eIF4EBP1 recombinant antibody
eIF4EBP1 Rabbit mAb
Gene Names
EIF4EBP1; BP-1; 4EBP1; 4E-BP1; PHAS-I
Reactivity
Human, Mouse, Rat
Applications
Flow Cytometry, Functional Assay, Immunoprecipitation, Immunofluorescence, Immunocytochemistry, Immunohistochemistry, Western Blot
Purity
Affinity-chromatography
Synonyms
eIF4EBP1, Recombinant Antibody; eIF4EBP1 Rabbit mAb; 4E-BP1; 4EBP1; BP-1; MGC4316; PHAS-I; eIF4EBP1 recombinant antibody
Host
Rabbit
Reactivity
Human, Mouse, Rat
Clonality
Monoclonal
Isotype
Rabbit IgG
Specificity
eIF4EBP1 Antibody detects endogenous levels of total eIF4EBP1
Purity/Purification
Affinity-chromatography
Form/Format
Rabbit IgG in phosphate buffered saline, pH7.4, 150mM NaCl, 0.02% sodium azide and 50% glycerol.
Applicable Applications for eIF4EBP1 recombinant antibody
FCM/FACS (Flow Cytometry), IP (Immunoprecipitation), IF (Immunofluorescence), ICC (Immunocytochemistry), IHC (Immunohistochemistry), WB (Western Blot)
Immunogen
A synthesized peptide derived from human eIF4EBP1
Preparation and Storage
Store at +4 degree C short term. Store at -20 degree C long term. Avoid freeze/thaw cycle.
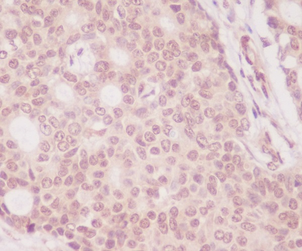
IHC (Immunohiostchemistry)
(Immunohistochemical analysis of paraffin-embedded human breast carcinoma, using eIF4EBP1 Antibody.)
Related Product Information for eIF4EBP1 recombinant antibody
Translation repressor protein 4E-BP1 (also known as PHAS-1) inhibits cap-dependent translation by binding to the translation initiation factor eIF4E. Hyperphosphorylation of 4E-BP1 disrupts this interaction and results in activation of cap-dependent translation. Both the PI3 kinase/Akt pathway and FRAP/mTOR kinase regulate 4E-BP1 activity.
Product Categories/Family for eIF4EBP1 recombinant antibody
NCBI and Uniprot Product Information
NCBI GI #
NCBI GeneID
NCBI Accession #
NCBI GenBank Nucleotide #
Molecular Weight
12,580 Da
NCBI Official Full Name
eukaryotic translation initiation factor 4E-binding protein 1
NCBI Official Synonym Full Names
eukaryotic translation initiation factor 4E binding protein 1
NCBI Official Symbol
EIF4EBP1
NCBI Official Synonym Symbols
BP-1; 4EBP1; 4E-BP1; PHAS-I
NCBI Protein Information
eukaryotic translation initiation factor 4E-binding protein 1; eIF4E-binding protein 1; phosphorylated heat- and acid-stable protein regulated by insulin 1
UniProt Protein Name
Eukaryotic translation initiation factor 4E-binding protein 1
UniProt Gene Name
EIF4EBP1
UniProt Synonym Gene Names
4E-BP1; eIF4E-binding protein 1; PHAS-I
UniProt Entry Name
4EBP1_HUMAN
Similar Products
Product Notes
The eIF4EBP1 eif4ebp1 (Catalog #AAA315406) is a Recombinant Antibody produced from Rabbit and is intended for research purposes only. The product is available for immediate purchase. The eIF4EBP1 Rabbit mAb reacts with Human, Mouse, Rat and may cross-react with other species as described in the data sheet. AAA Biotech's eIF4EBP1 can be used in a range of immunoassay formats including, but not limited to, FCM/FACS (Flow Cytometry), IP (Immunoprecipitation), IF (Immunofluorescence), ICC (Immunocytochemistry), IHC (Immunohistochemistry), WB (Western Blot). Researchers should empirically determine the suitability of the eIF4EBP1 eif4ebp1 for an application not listed in the data sheet. Researchers commonly develop new applications and it is an integral, important part of the investigative research process. It is sometimes possible for the material contained within the vial of "eIF4EBP1, Monoclonal Recombinant Antibody" to become dispersed throughout the inside of the vial, particularly around the seal of said vial, during shipment and storage. We always suggest centrifuging these vials to consolidate all of the liquid away from the lid and to the bottom of the vial prior to opening. Please be advised that certain products may require dry ice for shipping and that, if this is the case, an additional dry ice fee may also be required.Precautions
All products in the AAA Biotech catalog are strictly for research-use only, and are absolutely not suitable for use in any sort of medical, therapeutic, prophylactic, in-vivo, or diagnostic capacity. By purchasing a product from AAA Biotech, you are explicitly certifying that said products will be properly tested and used in line with industry standard. AAA Biotech and its authorized distribution partners reserve the right to refuse to fulfill any order if we have any indication that a purchaser may be intending to use a product outside of our accepted criteria.Disclaimer
Though we do strive to guarantee the information represented in this datasheet, AAA Biotech cannot be held responsible for any oversights or imprecisions. AAA Biotech reserves the right to adjust any aspect of this datasheet at any time and without notice. It is the responsibility of the customer to inform AAA Biotech of any product performance issues observed or experienced within 30 days of receipt of said product. To see additional details on this or any of our other policies, please see our Terms & Conditions page.Item has been added to Shopping Cart
If you are ready to order, navigate to Shopping Cart and get ready to checkout.
