Mouse DNMT1 Monoclonal Antibody | anti-DNMT1 antibody
DNMT1 Antibody: ATTO 390
IHC (Immunohistochemisry)
(Immunohistochemistry analysis using Mouse Anti-DNMT1 Monoclonal Antibody, Clone 60B1220.1. Tissue: medullar kidney tissue. Species: Mouse. Primary Antibody: Mouse Anti-DNMT1 Monoclonal Antibody at 1:1000. Secondary Antibody: HRP/DAB Detection System: Biotinylated Goat Anti-Mouse, Streptavidin Peroxidase, DAB Chromogen (brown). Counterstain: Mayer Hematoxylin (purple/blue) nuclear stain.)
WB (Western Blot)
(Western Blot analysis of Human H1299 cell lysate showing detection of DNMT1 protein using Mouse Anti-DNMT1 Monoclonal Antibody, Clone 60B1220.1. Primary Antibody: Mouse Anti-DNMT1 Monoclonal Antibody at 1:1000.)
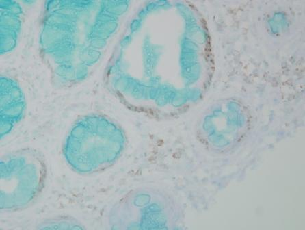
IHC (Immunohistochemistry)
(Immunohistochemistry analysis using Mouse Anti-DNMT1 Monoclonal Antibody, Clone 60B1220.1. Tissue: colon carcinoma. Species: Human. Fixation: Formalin. Primary Antibody: Mouse Anti-DNMT1 Monoclonal Antibody at 1:10000 for 12 hours at 4 degree C. Secondary Antibody: Biotin Goat Anti-Mouse at 1:2000 for 1 hour at RT. Counterstain: Mayer Hematoxylin (purple/blue) nuclear stain at 200 ul for 2 minutes at RT. Magnification: 40x. ABC solution 1:1000 dilution, DAB solution 100-200uL/ slide.)
Scientific Background: Methylation of DNA at cytosine residues plays an important role in regulation of gene expression, genomic imprinting and is essential for mammalian development. Hypermethylation of CpG islands in tumor suppressor genes or hypomethylation of bulk genomic DNA may be linked with development of cancer. To date, 3 families of mammalian DNA methyltransferase genes have been identified which include Dnmt1, Dnmt2 and Dnmt3. Dnmt1 is constitutively expressed in proliferating cells and inactivation of this gene causes global demethylation of genomic DNA and embryonic lethality. Dnmt2 is expressed at low levels in adult tissues and its inactivation does not affect DNA methylation or maintenance of methylation. The Dnmt3 family members, Dnmt3a and Dnmt3b, are strongly expressed in ES cells but their expression is down regulated in differentiating ES cells and is low in adult somatic tissue. Dnmt1 co-purifies with the retinoblastoma (Rb) tumour suppressor gene product, E2F1, and HDAC1. Dnmt1 also cooperates with Rb to repress transcription from promoters containing E2F-binding sites suggesting a link between DNA methylation, histone deacetylase and sequence-specific DNA binding activity, as well as a growth-regulatory pathway that is disrupted in nearly all cancer cells (1-6).
NCBI and Uniprot Product Information
Customer Reviews
Loading reviews...
Share Your Experience
Similar Products
Product Notes
The DNMT1 dnmt1 (Catalog #AAA103111) is an Antibody produced from Mouse and is intended for research purposes only. The product is available for immediate purchase. The DNMT1 Antibody: ATTO 390 reacts with Human, Mouse, Zebrafish and may cross-react with other species as described in the data sheet. AAA Biotech's DNMT1 can be used in a range of immunoassay formats including, but not limited to, ChIP (Chromatin immunoprecipitation), IP (Immunoprecipitation), IHC (Immunohistochemistry), WB (Western Blot). Researchers should empirically determine the suitability of the DNMT1 dnmt1 for an application not listed in the data sheet. Researchers commonly develop new applications and it is an integral, important part of the investigative research process. It is sometimes possible for the material contained within the vial of "DNMT1, Monoclonal Antibody" to become dispersed throughout the inside of the vial, particularly around the seal of said vial, during shipment and storage. We always suggest centrifuging these vials to consolidate all of the liquid away from the lid and to the bottom of the vial prior to opening. Please be advised that certain products may require dry ice for shipping and that, if this is the case, an additional dry ice fee may also be required.Precautions
All products in the AAA Biotech catalog are strictly for research-use only, and are absolutely not suitable for use in any sort of medical, therapeutic, prophylactic, in-vivo, or diagnostic capacity. By purchasing a product from AAA Biotech, you are explicitly certifying that said products will be properly tested and used in line with industry standard. AAA Biotech and its authorized distribution partners reserve the right to refuse to fulfill any order if we have any indication that a purchaser may be intending to use a product outside of our accepted criteria.Disclaimer
Though we do strive to guarantee the information represented in this datasheet, AAA Biotech cannot be held responsible for any oversights or imprecisions. AAA Biotech reserves the right to adjust any aspect of this datasheet at any time and without notice. It is the responsibility of the customer to inform AAA Biotech of any product performance issues observed or experienced within 30 days of receipt of said product. To see additional details on this or any of our other policies, please see our Terms & Conditions page.Item has been added to Shopping Cart
If you are ready to order, navigate to Shopping Cart and get ready to checkout.
