Mouse anti-Human MSH6 Monoclonal Antibody | anti-MSH6 antibody
MSH6 (DNA Mismatch Repair Protein) Recombinant Mouse Monoclonal Antibody [Clone rMSH6/4743]
Gene Names
MSH6; GTBP; HSAP; p160; GTMBP; HNPCC5
Reactivity
Human
Applications
Immunohistochemistry
Synonyms
MSH6, Antibody; MSH6 (DNA Mismatch Repair Protein) Recombinant Mouse Monoclonal Antibody [Clone rMSH6/4743]; MSH6 (DNA Mismatch Repair Protein); DNA mismatch repair protein Msh6; G/T mismatch-binding protein; GTBP; GTMBP; hMSH6; HNPCC5; HSAP; MSH6; mutS (E. coli) homolog 6; MutS alpha 160kDa subunit; MutS-alpha 160kDa subunit; p160; Sperm associated protein; anti-MSH6 antibody
Host
Mouse
Reactivity
Human
Clonality
Monoclonal
Isotype
Mouse/IgG2a, kappa
Clone Number
rMSH6/4743
Form/Format
200ug/ml of Ab purified from Bioreactor Concentrate by Protein A/G. Prepared in 10mM PBS with 0. 05% BSA & 0. 05% azide. Also available WITHOUT BSA & azide at 1.0mg/ml.
Concentration
Purified Ab with BSA and Azide at 200ug/ml
OR
Purified Ab WITHOUT BSA and Azide at 1.0mg/ml (varies by lot)
OR
Purified Ab WITHOUT BSA and Azide at 1.0mg/ml (varies by lot)
Applicable Applications for anti-MSH6 antibody
IHC (Immunohistochemistry)
Antibody Type
Recombinant Antibody
Immunogen
Recombinant fragment of human MSH6 protein (around aa 374-540) (exact sequence is proprietary)
Cellular Localization
Nucleus
Positive Control
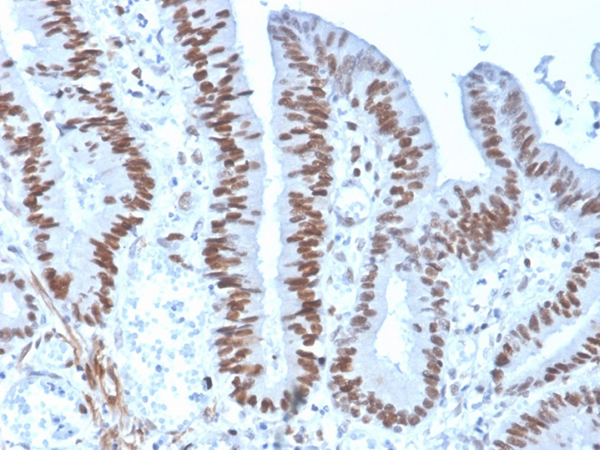
HCT116 or HeLa cell lysate (WB). Human colon carcinoma (IHC).
Hu-chromosome Location
2p16.3
Unigene
445052
Preparation and Storage
Antibody with azide: store at 2 to 8 degree C
Antibody without azide: store at -20 to -80 degree C
Antibody is stable for 24 months. Non-hazardous. No MSDS required.
Antibody without azide: store at -20 to -80 degree C
Antibody is stable for 24 months. Non-hazardous. No MSDS required.
Related Product Information for anti-MSH6 antibody
The finding that mutations in DNA mismatch repair genes are associated with hereditary nonpolyposis colorectal cancer (HNPCC) has resulted in considerable interest in the understanding of the mechanism of DNA mismatch repair. Initially, inherited mutations in the MSH2 and MLH1 homologs of the bacterial DNA mismatch repair genes mutS and mutL were demonstrated at high frequency in HNPCC and were shown to be associated with microsatellite instability. A member of the mismatch repair family, GTBP (also designated MSH6), is an MSH2-related protein that binds to DNA containing G/T mismatches. Findings suggest that the mismatch-binding factor in human cells is composed of a heterodimer of GTBP and MSH2.
NCBI and Uniprot Product Information
NCBI GI #
NCBI GeneID
NCBI Accession #
NCBI GenBank Nucleotide #
Molecular Weight
1360
NCBI Official Full Name
DNA mismatch repair protein Msh6 isoform 1
NCBI Official Synonym Full Names
mutS homolog 6 (E. coli)
NCBI Official Symbol
MSH6
NCBI Official Synonym Symbols
GTBP; HSAP; p160; GTMBP; HNPCC5
NCBI Protein Information
DNA mismatch repair protein Msh6; sperm-associated protein; mutS-alpha 160 kDa subunit; G/T mismatch-binding protein
UniProt Protein Name
DNA mismatch repair protein Msh6
UniProt Gene Name
MSH6
UniProt Synonym Gene Names
GTBP; hMSH6; GTBP; GTMBP; p160
UniProt Entry Name
MSH6_HUMAN
Customer Reviews
Loading reviews...
Share Your Experience
Similar Products
Product Notes
The MSH6 msh6 (Catalog #AAA215688) is an Antibody produced from Mouse and is intended for research purposes only. The product is available for immediate purchase. The MSH6 (DNA Mismatch Repair Protein) Recombinant Mouse Monoclonal Antibody [Clone rMSH6/4743] reacts with Human and may cross-react with other species as described in the data sheet. AAA Biotech's MSH6 can be used in a range of immunoassay formats including, but not limited to, IHC (Immunohistochemistry). Researchers should empirically determine the suitability of the MSH6 msh6 for an application not listed in the data sheet. Researchers commonly develop new applications and it is an integral, important part of the investigative research process. It is sometimes possible for the material contained within the vial of "MSH6, Monoclonal Antibody" to become dispersed throughout the inside of the vial, particularly around the seal of said vial, during shipment and storage. We always suggest centrifuging these vials to consolidate all of the liquid away from the lid and to the bottom of the vial prior to opening. Please be advised that certain products may require dry ice for shipping and that, if this is the case, an additional dry ice fee may also be required.Precautions
All products in the AAA Biotech catalog are strictly for research-use only, and are absolutely not suitable for use in any sort of medical, therapeutic, prophylactic, in-vivo, or diagnostic capacity. By purchasing a product from AAA Biotech, you are explicitly certifying that said products will be properly tested and used in line with industry standard. AAA Biotech and its authorized distribution partners reserve the right to refuse to fulfill any order if we have any indication that a purchaser may be intending to use a product outside of our accepted criteria.Disclaimer
Though we do strive to guarantee the information represented in this datasheet, AAA Biotech cannot be held responsible for any oversights or imprecisions. AAA Biotech reserves the right to adjust any aspect of this datasheet at any time and without notice. It is the responsibility of the customer to inform AAA Biotech of any product performance issues observed or experienced within 30 days of receipt of said product. To see additional details on this or any of our other policies, please see our Terms & Conditions page.Item has been added to Shopping Cart
If you are ready to order, navigate to Shopping Cart and get ready to checkout.
