-Mouse at 1:2000 for 1 hour at RT. Counterstain: Mayer Hematoxylin (purple/blue) nuclear stain at 200 ul for 2 minutes at RT. Magnification: 40x. With anti-microbial.)
IHC (Immunohistochemistry)
(Immunohistochemistry analysis using Mouse Anti-DNA Damage Monoclonal Antibody, Clone 15A3. Tissue: Retinal Injury Model. Species: Mouse. Primary Antibody: Mouse Anti-DNA Damage Monoclonal Antibody at 1:1000. Secondary Antibody: Alexa Fluor 594 Goat Anti-Mouse (red). Courtesy of: Dr. Rajashekhar Gangaraju, University of Indiana, Department of Ophthalmology, Eugene and Marilyn Glick Eye Institute.)
Scientific Background: DNA or RNA damage is due to environmental factors and normal metabolic processes inside the cell, that then hinder the ability of the cell to carry out its functions. There are four main types of DNA due to endogenous cellular processes and they are oxidation, alkylation, hydrolysis and mismatch of the bases. During the oxidation of bases, highly reactive chemical entities collectively known as RONS, occurs. RONS stands for reactive oxygen and nitrogen species and includes nitric oxide, superoxide, hydroxyl radical, hydrogen peroxide and peroxynitrite. Numerous studies have shown that RONS causes a variety of issues including DNA damage (1). 8-hydroxyguanine, 8-hydroxy-2'-deoxyguanonsine and 8- hydroxyguanosine are all RNA and DNA markers of oxidative damage. 8-hydroxy-2'-guanosine is produced by reactive oxygen and nitrogen species including hydroxyl radical and peroxynitrite. Specifically its high biological relevance is due to its ability to induce G to T transversions, which is one of the most frequent somatic mutations (2). 8-hydroxy-guanine has been the most frequently studied type of DNA base damage, with studies in diabetes, and cancer. Base modifications of this type arise from radical-induced hydroxylation and cleavage reactions of the purine ring (3, 4). And finally, 8-hydroxy-guanosine, like 8-hydroxy-2'-guanosine, induces a mutagenic transversion of G to T in DNA. Its role has specifically been tested in the development of diabetes, hypertension and strokes (5, 6, and 7).
1. Brennan, L.J., Haukedal, J.A., Earle, J.C., Keddie, B. and Harris, H.L. (2012). Disruption of redox homeostasis leads to oxidative DNA damage in spermatocytes of Wolbachia-infected Drosophila simulans. Insect Mol Biol. 21 (5), 510-520. doi: 10.1111/j.1365-2583.2012.01155.x
Customer Reviews
Loading reviews...
Share Your Experience
Similar Products
Product Notes
The DNA/RNA Damage (Catalog #AAA103315) is an Antibody produced from Mouse and is intended for research purposes only. The product is available for immediate purchase. The DNA/RNA Damage Antibody: RPE reacts with Recognizes markers of oxidative damage to DNA (8-hydroxy-2'-deoxyguanosine, 8-hydroxyguanine and 8-hydroxyguanosine) and may cross-react with other species as described in the data sheet. AAA Biotech's DNA/RNA Damage can be used in a range of immunoassay formats including, but not limited to, DB (Dot Blot), ICC (Immunocytochemistry), IHC (Immunohistochemistry), ELISA. Researchers should empirically determine the suitability of the DNA/RNA Damage for an application not listed in the data sheet. Researchers commonly develop new applications and it is an integral, important part of the investigative research process. It is sometimes possible for the material contained within the vial of "DNA/RNA Damage, Monoclonal Antibody" to become dispersed throughout the inside of the vial, particularly around the seal of said vial, during shipment and storage. We always suggest centrifuging these vials to consolidate all of the liquid away from the lid and to the bottom of the vial prior to opening. Please be advised that certain products may require dry ice for shipping and that, if this is the case, an additional dry ice fee may also be required.Precautions
All products in the AAA Biotech catalog are strictly for research-use only, and are absolutely not suitable for use in any sort of medical, therapeutic, prophylactic, in-vivo, or diagnostic capacity. By purchasing a product from AAA Biotech, you are explicitly certifying that said products will be properly tested and used in line with industry standard. AAA Biotech and its authorized distribution partners reserve the right to refuse to fulfill any order if we have any indication that a purchaser may be intending to use a product outside of our accepted criteria.Disclaimer
Though we do strive to guarantee the information represented in this datasheet, AAA Biotech cannot be held responsible for any oversights or imprecisions. AAA Biotech reserves the right to adjust any aspect of this datasheet at any time and without notice. It is the responsibility of the customer to inform AAA Biotech of any product performance issues observed or experienced within 30 days of receipt of said product. To see additional details on this or any of our other policies, please see our Terms & Conditions page.Item has been added to Shopping Cart
If you are ready to order, navigate to Shopping Cart and get ready to checkout.
