Purified IgG - liquid
Preparation
Buffer Solution
Shelf Life: 18 months from date of despatch.
Application Data
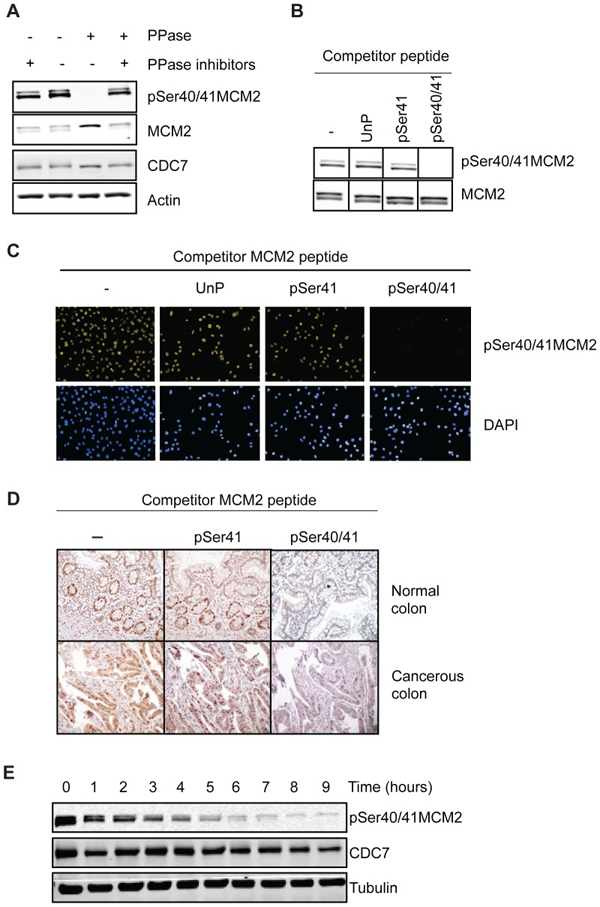
(Published customer imageCharacterization of pSer40/41MCM2 antibody. A) HeLa whole cell extract was incubated with Lambda phosphatase in the presence or absence of phosphatase inhibitors. Proteins were analyzed by western blot with the indicated antibodies. B) Equal amounts of protein extract were separated on a single SDS-PAGE gel and transferred onto membranes. Vertical slices of membrane (each with identical protein content) were then incubated with anti-pSer40/41MCM2 antibody in the presence of the indicated competitor peptides (upper panels). Membranes were then re-probed with an anti-MCM2 antibody (lower panels). Identical exposures are shown. C) HeLa cells growing on coverslips were fixed and stained with anti-pSer40/41MCM2 antibody in the presence of the indicated competitor peptides. DNA was counterstained with DAPI. D) Serial sections of normal and cancerous colon tissue were used in IHC with the pSer40/41MCM2 antibody in the presence or absence of competitor peptide. Nuclear positivity is shown by brown color. E) HeLa cells were treated with PHA-767491 for the indicated time. Protein extracts were prepared and analysed by western blot with the indicated antibodies.From: FitzGerald J, Murillo LS, O'Brien G, O'Connell E, O'Connor A, et al. (2014) A High Through-Put Screen for Small Molecules Modulating MCM2 Phosphorylation Identifies Ryuvidine as an Inducer of the DNA Damage Response. PLoS ONE 9(6): e98891.)
