Loading...

Skip to main content
Call us at +1-800-604-9114 for more information about our products or contact us online Need help? +1-800-604-9114 or contact us
product-image-AAA17779_WB4.jpg WB (Western Blot) (Western Blot analysis of Rat brain membrane lysate showing detection of GluN2B/NR2B protein using Mouse Anti-GluN2B/NR2B Monoclonal Antibody, Clone S59-36. Load: 15 ug. Block: 1.5% BSA for 30 minutes at RT. Primary Antibody: Mouse Anti-GluN2B/NR2B Monoclonal Antibody at 1:1000 for 2 hours at RT. Secondary Antibody: Sheep Anti-Mouse IgG: HRP for 1 hour at RT.)

Mouse GluN2B/NR2B Monoclonal Antibody | anti-Grin2b antibody

Mouse Anti-Rat GluN2B/NR2B Monoclonal IgG2b

Gene Names
Grin2b; GluN2B
Reactivity
Human, Rat, Mouse
Applications
Western Blot, Immunohistochemistry, Immunocytochemistry, Immunofluorescence, Immunoprecipitation
Purity
Protein G Purified
Synonyms
GluN2B/NR2B, Antibody; Mouse Anti-Rat GluN2B/NR2B Monoclonal IgG2b; GluN2B/NR2B Antibody, 559-36; NMDAR2B; hNR3; MGC142180; glutamate receptor subunit epsilon-2; NR3; anti-Grin2b antibody
Ordering
For Research Use Only!
Host
Mouse
Reactivity
Human, Rat, Mouse
Clonality
Monoclonal
Isotype
IgG2b
Clone Number
S59 (formally known as: S59-36)
Specificity
Detects ~166kDa. No cross-reactivity against NR2A
Purity/Purification
Protein G Purified
Form/Format
PBS pH7.4, 50% glycerol, 0.09% sodium azide
Concentration
1mg/mL (varies by lot)
Sequence Length
1482
Applicable Applications for anti-Grin2b antibody
Western Blot (WB), Immunohistochemistry (IHC), Immunocytochemistry/Immunofluorescence (ICC/IF), Immunoprescipitation (IP), AM
Application Notes
WB: (1:1000)
IHC: (1:1000)
ICC/IF: (1:100)
optimal dilutions for assays should be determined by the user.
Certificate of Analysis
1ug/mL was sufficient for detection of NR2B in 10ug of rat brain lysate by colorimetric immunoblot analysis using goat anti-mouse IgG:HRP as the secondary antibody.
Immunogen
Fusion protein amino acids 20-271 (extracellular N-terminus) of rat NR2B.
Cellular Localization
Cell membrane, Cell Junction, synapse, postsynaptic cell membrane
Research Areas
Neuroscience, Ion Channels, Neurotransmitter Receptors, Glutamate Receptors, NMDA Receptors, Neurodegeneration.
Preparation and Storage
Store at -20°C. Avoid freeze/thaw cycle.

WB (Western Blot)

(Western Blot analysis of Rat brain membrane lysate showing detection of GluN2B/NR2B protein using Mouse Anti-GluN2B/NR2B Monoclonal Antibody, Clone S59-36. Load: 15 ug. Block: 1.5% BSA for 30 minutes at RT. Primary Antibody: Mouse Anti-GluN2B/NR2B Monoclonal Antibody at 1:1000 for 2 hours at RT. Secondary Antibody: Sheep Anti-Mouse IgG: HRP for 1 hour at RT.)

product-image-AAA17779_WB4.jpg WB (Western Blot) (Western Blot analysis of Rat brain membrane lysate showing detection of GluN2B/NR2B protein using Mouse Anti-GluN2B/NR2B Monoclonal Antibody, Clone S59-36. Load: 15 ug. Block: 1.5% BSA for 30 minutes at RT. Primary Antibody: Mouse Anti-GluN2B/NR2B Monoclonal Antibody at 1:1000 for 2 hours at RT. Secondary Antibody: Sheep Anti-Mouse IgG: HRP for 1 hour at RT.)

