Host
Mouse
Reactivity
Human
Clonality
Monoclonal
Isotype
IgG1
Form/Format
Anti-MSH2 is a Mouse Monoclonal antibody derived from cell culture supernatant that is concentrated, dialyzed, filter sterilized and diluted in buffer pH 7.5, containing BSA and sodium azide as a preservative.
Immunogen
Recombinant Human MSH2 Protein.
Localization
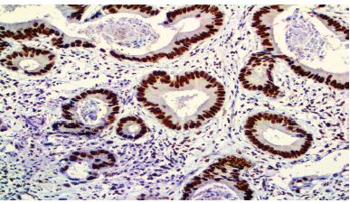
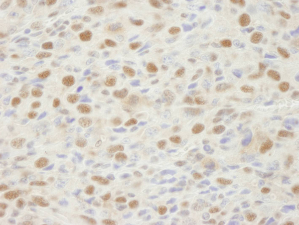
Nuclear
Control
Colon, Skin, Breast, Tonsil, Fallopian Tube, Colon Carcinoma
Precautions
1. For professional users only. Results should be interpreted by a qualified medical professional.
2. This product contains <0.1% sodium azide (NaN3) as a preservative. Ensure proper handling procedures are used with this reagent.
3. Always wear personal protective equipment such as a laboratorycoat, goggles, and gloves when handling reagents.
4. Dispose of unused solution with copious amounts of water.
5. Do not ingest reagent. If reagent is ingested, seek medical advice immediately.
6. Avoid contact with eyes. If contact occurs, flush with large quantities of water.
7. Follow safety precautions of the heating device used for epitope retrieval (TintoRetriever Pressure Cooker or similar).
8. For additional safetyinformation refer to Safety Data Sheet for this product.
9. For complete recommendations for handling biological specimens, please refer to the CDC document,“Guidelines for Safe Work Practices in Human and AMDL” (see References in this document).
2. This product contains <0.1% sodium azide (NaN3) as a preservative. Ensure proper handling procedures are used with this reagent.
3. Always wear personal protective equipment such as a laboratorycoat, goggles, and gloves when handling reagents.
4. Dispose of unused solution with copious amounts of water.
5. Do not ingest reagent. If reagent is ingested, seek medical advice immediately.
6. Avoid contact with eyes. If contact occurs, flush with large quantities of water.
7. Follow safety precautions of the heating device used for epitope retrieval (TintoRetriever Pressure Cooker or similar).
8. For additional safetyinformation refer to Safety Data Sheet for this product.
9. For complete recommendations for handling biological specimens, please refer to the CDC document,“Guidelines for Safe Work Practices in Human and AMDL” (see References in this document).
Stability
This product is stable up to the expiration date on the product label. Do not use after expiration date listed on the package label. Temperature fluctuations should be avoided. Store appropriately when not in use, and avoid prolonged exposure to room temperature conditions.
Specimen Preparation
Paraffin sections:The antibodycan be used on formalin-fixed paraffin-embedded (FFPE) tissue sections. Ensure tissue undergoes appropriate fixation for best results. Pre-treatment of tissues with heat-induced epitope retrieval (HIER) is recommended using Bio SB ImmunoDNA Retriever with Citrate (BSB 0020-BSB 0023), ImmunoDNA Retriever with EDTA (BSB 0030-BSB 0033), or ImmunoDNA Digestor (BSB 0108-0112). Tissue should remain hydrated via use of Bio SB Immuno/DNAWasher solutions (BSB 0029 & BSB 0042).
Frozen sections and cell preparations
The antibody can be used on acetone-fixed frozen sections and acetone-fixed cell preparations.
IHC Protocol
1. Cut and mount 3-5 micron formalin-fixed paraffin-embedded tissues on positivelycharged slides such as Bio SB Hydrophilic Plus Slides (BSB7028).
2. Air dryfor 2 hours at 58° C.
3. Deparaffinize, dehydrate and rehydrate tissues.
4. Subject tissues to heat induced epitope retrieval (HIER) using a suitable retrieval solution such as ImmunoDNA Retriever with Citrate(BSB 0020-BSB 0023) or EDTA (BSB 0030-BSB 0033).
5. Any of three heating methods may be used:
a.TintoRetriever Pressure Cooker or Equivalent
Place tissues/slides in a staining dish or coplin jar containing the ImmunoDNA Retriever with Citrate or EDTA and place on trivet in the pressure cooker. Add 1-2 inches of distilled water to the pressure cooker and turn heat to high. Incubate for 15 minutes. Open and immediately transfer slides to room temperature.
b.TintoRetriever PT Module or Water Bath Method
Place tissues/slides in a pre-warmed staining dish or coplin jar containing the ImmunoDNA Retriever with Citrate or EDTA at 95°-99° C. Incubate for 30-60 minutes.
c. Conventional Steamer Method
Place tissues/slides in a pre-warmed staining dish or coplin jar containing the ImmunoDNA Retriever with Citrate or EDTA in a steamer, cover and steam for 30-60 minutes.
6. After heat treatment, transfer slides in ImmunoDNA Retriever with Citrate or EDTA to room temperature and let stand for 15-20 minutes.
7. For manual IHC, perform antibodyincubation at ambient temperature. For automated IHC methods, perform antibodyincubation according to instrument manufacturer’s instructions.
