Mouse anti-Human, Rat Fascin-1 Monoclonal Antibody | anti-FSCN1 antibody
Fascin-1 (Reed-Sternberg Cell Marker) Mouse Monoclonal Antibody
Gene Names
FSCN1; HSN; SNL; p55; FAN1
Reactivity
Human, Rat
Applications
Immunohistochemistry, Immunofluorescence, Flow Cytometry, Functional Assay
Synonyms
Fascin-1, Antibody; Fascin-1 (Reed-Sternberg Cell Marker) Mouse Monoclonal Antibody; 55kDa actin-bundling protein; FAN1; Fascin homolog 1; Fascin1; FSCN1; HSN; p55; Singed (Drosophila) like (sea urchin fascin homolog like); SNL; anti-FSCN1 antibody
Host
Mouse
Reactivity
Human, Rat
Clonality
Monoclonal
Isotype
IgG2b, kappa
Clone Number
FSCN1/418
Specificity
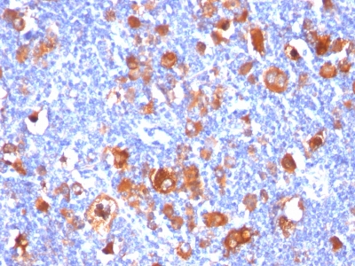
Recognizes a protein of 55kDa, which is identified as fascin-1. Its actin binding ability is regulated by phosphorylation. Antibody to fascin-1 is a very sensitive marker for Reed-Sternberg cells and variants in nodular sclerosis, mixed cellularity, and lymphocyte depletion Hodgkin's disease. It is uniformly negative in lymphoid cells, plasma cells, and myeloid cells. Fascin-1 is also expressed in dendritic cells. This marker may be helpful to distinguish between Hodgkin lymphoma and non-Hodgkin lymphoma in difficult cases. Also, the lack of expression of fascin-1 in the neoplastic follicles in follicular lymphoma may be helpful in distinguishing these lymphomas from reactive follicular hyperplasia in which the number of follicular dendritic cells is normal or increased. Antibody to fascin-1 has been suggested as a prognostic marker in neuroendocrine neoplasms of the lung as well as in ovarian cancer. Fascin-1 expression may be induced by Epstein-Barr virus (EBV) infection of B cells with the possibility that viral induction of fascin in lymphoid or other cell types must also be considered in EBV-positive cases.
Form/Format
200ug/ml of Ab purified from Bioreactor Concentrate by Protein A/G. Prepared in 10mM PBS with 0.05% BSA & 0.05% azide. Also available WITHOUT BSA & azide at 1.0mg/ml.
Sequence Length
493
Applicable Applications for anti-FSCN1 antibody
IHC (Immunohistochemistry), IF (Immunofluorescence), FCM/FACS (Flow Cytometry)
Cellular Localization
Cytoplasmic
Immunogen
Full length recombinant human FSCN1 protein
Hu-Chromosome Location
7p22.1
Positive Control
HeLa, MCF-7, PC-3 or BEWO cells. Hodgkin's lymphoma, Ovarian or Testicular Carcinoma.
Preparation and Storage
Antibody with azide - store at 2 to 8 degree C. Antibody without azide - store at -20 to -80 degree C. Antibody is stable for 24 months. Non-hazardous. No MSDS required.
References
Yamashiro-Matsumura S and Matsumura F. J Biol Chem 1985; 260(8): 5087. Yamashro-Matsumura S and Matsumura F. J Cell Biol 1986; 103:631. Duh F-M, et al. DNA Cell Biol 1994; 13(8):821.
NCBI and Uniprot Product Information
NCBI GI #
NCBI GeneID
NCBI Accession #
NCBI GenBank Nucleotide #
Molecular Weight
55kDa
NCBI Official Full Name
fascin
NCBI Official Synonym Full Names
fascin actin-bundling protein 1
NCBI Official Symbol
FSCN1
NCBI Official Synonym Symbols
HSN; SNL; p55; FAN1
NCBI Protein Information
fascin
UniProt Protein Name
Fascin
UniProt Gene Name
FSCN1
UniProt Synonym Gene Names
FAN1; HSN; SNL
UniProt Entry Name
FSCN1_HUMAN
Customer Reviews
Loading reviews...
Share Your Experience
Similar Products
Product Notes
The FSCN1 fscn1 (Catalog #AAA62821) is an Antibody produced from Mouse and is intended for research purposes only. The product is available for immediate purchase. The Fascin-1 (Reed-Sternberg Cell Marker) Mouse Monoclonal Antibody reacts with Human, Rat and may cross-react with other species as described in the data sheet. AAA Biotech's Fascin-1 can be used in a range of immunoassay formats including, but not limited to, IHC (Immunohistochemistry), IF (Immunofluorescence), FCM/FACS (Flow Cytometry). Researchers should empirically determine the suitability of the FSCN1 fscn1 for an application not listed in the data sheet. Researchers commonly develop new applications and it is an integral, important part of the investigative research process. It is sometimes possible for the material contained within the vial of "Fascin-1, Monoclonal Antibody" to become dispersed throughout the inside of the vial, particularly around the seal of said vial, during shipment and storage. We always suggest centrifuging these vials to consolidate all of the liquid away from the lid and to the bottom of the vial prior to opening. Please be advised that certain products may require dry ice for shipping and that, if this is the case, an additional dry ice fee may also be required.Precautions
All products in the AAA Biotech catalog are strictly for research-use only, and are absolutely not suitable for use in any sort of medical, therapeutic, prophylactic, in-vivo, or diagnostic capacity. By purchasing a product from AAA Biotech, you are explicitly certifying that said products will be properly tested and used in line with industry standard. AAA Biotech and its authorized distribution partners reserve the right to refuse to fulfill any order if we have any indication that a purchaser may be intending to use a product outside of our accepted criteria.Disclaimer
Though we do strive to guarantee the information represented in this datasheet, AAA Biotech cannot be held responsible for any oversights or imprecisions. AAA Biotech reserves the right to adjust any aspect of this datasheet at any time and without notice. It is the responsibility of the customer to inform AAA Biotech of any product performance issues observed or experienced within 30 days of receipt of said product. To see additional details on this or any of our other policies, please see our Terms & Conditions page.Item has been added to Shopping Cart
If you are ready to order, navigate to Shopping Cart and get ready to checkout.
