MSH2 Polyclonal Antibody | anti-MSH2 antibody
Anti-MSH2 Antibody
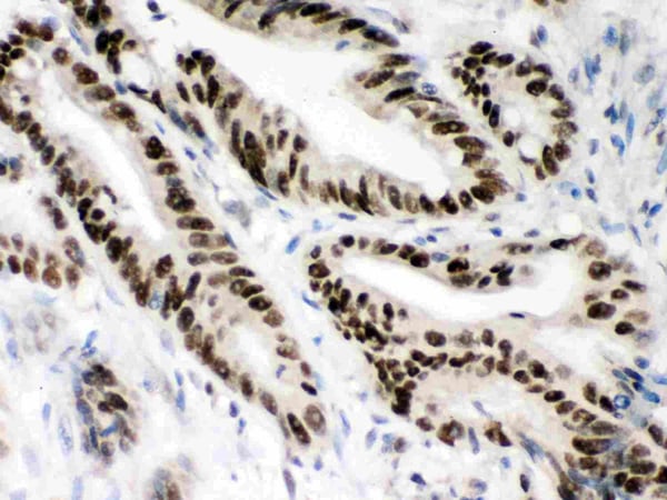
IHC (Immunohistochemistry)
(Anti- MSH2 Picoband antibody, AAA46503, IHC(P)IHC(P): Human Intestinal Cancer Tissue)
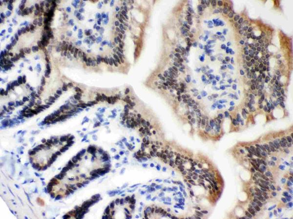
IHC (Immunohistochemisry)
(Anti- MSH2 Picoband antibody, AAA46503, IHC(P)IHC(P): Rat Intestine Tissue)
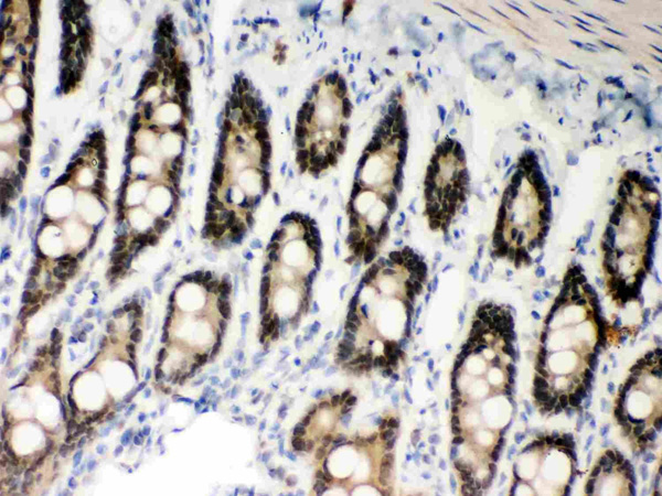
IHC (Immunohiostchemistry)
(Anti- MSH2 Picoband antibody, AAA46503, IHC(P)IHC(P): Mouse Intestine Tissue)
WB (Western Blot)
(Anti- MSH2 Picoband antibody, AAA46503, Western blottingAll lanes: Anti MSH2 (AAA46503) at 0.5ug/mlLane 1: Mouse Testis Tissue Lysate at 50ugLane 2: Mouse Skeletal Muscle Tissue Lysate at 50ugLane 3: HELA Whole Cell Lysate at 40ugLane 4: A549 Whole Cell Lysate at 40ugLane 5: SMMC Whole Cell Lysate at 40ugPredicted bind size: 105KDObserved bind size: 105KD)
Background: DNA mismatch repair protein Msh2, also known as MutS protein homolog 2 or MSH2, is a protein that in humans is encoded by the MSH2 gene, which is located on chromosome 2. MSH2 is a tumor suppressor gene and more specifically a caretaker gene that codes for a DNA mismatch repair (MMR) protein, MSH2 which forms aheterodimer with MSH6 to make the human MutSalpha mismatch repair complex. It also dimerizes with MSH3 to form the MutSbeta DNA repair complex. MSH2 is involved in many different forms of DNA repair, including transcription-coupled repair, homologous recombination, and base excision repair. It has been found that MSH2 may also be a coactivator of ESR1-dependent gene expression.
NCBI and Uniprot Product Information
Customer Reviews
Loading reviews...
Share Your Experience
Similar Products
Product Notes
The MSH2 msh2 (Catalog #AAA46503) is an Antibody and is intended for research purposes only. The product is available for immediate purchase. The Anti-MSH2 Antibody reacts with Human, Mouse, Rat and may cross-react with other species as described in the data sheet. AAA Biotech's MSH2 can be used in a range of immunoassay formats including, but not limited to, ICC (Immunocytochemistry), IHC (Immunohistochemistry), WB (Western Blot). Researchers should empirically determine the suitability of the MSH2 msh2 for an application not listed in the data sheet. Researchers commonly develop new applications and it is an integral, important part of the investigative research process. It is sometimes possible for the material contained within the vial of "MSH2, Polyclonal Antibody" to become dispersed throughout the inside of the vial, particularly around the seal of said vial, during shipment and storage. We always suggest centrifuging these vials to consolidate all of the liquid away from the lid and to the bottom of the vial prior to opening. Please be advised that certain products may require dry ice for shipping and that, if this is the case, an additional dry ice fee may also be required.Precautions
All products in the AAA Biotech catalog are strictly for research-use only, and are absolutely not suitable for use in any sort of medical, therapeutic, prophylactic, in-vivo, or diagnostic capacity. By purchasing a product from AAA Biotech, you are explicitly certifying that said products will be properly tested and used in line with industry standard. AAA Biotech and its authorized distribution partners reserve the right to refuse to fulfill any order if we have any indication that a purchaser may be intending to use a product outside of our accepted criteria.Disclaimer
Though we do strive to guarantee the information represented in this datasheet, AAA Biotech cannot be held responsible for any oversights or imprecisions. AAA Biotech reserves the right to adjust any aspect of this datasheet at any time and without notice. It is the responsibility of the customer to inform AAA Biotech of any product performance issues observed or experienced within 30 days of receipt of said product. To see additional details on this or any of our other policies, please see our Terms & Conditions page.Item has been added to Shopping Cart
If you are ready to order, navigate to Shopping Cart and get ready to checkout.
