Mouse anti-Human Fibroblast Activation Protein Alpha/FAP-1 Monoclonal Antibody | anti-FABP5 antibody
Fibroblast Activation Protein Alpha/FAP-1 Mouse Monoclonal Antibody [Clone FAP/4854]
Gene Names
FAP; FAPA; DPPIV
Reactivity
Human
Applications
Immunohistochemistry
Synonyms
Fibroblast Activation Protein Alpha/FAP-1, Antibody; Fibroblast Activation Protein Alpha/FAP-1 Mouse Monoclonal Antibody [Clone FAP/4854]; 170kDa melanoma membrane-bound gelatinase; DPPIV; FAP; FAPA; Fibroblast activation protein alpha; Integral membrane serine protease; Seprase; anti-FABP5 antibody
Host
Mouse
Reactivity
Human
Clonality
Monoclonal
Isotype
Mouse/IgG2c, kappa
Clone Number
FAP/4854
Form/Format
200ug/ml of Ab purified from Bioreactor Concentrate by Protein A/G. Prepared in 10mM PBS with 0. 05% BSA & 0. 05% azide. Also available WITHOUT BSA & azide at 1.0mg/ml.
Concentration
Purified Ab with BSA and Azide at 200ug/ml
OR
Purified Ab WITHOUT BSA and Azide at 1.0mg/ml (varies by lot)
OR
Purified Ab WITHOUT BSA and Azide at 1.0mg/ml (varies by lot)
Applicable Applications for anti-FABP5 antibody
IHC (Immunohistochemistry)
Immunogen
Recombinant fragment (around aa 1-200) of human FAP protein (exact sequence is proprietary)
Cellular Localization
Cell surface, Cell membrane
Positive Control
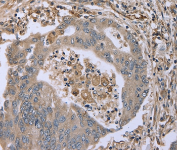
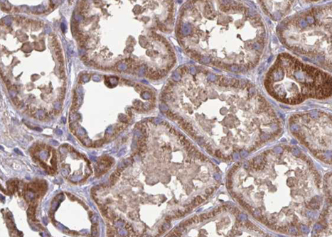
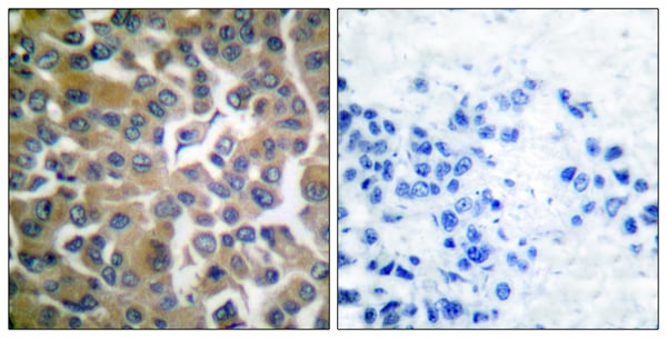
Human uterus, colon or pancreas. Fibroblast specific.
Hu-chromosome Location
2q24.2
Unigene
654370
Preparation and Storage
Antibody with azide: store at 2 to 8 degree C
Antibody without azide: store at -20 to -80 degree C
Antibody is stable for 24 months. Non-hazardous. No MSDS required.
Antibody without azide: store at -20 to -80 degree C
Antibody is stable for 24 months. Non-hazardous. No MSDS required.
Related Product Information for anti-FABP5 antibody
FAP (fibroblast activation protein) is a cell surface glycoprotein and serine protease that is expressed primarily in fetal mesenchymal tissues and epithelial cancer fibroblasts. In cancer, FAP functions to promote cellular proliferation. In embryonic development, FAP functions to remodel developing tissues. FAP acts as an integral membrane gelatinase composed of N-glycosylated proteolytically inactive subunits. FAP expression on chondrocyte membranes is upregulated by the combination of the cytokines IL-1 and OSM and has been shown to increase in osteoarthritic patients. This expression is colocalized with MMP-1 and MMP-13 as well as CD44 (variants v3 and v7/8). Mice that lack all copies of the FAP gene have been found to be fertile and to have developmental defects or change in cancer susceptibility.
NCBI and Uniprot Product Information
NCBI GI #
NCBI GeneID
NCBI Accession #
NCBI GenBank Nucleotide #
Molecular Weight
87,713 Da
NCBI Official Full Name
seprase
NCBI Official Synonym Full Names
fibroblast activation protein, alpha
NCBI Official Symbol
FAP
NCBI Official Synonym Symbols
FAPA; DPPIV
NCBI Protein Information
seprase; integral membrane serine protease; 170 kDa melanoma membrane-bound gelatinase
UniProt Protein Name
Seprase
UniProt Gene Name
FAP
UniProt Entry Name
SEPR_HUMAN
Customer Reviews
Loading reviews...
Share Your Experience
Similar Products
Product Notes
The FABP5 fap (Catalog #AAA215641) is an Antibody produced from Mouse and is intended for research purposes only. The product is available for immediate purchase. The Fibroblast Activation Protein Alpha/FAP-1 Mouse Monoclonal Antibody [Clone FAP/4854] reacts with Human and may cross-react with other species as described in the data sheet. AAA Biotech's Fibroblast Activation Protein Alpha/FAP-1 can be used in a range of immunoassay formats including, but not limited to, IHC (Immunohistochemistry). Researchers should empirically determine the suitability of the FABP5 fap for an application not listed in the data sheet. Researchers commonly develop new applications and it is an integral, important part of the investigative research process. It is sometimes possible for the material contained within the vial of "Fibroblast Activation Protein Alpha/FAP-1, Monoclonal Antibody" to become dispersed throughout the inside of the vial, particularly around the seal of said vial, during shipment and storage. We always suggest centrifuging these vials to consolidate all of the liquid away from the lid and to the bottom of the vial prior to opening. Please be advised that certain products may require dry ice for shipping and that, if this is the case, an additional dry ice fee may also be required.Precautions
All products in the AAA Biotech catalog are strictly for research-use only, and are absolutely not suitable for use in any sort of medical, therapeutic, prophylactic, in-vivo, or diagnostic capacity. By purchasing a product from AAA Biotech, you are explicitly certifying that said products will be properly tested and used in line with industry standard. AAA Biotech and its authorized distribution partners reserve the right to refuse to fulfill any order if we have any indication that a purchaser may be intending to use a product outside of our accepted criteria.Disclaimer
Though we do strive to guarantee the information represented in this datasheet, AAA Biotech cannot be held responsible for any oversights or imprecisions. AAA Biotech reserves the right to adjust any aspect of this datasheet at any time and without notice. It is the responsibility of the customer to inform AAA Biotech of any product performance issues observed or experienced within 30 days of receipt of said product. To see additional details on this or any of our other policies, please see our Terms & Conditions page.Item has been added to Shopping Cart
If you are ready to order, navigate to Shopping Cart and get ready to checkout.
