Mouse HSP90beta Monoclonal Antibody | anti-HSP90beta antibody
HSP90beta Mouse mAb
Gene Names
HSP90AB1; HSP84; HSPC2; HSPCB; D6S182; HSP90B
Reactivity
Human, Rat, Mouse
Applications
Immunohistochemistry, Western Blot
Synonyms
HSP90beta, Antibody; HSP90beta Mouse mAb; Heat shock 90KD protein 1 beta; HS90B; HSP90B; HSP90 beta; HSPCB; HSPC2; HSP 90b; HSP84; anti-HSP90beta antibody
Host
Mouse
Reactivity
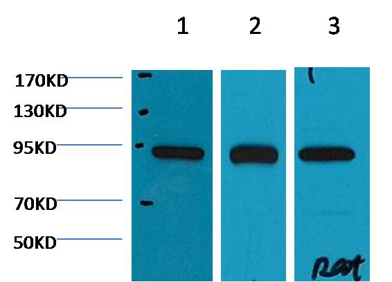
Human, Rat, Mouse
Clonality
Monoclonal
Isotype
IgG1
Form/Format
PBS with 0.02% sodium azide and 50% glycerol pH7.4.
Concentration
1mg/ml (varies by lot)
Applicable Applications for anti-HSP90beta antibody
IHC (Immunohistochemistry), WB (Western Blot)
Species
Human
Immunogen
Synthetic Peptide
Preparation and Storage
Store at -20 degree C. Avoid repeated freeze-thaw cycles.
Related Product Information for anti-HSP90beta antibody
Hsp90 (heat shock protein 90) is a chaperone protein that assists other proteins to fold properly, stabilizes proteins against heat stress, and aids in protein degradation. In mammalian cells, there are two or more genes encoding cytosolic Hsp90 homologues, with the human Hsp90alpha showing 85% sequence identity to Hsp90beta.
Product Categories/Family for anti-HSP90beta antibody
NCBI and Uniprot Product Information
NCBI GI #
NCBI GeneID
NCBI Accession #
NCBI GenBank Nucleotide #
Molecular Weight
83,264 Da
NCBI Official Full Name
heat shock protein HSP 90-beta isoform a
NCBI Official Synonym Full Names
heat shock protein 90kDa alpha (cytosolic), class B member 1
NCBI Official Symbol
HSP90AB1
NCBI Official Synonym Symbols
HSP84; HSPC2; HSPCB; D6S182; HSP90B
NCBI Protein Information
heat shock protein HSP 90-beta; HSP90-beta; heat shock 84 kDa; heat shock 90kD protein 1, beta
UniProt Protein Name
Heat shock protein HSP 90-beta
UniProt Gene Name
HSP90AB1
UniProt Synonym Gene Names
HSP90B; HSPC2; HSPCB; HSP 90; HSP 84; HSP84
UniProt Entry Name
HS90B_HUMAN
Customer Reviews
Loading reviews...
Share Your Experience
Similar Products
Product Notes
The HSP90beta hsp90ab1 (Catalog #AAA276824) is an Antibody produced from Mouse and is intended for research purposes only. The product is available for immediate purchase. The HSP90beta Mouse mAb reacts with Human, Rat, Mouse and may cross-react with other species as described in the data sheet. AAA Biotech's HSP90beta can be used in a range of immunoassay formats including, but not limited to, IHC (Immunohistochemistry), WB (Western Blot). Researchers should empirically determine the suitability of the HSP90beta hsp90ab1 for an application not listed in the data sheet. Researchers commonly develop new applications and it is an integral, important part of the investigative research process. It is sometimes possible for the material contained within the vial of "HSP90beta, Monoclonal Antibody" to become dispersed throughout the inside of the vial, particularly around the seal of said vial, during shipment and storage. We always suggest centrifuging these vials to consolidate all of the liquid away from the lid and to the bottom of the vial prior to opening. Please be advised that certain products may require dry ice for shipping and that, if this is the case, an additional dry ice fee may also be required.Precautions
All products in the AAA Biotech catalog are strictly for research-use only, and are absolutely not suitable for use in any sort of medical, therapeutic, prophylactic, in-vivo, or diagnostic capacity. By purchasing a product from AAA Biotech, you are explicitly certifying that said products will be properly tested and used in line with industry standard. AAA Biotech and its authorized distribution partners reserve the right to refuse to fulfill any order if we have any indication that a purchaser may be intending to use a product outside of our accepted criteria.Disclaimer
Though we do strive to guarantee the information represented in this datasheet, AAA Biotech cannot be held responsible for any oversights or imprecisions. AAA Biotech reserves the right to adjust any aspect of this datasheet at any time and without notice. It is the responsibility of the customer to inform AAA Biotech of any product performance issues observed or experienced within 30 days of receipt of said product. To see additional details on this or any of our other policies, please see our Terms & Conditions page.Item has been added to Shopping Cart
If you are ready to order, navigate to Shopping Cart and get ready to checkout.