IHC (Immunohistochemistry)

(Immunohistochemistry analysis using Mouse Anti-GluN2B/NR2B Monoclonal Antibody, Clone S59-36. Tissue: backskin. Species: Mouse. Fixation: Bouin's Fixative and paraffin-embedded. Primary Antibody: Mouse Anti-GluN2B/NR2B Monoclonal Antibody at 1:100 for 1 hour at RT. Secondary Antibody: FITC Goat Anti-Mouse (green) at 1:50 for 1 hour at RT. Localization: Filaggrin-like staining, and dermal staining.)

product-image-AAA17779_IHC3.jpg IHC (Immunohistochemistry) (Immunohistochemistry analysis using Mouse Anti-GluN2B/NR2B Monoclonal Antibody, Clone S59-36. Tissue: backskin. Species: Mouse. Fixation: Bouin's Fixative and paraffin-embedded. Primary Antibody: Mouse Anti-GluN2B/NR2B Monoclonal Antibody at 1:100 for 1 hour at RT. Secondary Antibody: FITC Goat Anti-Mouse (green) at 1:50 for 1 hour at RT. Localization: Filaggrin-like staining, and dermal staining.)

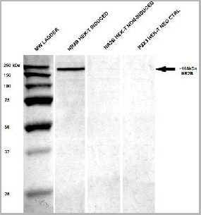
WB (Western Blot)

(Western Blot analysis of Human Embryonic kidney epithelial cell line (HEK293T) lysate showing detection of GluN2B/NR2B protein using Mouse Anti-GluN2B/NR2B Monoclonal Antibody, Clone S59-36. Primary Antibody: Mouse Anti-GluN2B/NR2B Monoclonal Antibody at 1:250.)

product-image-AAA17779_WB2.jpg WB (Western Blot) (Western Blot analysis of Human Embryonic kidney epithelial cell line (HEK293T) lysate showing detection of GluN2B/NR2B protein using Mouse Anti-GluN2B/NR2B Monoclonal Antibody, Clone S59-36. Primary Antibody: Mouse Anti-GluN2B/NR2B Monoclonal Antibody at 1:250.)

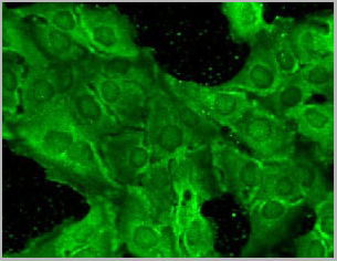
ICC (Immunocytochemistry)

(Immunocytochemistry/Immunofluorescence analysis using Mouse Anti-GluN2B/NR2B Monoclonal Antibody, Clone S59-36. Tissue: HaCaT cells. Species: Human. Fixation: Cold 100% methanol for 10 minutes at -20 degree C. Primary Antibody: Mouse Anti-GluN2B/NR2B Monoclonal Antibody at 1:100 for 1 hour at RT. Secondary Antibody: FITC Goat Anti-Mouse (green) at 1:50 for 1 hour at RT. Localization: Everything positive.)

product-image-AAA17779_ICC.jpg ICC (Immunocytochemistry) (Immunocytochemistry/Immunofluorescence analysis using Mouse Anti-GluN2B/NR2B Monoclonal Antibody, Clone S59-36. Tissue: HaCaT cells. Species: Human. Fixation: Cold 100% methanol for 10 minutes at -20 degree C. Primary Antibody: Mouse Anti-GluN2B/NR2B Monoclonal Antibody at 1:100 for 1 hour at RT. Secondary Antibody: FITC Goat Anti-Mouse (green) at 1:50 for 1 hour at RT. Localization: Everything positive.)
Related Product Information for anti-Grin2b antibody
Scientific Background: NR2B containing receptors have been implicated in synaptic plasticity, memory formation and pain modulation (1). Studies suggest that the NR2B subunit of glutamate receptors may be potential targets for relieving pain; NR2B may be a probable target for anti-nociceptive drugs, and may also be useful as analgesics (2).
Product Categories/Family for anti-Grin2b antibody
References
1. Hille B. (2001) Ion Channels of Excitable Membranes, 3rd Ed., Sinauer Associated Inc.: Sunderland, MA USA. 2. www.iochannels.org 3. Zhuo M. (2009) Mol Brain. 2(1): 4 4. Gurwitz D, and Weizman A. (2002) Drug Discovery Today, 7(7): 403-406.