8.Wash slides with ImmunoDNA washer or DI water.
9. Continue IHC protocol.Wash slides between each step with ImmunoDNA washer solution.
Mounting Protocols
For detailed instructions using biodegradable permanent mounting media such as XyGreen PermaMounter (BSB 0169-0174) or organic solvent based resin such as PermaMounter (BSB 0094-0097), refer to PI0174 or PI0097.
Product Limitations
Due to inherent variability present in immunohistochemical procedures (including fixation time of tissues, dilution factor of antibody, retrieval method utilized, and incubation time), optimal performance should be established through the use of positive and negative controls. Results should be interpreted by a qualified medical professional.
Preparation and Storage
Store at 2-8 degree C (Control Slides: Store at 20-25 degree C)
Related Product Information for anti-MSH2 antibody
MSH2 is a mismatch repair gene commonly associated with Hereditary Non-Polyposis Colorectal Cancer (HNPCC). This gene was identified as a locus frequently mutated in HNPCC. When cloned, it is a human homolog of the E. coli DNA mismatch repair gene mutS, consistent with the characteristic alterations in microsatellite sequences (RER+ phenotype) found in HNPCC.
MSH2 is abnormally deficient in a high proportion of patients with microsatellite instability (MSI-H). This finding is associated with the autosomal dominant condition found in Hereditary Non-Polyposis Colon Cancer. This anti-MSH2 antibody (along with MLH1 antibody) is useful in screening patients and families for this rare condition. Colon cancers that are microsatellite unstable have a better prognosis than their microsatellite stable counterparts.
MSH2 is abnormally deficient in a high proportion of patients with microsatellite instability (MSI-H). This finding is associated with the autosomal dominant condition found in Hereditary Non-Polyposis Colon Cancer. This anti-MSH2 antibody (along with MLH1 antibody) is useful in screening patients and families for this rare condition. Colon cancers that are microsatellite unstable have a better prognosis than their microsatellite stable counterparts.
Product Categories/Family for anti-MSH2 antibody
References
1. Wright CL, et al. Am J Surg Pathol. 2003;27:1393-1406
2. Brueckl WM, et al. Anticancer Research. 2003:23:1773-1778
3. Rigau V, et al. Arch Pathol Lab Med. 2003;127:June:694-700
4. Renkonen E, et al. J Clin Oncol. 2003;21:3629-3637
5. Hoedema R, et al. The American Surgeon. 2003;May69(5):387-92
6. U.S. Department of Health and Human Services: Centers for Disease Control and Prevention. Guidelines for Safe Work Practices in Human and Animal Medical Diagnostic Laboratories. Supplement / Vol. 61, January 6, 2012. https://www.cdc.gov/mmwr/pdf/other/su6101.pdf
2. Brueckl WM, et al. Anticancer Research. 2003:23:1773-1778
3. Rigau V, et al. Arch Pathol Lab Med. 2003;127:June:694-700
4. Renkonen E, et al. J Clin Oncol. 2003;21:3629-3637
5. Hoedema R, et al. The American Surgeon. 2003;May69(5):387-92
6. U.S. Department of Health and Human Services: Centers for Disease Control and Prevention. Guidelines for Safe Work Practices in Human and Animal Medical Diagnostic Laboratories. Supplement / Vol. 61, January 6, 2012. https://www.cdc.gov/mmwr/pdf/other/su6101.pdf
NCBI and Uniprot Product Information
NCBI GI #
NCBI Accession #
NCBI GenBank Nucleotide #
UniProt Accession #
Customer Reviews
Loading reviews...
Share Your Experience
Similar Products
Product Notes
The MSH2 (Catalog #AAA59444) is an Antibody produced from Mouse and is intended for research purposes only. The product is available for immediate purchase. The MSH2 reacts with Human and may cross-react with other species as described in the data sheet. It is sometimes possible for the material contained within the vial of "MSH2, Monoclonal Antibody" to become dispersed throughout the inside of the vial, particularly around the seal of said vial, during shipment and storage. We always suggest centrifuging these vials to consolidate all of the liquid away from the lid and to the bottom of the vial prior to opening. Please be advised that certain products may require dry ice for shipping and that, if this is the case, an additional dry ice fee may also be required.Precautions
All products in the AAA Biotech catalog are strictly for research-use only, and are absolutely not suitable for use in any sort of medical, therapeutic, prophylactic, in-vivo, or diagnostic capacity. By purchasing a product from AAA Biotech, you are explicitly certifying that said products will be properly tested and used in line with industry standard. AAA Biotech and its authorized distribution partners reserve the right to refuse to fulfill any order if we have any indication that a purchaser may be intending to use a product outside of our accepted criteria.Disclaimer
Though we do strive to guarantee the information represented in this datasheet, AAA Biotech cannot be held responsible for any oversights or imprecisions. AAA Biotech reserves the right to adjust any aspect of this datasheet at any time and without notice. It is the responsibility of the customer to inform AAA Biotech of any product performance issues observed or experienced within 30 days of receipt of said product. To see additional details on this or any of our other policies, please see our Terms & Conditions page.Item has been added to Shopping Cart
If you are ready to order, navigate to Shopping Cart and get ready to checkout.