Application Data
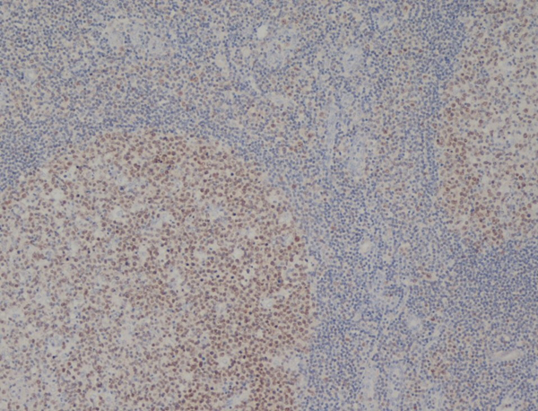
(Paraffin embedded human tonsil stained with Mouse anti Human MCM2 following citrate antigen retrieval)
Application Data
(Published customer image: Ryuvidine and Mitoxantrone reduce CDC7 levels and pSer40/41 MCM2 phosphorylation. A) Molecular structure of PHA-767491, Ryuvidine and Mitoxantrone. B) HeLa cells were incubated with either CDC7 inhibitor PHA-767491, Ryuvidine or Mitoxantrone at 10 micromolar each for the indicated time. Protein extracts were prepared and analyzed by western blot with the indicated antibodies. C) Levels of Cdc7-independent pSer41MCM2 and Cdc7-dependent pSer40/41MCM2 phosphorylation assessed in HeLa cells treated with the indicated concentration of PHA-767491, Ryuvidine or Mitoxantrone. D) Cells were incubated with either PHA-767491, Ryuvidine or Mitoxantrone at the indicated concentration for nine hours. Protein extracts were then prepared and analyzed by western blot with the indicated antibodies. E) HeLa cells incubated with either PHA-767491, Ryuvidine or Mitoxantrone at 10 micromolar each for nine hours in the presence or absence of 20 micromolar of caspase inhibitor Boc-D-fmk. Levels of Ser40/41MCM2 phosphorylation, CDC7 and MCM2 abundance as well as PARP cleavage, were assessed by western blotting.From: FitzGerald J, Murillo LS, O'Brien G, O'Connell E, O'Connor A, et al. (2014) A High Through-Put Screen for Small Molecules Modulating MCM2 Phosphorylation Identifies Ryuvidine as an Inducer of the DNA Damage Response. PLoS ONE 9(6): e98891.)
Application Data
(Published customer image: Confirmation and in vitro characterization of Hit compounds. A) HeLa cells were treated with the ten compounds that produced the strongest reduction in pSer40/41MCM2 levels in the primary screen. Protein extracts were prepared and levels of residual pSer40/41MCM2 phosphorylation were measured by western blot analysis with the indicated antibodies. B) The same compounds were tested for their ability to inhibit CDC7 kinase activity in in vitro kinase assay. Kinase reactions were performed on a synthetic MCM2 substrate in the absence or presence of the indicated drug and reactions were run on SDS-PAGE gels. CDC7 activity on the synthetic MCM2 substrate was monitored by Western blotting with an anti-pSer108MCM2 antibody. As a control the levels of CDC7 kinase and synthetic MCM2 substrate present in each reaction were also assessed and shown to be similar in all reactions.From: FitzGerald J, Murillo LS, O'Brien G, O'Connell E, O'Connor A, et al. (2014) A High Through-Put Screen for Small Molecules Modulating MCM2 Phosphorylation Identifies Ryuvidine as an Inducer of the DNA Damage Response. PLoS ONE 9(6): e98891.)
NCBI and Uniprot Product Information
Customer Reviews
Loading reviews...
Share Your Experience
Similar Products
Product Notes
The MCM2 mcm2 (Catalog #AAA49305) is an Antibody produced from Mouse and is intended for research purposes only. The product is available for immediate purchase. AAA Biotech's MCM2 can be used in a range of immunoassay formats including, but not limited to, WB (Western Blot), IHC (Immunohistochemistry), IHC (Immunohistochemistry). Researchers should empirically determine the suitability of the MCM2 mcm2 for an application not listed in the data sheet. Researchers commonly develop new applications and it is an integral, important part of the investigative research process. It is sometimes possible for the material contained within the vial of "MCM2, Monoclonal Antibody" to become dispersed throughout the inside of the vial, particularly around the seal of said vial, during shipment and storage. We always suggest centrifuging these vials to consolidate all of the liquid away from the lid and to the bottom of the vial prior to opening. Please be advised that certain products may require dry ice for shipping and that, if this is the case, an additional dry ice fee may also be required.Precautions
All products in the AAA Biotech catalog are strictly for research-use only, and are absolutely not suitable for use in any sort of medical, therapeutic, prophylactic, in-vivo, or diagnostic capacity. By purchasing a product from AAA Biotech, you are explicitly certifying that said products will be properly tested and used in line with industry standard. AAA Biotech and its authorized distribution partners reserve the right to refuse to fulfill any order if we have any indication that a purchaser may be intending to use a product outside of our accepted criteria.Disclaimer
Though we do strive to guarantee the information represented in this datasheet, AAA Biotech cannot be held responsible for any oversights or imprecisions. AAA Biotech reserves the right to adjust any aspect of this datasheet at any time and without notice. It is the responsibility of the customer to inform AAA Biotech of any product performance issues observed or experienced within 30 days of receipt of said product. To see additional details on this or any of our other policies, please see our Terms & Conditions page.Item has been added to Shopping Cart
If you are ready to order, navigate to Shopping Cart and get ready to checkout.
