MUC1 recombinant antibody
MUC1 Rabbit mAb
Gene Names
MUC1; EMA; PEM; PUM; KL-6; MAM6; PEMT; CD227; H23AG; MUC-1; CA 15-3; MUC-1/X; MUC1/ZD; MUC-1/SEC
Reactivity
Human
Applications
Flow Cytometry, Functional Assay, Immunoprecipitation, Immunofluorescence, Immunocytochemistry, Immunohistochemistry, Western Blot
Purity
Affinity-chromatography
Synonyms
MUC1, Recombinant Antibody; MUC1 Rabbit mAb; MUC1; CA15-3; CD227; DF3 antigen; Episialin; Epithelial membrane antigen; H23 antigen; H23AG; Krebs von den Lungen-6; MAM6; MUC1/ZD; MUC-1/SEC; Mucin-1; Pem; KL-6; MUC-1/X; Tumor-associated mucin; MUC1 recombinant antibody
Host
Rabbit
Reactivity
Human
Clonality
Monoclonal
Isotype
Rabbit IgG
Specificity
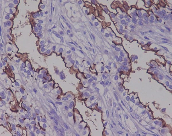
MUC1 Antibody detects endogenous levels of MUC1
Purity/Purification
Affinity-chromatography
Form/Format
Rabbit IgG in phosphate buffered saline, pH7.4, 150mM NaCl, 0.02% sodium azide and 50% glycerol.
Applicable Applications for MUC1 recombinant antibody
FCM/FACS (Flow Cytometry), IP (Immunoprecipitation), IF (Immunofluorescence), ICC (Immunocytochemistry), IHC (Immunohistochemistry), WB (Western Blot)
Immunogen
A synthesized peptide derived from human MUC1
Preparation and Storage
Store at +4 degree C short term. Store at -20 degree C long term. Avoid freeze/thaw cycle.
Related Product Information for MUC1 recombinant antibody
This gene is a member of the mucin family and encodes a membrane bound, glycosylated phosphoprotein. This protein is anchored to the apical surface of many epithelia by a transmembrane domain, with the degree of glycosylation varying with cell type. The protein serves a protective function, binding to pathogens, as well as functioning in a cell signaling capacity.
Product Categories/Family for MUC1 recombinant antibody
NCBI and Uniprot Product Information
NCBI GI #
NCBI GeneID
NCBI Accession #
NCBI GenBank Nucleotide #
UniProt Accession #
Molecular Weight
122,102 Da
NCBI Official Full Name
mucin-1 isoform 2
NCBI Official Synonym Full Names
mucin 1, cell surface associated
NCBI Official Symbol
MUC1
NCBI Official Synonym Symbols
EMA; PEM; PUM; KL-6; MAM6; PEMT; CD227; H23AG; MUC-1; CA 15-3; MUC-1/X; MUC1/ZD; MUC-1/SEC
NCBI Protein Information
mucin-1; episialin; DF3 antigen; H23 antigen; cancer antigen 15-3; krebs von den Lungen-6; mucin 1, transmembrane; tumor-associated mucin; carcinoma-associated mucin; polymorphic epithelial mucin; peanut-reactive urinary mucin; tumor associated epithelial
UniProt Protein Name
Mucin-1
UniProt Gene Name
MUC1
UniProt Synonym Gene Names
PUM; MUC-1; CA 15-3; KL-6; PUM; PEM; EMA; MUC1-NT; MUC1-alpha; MUC1-beta
UniProt Entry Name
MUC1_HUMAN
Customer Reviews
Loading reviews...
Share Your Experience
Similar Products
Product Notes
The MUC1 muc1 (Catalog #AAA315314) is a Recombinant Antibody produced from Rabbit and is intended for research purposes only. The product is available for immediate purchase. The MUC1 Rabbit mAb reacts with Human and may cross-react with other species as described in the data sheet. AAA Biotech's MUC1 can be used in a range of immunoassay formats including, but not limited to, FCM/FACS (Flow Cytometry), IP (Immunoprecipitation), IF (Immunofluorescence), ICC (Immunocytochemistry), IHC (Immunohistochemistry), WB (Western Blot). Researchers should empirically determine the suitability of the MUC1 muc1 for an application not listed in the data sheet. Researchers commonly develop new applications and it is an integral, important part of the investigative research process. It is sometimes possible for the material contained within the vial of "MUC1, Monoclonal Recombinant Antibody" to become dispersed throughout the inside of the vial, particularly around the seal of said vial, during shipment and storage. We always suggest centrifuging these vials to consolidate all of the liquid away from the lid and to the bottom of the vial prior to opening. Please be advised that certain products may require dry ice for shipping and that, if this is the case, an additional dry ice fee may also be required.Precautions
All products in the AAA Biotech catalog are strictly for research-use only, and are absolutely not suitable for use in any sort of medical, therapeutic, prophylactic, in-vivo, or diagnostic capacity. By purchasing a product from AAA Biotech, you are explicitly certifying that said products will be properly tested and used in line with industry standard. AAA Biotech and its authorized distribution partners reserve the right to refuse to fulfill any order if we have any indication that a purchaser may be intending to use a product outside of our accepted criteria.Disclaimer
Though we do strive to guarantee the information represented in this datasheet, AAA Biotech cannot be held responsible for any oversights or imprecisions. AAA Biotech reserves the right to adjust any aspect of this datasheet at any time and without notice. It is the responsibility of the customer to inform AAA Biotech of any product performance issues observed or experienced within 30 days of receipt of said product. To see additional details on this or any of our other policies, please see our Terms & Conditions page.Item has been added to Shopping Cart
If you are ready to order, navigate to Shopping Cart and get ready to checkout.
