Mouse HGAL (Human Germinal Center Associated Lymphoma Marker) Monoclonal Antibody | anti-GCSAM antibody
HGAL (Human Germinal Center Associated Lymphoma Marker) Mouse Monoclonal Antibody [Clone HGAL/2373]
Gene Names
GCSAM; HGAL; GCAT2; GCET2
Reactivity
Human
Applications
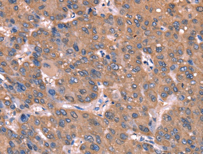
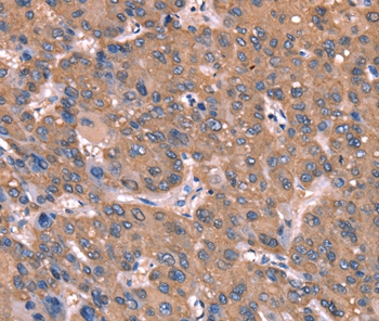
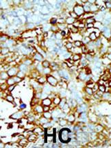
Immunohistochemistry
Synonyms
HGAL (Human Germinal Center Associated Lymphoma Marker), Antibody; HGAL (Human Germinal Center Associated Lymphoma Marker) Mouse Monoclonal Antibody [Clone HGAL/2373]; GCAT2; GCET2 germinal center expressed transcript 2; Germinal center associated lymphoma (hGAL); Germinal center B-cell-expressed transcript 2 protein; Germinal center-associated signaling and motility protein; anti-GCSAM antibody
Host
Mouse
Reactivity
Human
Clonality
Monoclonal
Isotype
Mouse/IgG2b, kappa
Clone Number
HGAL/2373
Form/Format
200ug/ml of Ab purified from Bioreactor Concentrate by Protein A/G. Prepared in 10mM PBS with 0. 05% BSA & 0. 05% azide. Also available WITHOUT BSA & azide at 1.0mg/ml.
Concentration
Purified Ab with BSA and Azide at 200ug/ml
OR
Purified Ab WITHOUT BSA and Azide at 1.0mg/ml (varies by lot)
OR
Purified Ab WITHOUT BSA and Azide at 1.0mg/ml (varies by lot)
Applicable Applications for anti-GCSAM antibody
IHC (Immunohistochemistry)
Immunogen
Recombinant fragment (178 Amino acid residues from around aa1-200) of human HGAL protein
Cellular Localization
Cytoplasm, Cell membrane
Positive Control
Daudi, Raji or U266 cells. Human lymphocytes. Human lymph node, tonsil or testis.
Hu-chromosome Location
3q13.2.2
Unigene
49614
Preparation and Storage
Antibody with azide: store at 2 to 8 degree C
Antibody without azide: store at -20 to -80 degree C
Antibody is stable for 24 months. Non-hazardous. No MSDS required.
Antibody without azide: store at -20 to -80 degree C
Antibody is stable for 24 months. Non-hazardous. No MSDS required.
Related Product Information for anti-GCSAM antibody
Recognizes a protein of kDa, which is identified as HGAL. It contains a putative PDZ-interacting domain, an immunoreceptor tyrosine-based activation motif (ITAM), and two putative SH2 binding sites. In B cells, its expression is specifically induced by interleukin-4. HGAL is specifically expressed in germinal center B-cells, but is absent in mantle and marginal zone B-cells and in the inter-follicular and para-cortical regions in normal tonsils and lymph nodes. Its high degree of specificity for germinal center B-cells makes anti-HGAL an ideal marker for the detection of germinal center-derived B-cell lymphomas. HGAL expression has been used to help elucidate nodal marginal zone lymphoma (NMZL) from cases of diffuse follicle center lymphoma. Additionally, HGAL expression was shown to correlate with survival in patients with diffuse large B-cell lymphoma (DLBCL).
NCBI and Uniprot Product Information
NCBI GI #
NCBI GeneID
NCBI Accession #
NCBI GenBank Nucleotide #
Molecular Weight
19,206 Da
NCBI Official Full Name
germinal center-associated signaling and motility protein isoform 3
NCBI Official Synonym Full Names
germinal center-associated, signaling and motility
NCBI Official Symbol
GCSAM
NCBI Official Synonym Symbols
HGAL; GCAT2; GCET2
NCBI Protein Information
germinal center-associated signaling and motility protein; germinal center B-cell-expressed transcript 2 protein; germinal center expressed transcript 2; germinal center-associated lymphoma protein; human germinal center-associated lymphoma
UniProt Protein Name
Germinal center-associated signaling and motility protein
UniProt Gene Name
GCSAM
UniProt Synonym Gene Names
GAL; GCET2; hGAL
UniProt Entry Name
GCSAM_HUMAN
Customer Reviews
Loading reviews...
Share Your Experience
Similar Products
Product Notes
The GCSAM gcsam (Catalog #AAA215671) is an Antibody produced from Mouse and is intended for research purposes only. The product is available for immediate purchase. The HGAL (Human Germinal Center Associated Lymphoma Marker) Mouse Monoclonal Antibody [Clone HGAL/2373] reacts with Human and may cross-react with other species as described in the data sheet. AAA Biotech's HGAL (Human Germinal Center Associated Lymphoma Marker) can be used in a range of immunoassay formats including, but not limited to, IHC (Immunohistochemistry). Researchers should empirically determine the suitability of the GCSAM gcsam for an application not listed in the data sheet. Researchers commonly develop new applications and it is an integral, important part of the investigative research process. It is sometimes possible for the material contained within the vial of "HGAL (Human Germinal Center Associated Lymphoma Marker), Monoclonal Antibody" to become dispersed throughout the inside of the vial, particularly around the seal of said vial, during shipment and storage. We always suggest centrifuging these vials to consolidate all of the liquid away from the lid and to the bottom of the vial prior to opening. Please be advised that certain products may require dry ice for shipping and that, if this is the case, an additional dry ice fee may also be required.Precautions
All products in the AAA Biotech catalog are strictly for research-use only, and are absolutely not suitable for use in any sort of medical, therapeutic, prophylactic, in-vivo, or diagnostic capacity. By purchasing a product from AAA Biotech, you are explicitly certifying that said products will be properly tested and used in line with industry standard. AAA Biotech and its authorized distribution partners reserve the right to refuse to fulfill any order if we have any indication that a purchaser may be intending to use a product outside of our accepted criteria.Disclaimer
Though we do strive to guarantee the information represented in this datasheet, AAA Biotech cannot be held responsible for any oversights or imprecisions. AAA Biotech reserves the right to adjust any aspect of this datasheet at any time and without notice. It is the responsibility of the customer to inform AAA Biotech of any product performance issues observed or experienced within 30 days of receipt of said product. To see additional details on this or any of our other policies, please see our Terms & Conditions page.Item has been added to Shopping Cart
If you are ready to order, navigate to Shopping Cart and get ready to checkout.
