Mouse Glypican-3 (GPC3) Monoclonal Antibody | anti-GPC3 antibody
Glypican-3 (GPC3) (Hepatocellular Carcinoma Marker) Mouse Monoclonal Antibody
Gene Names
GPC3; SGB; DGSX; MXR7; SDYS; SGBS; OCI-5; SGBS1; GTR2-2
Reactivity
Human.Others not known
Applications
Immunohistochemistry, Immunofluorescence, Flow Cytometry, Functional Assay
Synonyms
Glypican-3 (GPC3), Antibody; Glypican-3 (GPC3) (Hepatocellular Carcinoma Marker) Mouse Monoclonal Antibody; DGSX; Glypican proteoglycan 3; GPC3; GTR2-2; Heparan sulphate proteoglycan; Intestinal protein OCI-5; MXR7; OCI-5; SDYS; Secreted glypican-3; SGBS1; anti-GPC3 antibody
Host
Mouse
Reactivity
Human.
Others not known
Others not known
Clonality
Monoclonal
Isotype
IgG1, kappa
Clone Number
SPM595
Specificity
Glypican-3 (GPC3) is a glycosylphospatidyl inositol-anchored membrane protein, which may also be found in a secreted form. Anti-GPC3 has been identified as a useful tumor marker for the hepatocellular carcinoma (HCC), hepatoblastoma, melanoma, testicular germ cell tumors, and Wilms tumor. In patients with HCC, GPC3 is overexpressed in neoplastic liver tissue and elevated in serum, but is undetectable in normal liver, benign liver, and the serum of healthy donors. GPC3 expression is also found to be higher in HCC liver tissue than in cirrhotic liver or liver with focal lesions such as dysplastic nodules and areas of hepatic adenoma (HA) with malignant transformation. In the context of testicular germ cell tumors, GPC3 expression is up regulated in certain histologic subtypes, specifically yolk sac tumors and choriocarcinoma. A high level of GPC3 expression is also found in some types of embryonal tumors, such as Wilms tumor and hepatoblastoma, with a low or undetectable expression in normal adjacent tissue. In patients with thyroid cancer, expression of GPC3 is dramatically enhanced in certain types of cancers: 100% in follicular carcinoma and 70% in papillary carcinoma. Expression of GPC3 in follicular carcinoma is significantly higher than that of follicular adenoma. In contrast, GPC3 is not expressed in anaplastic carcinoma.
Form/Format
200ug/ml of Ab purified from Bioreactor Concentrate by Protein A/G. Prepared in 1mM PBS with 0.05% BSA & 0.05% azide. Also available WITHOUT BSA & azide at 1.0mg/ml.
Sequence Length
603
Applicable Applications for anti-GPC3 antibody
IHC (Immunohistochemistry), IF (Immunofluorescence), FCM/FACS (Flow Cytometry)
Cellular Localization
Cytoplasmic
Immunogen
A recombinant fragment containing amino acids 511-580 of human glypican-3
Hu-Chromosome Location
Xq26.2
Positive Control
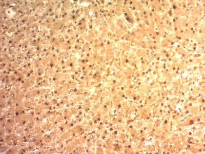
293T cells or Hepatocellular carcinoma
Preparation and Storage
Antibody without azide - store at -20°C to -80°C. Antibody is stable for 24 months. Non-hazardous. No MSDS required.
References
Yan, B., et al. 2011. Expression and clinicopathologic significance of glypican 3 in hepatocellular carcinoma. Ann. Diagn. Pathol. 15: 162-169.
NCBI and Uniprot Product Information
NCBI GI #
NCBI GeneID
NCBI Accession #
NCBI GenBank Nucleotide #
Molecular Weight
67kDa
NCBI Official Full Name
glypican-3 isoform 1
NCBI Official Synonym Full Names
glypican 3
NCBI Official Symbol
GPC3
NCBI Official Synonym Symbols
SGB; DGSX; MXR7; SDYS; SGBS; OCI-5; SGBS1; GTR2-2
NCBI Protein Information
glypican-3
UniProt Protein Name
Glypican-3
UniProt Gene Name
GPC3
UniProt Synonym Gene Names
OCI5
UniProt Entry Name
GPC3_HUMAN
Customer Reviews
Loading reviews...
Share Your Experience
Similar Products
Product Notes
The GPC3 gpc3 (Catalog #AAA62839) is an Antibody produced from Mouse and is intended for research purposes only. The product is available for immediate purchase. The Glypican-3 (GPC3) (Hepatocellular Carcinoma Marker) Mouse Monoclonal Antibody reacts with Human. Others not known and may cross-react with other species as described in the data sheet. AAA Biotech's Glypican-3 (GPC3) can be used in a range of immunoassay formats including, but not limited to, IHC (Immunohistochemistry), IF (Immunofluorescence), FCM/FACS (Flow Cytometry). Researchers should empirically determine the suitability of the GPC3 gpc3 for an application not listed in the data sheet. Researchers commonly develop new applications and it is an integral, important part of the investigative research process. It is sometimes possible for the material contained within the vial of "Glypican-3 (GPC3), Monoclonal Antibody" to become dispersed throughout the inside of the vial, particularly around the seal of said vial, during shipment and storage. We always suggest centrifuging these vials to consolidate all of the liquid away from the lid and to the bottom of the vial prior to opening. Please be advised that certain products may require dry ice for shipping and that, if this is the case, an additional dry ice fee may also be required.Precautions
All products in the AAA Biotech catalog are strictly for research-use only, and are absolutely not suitable for use in any sort of medical, therapeutic, prophylactic, in-vivo, or diagnostic capacity. By purchasing a product from AAA Biotech, you are explicitly certifying that said products will be properly tested and used in line with industry standard. AAA Biotech and its authorized distribution partners reserve the right to refuse to fulfill any order if we have any indication that a purchaser may be intending to use a product outside of our accepted criteria.Disclaimer
Though we do strive to guarantee the information represented in this datasheet, AAA Biotech cannot be held responsible for any oversights or imprecisions. AAA Biotech reserves the right to adjust any aspect of this datasheet at any time and without notice. It is the responsibility of the customer to inform AAA Biotech of any product performance issues observed or experienced within 30 days of receipt of said product. To see additional details on this or any of our other policies, please see our Terms & Conditions page.Item has been added to Shopping Cart
If you are ready to order, navigate to Shopping Cart and get ready to checkout.
