Mouse anti-Human MSH2 Monoclonal Antibody | anti-MSH2 antibody
MSH2 (BSB-147)
Reactivity
Human
Synonyms
MSH2, Antibody; MSH2 (BSB-147); COCA1; DNA mismatch repair protein Msh2; FCC1; hMSH2; HNPCC; HNPCC1; homolog 2 colon cancer nonpolyposis type 1 E coli; MutS protein homolog 2; msh-2; anti-msh2; anti-msh-2; anti msh2; anti msh-2; anti msh 2; anti-MSH2 antibody
Host
Mouse
Reactivity
Human
Clonality
Monoclonal
Isotype
IgG1
Clone Number
BSB-147
Form/Format
Paraffin, Frozen
MSH2 antibody is a mouse monoclonal antibody for immunohistochemistry derived from cell culture supernatant that is concentrated, dialyzed, filter sterilized and diluted in buffer pH7.5, containing BSA and sodium azide as a preservativ
MSH2 antibody is a mouse monoclonal antibody for immunohistochemistry derived from cell culture supernatant that is concentrated, dialyzed, filter sterilized and diluted in buffer pH7.5, containing BSA and sodium azide as a preservativ
Immunogen
Recombinant Human MSH2 Protein.
Control
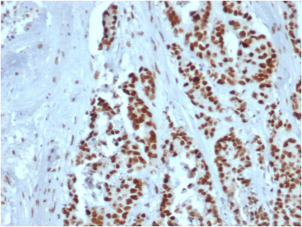
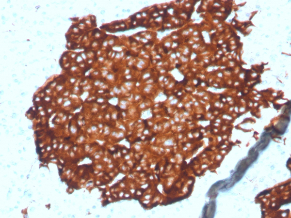
Colon, Skin, Breast, Tonsil, Fallopian Tube, Colon Carcinoma
Localization
Nuclear
Preparation and Storage
Store at 2-8 degree C (Control Slides: Store at 20-25 degree C)
Related Product Information for anti-MSH2 antibody
MSH2 is a mouse monoclonal antibody for immunohistochemistry from Bio SB. MSH2 is a mismatch repair gene commonly associated with Hereditary Non-Polyposis Colorectal Cancer (HNPCC). This gene was identified as a locus frequently mutated in HNPCC. When cloned, it is a human homolog of the E. coli DNA mismatch repair gene mutS, consistent with the characteristic alterations in microsatellite sequences (RER+ phenotype) found in HNPCC.
MSH2 antibody expression is abnormally deficient in a high proportion of patients with microsatellite instability (MSI-H). This finding is associated with the autosomal dominant condition found in Hereditary Non-Polyposis Colon Cancer. This MSH2 antibody (along with MLH1 antibody) is useful in screening patients and families for this rare condition. Colon cancers that are microsatellite unstable have a better prognosis than their microsatellite stable counterparts.
MSH2 antibody expression is abnormally deficient in a high proportion of patients with microsatellite instability (MSI-H). This finding is associated with the autosomal dominant condition found in Hereditary Non-Polyposis Colon Cancer. This MSH2 antibody (along with MLH1 antibody) is useful in screening patients and families for this rare condition. Colon cancers that are microsatellite unstable have a better prognosis than their microsatellite stable counterparts.
References
1. Intestinal Research: "Topographic, histological and molecular study of aberrant crypt foci identified in human colon in different clinical groups"
Customer Reviews
Loading reviews...
Share Your Experience
Similar Products
Product Notes
The MSH2 (Catalog #AAA59366) is an Antibody produced from Mouse and is intended for research purposes only. The product is available for immediate purchase. The MSH2 (BSB-147) reacts with Human and may cross-react with other species as described in the data sheet. It is sometimes possible for the material contained within the vial of "MSH2, Monoclonal Antibody" to become dispersed throughout the inside of the vial, particularly around the seal of said vial, during shipment and storage. We always suggest centrifuging these vials to consolidate all of the liquid away from the lid and to the bottom of the vial prior to opening. Please be advised that certain products may require dry ice for shipping and that, if this is the case, an additional dry ice fee may also be required.Precautions
All products in the AAA Biotech catalog are strictly for research-use only, and are absolutely not suitable for use in any sort of medical, therapeutic, prophylactic, in-vivo, or diagnostic capacity. By purchasing a product from AAA Biotech, you are explicitly certifying that said products will be properly tested and used in line with industry standard. AAA Biotech and its authorized distribution partners reserve the right to refuse to fulfill any order if we have any indication that a purchaser may be intending to use a product outside of our accepted criteria.Disclaimer
Though we do strive to guarantee the information represented in this datasheet, AAA Biotech cannot be held responsible for any oversights or imprecisions. AAA Biotech reserves the right to adjust any aspect of this datasheet at any time and without notice. It is the responsibility of the customer to inform AAA Biotech of any product performance issues observed or experienced within 30 days of receipt of said product. To see additional details on this or any of our other policies, please see our Terms & Conditions page.Item has been added to Shopping Cart
If you are ready to order, navigate to Shopping Cart and get ready to checkout.
