Mouse gp100 / Melanosome / PMEL17 / SILV Monoclonal Antibody | anti-SILV antibody
gp100 / Melanosome / PMEL17 / SILV (Melanoma Marker) Mouse Monoclonal Antibody
Gene Names
PMEL; P1; SI; SIL; ME20; P100; SILV; ME20M; gp100; ME20-M; PMEL17; D12S53E
Reactivity
Human.Others not tested
Applications
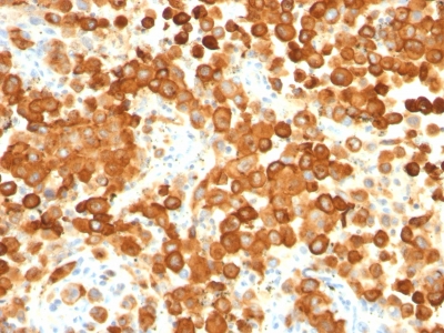
Immunohistochemistry, Immunofluorescence, Flow Cytometry, Functional Assay
Synonyms
gp100 / Melanosome / PMEL17 / SILV, Antibody; gp100 / Melanosome / PMEL17 / SILV (Melanoma Marker) Mouse Monoclonal Antibody; 95kDa melanocyte-specific secreted glycoprotein, M-beta, Melanocyte lineage specific antigen GP100, Melanocyte protein Pmel 17, Melanoma associated ME20 antigen, Melanosomal matrix protein17, p100, p26, PMEL17, Premelanosome protein, Secreted melanoma-associated ME20 antigen, SILV, Silver homolog; anti-SILV antibody
Host
Mouse
Reactivity
Human.
Others not tested
Others not tested
Clonality
Monoclonal
Isotype
IgG
Clone Number
HMB45 + PMEL/783
Specificity
By immunohistochemistry, it specifically recognizes a protein in melanocytes and melanomas. This MAb reacts with junctional and blue nevus cells and variably with fetal and neonatal melanocytes. Intradermal nevi, normal adult melanocytes, and non-melanocytic cells are negative. It does not stain tumor cells of epithelial, lymphoid, glial, or mesenchymal origin. Metastatic amelanotic melanoma can often be confused with a variety of poorly differentiated carcinomas, large cell lymphomas, and sarcomas using H & E stains alone. It is also difficult to differentiate melanoma from spindle cell carcinomas and various types of mesenchymal neoplasms. This MAb stains fetal and neonatal melanocytes, junctional and blue nevus cells, and malignant melanoma. This MAb also stains Angiomyolipoma (PEComa).
Form/Format
200ug/ml of Ab purified from Bioreactor Concentrate by Protein A/G. Prepared in 10mM PBS with 0.05% BSA & 0.05% azide. Also available WITHOUT BSA & azide at 1.0mg/ml.
Sequence Length
575
Applicable Applications for anti-SILV antibody
IHC (Immunohistochemistry), IF (Immunofluorescence), FCM/FACS (Flow Cytometry)
Cellular Localization
Cytoplasmic
Immunogen
Extract of pigmented melanoma metastases from lymph nodes (HMB45); Recombinant human SILV protein (PMEL/783)
Hu-Chromosome Location
12q13.2
Positive Control
SK-MEL-28 cells or Melanoma
Preparation and Storage
Antibody with azide - store at 2 to 8 degree C. Antibody without azide - store at -20 to -80 degree C. Antibody is stable for 24 months. Non-hazardous. No MSDS required.
References
Gown AM, et. al. American Journal of Pathology, 1986, 123(2):195-203
NCBI and Uniprot Product Information
NCBI GI #
NCBI GeneID
NCBI Accession #
NCBI GenBank Nucleotide #
Molecular Weight
90-100kDa
NCBI Official Full Name
melanocyte protein PMEL isoform 2
NCBI Official Synonym Full Names
premelanosome protein
NCBI Official Symbol
PMEL
NCBI Official Synonym Symbols
P1; SI; SIL; ME20; P100; SILV; ME20M; gp100; ME20-M; PMEL17; D12S53E
NCBI Protein Information
melanocyte protein PMEL
UniProt Protein Name
Melanocyte protein PMEL
UniProt Gene Name
PMEL
UniProt Synonym Gene Names
D12S53E; PMEL17; SILV; ME20M; ME20-S; ME20S
UniProt Entry Name
PMEL_HUMAN
Customer Reviews
Loading reviews...
Share Your Experience
Similar Products
Product Notes
The SILV pmel (Catalog #AAA62851) is an Antibody produced from Mouse and is intended for research purposes only. The product is available for immediate purchase. The gp100 / Melanosome / PMEL17 / SILV (Melanoma Marker) Mouse Monoclonal Antibody reacts with Human. Others not tested and may cross-react with other species as described in the data sheet. AAA Biotech's gp100 / Melanosome / PMEL17 / SILV can be used in a range of immunoassay formats including, but not limited to, IHC (Immunohistochemistry), IF (Immunofluorescence), FCM/FACS (Flow Cytometry). Researchers should empirically determine the suitability of the SILV pmel for an application not listed in the data sheet. Researchers commonly develop new applications and it is an integral, important part of the investigative research process. It is sometimes possible for the material contained within the vial of "gp100 / Melanosome / PMEL17 / SILV, Monoclonal Antibody" to become dispersed throughout the inside of the vial, particularly around the seal of said vial, during shipment and storage. We always suggest centrifuging these vials to consolidate all of the liquid away from the lid and to the bottom of the vial prior to opening. Please be advised that certain products may require dry ice for shipping and that, if this is the case, an additional dry ice fee may also be required.Precautions
All products in the AAA Biotech catalog are strictly for research-use only, and are absolutely not suitable for use in any sort of medical, therapeutic, prophylactic, in-vivo, or diagnostic capacity. By purchasing a product from AAA Biotech, you are explicitly certifying that said products will be properly tested and used in line with industry standard. AAA Biotech and its authorized distribution partners reserve the right to refuse to fulfill any order if we have any indication that a purchaser may be intending to use a product outside of our accepted criteria.Disclaimer
Though we do strive to guarantee the information represented in this datasheet, AAA Biotech cannot be held responsible for any oversights or imprecisions. AAA Biotech reserves the right to adjust any aspect of this datasheet at any time and without notice. It is the responsibility of the customer to inform AAA Biotech of any product performance issues observed or experienced within 30 days of receipt of said product. To see additional details on this or any of our other policies, please see our Terms & Conditions page.Item has been added to Shopping Cart
If you are ready to order, navigate to Shopping Cart and get ready to checkout.