NCBI and Uniprot Product Information

NCBI GI #
NCBI GeneID
NCBI Accession #
NCBI GenBank Nucleotide #
UniProt Accession #
NCBI Official Full Name
glutamate receptor ionotropic, NMDA 2B
NCBI Official Synonym Full Names
glutamate receptor, ionotropic, N-methyl D-aspartate 2B
NCBI Official Symbol
Grin2b
NCBI Official Synonym Symbols
GluN2B
NCBI Protein Information
glutamate receptor ionotropic, NMDA 2B; NR2B; NMDAR2B; glutamate receptor, ionotropic, NMDA2B; N-methyl D-aspartate receptor subtype 2B; glutamate [NMDA] receptor subunit epsilon-2
UniProt Protein Name
Glutamate receptor ionotropic, NMDA 2B
UniProt Gene Name
Grin2b
UniProt Synonym Gene Names
GluN2B; NMDAR2B; NR2B
UniProt Entry Name
NMDE2_RAT

Similar Products

Product Notes

The Grin2b grin2b (Catalog #AAA17779) is an Antibody produced from Mouse and is intended for research purposes only. The product is available for immediate purchase. The Mouse Anti-Rat GluN2B/NR2B Monoclonal IgG2b reacts with Human, Rat, Mouse and may cross-react with other species as described in the data sheet. AAA Biotech's GluN2B/NR2B can be used in a range of immunoassay formats including, but not limited to, Western Blot (WB), Immunohistochemistry (IHC), Immunocytochemistry/Immunofluorescence (ICC/IF), Immunoprescipitation (IP), AM. WB: (1:1000) IHC: (1:1000) ICC/IF: (1:100) optimal dilutions for assays should be determined by the user. Researchers should empirically determine the suitability of the Grin2b grin2b for an application not listed in the data sheet. Researchers commonly develop new applications and it is an integral, important part of the investigative research process. It is sometimes possible for the material contained within the vial of "GluN2B/NR2B, Monoclonal Antibody" to become dispersed throughout the inside of the vial, particularly around the seal of said vial, during shipment and storage. We always suggest centrifuging these vials to consolidate all of the liquid away from the lid and to the bottom of the vial prior to opening. Please be advised that certain products may require dry ice for shipping and that, if this is the case, an additional dry ice fee may also be required.

Precautions

All products in the AAA Biotech catalog are strictly for research-use only, and are absolutely not suitable for use in any sort of medical, therapeutic, prophylactic, in-vivo, or diagnostic capacity. By purchasing a product from AAA Biotech, you are explicitly certifying that said products will be properly tested and used in line with industry standard. AAA Biotech and its authorized distribution partners reserve the right to refuse to fulfill any order if we have any indication that a purchaser may be intending to use a product outside of our accepted criteria.

Disclaimer

Though we do strive to guarantee the information represented in this datasheet, AAA Biotech cannot be held responsible for any oversights or imprecisions. AAA Biotech reserves the right to adjust any aspect of this datasheet at any time and without notice. It is the responsibility of the customer to inform AAA Biotech of any product performance issues observed or experienced within 30 days of receipt of said product. To see additional details on this or any of our other policies, please see our Terms & Conditions page.

Item has been added to Shopping Cart

If you are ready to order, navigate to Shopping Cart and get ready to checkout.

Submit a Question

Please complete the form below and a representative will contact you as soon as possible.

Request more Information

Please complete the form below and a representative will contact you as soon as possible.

Request a Manual

Please complete the form below and a representative will contact you as soon as possible.

Request a Quote

Please complete the form below and a representative will contact you as soon as possible.